Click here to close
Hello! We notice that you are using Internet Explorer, which is not supported by Xenbase and may cause the site to display incorrectly.
We suggest using a current version of Chrome,
FireFox, or Safari.
Quantitative studies of germ plasm and germ cells during early embryogenesis of Xenopus laevis.
Whitington PM
,
Dixon KE
.
???displayArticle.abstract???
The germ plasm in the egg is paritioned between the first four blastomeres by the first two cleavage planes. Although the blastomeres divide 10-11 times through the rest of cleavage, as shown by reduction in their size, the number of presumptive primordial germ cells (p.p. germ cells) does not increase significantly. During and as a result of the formation of the first two cleavage planes, the germ plasm aggregates together and moves towards and along the cleavage furrows. At subsequent mitoses, the germ plasm is localized at one of the poles of the spindle and hence is segregated to only one of the daughter cells, thus explaining how mitosis occurs without increase in the number of cells with germ plasm. Early in gastrulation, the germ plasm moves to a perinuclear position, therefore ensuring that as mitosis continues, both daughter cells receive germ plasm and the number of p.p. germ cells increases. Direct counts of the number of p.p. germ cells and measurements of their volume suggest that they divide twice between early gastrula and the stage at which they leave the endoderm. The p.p. germ cells behave similarly to the adjacent endodermal cells until they begin to migrate to the gonad, an event which may represent the first overt signs of differentiation. Measurements of the volume of germ plasm suggest that there is no change through cleavage. The general conclusion is drawn that during cleavage, the morphogenetic determinant germ plasm is segregated to a few cells by the normal processes of cleavage and that subsequently these cells undergo a small number of cloning divisions which are contemporaneous with the first signs of differentiation.
Fig. 1. Diagrammatic representation of the position of the 4th cleavage planes
(dotted lines) relative to the vegetal pole. The pattern represented in (A) occurred
in approximately 70 % of the eggs examined, in (B) in about 20 % of the eggs, and in
(C) in about 5 %. In the remaining 5 % of eggs, the 1st, 2nd and 4th cleavage planes
intersected at the one point (D).
Fig. 2. Frequency distribution of the numbers of presumptive primordial germ cells
in embryos at different stages of development from early cleavage to early larval
forms in which the germ cells migrate from the endoderm. There is no significant
change in number of cells during cleavage, i.e. between 8-cell to morula and blastula.
Between blastula and stage 38-41, the increase in the number of cells in each embryo
suggests that about two divisions of each cell have taken place. The numbers of cells
at gastrula, stages 19, 20 and 29, 30, suggest that in a small number of embryos the
divisions occur about gastrula, but in most embryos the increase in the number of
germ cells occurs after stage 29, 30.
Fig. 3. Diagrams to indicate the position of the presumptive primordial germ cells
in embryos of different ages: (A) morula, (B) blastula, (C) mid-gastrula, (D) completed
gastrula, (E) early tail-bud (stage 20) and (F) late tail-bud (stage 29). At morula,
the germ cells are located at the vegetal pole but in the blastula they can be found
at any of the positions indicated by asterisks. During gastrulation the germ cells,
with the endoderm cells, are transported by the morphogenetic movements into the
interior of the embryo to lie in the floor of the archenteron in the completed gastrula.
At stages 20 and 29 the germ cells occupy the same relative positions in the endoderm,
although in the latter stage the archenteric cavity has changed its position as the
endoderm has elongated in the dorso-ventral aspect.
Fig. 4. Stages in the migration of germ cells from the endoderm: (A) stage 38, 39;
the germ cells (gc) lie at the top of the endoderm and the two mesodermal sheets (m)
have not yet met in the midline. (B) Stage 39,40; the germ cells have left the endoderm
and lie beneath the now continuous mesodermal sheet. (C) Stage 40, 41; the germ
cells have left the endoderm and, as the dorsal mesentery (dm) forms, the germ cells
are carried and/or migrate towards the top of the mesentery where they will form
the median genital ridge.
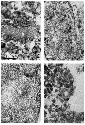
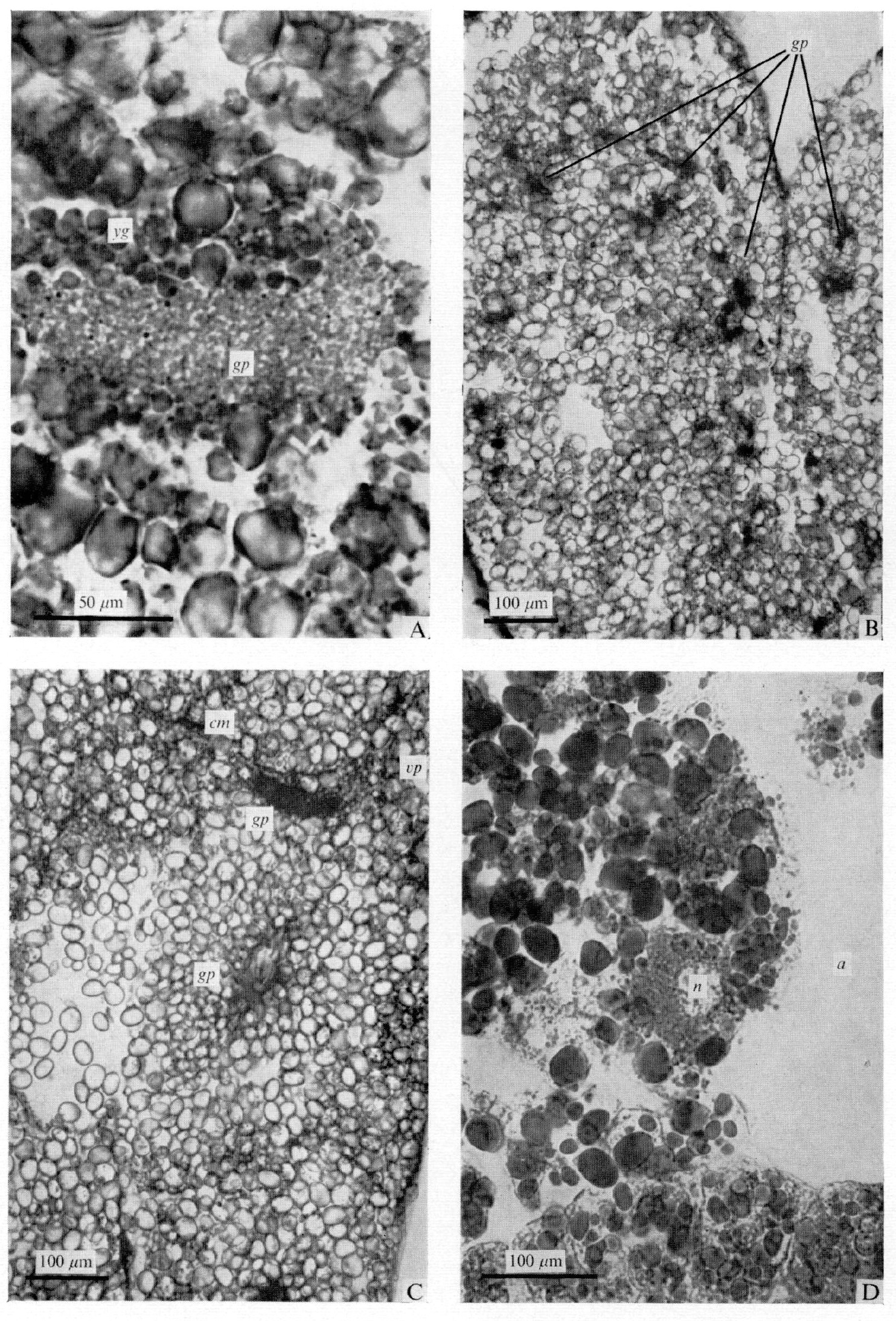
Fig. 5. Photomicrographs of cells containing germ plasm in embryos at different
stages of development.
(A) The appearance of the germ plasm in an 8-cell stage embryo in which it forms
a relatively large, yolk-free, granular aggregate, surrounded by yolk granules which
are smaller than the large granules found in the general cytoplasm, gp, Germ plasm;
yg, small yolk granules.
(B) The position of the germ plasm in the 2-cell stage, horizontal section taken
15 /tm above the vegetal pole. The patches of germ plasm (gp) are small and numerous
in both blastomeres and arranged along the cleavage membrane.
(C) The position of the germ plasm in the 4-cell to 8-cell embryo, vertical section
showing vegetal pole (vp), the cleavage membrane (cm) and a single large patch of
germ plasm lying along the cleavage membrane. The germ plasm (gp) is at one of the
poles of the spindle and therefore when mitosis occurs it will be segregated to the
daughter cell which will lie over the vegetal pole.
(D) The position of the germ plasm in a late gastrula embryo after it has moved to its
perinuclear position, characteristically eccentrically placed and closely adherent
to the nucleus, n, nucleus; a, archenteron.
Fig. 6. Diagrammatic representation of the position and state of aggregation of
germ plasm during early cleavage stages. (A) The 2-cell stage, vertical section, where
the germ plasm is spread over the vegetal pole and forms numerous small aggregates.
(B) View of the vegetal pole in the 2-cell stage showing the distribution of the germ
plasm beneath the vegetal surface. (C) Four-cell stage in vertical section with the
germ plasm aggregated together into one large patch situated along the cleavage
membrane. (D) Four-cell stage in horizontal section showing the similar positions of
the germ plasm aggregates in each of the blastomeres. (E) Two-cell to 4-cell stage
showing the processes of aggregation and involution of the germ plasm; as it is
moved towards the interior of the embryo along the cleavage membrane it forms a
single, large aggregate.