|
Fig. 2. Analysis of p120 expression in early Xenopus embryos by whole mount in situ hybridization. Spatial expression of p120 was evaluated by whole mount in situ hybridization using an antisense Xp120iso1 RNA probe. Expression of p120 is enriched in the animal hemisphere at the blastula stage (a); the optic vesicles (OV) at the neurula stage (b); the optic vesicle (OV), ear vesicle (EV), olfactory placode (OP) and branchial arches (BA) in the head region and also the somites (S), notochord (NT) and pronephros (P) at tailbud (stage 30) (c). (d) Transverse section through a stage 30 tailbud embryo showing increased p120 expression in somites, notochord and pronephros.
|
|
ctnnd1 (catenin delta 1) gene expression in Xenopus laevis embryo, assayed via in situ hybridization, NF stage 28, lateral view, anterior right, dorsal up.
|
|
Fig. 10.
Localization of JMD-deleted E-cadherin and αE-catenin-EGFP in fixed and living embryos. (A) Immunohistological examination of mE-cadhδJMD expression in transverse sections of stage 21 embryos. Embryos were injected at the 16-cell stage and fixed for sectioning at stage 21. After sectioning, immunohistochemical staining was performed to localize mE-cadherinδJMD proteins, and sections were examined with a fluorescence (a-c) or a laser scanner confocal microscope (d-f). Embryos injected with mE-cadhδJMD (500 pg) alone show a high and uniform concentration of mE-cadherinδJMD at the cell-cell contacts in the cranial NCCs (a,d). Expression of mE-cadherinδJMD in embryos co-injected with dominant negative (DN) Rac (50 pg) is more scattered (b,e) while an overall reduced staining is observed upon co-injection of 150 pg wild type (WT) RhoA RNA (c,f). All sections are oriented with dorsal side up. Staining in the ectoderm is indicated by an arrow, and the boxed area in the migrating neural crest cells is examined by confocal microscopy. Scale bar, 20 μm. (B) Confocal in vivo analysis of the ectodermal cell layer in tailbud-stage embryos injected at the 16-cell stage in the ventral-animal region with a plasmid encoding αE-catenin-EGFP alone (a) or with the plasmid in combination with 500 pg mE-cadhδJMD RNA (b) and additionally 50 pg DN Rac (c) or 150 pg WT RhoA RNA (d). While injection of mE-cadherinδJMD induces strong localization of αE-catenin-EGFP at the cell-cell contacts, this is greatly reduced upon co-injection of DN Rac but not by WT RhoA. Scale bars, 20 μm.
|
|
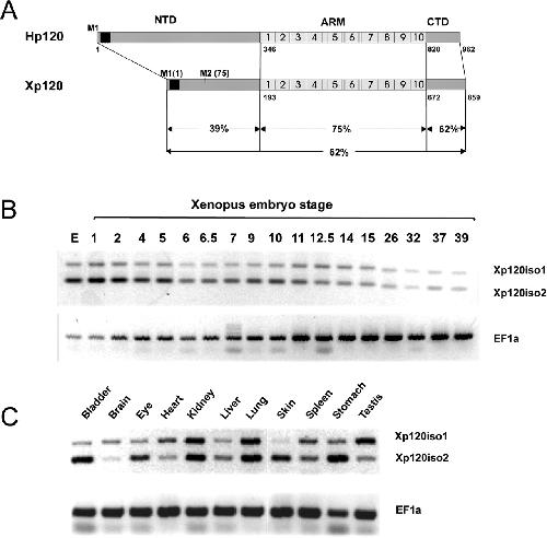
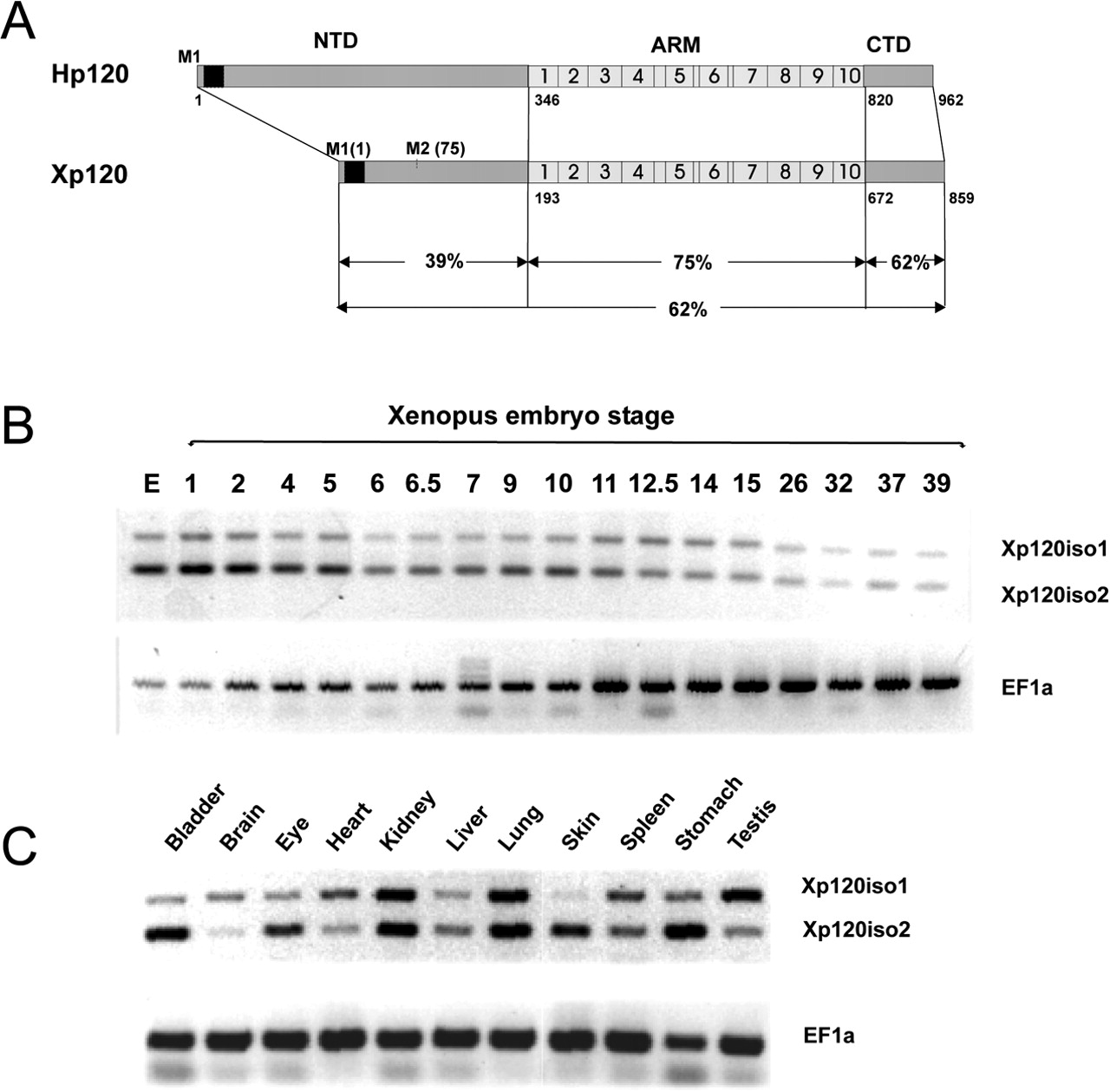
Fig. 1.
Comparison of Xenopus and human p120 sequences and RT-PCR analysis of p120 expression during early embryonic development and in adult Xenopus tissues. (A) Linear representation of the amino acid sequence similarities between hp120 1ABC and Xp120 isoform 1. In the Xenopus p120 sequence, two translational start sites (M1 at position 1 and M2 at position 75) are indicated. Isoform 2 is derived by splicing, which takes place upstream of M1. A conserved coiled-coil domain in the N-terminal region of p120 is shown (black box). Percentages indicate the similarities of the sequences of Xp120 isoform 1 and hp120 1ABC for the whole protein (calculated with Needleman-Wunsch algorithm from EMBOSS) and for the N-terminal domain (NTD), the central domain (ARM) or the C-terminal domain (CTD) (calculated with the Clustal W method from the GCG program, BEN, Brussels). The Xenopus p120 sequence data are available from EMBL/GenBank under accession numbers AF150743 and AF150744. (B) A semi-quantitative RT-PCR evaluation of Xp120 isoform expression in embryos at different developmental stages and (C) in selected tissues derived from an adult frog. The PCR band of 500 bp is amplified when the NH2-terminal insert of 210 nucleotides is present (Xp120iso1). The band of 290 bp represents the shorter isoform of Xp120 (Xp120iso2). An RT-PCR reaction of elongation factor 1 (EF1a) was used as a loading control.
|
|
Fig. 3.
Expression of p120 morpholino (MO) affects the size of the eyes and cartilage. (A) Injection of p120 MO at 8- to 16-cell stage in the region that gives rise to the head results in the formation of smaller eyes or their complete loss (d,e) compared with control MO-injected embryos (a,b). Tadpoles are shown alive at stages 33 (a,d) and 42 (b,e), or fixed and stained by Alcian Blue to reveal the cartilage structures at stage 46 (c,f). Next to smaller or absent eyes, embryos injected with p120 MO also show smaller craniofacial cartilage structures (f) compared with control MO-injected embryos (c). (B) Graph representing the effect of p120 MO on the size of the craniofacial skeleton. For clarity of the figure, representative experiments are shown. The width of the head was calculated by taking the sum of both arrows indicated in A,c. Values were divided by the average value of non-injected embryos. The head size of embryos injected with p120 MO is statistically different from that of the control population (P=0.0068, Student's t-test). This effect can be rescued by co-injection of RNA encoding Xp120 (30 pg), dominant negative (DN) Rac (33 pg), or DN LIMK (500 pg). Wild type (WT) Rho (125 pg) and CA ROCK (150 pg) are unable to rescue the effect of p120 MO on the size of the head.
|
|
Fig. 4.
Knockdown of p120 expression results in the downregulation of C- and E-cadherin proteins but not of N-cadherin. (A) An amount of 20 ng or 40 ng of control MO or p120 MO was injected at the 1-cell stage. Embryos were lysed at stages 10.5, 15 and 22 and analyzed for expression of p120 and C-, E- and N-cadherin. Injection of p120 MO leads to a dose-dependent downregulation of p120 (arrow). The strong band indicated by the open arrowhead is nonspecific and serves as a loading control. Next to a loss of p120 expression, lower levels of C-cadherin and E-cadherin can be observed. Levels of N-cadherin are not affected. (B) RNA (500 pg) encoding mE-cadherin or Myc-tagged XN-cadherin was injected at the 1-cell stage together with control MO or p120 MO (20 ng). Embryos were lysed at stages 15 and 17 and analyzed for expression of ectopic mE-cadherin and Myc-tagged XN-cadherin. While the expression levels of mE-cadherin are dramatically reduced upon the co-injection of p120 MO, the levels of ectopic XN-cadherin are not affected.
|
|
Fig. 5.
Expression of p120-uncoupled E-cadherin affects the size of the eyes and cartilage. (A) Embryos were injected at the 8-cell stage in the dorsal-animal region and scored at stage 42 for the eye phenotype (a,c) and stage 46 for the cartilage phenotype after Alcian Blue staining (b,d). Tadpoles injected with 2 ng XE-cadh753AAA showing one smaller eye (c,d) compared with control injected embryos (a,b). (B) Graph representing the effect of XE-cadh753AAA RNA on the size of the craniofacial cartilage. Three normalized experiments are represented in one graph. The size of the head was calculated as in the legend of Fig. 3. The effect of XE-cadh753AA can be partially rescued by co-injection of 150 pg wild type (WT) RhoA or 50 pg dominant negative (DN) Rac (values are statistically different from those injected with XE-cadh753AAA RNA alone).
|
|
Fig. 6.
Expression of JMD-deleted E-cadherin affects the eyes and cartilage. (A) Embryos were injected at the 8-cell stage in the dorsal-animal region and scored at stage 42 for the eye phenotype (a,c) and stage 46 for the cartilage phenotype after Alcian Blue staining (b,d). Embryos injected with 1 ng mE-cadhδJMD show malformation of the eye (c,d) compared with control injected embryos (a,b). The arrowhead in (b) indicates a patch of retinal pigmentation in the brain. (B) Graph representing the effect of mE-cadhδJMD on the size of the craniofacial cartilage. Three normalized experiments are represented in one graph. The width of the head was calculated as in the legend of Fig. 3. The effect of mE-cadhδJMD can be partially rescued by co-injection of 150 pg wild type (WT) RhoA or 50 pg dominant negative (DN) Rac (values are statistically different from those injected with mE-cadhδJMD RNA alone).
|
|
ig. 7.
Malformation of the jaws as a result of p120 depletion. Dissected craniofacial cartilage structures stained with Alcian Blue. The inset in (a) shows a schematic of the different craniofacial cartilage structures, including Meckel's cartilage (MC), ceratohyal (CH) and ceratobranchial cartilage (CB). All these structures are still present upon p120 knockdown (b) but are smaller compared with control MO-injected embryos (a). Boxed regions are enlarged in c-f. Higher magnification shows that the ceratohyal cartilage is less dense and delineated in embryos injected with p120 MO (d, see arrow and dotted line) compared with the same area in embryos injected with control MO (c). The same is true for the ceratobranchial cartilage (e,f), where the two arrows point out a ridge that is clearly less dense and composed of fewer cells in p120 MO-injected embryos.
|
|
Fig. 8.
Abnormal evagination of the eye vesicles in embryos injected with p120 morpholino (MO) or RNA encoding JMD-deleted E-cadherin. (A) Embryos were injected at the 32-cell stage with Rhodamine-dextran and MO or RNA in two blastomeres in the region that contributes to the eye. At stage 16, knockdown of p120 leads to defects in the anterior loop structure of the closing neural tube (b, arrowheads). This can also be observed in a minority of embryos injected with mE-cadhδJMD (c, arrowhead) but not in embryos injected with control MO (a). At stage 21 the evagination of the eye has clearly started in control MO-injected embryos (d, see arrowheads). In embryos injected with p120 MO (e) and mE-cadhδJMD RNA (f) this process is disturbed. At this stage the anterior neuropore of p120 MO-injected embryos is still open (arrow in e). At early and late tailbud stages (stages 23 and 27) the control MO-injected embryos show a nicely formed eye (g,j, see arrowheads) compared with the p120 MO-injected embryos (h,k, see arrowheads). Expression of mE-cadhδJMD also leads to a disturbance of the eyes at early and late tailbud stages (i and l, see arrowheads). At stage 39, control MO-injected embryos show nicely formed eyes (m), compared with p120 MO-injected embryos, which exhibit smaller eyes (n), or mE-cadhδJMD injected embryos, which have malformed eyes (o). (B) Transverse sections of Rhodamine-injected and DAPI stained embryos at stage 21 and 39. At stage 21, the embryos injected with control MO show a good evagination of the eye vesicles from the neural tube (a,b, see arrowheads). This morphogenetic process is clearly aberrant in embryos injected with p120 MO (e,f) or mE-cadhδJMD (i,j) (see text for details). A schematic indicating the site of the section is shown in (m). At stage 39 embryos injected with control MO have eyes with a proper stratification of the retinal layers (c,d). The brain or neural tube (NT), the notochord (N) and the eyes (EY) are indicated. Eyes are smaller and the retinal stratification is lost in embryos injected with p120 MO (g,h, see arrowhead). Embryos expressing mE-cadhδJMD show stratification of the retina, but the eyes are malformed and are not well separated from the brain (k,l, see arrowhead). A schematic indicating the site of the section is shown in (n).
|
|
Fig. 9.
Disturbance of cranial neural crest cell (NCC) migration upon injection of p120 morpholino (MO) or RNA-encoding JMD-deleted E-cadherin. (A) Tracing of cranial NCCs migrating into the branchial arches. Embryos were injected at the 4-cell stage with caged Fluorescein-dextran in combination with control MO (a,b), p120 MO (c,d) or mE-cadhδJMD RNA (e,f). At stage 14, the Fluorescein was activated with UV light in the region where the NCCs originate. Embryos injected with control MO show the three wide streams of migrating cranial NCCs (a,b). Depletion of p120 (c,d) or overexpression of mE-cadhδJMD (e,f) leads to disturbance in the migration of the NCCs. The three streams do not go as deep as in the control MO-injected embryos and they are not as wide (c,d and e,f, respectively). Dotted lines (b,d and f) show a projection of the three streams (a,c and e, respectively). (B) Transverse histological sections of the head of stage 26 embryos. Embryos were injected with mE-cadhδJMD at the 4-cell stage and fixed for sectioning at stage 26. Transverse section of the head of a non-injected embryo (a), showing the neural tube (NT), the notochord (N), the eyes (EY), the pharynx (PH) and the cement gland (CG). Embryos injected with mE-cadhδJMD (b,c) show clumps of intimately associated cells in close proximity to the neural tube or still attached to the neural tube (arrowheads).
|