Click here to close
Hello! We notice that you are using Internet Explorer, which is not supported by Xenbase and may cause the site to display incorrectly.
We suggest using a current version of Chrome,
FireFox, or Safari.
???displayArticle.abstract???
A scanning electron microscopic, comparative survey of notochord and somite formation including some details of change in cell morphology and arrangement, was made of selected stages of two species of anuran amphibians (Xenopus laevis and Rana pipiens) and two species of urodeles (Ambystoma mexicanum and Pleurodeles waltlii). The ectoderm or neural plate was removed from fixed embryos and the dorsal aspect of the developing notochord and somitemesoderm was photographed. Micrographs of comparable stages of all species were arranged together to form an atlas of notochord and somite formation. Similar morphogenetic events occur in the same sequence in the four species. Notochordal cells become distinguishable from paraxial mesodermal cells by shape, closeness of packing, and arrangement. Notochordal elongation is accompanied by a decrease in cross-sectional area and by cell rearrangement. Somitic mesoderm becomes distinguished from lateralmesoderm by a change in cell shape and orientation, followed by segmentation of somites. The schedule of somite formation was compared and related to the staging series for each species. The urodeles differ from the anurans in that the notochordal region in the early neurula stages in triangular, with the broadest part in the posterior region of the embryo. In anurans it is uniform in width. This difference may reflect differences in gastrulation and in the mechanism of elongation of the posterior part of the embryo in the neurula.
Fig. 1. An atlas of notochord development from early- to late-gastrula stages as seen
in postero-dorsal view. Diagrammatic sketch in each subphase shows the progress
made by the blastopore of Ambystoma gastrulae viewed ventrally and externally.
Approximate staging numbers are also indicated above the sketches. Arrow at
stage 11+-12 of Xenopus shows tight packing of presumptive notochordal cells.
Pointer at stage 12-12+ of Ambystoma indicates broken cell debris in the notochord
region. Bars represent 0.2 mm for Xenopus, and 04 mm for Rana, Ambystoma and
Pleurodeles.
Fig. 2a. Dorsal view of involuted mesoderm of a stage-12 Xenopus gastrula showing
the beginning of notochord formation (centre). Bar represents 50um.
Fig. 2b. Higher magnification view of the notochord region in Fig. 2a. The close
packing of notochord cells and the prevalence of broad, flattened protrusions (arrows)
are shown. Bar represents 10 /*m.
Fig. 2 c. Higher magnification view of the paraxial mesoderm in Fig. 2 a showing the
prevalence of larger intercellular spaces and filiform protrusions (pointer). Bar represents
10/mi.
Fig. 2d. Cross-sectional view of stage 12+ Xenopus gastrula, showing the cell morphology
and arrangement of the notochord (centre) and paraxial mesoderm. Bar represents
50 /im.
Fig. 2e. Lateral surface of the Xenopus notochord at stage 12+. Endodermal roof
of the archenteron (E) is also shown below pointers. Bar represents 50 /mi.
Fig. 3. An atlas of notochord and somite development from the early neural plate
to the neural-fold stage in dorsal view. Diagrammatic sketch in each subphase
displays the progress made by the neural folds of Ambystoma early neurulae viewed
antero-dorsally. Approximate staging numbers are given above each sketch. Pointer
at stage 13+-14 of Xenopus indicates the anterior tip of the notochord lying in the
head mesenchyme. Also shown is the typical morphology of the urodele notochord
at stage 13+-14 of Ambystoma, which is triangular posteriorly (pointer), long and
narrow in the middle (thin arrow), and broadens anteriorly (thick arrow). Staging
numbers of Rana are indicated in parentheses. Bars represent 0.4 mm.
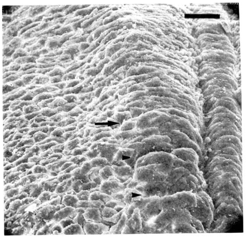
Fig. 4. An antero-dorsal view of the paraxial mesoderm ofXenopus showing segmentation
of the first few somites (pointers). 3rd somite segmentation process is under
way, as shown by arrow. Bar represents 50um.
Fig. 5. A comparison of the paraxial mesoderm of Xenopus at stage 12+ (a) and 13+
(c) with lateral mesoderm at stages 12+ (b) and 13+ (d) shows the tendency for the former
to align dorso-ventrally (in the direction of the arrow). Bar in (b) represents
10 um for each.
Fig. 6. Cross-sectional view of stage 13+ of a Xenopus embryo showing neural
ectoderm (NE), notochord (N) and paraxial mesoderm (PM). Bar represents 25 um.
Fig. la. Ventro-lateral view of the notochord (N) of Xenopus at stage 13+. Below
the notochord is the endodermal roof of the archenteron (E). Bar represents 25 /.cm.
Fig. 1b. Dorso-lateral view of the notochord (N), paraxial mesoderm (PM)andendoderm
(E) of Xenopus at stage 14+. Bar represents 25 um.
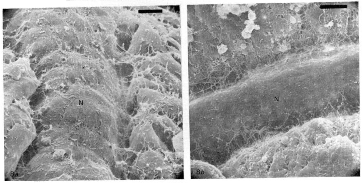
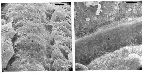
Fig. 8a. Postero-dorsal view of the anterior region of the notochord (N) of Xenopus
at stage 14+. Bar represents 10/*m.
Fig. 86. Mid-dorsal view of the notochord (N) of Xenopus at stage 15-16. Bar represents
20um.
Fig. 9. An atlas of notochord development from neural-groove to neural-tube
stages in antero-dorsal view. Diagrammatic sketch in each subphase displays the
progress made by the neural folds of Ambystoma late neurulae viewed dorsally.
Approximate staging numbers are shown above each sketch. Staging numbers of
Rana are in parentheses. Pointer at stage 18 of Ambystoma indicates the rod-like
notochord posteriorly. Bars represent 04 mm.
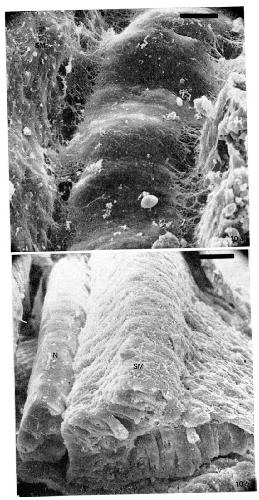
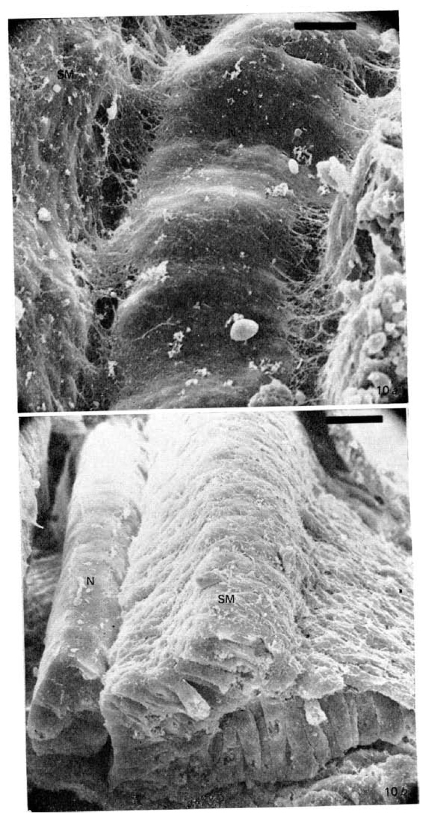
Pig. 10a. Antero-dorsal view of the notochord (N) and somitemesoderm (SM) of
Xenopus. Bar represents 20um.
Fig. 10b. Postero-dorsal view of the notochord of Xenopus at stage 18 showing the
development of the fibrous matrix between the notochord (N) and somitemesoderm
<SM). Bar represents 50 um.
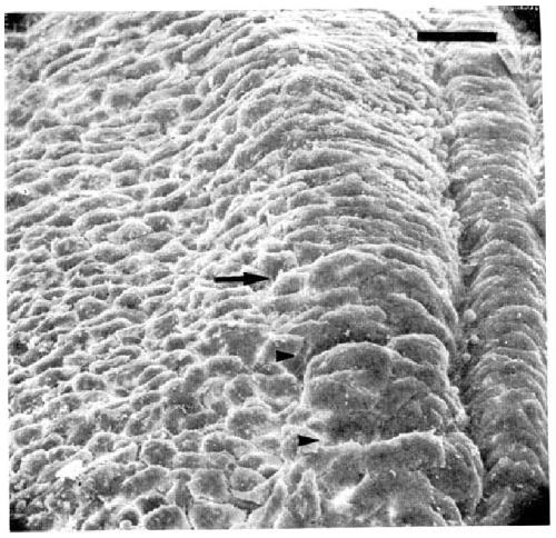
Fig. 11. Lateral view of segmental somites at stage 22 of Xenopus, showing anteroposterior
elongation and alignment (parallel to arrow) of somite cells. Bar represents
50um.
Fig. 12. Comparison of notochord development between anurans and urodeles.
Broken lines indicate immature delineation between the notochord and the adjacent
mesoderm. Solid lines indicate that the notochord becomes separated from the
adjacent mesoderm, and acquires a clear outline. Also shown are outlines of the
neural folds (mesodermal contours) indicated by thinner solid lines. Staging numbers
of Rana are in parentheses.