|
Figure 1. A Nuclear Lamina Is Present in Female and Male Pronuclei
Polyester wax sections (6 pm) of Xenopus eggs fixed 30 min after fertilization were stained with anti-lamina serum or preimmune serum and were
counterstained with DAPI. (a) animal part of the egg showing the female (Q) and the male (a) pronucleus at a lower magnification; this photograph
was taken using a combination of DAPI fluorescence and bright field illumination to demonstrate the two pronuclei as well as the sperm track (SPT)
pointing towards the male pronucleus. (c and d) anti-lamina antibody staining of the male and female pronucleus. (b) a similar specimen treated
with preimmune serum.
|
|
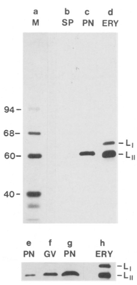
Figure 2. Lamin Llll Is the Only Lamin Constituent in Pronuclei
Formed In Vitro
Two separate experiments are shown. In the first experiment (lanes
a-d), lamina from in vitro formed pronuclei was compared with erythrocyte
lamina and sperm. Polyacrylamide gels were loaded with (b) approximately
10’ sperm nuclei predigested with DNAase I, (c) lamina
from approximately 10’ pronuclei. (d) erythrocyte lamina preparation.
(a) molecular size marker.
In the second experiment (lanes e-h), lamina from pronuclei was
compared with erythrocyte and germinal vesicle lamina. (e) lamina
from lo6 and (g) from 10’ pronuclei. (f) lamina from 20 germinal vesicles,
and (h) erythrocyte lamma.
After electrophoresis, lamin polypeptides were detected by immunoblotting
using anti-lamin serum in combination with the PAP
technique (see Experimental Procedures).
|
|
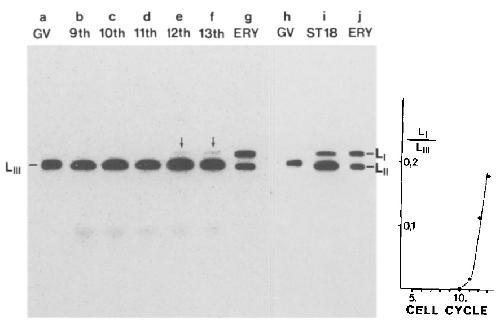
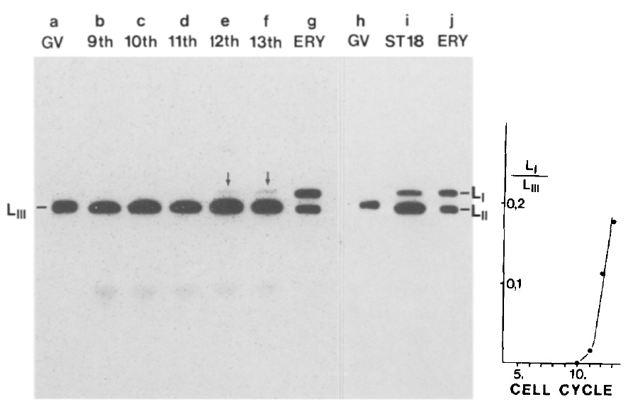
Figure 3. Lamin L, Appears in Embryonic
Nuclei after the 12th Cleavage
Nuclear lamina preparations of embryos after
the 9th and up to the 13th cleavage cycle (lanes
b-f) were separated, together with lamina
preparations of germinal vesicle (lanes a and
h). erythrocytes (lanes g and j), and stage 16
embryos (lane i), on SDS polyacrylamide gels.
Lamins were detected by immunoblotting,
using the monoclonal antibody L6-6A7 and Yrabbit-
anti-(mouse Fab)-IgG. Different numbers
of embryos were used for the preparations,
150 in (b), 125 in (c), 100 in (d), 75 in (e),
63 in (f), and 30 in (i), in order to load approximately
equal amounts of lamin Lrrr. Arrows in
(e) and (f) denote the position of lamin Lr.
The graph shows the ratio of radioactivity in
L, versus L,,, counted after immunoblotting of
lamina preparations from different cleavage
cycles separated on two-dimensional gels (see
Figure 4a-4c).
|
|
Figure 4. Lamin L, and LII Appear at Drfferent Times in Development
Nuclear lamina preparations from embryos of different developmental
stages were separated by two-dimensional gel electrophoresrs, and lamins
were detected by rmmunoblotting as described in the legend to
Figure 3.
(a) Nuclear lamina preparations of 150 embryos after the 10th cleavage
cycle; (b) 125 embryos after the 12th: (c) 100 embryos after the
13th; (d) 75 embryos from stage 10; (e) 65 embryos from stage 13; and
(f) 50 embryos from stage 20. Only those parts of the filters where spots
were visible are shown. The relative intensities of the two most basic
isoelectric variants of lamin L,,, varied somewhat in different experiments.
|
|
Frgure 5. The Concentrations of L, and Lrr Increase during Early Development
as Revealed by Coomassie Blue Staining
Nuclear lamina preparations of embryos at stage 8 (150 embryos each)
(a and c) and stage 27 (75 embryos each) (b and d) were separated
by two-dimensional gel electrophoresis and were then either starned
with Coomassie brilliant blue (a and b) or were processed for detechon
of lamin antigens by immunoblottmg, as described in the legend to Figure
2 (c and d). Lamin spots in (a) and (b), which were used for tryptic
pephde map analysis, are indicated by arrows. The arrow heads in (a)
and (b) mark three identical reference spots, which can be used to
compare intensities of the Coomassie blue staining in (a) and (b). Arrow
heads in (c) and (d) mark the position of the basic spot of 1251-BSA,
servrng as an internal marker in the immunoblotting experiments. Only
those regions of the gels and blotfilters that contain lamin spots are
shown.
|
|
Figure 6. Identification of Embryomc Lamins
by Tryptic Peptide Analysis
The lamin spots L,, Lrr, and Lrrr from the gel in
Figures 5a and 5b were cut out, were iodinated
within thegel slices, and were trypsinized. lodinated
tryptic peptides were also prepared from
oocyte and erythrocyte lamins. Samples were
applied at the bottom left, and electrophoresis
(E) and chromatography(C) were carried out in
the indicated directions. (a) L,,, from oocyte, (b)
L,,, from stage 27 embryos, (c) L, from erythrocytes,
(d) L, from stage 27 embryos, (e) LII from
erythrocytes, (f) LII from stage 27 embryos.
|
|
Figure 7. Synthesis of Lamin L,,, and L, Is Independent of Transcription in Early Development
X. laevis Q and X. borealis o hybrid embryos were labeled with %-methionine for 1 hr at stage 8-9, and polypeptides were separated by twodimensional
gel electrophoresis. (a, c, and e) labeling in the absence of a-amanitin; (b, d, and f) in the presence of a-amanitin. To visualize the lamin
polypeptides, blot filters were first reacted with anti-lamina serum (see legend to Figure 2) (c and d) and were then processed for fluorography (a
and b) to detect the 35S-labeled polypeptides. Lamin fractions from 75 embryos were loaded to each gel in (a) and (b). (e and f) Fluorograms of
the cytoplasmic fractions (equivalent to approximately 20 embryos.). Cl and C2 in (a and b) mark cytokeratins 1 and 2 according to Franz et al.
(1983). Arrows in (e) and (f) point toward the X. borealis polypeptide 1 and the X. laevis polypeptlde lL (Woodland and Ballantine, 1980). A (e and
f) marks the position of actin.
|
|
Figure 8. Pattern of the Lamina Polypeptide Composition during Oogenesis
and Early Development of Xenopus laevis
Lamin composition of oogonia has not been analyzed in detail. Oocyte
stages according to Dumont (1972), embryonic stages according to
Nieuwkoop and Faber (1967).
|