|
Figure 1. Wnt signaling generates a form of β-catenin that binds preferentially to TCF-GST compared with cadherin-GST. (A) Detergent-free supernatants were prepared from C57MG and Rat1 cells stably expressing Wnt-1, and HEK293T cells incubated overnight ± Wnt3a-conditioned media (CM). Samples were affinity precipitated using equimolar amounts of cad-GST or TCF-GST fusion proteins. GST gives no binding and is not depicted. A fivefold excess of parental cell lysates was required to detect a signal in lanes 5 and 6. Cytosolic β-catenin from C57MG parentals binds cad-GST and TCF-GST proteins equivalently, like the Rat1 and HEK293 controls (not depicted). The blot was probed with a pAb to β-catenin. (B) Preferential binding of β-catenin to TCF-GST over cadherin-GST is not observed with purified, recombinant β-catenin. Recombinant, purified Xenopus β-catenin (Suh and Gumbiner, 2003) and β-catenin from a C57MG/Wnt cytosolic fraction were affinity precipitated with cad-GST and TCF-GST proteins, and blotted with an antibody to β-catenin.
|
|
Figure 2. The COOH terminus of β-catenin restricts binding to cadherin. COOH terminus of β-catenin competes cadherin, but not TCF binding. (A) Schematic shows where α-catenin, cadherin, and TCF interact with β-catenin (Huber et al., 1997; Graham et al., 2000; Pokutta and Weis, 2000; Huber and Weis, 2001). (B) The COOH terminus of β-catenin binds the arm repeat region of β-catenin in yeast-two hybrid (Cox et al., 1999) and recombinant protein assays (Piedra et al., 2001). (C) COOH-terminal region of β-catenin competes β-catenin binding to cad-GST, but not to TCF-GST fusion protein. Recombinant β-catenin (1.5 μg) purified from baculovirus (Suh and Gumbiner, 2003) was incubated with cadherin-GST (2 μg) or TCF-GST (2.4 μg) coupled agarose beads in the presence of increasing amounts of β-catenin COOH-terminal peptide (amino acids 695â781). Affinity precipitates were analyzed by SDS-PAGE and Western blotting with an antibody to β-catenin. (D) Cadherin-GST preferentially depletes the fraction of β-catenin recognized by a COOH-terminal mAb (M5.2). A cytosolic fraction from Rat1/Wnt cells was affinity precipitated (Ã3) with cadherin-GST (lanes 1â3). The cad-GST nonbinding pool (lanes 4 and 5) was divided in two and immunoprecipitated with either an mAb that recognizes a COOH-terminal β-catenin epitope (βC-mAb (M5.2), lane 4) or an NH2-terminal β-catenin epitope (βN-mAb (1.1), lane 5). As a control, these antibodies were used to immunoprecipitate β-catenin from the total starting material (not previously depleted with cad-GST; lanes 6 and 7).
|
|
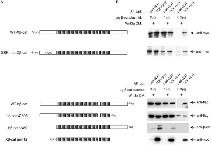
Figure 3. Differential binding activity of recombinant β-catenin as revealed by deletion analysis. (A) Schematic representation of β-catenin constructs. WT-myc-Xenopus β-catenin and GSK3β mutant (S/T>A residues 33, 37, 41, and 45) β-catenin were described previously by Guger and Gumbiner (2000). WT-human β-catenin-flag, ÎC695-flag and ÎN89-flag constructs were described in Kolligs et al. (1999). The myc-tagged, Xenopus β-catenin construct encoding only the arm repeat region of β-catenin was described previously (Funayama et al., 1995). (B) Recombinant β-catenin binding to cad-GST versus TCF-GST proteins. HEK293T cells were transfected with decreasing amounts of β-catenin plasmid and incubated in the presence (+) of Wnt3a conditioned media (CM). Cytosolic fractions were affinity precipitated and immunoblotted with anti-myc, -flag, or β-catenin antibodies. Input amounts of wild-type β-catenin, âÎC695, and arm 12 constructs were the same in accordance with similar expression levels (not depicted).
|
|
Figure 4. Larger molecular size, α-cateninâcontaining fractions of β-catenin show preferential binding to cad-GST. (A) A cytosolic fraction from stage 12 Xenopus embryos was applied to a Sephacryl 300 gel filtration column, and fractions 28â39 were divided in two: one half of each sample was TCA-precipitated (top blot), whereas the other half was precipitated with cad-GST (middle blot). The top blot was reprobed with an antibody to α-catenin and is shown below. (B) Same as A except that starting material is an S100 fraction from Rat1/Wnt cells. Arrows refer to elution volumes of standard proteins with known molecular weight: (a) catalase (Mr = 232,000); (b) BSA (Mr = 66,000), purified mouse IgG (150 kD) eluted in fractions 31â33.
|
|
Figure 5. The α-cateninâfree, monomeric form of β-catenin exhibits preferential binding to TCF compared with cadherin in Wnt cells. (A) Rat1 cells were labeled to steady-state with [35S]methionine/cysteine, and a cytosolic fraction was prepared from each condition (âWnt, +Wnt, 10 mM LiCl, 12 h) and immunoprecipitated with the designated antibodies or affinity precipitated with GST proteins. Note that immunoprecipitation of endogenous E-cadherin (from the 100,000 g membrane pellet, lanes 5, 10, and 16) and TCF (lane 11) are also shown. Non-specific bands were not seen with a GST control (not depicted). Overnight incubation with LiCl (10 mM) allows the α-cateninâfree pool of β-catenin to bind cad-GST, TCF-GST, and the endogenous E-cadherin (lanes 14â16), equivalently. (B). COOH-terminal epitopes of β-catenin are masked in the α-cateninâfree fraction of β-catenin. Equivalent amounts of an S100 fraction from [35S]methionine/cysteine steady-stateâlabeled Rat1+Wnt cells were immunoprecipitated with the following antibodies: antiâβ-catenin NH2-terminal mAb (1.1.1; lane 1), antiâβ-catenin COOH-terminal mAb (M5.2; lane 2), antiâα-catenin mAb (lane 4), and a nonimmune control (lane 3). (Lanes 5â7) PDZ protein, mLin7, preferentially binds to β-cateninâα-catenin dimer: metabolically labeled Rat1+Wnt lysates were affinity precipitated with (lane 5) antiâβ-catenin pAb, (lane 6) control GST, and (lane 7) mLin7-GST.
|
|
Figure 6. β-Catenin binding selectivity as a function of APC mutant status or GSK inhibition by LiCl. (A) A cytosolic fraction was prepared from colon carcinoma cell lines containing wild-type (HCT116) or mutant (HT29 and DLD1) forms of APC. (B) Selective binding activity of β-catenin in response to short-term, but not long-term treatment with LiCl. HEK293T cells were treated with 10 mM LiCl for 3, 6, and 15 h, after which cytosolic fractions were affinity precipitated as described above.
|
|
Figure 7. β-Catenin not phosphorylated at NH2-terminal GSK-3β sites binds to cadherin. (A) Cytosolic fraction from HEK293 cells ± Wnt3a was affinity precipitated with cad-GST and TCF-GST, and blotted with pAbs to β-catenin (top blot) or NH2-terminal unphosphorylatedâβ-catenin (amino acids 27â37, bottom blot). (B) NH2-terminal unphosphoâβ-catenin localizes to sites of cellâcell contact in Wnt-expressing cells. Rat1 fibroblasts ± Wnt were fixed and processed for immunofluorescence using standard protocols. Images were captured with the Axioplan 2 microscope and AxioVision2.0 software (Carl Zeiss MicroImaging, Inc.). Note that membrane staining of the unphospho-β-catenin (Cy3) is more readily detected under methanol, rather than PFA fixation conditions, perhaps accounting for the apparent differences observed between our study and Staal et al. (2002).
|
|
Figure 8. Cadherin phosphorylation reverses β-catenin binding selectivity during Wnt signaling. (A) Phosphorylation of cad-GST increases β-catenin binding to cadherin compared with TCF. A cytosolic fraction from L cells transfected with Wnt3a were incubated with equimolar amounts of cad-GST, TCF-GST, and CK2-P-cad-GST-glutathioneâcoupled beads for 1 h at 4°C (see Fig. S1 for characterization of GST fusion proteins). The resulting antiâβ-catenin and anti-GST immunoblots are shown. (B) Fraction of β-catenin that binds cadherin is a subset of fraction of β-catenin that binds TCF. Cytosolic fraction of Wnt cells was sequentially affinity precipitated with cad-GST (lanes 1â3) or TCF-GST (lanes 6â8) proteins. After cad-GST depletion (lanes 1â3), half of the cad-GST non-binding fraction (NB/2) was precipitated with TCF-GST (lane 4); the other half was precipitated with TCA to show amount remaining (lane 5, far right). After TCF-GST depletion (lanes 6â8), half of the TCF-GST non-binding fraction (NB/2, lane 9) was precipitated with cad-GST, whereas the other half was precipitated with TCA to show amount remaining (lane 10, far right). Lanes 5 and 10 reveal a fraction of β-catenin that binds neither TCF nor cadherin. This fraction is likely due to β-catenin already complexed with partners such as ICAT (Gottardi and Gumbiner, 2004). (C) Phosphorylated cadherin-GST and TCF-GST bind the same pool of β-catenin in Wnt-activated cells. Cytosolic fraction was precipitated with cad-GST (top blot), TCF-GST (bottom left) or P-cadherin-GST (bottom right) fusion proteins. After cad-GST depletion (lanes 2â4 and 7â9), there is a fraction of β-catenin that binds TCF-GST (lane 5) and P-cadherin-GST (lane 10). Note that after TCF-GST depletion (lanes 13â15), there is no β-catenin remaining to bind P-cadherin-GST (lane 16). After P-cadherin-GST depletion (lanes 18â20), there is no β-catenin remaining to bind TCF-GST (lane 21). Reciprocal depletions suggest that P-cadherin-GST and TCF-GST bind the same form of β-catenin.
|
|
Figure 9. Multiple forms of β-catenin exist in cells. NH2-terminal phospho-β-catenin is well characterized and generated by the APC-Axin-GSK3β-CK1 complex (dashed line). Closed form of β-catenin is generated by Wnt signaling, perhaps through some of the same machinery (gray arrow). β-Cateninâα-catenin dimer is active for adhesion but not signaling. Open form binds both cadherin and TCF, and could explain how cadherin antagonizes β-catenin signaling in overexpression systems. The inactive form cannot participate in adhesion or signaling.
|