|
Figure 1. Characterization of X. laevis anillin. (A) Western blot of 20 ô°g of crude X. laevis egg extract with preimmune serum, immunized serum, and affinity-pu- rified antibody. (B) Coimmunoprecipitation of anillin and actin from Xenopus egg extracts. Lane 1, interphase extract precipitated with rabbit IgG; lane 2, CSF extract precipitated with IgG; lane 3, interphase extract precip- itated with anti-anillin; lane 4, CSF extract precipitated with anti-anillin. (C) immunofluorescence images XTC cells stained for DNA, anillin, actin, and myosin II.
|
|
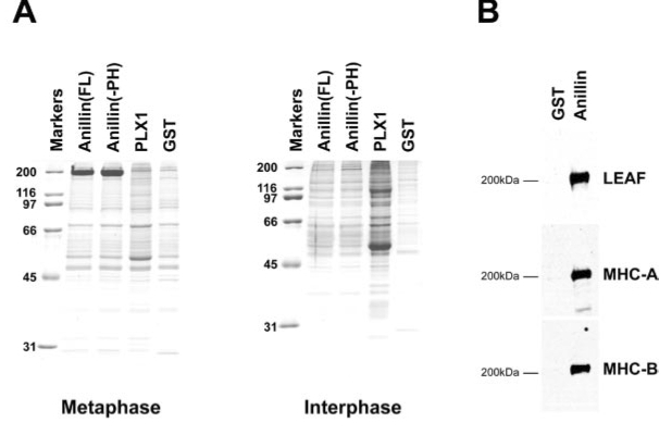
Figure 2. Anillin affinity chromatography. (A) Eluates from anillin (full length [FL] or without pleckstrin ho- mology domain [-PH]), Polo kinase (PLX1), or GST columns. Left, cytostatic factor arrested extracts. Right, interphase extracts. (B) Eluates from GST and full-length anillin columns immunoblotted with antibodies to nonmuscle myosin II heavy chain.
|
|
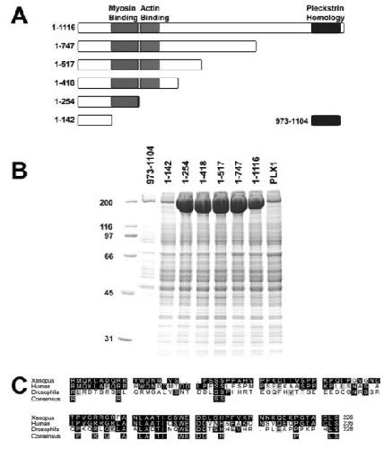
Figure 3. Delineation of myosin II binding region in anillin. (A) Schematic of anillin truncation fragments with minimal myosin binding region, region homologous to actin binding region, and pleckstrin homology domain highlighted. (B) Eluates from affinity columns for each of the fragments of anillin and Polo kinase (PLX1). Myosin II is the prominent band at 200 kDa. (C) Homology align-ment of Xenopus, human, and Drosophila anillin in the myosin binding region.
|
|
Figure 4. Anillin binds activated myosin II. Myosin II precipitation by anillin after myosin II phosphorylation by MLCK, Cdc2/CyclinB, Polo kinase, or no kinase.
|
|
Figure 5. Myosin II and anillin organization in arrested contractile rings. (A) DNA, tubulin, and anillin staining in a blebbistatin-arrested HeLa cell. (B) Image plane at the coverslip surface in a blebbistatin-arrested HeLa cell stained for anillin and myosin II. (C) Enlarged view of B. Bars, 5 um.
|
|
Figure 6. Depletion of anillin by dsRNA in Drosophila cells. (A) Western blot of anillin depletion at varying dsRNA concentrations. (B) Quantitation of multinucle- ate phenotype in untreated or 75 nM anillin dsRNA- treated cells. (C) Image of control or anillin dsRNA- treated cells stained for DNA and cell volume. (D) Image of Drosophila cell untreated or anillin dsRNA treated during cytokinesis stained for DNA, anillin, and myosin II. Bar, 5 um.
|
|
Figure 7. Depletion of myosin II by dsRNA in Drosophila cells. (A) Western blot of myosin II after control and 100 nM myosin II dsRNA treatment. (B) Quantitation of multinucle- ate phenotype in untreated or myosin II dsRNA-treated cells. (C) DNA staining of multinucleate cells in control or myosin II dsRNA-treated cells. (D) Image of control or myosin II dsRNA-treated cells during cytokinesis stained for DNA, anillin, and myosin II. Bar, 5 um.
|
|
Figure 8. Depletion of anillin by siRNA in HeLa cells. (A) Western blot with anti-anillin of whole cell lysates after treatment with no RNA, control siRNA, or siRNA directed against human anillin. (B) Frequency of multinucleation in control or siRNA-treated HeLa cells. (C) immunofluorescence staining of DNA (blue), anillin (green), and myosin II (red) in HeLa cells treated with control or anillin siRNA. (D) Single frames of YFP- Myosin fluorescence from Movie S4, control, and Movie S8, anillin siRNA. White arrow indicates position of contractile ring. Bars, 5 um.
|
|
Figure S1 – Myosin binding to Anillin and control GST beads. Coomassie staining of eluates from anillin or GST columns after phosphorylation as described in Figure 4.
|
|
Figure S2 – Drosophila Kc167 cells fixed and stained for DNA, myosin II, anillin and tubulin during different stages of cytokinesis. Scale bar represents 5 μm.
|
|
Figure S3 – Drosophila Kc167 cells treated with dsRNA for anillin then fixed and stained for DNA, myosin II, anillin and tubulin during different stages of cytokinesis. Scale bar represents 5 μm.
|