|
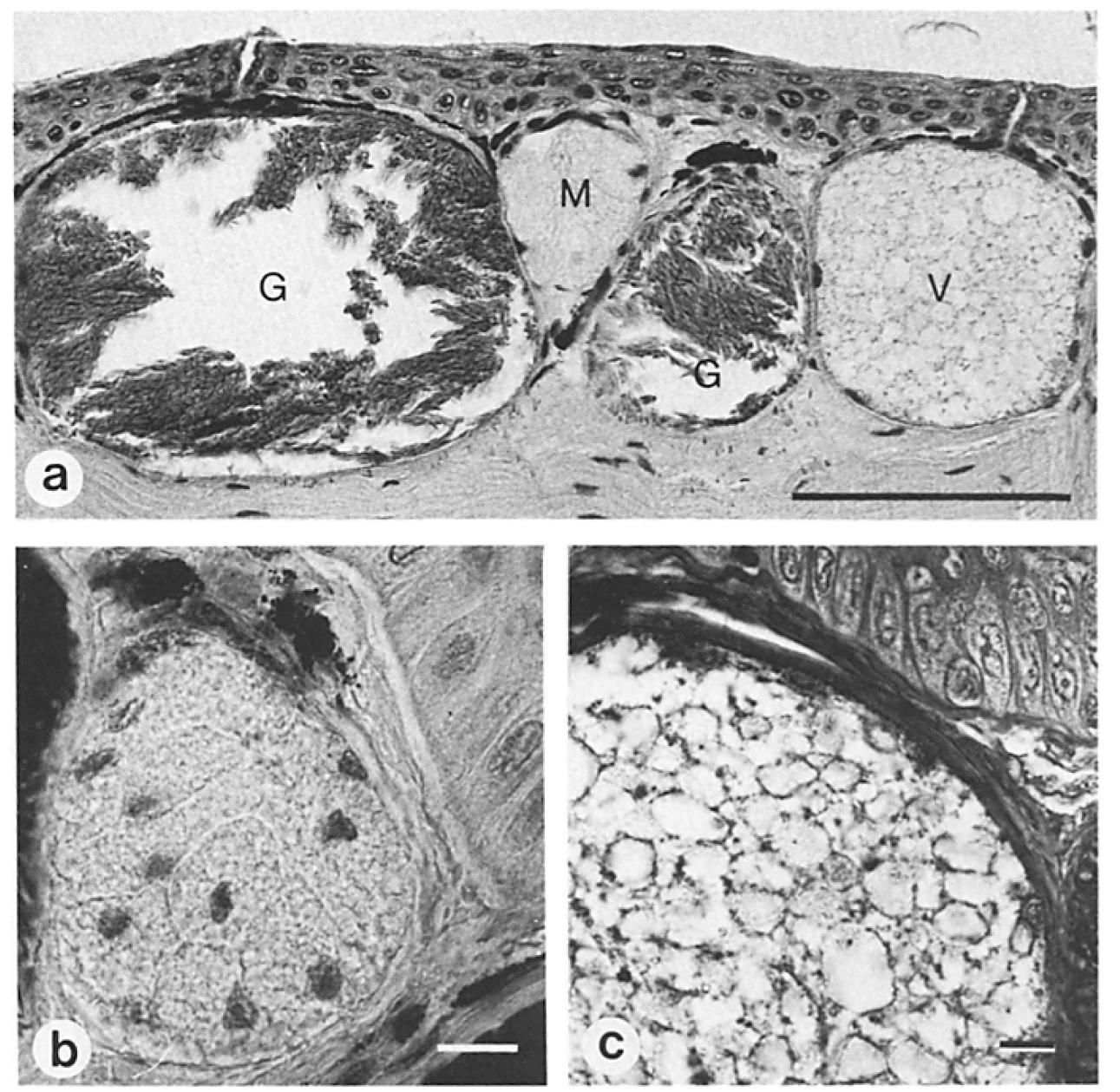
Figure 1. Light micrographs of the skin
of adult Xenopus laevis. (a) Overall view
of Bouin-fixed and azocarmin-aniline
blue stained sections show mature granular
glands (G), mucous glands (M),
and the vacuolated stage (V) of premature
granular glands. The glands lie in
the dennis and open towards the surface
via ducts. (b) Early stage in granular
gland development where the cell membranes
of the secretory cells are still intact.
(c) Detail of the vacuolated stage.
Cell membranes have now disappeared
and the nuclei are situated at the periphery
of the acinus, however, storage granules
are still absent at this stage. (a) Bar,
100 lam. (b) Bar, 10 ~tm. (c) Bar, 10 I.tm.
|
|
Figure 2. Electron micrographs of the vacuolated stage of a premature granular gland. The tissue was fixed in Karnovsky's solution and
1% OSO4. (a) Residual cell organelles are confined to areas close to the nucleus (N) at the periphery of the acinus. Near the Golgi apparatus
(GA) vesicular structures can be observed (arrowheads). (b) The interior of the gland is filled with vacuolated material. The vacuoles
(V) contain droplets and electron-opaque cores (arrows), the sites where immunoreactive material first becomes aggregated during granular
gland development. (a) Bar, 1 ~m. (b) Bar, 1 lain.
|
|
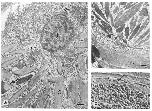
Figure 3. (a and b) Electron micrographs of granular skin glands in adult Xenopus laevis. The tissue was fixed in Karnovsky's solution
and l% OSO4. Cytoplasmic organelles, such as Golgi apparatus (GA) and multicored bodies (arrow), are confined to the area around the
nucleus (N) at the periphery of the gland. The interior of the acinus is filled with spheroid storage granules (G). The storage granules
in (b) show sites of immunoreactivity after incubation with anti-caerulein antiserum and gold-labeled goat anti-rabbit IgG (gold particle
size, 10 nrn). The granular gland is surrounded by a myoepithelial cell layer (ME). (c) Light micrograph of freeze-dried tissue. Arrows
indicate the narrow cytoplasmic area between the myoepithelial cells and the storage granules. (a) Bar, 1/am. (b) Bar, 1 ~,n. (c) Bar, 10 p.m.
|
|
Figure 4. Caerulein and PYL~-immunocytochemistry. (a and b) Colocalization of caerulein- and PYL~-immunoreactive material in the
granular gland. 6-~tm sections of Bouin-fixed tissue were treated with anti-caerulein (a) or anti-PYL ~ antisera (b), followed by a routine
PAP staining method (for details see Materials and Methods). Caerulein- and PYL~-immunoreactive material could be demonstrated
within the same granular gland (G) in serial sections, whereas the vacuolated stage (V) and the mucous gland (M) showed no immunoreactivity.
(c-e) Electron micrographs of immunolabeled storage granules. Ultrathin sections of 4% paraformaldehyde/0.25 % glutaraldehyde-
(c and d) or Karnovsky-fixed (e) tissue were subsequently incubated with anti-caerulein (c) or anti-PYL a antisera (d and e) and goldlabeled
goat anti-rabbit IgG (gold particle size, 10 nm). Embedding media: (c) LR-White; (d) polyvinyl-alcohol. (c and d) Both, caeruleinand
PYLa-immunoreactive material is located within the storage granules. (e) In the vacuolated stage immunoreactive material is localized
in the electron-opaque cores within the vacuoles (arrows). Here, the secretory peptides can be demonstrated first during granular gland
development. (a and b) Bar, 100 ~tm. (c) Bar, 0.5 tim. (d) Bar, 0.5 ~tm. (e) Bar, 0.5 ~tm.
|
|
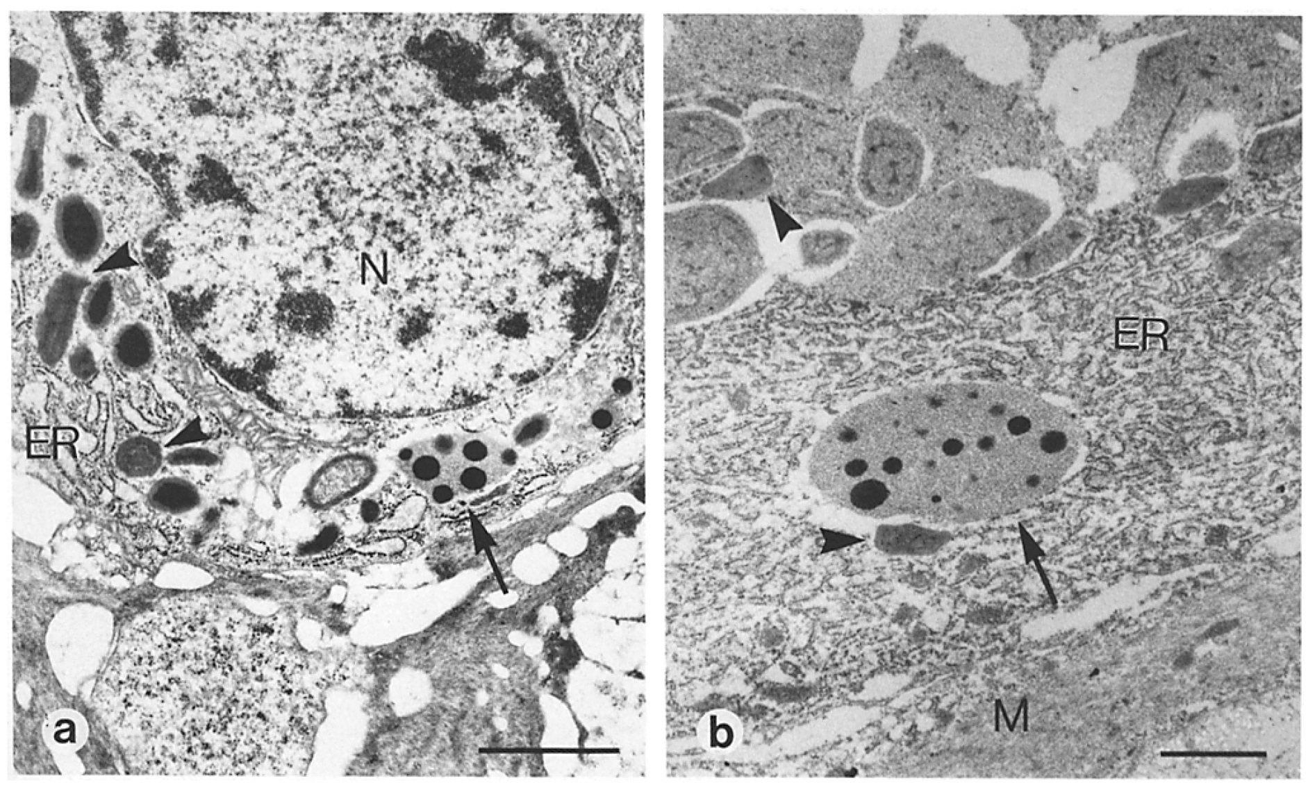
Figure 5. Electron micrographs of multicored bodies in mature
granular glands. Xenopus laevis skin was fixed in Karnovsky's solution
(a) or 4 % paraformaldehyde/0.25 % glutaraldehyde (b) and 1%
OsO4. Ultrathin sections were then incubated with anti-caerulein
(a) or anti-PYL" antisera and gold-labeled goat anti-rabbit IgG
(gold particle size, 20 nm [a] and 10 nm [b]). (a) The multicored
bodies are located near the Golgi apparatus (GA). Immunoreactive
material seems to become concentrated in a granular-like dense
core (arrow), which finally buds off from the organelle (b); nucleus
(N), storage granule (G). (a) Bar, 0.5 Ixm. (b) Bar, 0.5 ~tm.
|
|
Figure 6. Appearance of the regenerating gland after experimental discharge of storage granules at different times of regeneration. Xenopus
laevis skin sections (5 lam, Bouin-fixed and embedded in paraffin): (a) In glands regenerating for 1 wk, the myoepithelial cells are still
contracted. Cells in the interior of the gland proliferate (arrows). No storage granules can be seen at this stage. (b) 2 wk after stimulation,
the secretory cells begin to fuse and form small syncytial compartments (arrows). (c) After 3 wk, the lumen is filled with mature storage
granules (SG) and the gland has formed a cellular secretory epithelium. (b' and c') Immunocytochemistry in regenerating granular skin
glands. Sections were incubated with anti-caerulein antibody and processed with a routine PAP staining technique. (b') 2 wk after stimulation
immunoreactive caerulein can first be observed; (c') the secretory epithelium within the 3 wk regenerating gland reveals intensive
immunoreactivity. (a) Bar, 50 p.m. (b) Bar, 50 lam. (c) Bar, 50 I.tm. (b') Bar, 50 p.m. (c') Bar, 100 p.m.
|
|
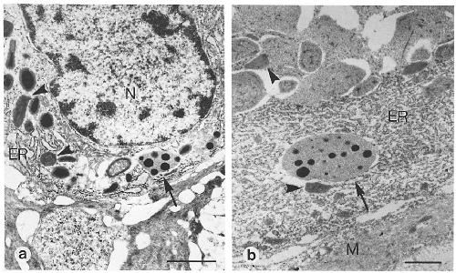
Figure 7. Electron micrographs of secretory compartments of regenerating granular glands: the tissue was fixed in a solution of 4 % paraformaldehyde
and 0.25 % glutaraldehyde and (a) was postfixed in OsO4. (a) Syncytial secretory compartment in a 2 wk regenerating granular
gland contains extended rough endoplasmic reticulum (ER), multicored bodies (arrows), and some mature storage granules (arrowheads).
(b) The secretory epithelium of a gland 3 wk after extrusion of secretory granules is packed with rough endoplasmic reticulum (ER) and
contains large multicored bodies (arrows) as well as mature storage granules (arrowheads). Nucleus (N); myoepithelial cells (M). (a) Bar,
1 ~rn. (b) Bar, 1 p.m.
|
|
Figure 8. SDS PAGE of total protein
content and partially purified
DAP isolated from granules derived
from regenerating glands.
Lanes 1-5, proteins in storage
granules expelled by glands that
were allowed to regenerate for (1)
8, (2) 1, (3) 2, (4) 3, and (5)
4 wk. Lanes 6--10, DAP partially
purified from secretory granules
isolated from glands aged (6) 8,
(7) 1, (8) 2, (9) 3, and (10) 4 wk.
The band previously identified as
DAP (reference 9) is indicated by
a dot.
|