XB-ART-28244
Exp Eye Res
1987 Mar 01;443:393-406.
Show Gene links
Show Anatomy links
The distribution of F-actin in cells isolated from vertebrate retinas.
???displayArticle.abstract???
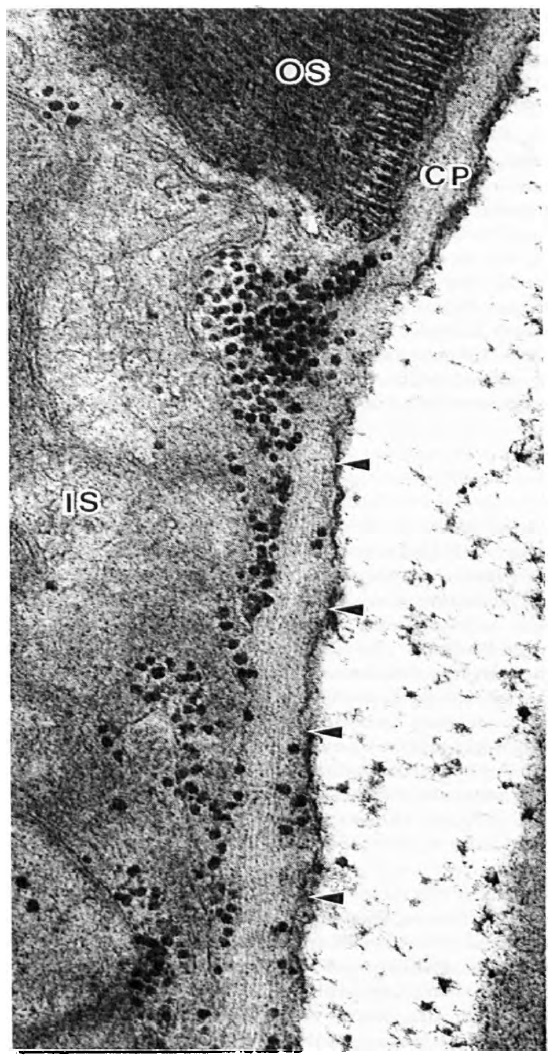
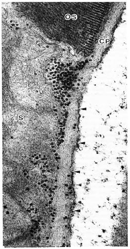
Filamentous actin has been localized in isolated retinal neurons and glia using fluorescent phallotoxin. Photoreceptors, bipolar cells, horizontal cells, amacrine cells and Müller (glial) cells were isolated by gentle enzymatic digestion of frog, lizard, rabbit, rat and cat retinas. The cells were then fixed in paraformaldehyde and stained with rhodamine-phalloidin. The patterns of fluorescence recorded were specific for each cell type. All interneurons had spots of bright fluorescence along dendrites and (or) axon terminals, probably corresponding to synaptic sites. Horizontal cells and Müller cells had a continuous subplasmalemmal layer of fluorescence throughout; this layer was also present in bipolar cells, but only in the region of cytoplasm at the base of the dendrites. Müller cells also had bright fluorescence in their apical microvilli and terminal web and associated with the zonulae adhaerentes junctions between Müller cells and photoreceptors. All photoreceptors exhibited fluorescence in their synaptic terminals, in a ring just sclerad to the nucleus (corresponding to zonulae adhaerentes junctions formed with Müller cells), and in cables running longitudinally in the inner segment. Frog photoreceptors also had processes alongside their outer segments. Rods from mammals and Xenopus had distinct spots of fluorescence at the outer segment base in a region that suggests involvement with morphogenesis of new outer-segment disc membrane.
???displayArticle.pubmedLink??? 3496232
???displayArticle.grants???
Species referenced: Xenopus laevis
Genes referenced: actb actl6a cat.2
???attribute.lit??? ???displayArticles.show???
