Click here to close
Hello! We notice that you are using Internet Explorer, which is not supported by Xenbase and may cause the site to display incorrectly.
We suggest using a current version of Chrome,
FireFox, or Safari.
Expression sequences and distribution of two primary cell adhesion molecules during embryonic development of Xenopus laevis.
Levi G
,
Crossin KL
,
Edelman GM
.
???displayArticle.abstract???
Studies of chicken embryos have demonstrated that cell adhesion molecules are important in embryonic induction and are expressed in defined sequences during embryogenesis and histogenesis. To extend these observations and to provide comparable evidence for heterochronic changes in such sequences during evolution, the local distributions of the neural cell adhesion molecule (N-CAM) and of the liver cell adhesion molecule (L-CAM) were examined in Xenopus laevis embryos by immunohistochemical and biochemical techniques. Because of the technical difficulties presented by the existence of multiple polypeptide forms of CAMs and by autofluorescence of yolk-containing cells, special care was taken in choosing and characterizing antibodies, fluorophores, and embedding procedures. Both N-CAM and L-CAM were found at low levels in pregastrulation embryos. During gastrulation, N-CAM levels increased in the presumptive neural epithelium and decreased in the endoderm, but L-CAM continued to be expressed in all cells including endodermal cells. During neurulation, the level of N-CAM expression in the neural ectoderm increased considerably, while remaining constant in non-neural ectoderm and diminishing in the somites; in the notochord, N-CAM was expressed transiently. Prevalence modulation was also seen at all sites of secondary induction: both CAMs increased in the sensory layer of the ectoderm during condensation of the placodes. During organogenesis, the expression of L-CAM gradually diminished in the nervous system while N-CAM expression remained high. In all other organs examined, the amount of one or the other CAM decreased, so that by stage 50 these two molecules were expressed in non-overlapping territories. Embryonic and adult tissues were compared to search for concordance of CAM expression at later stages. With few exceptions, the tissue distributions of N-CAM and L-CAM were similar in the frog and in the chicken from early times of development. In contrast to previous observations in the chicken and in the mouse, N-CAM expression was found to be high in the adult liver of Xenopus, whereas L-CAM expression was low. In the adult brain, N-CAM was expressed as three components of apparent molecular mass 180, 140, and 120 kD, respectively; in earlier stages of development only the 140-kD component could be detected. In the liver, a single N-CAM band appears at 160 kD, raising the possibility that this band represents an unusual N-CAM polypeptide. L-CAM appeared at all stages as a 124-kD molecule.(ABSTRACT TRUNCATED AT 400 WORDS)
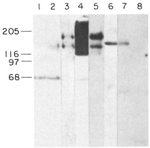
Figure L Characterization of the antibodies used in these studies.
Lanes 1-4, immunoblotting pattern obtained with antibodies 684
(lane 1 ), 7C8 (lane 2), and 10H4 (lane 3) directed against Xenopus
N-CAM and with antibody 541 (lane 4) against chicken N-CAM
on NP-40 extracts of adult Xenopus brain membranes; 60 I~g of total
protein per lane. Lanes 5-7, recognition with antibody 541 against
chicken N-CAM of material immunoprecipitated from NP-40 extracts
of adult Xenopus brain membrane using antibodies 684 (lane
5), 7C8 (lane 6), and 10H4 (lane 7). Lanes 8-9, recognition with
antibody 684 of material immunoprecipitated with antibodies 7C8
(lane 8) and 10H4 (lane 9) from NP-40 extracts of adult Xenopus
brain membranes. Lane 10, immunoblotting pattern obtained with
antibody 701 against chicken L-CAM on adult Xenopus skin extract.
Molecular mass markers are at 205, 116, and 97 kD, respectively.
Figure 2. Stage 9 blastula stained with rabbit polyclonal antibodies. Both N-CAM (a, b) and L-CAM (c, d) are expressed in all cells of
the embryo, in the animal (a and c) and in the vegetal regions (b, d, e, f). N-CAM staining appears to be associated with the plasma membrane,
while L-CAM appears to be more diffuse in the cytoplasm. (e) Control staining with normal rabbit serum. (f) Phase contrast.
Bar, 100 um.
Figure 3. Stage 11.5 gastrula
stained with polyclonal antibodies
against N-CAM (a, c)
or L-CAM (a', c') in the prospective
neural ectoderm (a,
a', b) and the dorsal lip of the
blastopore (c, c', d). Sagittal
sections in a plane passing
through the induced presumptive
neural plate. The expression
of N-CAM increased in
the presumptive neural ectoderm
and the molecule is still
present in the underlying mesoderm
and at low lzvels in the
endoderm. L-CAM continued
to be expressed in all ceils. (b)
Phase contrast of neural ectoderm.
(d) Staining pattern
with normal rabbit serum on
the dorsal lip showing a low
level of autofluorescence in
the yolk plug and the margin
of the dorsal lip. Arrows point
to the limit of the dorsal lip.
Bar, 100 um.
Figure 4. Primary induction. Embryos at stage 16 (a, a'), stage 18 (b, b'), or stage 20 (c, c') were stained with polyclonal antibodies directed
against N-CAM (a-c) and L-CAM (a'-c'). N-CAM staining gradually increases in the neural ectoderm and persists at lower levels in the
notochord and somites. L-CAM continues to be expressed by most cells of the embryo, n, notochord; s, somite. Bar, 100 um.
Figure 5. Formation of the otic vesicle. Staining pattern of polyelonal antibodies directed against N-CAM (a-c) and L-CAM (a'-c'). (a,
a') Stage 25; (b, b') stage 33; (c, c') stage 39. N-CAM expression strongly increases during condensation of the plaeodes; during later
development N-CAM persists in the ganglia but gradually disappears from the non-neural epithelia. L-CAM expression also increases
in the placodes, but unlike N-CAM, L-CAM persists in the epithelia and decreases from the ganglia (arrows in c and c'). L-CAM eventually
will disappear from all neural structures. Bars, 50 um.
Figure 6. Embryonic organogenesis.
Staining pattern of
polyclonal antibodies directed
against N-CAM (a-c) and
L-CAM (a'-c') in stage 39
embryo. (a, a') Eye; (b, b')
notochord, somites, and pharynx;
(c, c') pronephros and
skin (arrows). n, notochord;
s, somite; p, pharynx. Bar,
100 um.
Figure 7. Adult Xenopus organs. Staining pattern of polyclonal antibodies directed against N-CAM (a-f) and L-CAM (a'-f'). Retina (a,
a'). Brain (b, b'). Peripheral nerve (c, c'). Skin (d, d~. Kidney (e, e'). Intestine (f, f'). N-CAM expression persisted in the central nervous
system and in non-myelinated fibers of the peripheral nervous system and it disappeared from most epithelia. No detectable levels of L-CAM
expression could be found in the nervous system, the molecule was expressed in the epithelia lining all surfaces of the body such as the
stratum germinativum of the skin (d'), glandular epithelium (arrow in d'), the tubuli of the kidney (e'), and the lining of the intestine (f').
L-CAM was not expressed in the glomeruli of the kidney (arrow in e'). Bar, 100 um.
Figure 8. Adult Xenopus liver. (a) Polyclonal antibody anti-Xenopus N-CAM. (b) Polyclonal antibody anti-L-CAM. (c) Monoclonal antibody
7C8. (d) Monoclonal antibody 10H4. (e) Cross-reactive polyclonal antibody against chicken N-CAM. (f) Normal rabbit serum. The
presence of N-CAM in the liver was detected by all the antibodies directed against all the components of N-CAM. Monoclonal antibody
10H4 (d), which recognizes predominantly the 180-kD component of N-CAM, did not give any significant staining in the liver. L-CAM
staining appeared as diffuse and intraeellular in the hepatocytes. Bar, 100 um.
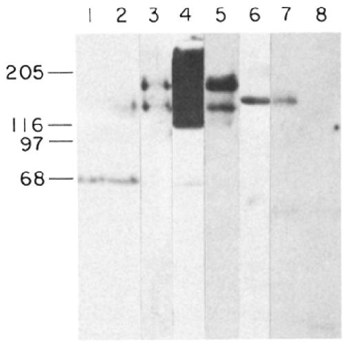
Figure 9. Biochemical characterization of N-CAM at different
stages of development and in the adult liver. Lanes 1 and 2, monoclonal
antibody 7C8 was coupled to Sepharose beads and used to
immunoprecipitate N-CAM from extracts of stage 12 gastrula. The
immunoprecipitated material was then resolved by SDS-PAGE,
transferred to nitrocellulose paper, and visualized using polyclonal
anti-N-CAM antibody followed by radiolabeled protein A and autoradiography.
Lane 1, 7C8 beads before incubation with gastrula extract;
lane 2, material immunoprecipitated with 7C8 beads from
gastrula extracts. Lane 3-5, N-CAM at stage 28 (lane 3), stage 56
(lane 4), and adult brain as revealed by polyclonal rabbit antibodies.
Lane 6, immunoblot of adult liver extract (100 gg) with polyclonal
antibody anti-Xenopus N-CAM. Lanes 7and 8, material immunoprecipitated
from adult liver extracts using, respectively,
immobilized monoclonal antibodies 7(28 and 10H4, and revealed in
immunoblots with polyclonal antibody against Xenopus N-CAM.
Molecular mass markers are at 205, 116, 97, and 68 kD, respectively
Balak,
Neural cell adhesion molecule expression in Xenopus embryos.
1987,
Pubmed
,
Xenbase
Bertolotti,
A cell surface molecule involved in aggregation of embryonic liver cells.
1980,
Pubmed
Chuong,
Expression of cell-adhesion molecules in embryonic induction. I. Morphogenesis of nestling feathers.
1985,
Pubmed
Chuong,
Expression of cell-adhesion molecules in embryonic induction. II. Morphogenesis of adult feathers.
1985,
Pubmed
Crossin,
Expression sequences of cell adhesion molecules.
1985,
Pubmed
Cunningham,
Neural cell adhesion molecule: structure, immunoglobulin-like domains, cell surface modulation, and alternative RNA splicing.
1987,
Pubmed
Cunningham,
Molecular topography of the neural cell adhesion molecule N-CAM: surface orientation and location of sialic acid-rich and binding regions.
1983,
Pubmed
D'Eustachio,
Chromosomal location of the gene encoding the neural cell adhesion molecule (N-CAM) in the mouse.
1985,
Pubmed
Edelman,
Cell adhesion and morphogenesis: the regulator hypothesis.
1984,
Pubmed
Edelman,
Early epochal maps of two different cell adhesion molecules.
1983,
Pubmed
Edelman,
Cell adhesion molecules in the regulation of animal form and tissue pattern.
1986,
Pubmed
Fraser,
Alteration of the retinotectal map in Xenopus by antibodies to neural cell adhesion molecules.
1984,
Pubmed
,
Xenbase
Gallin,
Sequence analysis of a cDNA clone encoding the liver cell adhesion molecule, L-CAM.
1987,
Pubmed
Gallin,
Characterization of L-CAM, a major cell adhesion molecule from embryonic liver cells.
1983,
Pubmed
Gallin,
Antibodies to liver cell adhesion molecule perturb inductive interactions and alter feather pattern and structure.
1986,
Pubmed
Gurdon,
Injected nuclei in frog oocytes:RNA synthesis and protein exchange.
1976,
Pubmed
,
Xenbase
Hemperly,
cDNA clones of the neural cell adhesion molecule (N-CAM) lacking a membrane-spanning region consistent with evidence for membrane attachment via a phosphatidylinositol intermediate.
1986,
Pubmed
Hemperly,
Sequence of a cDNA clone encoding the polysialic acid-rich and cytoplasmic domains of the neural cell adhesion molecule N-CAM.
1986,
Pubmed
Hoffman,
Chemical characterization of a neural cell adhesion molecule purified from embryonic brain membranes.
1982,
Pubmed
Hoffman,
Kinetics of homophilic binding by embryonic and adult forms of the neural cell adhesion molecule.
1983,
Pubmed
Hoffman,
Evolutionary conservation of key structures and binding functions of neural cell adhesion molecules.
1984,
Pubmed
,
Xenbase
Jacobson,
Induction of neural cell adhesion molecule (NCAM) in Xenopus embryos.
1986,
Pubmed
,
Xenbase
Keller,
The function and mechanism of convergent extension during gastrulation of Xenopus laevis.
1985,
Pubmed
,
Xenbase
Keller,
Vital dye mapping of the gastrula and neurula of Xenopus laevis. II. Prospective areas and morphogenetic movements of the deep layer.
1976,
Pubmed
,
Xenbase
Keller,
Vital dye mapping of the gastrula and neurula of Xenopus laevis. I. Prospective areas and morphogenetic movements of the superficial layer.
1975,
Pubmed
,
Xenbase
Kintner,
Expression of Xenopus N-CAM RNA in ectoderm is an early response to neural induction.
1987,
Pubmed
,
Xenbase
Laemmli,
Cleavage of structural proteins during the assembly of the head of bacteriophage T4.
1970,
Pubmed
Murray,
Alternatively spliced mRNAs code for different polypeptide chains of the chicken neural cell adhesion molecule (N-CAM).
1986,
Pubmed
Murray,
Cell surface modulation of the neural cell adhesion molecule resulting from alternative mRNA splicing in a tissue-specific developmental sequence.
1986,
Pubmed
Newport,
A major developmental transition in early Xenopus embryos: II. Control of the onset of transcription.
1982,
Pubmed
,
Xenbase
Owens,
Organization of the neural cell adhesion molecule (N-CAM) gene: alternative exon usage as the basis for different membrane-associated domains.
1987,
Pubmed
Peyriéras,
Uvomorulin: a nonintegral membrane protein of early mouse embryo.
1983,
Pubmed
Richardson,
Expression of cell adhesion molecules during embryonic induction. III. Development of the otic placode.
1987,
Pubmed
Shirayoshi,
The calcium-dependent cell-cell adhesion system regulates inner cell mass formation and cell surface polarization in early mouse development.
1983,
Pubmed
Shirayoshi,
Cadherin cell adhesion molecules with distinct binding specificities share a common structure.
1986,
Pubmed
Thiery,
Cell adhesion molecules in early chicken embryogenesis.
1982,
Pubmed
Thiery,
Ontogenetic expression of cell adhesion molecules: L-CAM is found in epithelia derived from the three primary germ layers.
1984,
Pubmed
Towbin,
Electrophoretic transfer of proteins from polyacrylamide gels to nitrocellulose sheets: procedure and some applications.
1979,
Pubmed