|
Fig. 1. Graded external morphologies following early blastular lithium treatment. (A) A group of Li+-treated embryos
at late tailbud stages, surrounding a control of normal morphology. The upper group of four have severe versions of
pattern restriction (grades 4, 3) while the lower pair represent grades 2 and then 1, the attenuated versions. (B)
Sketches of the external forms seen at stage 32. Reading from left to right and top to bottom, these are the normal;
gTade 4; the versions of grade 3 with incomplete (iii) and complete (iv) blastopore closure (see text); and a grade 2 (v)
and grade 1 (vi) pair as in A. (C) Lateral views of a normal early gastrula stage 10 (upper) and of a synchronous
embryo due to develop into a severe (gTade 4) pattern-restricted form. Note the high, near-equatorial position and
synchronous, ring-shaped development of the zone of blastoporal activity. Scale bar for the drawings, approx. 1 mm. eg,
cement gland; ec, eyecup; rn, radial neuralized area; ev, ear vesicle; g, gill architecture;
fl, prominent flange-shaped zone of gut morphology (see text); bl, original blastocoel cavity; pn, pronephros; 5, somites;
bp, blastopore or open blastoporal rim.
|
|
Fig. 2. Amounts of somite and notochord, and
occurrence of blood, in fully pattern-restricted bodies.
(A,B) Phase-contrast and immunofluorescent images for
Xenopus somite muscle in a stage-40 grade-4 Li+ body.
Note massiveness of notochord (nc) and very small
allocation to somite, whose position is indicated by an
arrow on the phase picture. (C,D) Immunofluorescence
for muscle in transverse sections of stage-40 normal
development, at ear vesicle/hindbrain and trunk axial
levels respectively. Note the small allocation of somite, in
relation to the more constant-sized notochord allocation,
at the former more anterior level. (E) Part of a
'horizontal' section (stage 40) through that portion of the
fully pattern-restricted body that hangs downmost in
gravity, showing cells resembling the normal immature
blood of the mid 30s stage larva in Feulgen, light green
and orange G staining. Note intense nuclear staining and
free, nonadhesive appearance of the cells concerned.
(F,G) Immunofluorescence for Xenopus larval and adult
globins at control stage 40, in part of the grade-4 Li+
body near that seen in E and in a grazing section near the
heart of the normal larva, respectively. Note relatively
massive development but immaturity of the blood tissue
in F as opposed to the brightly fluorescing, circulating
blood cells of G. Magnifications, (A,B,F,G) xl60, (C,D)
X100, (E) x250.
|
|
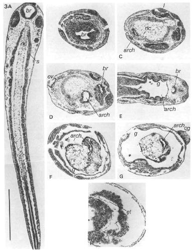
Fig. 3. Sections through severely pattern-restricted
lithium bodies. (A) Horizontal section at notochord level
through the normal stage-32 body; br, brain. (B) Section
through the turret-shaped neural area and grazing the
ring of cement gland formations, in a grade-4 Li+
embryo. The evaginations from a central neural cavity
and the peripheral formations with the appearance of
eyecup indicate the diencephalic level of development.
(C) A subsequent level of section and from, a body
showing somewhat more anteroposterior directionality.
Note the massive notochord allocation, the more clearly
retinal structures (more than two are typically seen), the
narrow strips of unorganized somite material and the
transversely sectioned tunnel of archenteron traversing
the posterior 'side' of the notochord. The notochord
shows no gradation of differentiation stage; e, eye; /, lens.
(D) Similar section level to C but showing an ear vesicle
in addition to eyecup and midbrain profiles, and a wider
archenteron tunnel which is not passing 'posterior' to the
notochord. (E) Horizontal section through the pharynx or
gill architecture of the normal body. Note shape of the
thin endodermal wall and character of the relatively
massive investing mesenchymes. (F,G) Sections through
the pharynx or gill region in two almost radial patternrestricted
bodies. Note the shape and thinness of the
endodermal wall of the main archenteric cavity and the
mesenchymal areas. The thick downwardly projecting
'peg' of notochord and its accompanying minor
archenteron, passing down through the larger endodermlined
region, is also seen. (H) Sectional level beneath that
of F and G, and in a body with more evidence of
directionality of pattern. The now thick-walled endoderm
is invested with broad, squamous endothelial-lined
cavities (ei) reminiscent of the portal system between
liver and heart regions of the normal body. A grazing
section of endoderm-like the normal posterior pharynx
floor (not illustrated) is also seen. Other labels as in
Fig. 1. Magnification, x63 throughout. Scale bar, 1mm
approx.
|
|
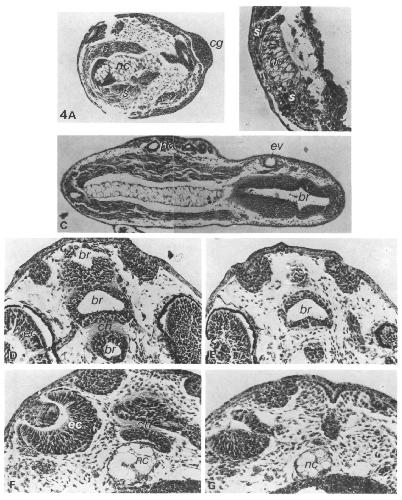
Fig. 4. Sections through bodies with attenuated versions
of the pattern restriction. (A) Grade-2 body at notochord
level. Four somite segments are apparent opposite the
fully differentiated, anterior notochord sector. The single
focused cement gland is seen. The placode of singlelayered,
cuboidal epithelium at top left, though open,
almost certainly represents ear vesicle. (B) Higher power
view of the rear end of the body of A at a more ventral
level near the blastopore. This shows an obliquely
sectioned portion of the impacted, immature notochord,
with small allocations of disorganized somite tissue,
characteristic of the grade 2 or 1 body behind the zone of
properly formed pattern. (C) Grade-1 body at notochord
level. About ten proper somite segments are apparent.
The mid- and hindbrain and one ear vesicle are sectioned
horizontally. A zone of impacted notochord as in A is
encountered between the most posterior somite seen and
the blastopore. Disorganized pronephros is seen on one
side. (D) Horizontal section through the middle of the
optic chiasm, normally opposite the anterior boundary of
the notochord in a normal stage-40 larva. (E) Section
50 fim 'ventral' to D in same larva. This passes through
the significant forebrain cavity, i.e. a more 'anterior'
brain region where no notochord underlies the brain. An
appearance like G below is not seen until 40 fim beyond
this level. (F,G) Sections through midoptic chiasm (c/i)
level, and only 40 jim ventral or 'anterior' to this, in a
grade-1 pattern-restricted stage-40 larva. Note that in
contrast to the normal, notochord is coextensive with
brain, and the anterior section grazes the anterior end
wall of the nervous system in which no forebrain
formation exists in front of the optic chiasm. Other labels
as in previous figures. Magnifications, (A,C) x63,
(B,D-G) X160.
|
|
Fig. 5. The nature of the pattern restriction. (A) Fate
map from the presumptive right-hand side showing the
general way in which material from around the meridians
of the pregastrular embryo is used in normal construction
of the axial mesodermal pattern (see Cooke & Webber,
1985). The two heavy curved lines mark off restricted
sectors of this map and represent subsets of mesodermal
pattern that occur in the limit form and in more
attenuated versions of the Li+ syndrome. The restricted
pattern is then produced, however, from mesoderm all
around the embryo. (B,C) Longitudinal sections of
normal neurula (sagittal plane) and of synchronous form
fully radialized after blastula lithium treatment (compare
with Cooke & Smith, 1987, fig. 7 for u.v.-induced
nonaxial development). Axial (notochordal) mesoderm is
shown hatched, other mesoderm stippled, and endoderm
indicated by crosses. Differences in thickness between
axial and other mesoderm, and between neuralized and
epidermal ectoderm, are somewhat exaggerated in
relation to the early neurula stage 14 actually dissected.
In C, the cavity of the original blastocoel remnant,
pushed ventrally and free of mesoderm in the normal
case, is obliterated by contact from the endoderm onto its
epidermal wall whose inner face appears to have been
ectopically mesodermalized. A new intraendodermal
cavity forms to conserve the volume of the embryo (see
also embryos treated with soluble mesoderm-inducing
factor - Cooke et al. 1987). The embryos are drawn as
they orientate in gravity, as the annular, shallow
archenteron of form C causes its blastopore to face
upwards as well as being surrounded by the neuralized
and notochordal areas. There is later a transformation to
give an archenteric passage by-passing a notochordal
mass, because of the latter's demand for convergence -
minimization of surface area in relation to cell number.
(D,E) Exploded diagrams of notochord, induced neural
and endodermal (gut) structure in the normal and the
limit pattern-restricted larval body. Since gastrulation
effectively turns the presumptive gut and mesoderm
inside out, reversing its polarity, the normal body is
drawn mirror-imaged with respect to A. Labelling of
structures is as in previous figures, with addition of pc,
prechordal region, h, heart-forming region, b, bloodforming
region and/, m, h, fore- mid- and hindbrain
regions of neuralized ectoderm and CNS. Scale bar, 1 mm
approx. for drawings of A-C.
|