Click here to close
Hello! We notice that you are using Internet Explorer, which is not supported by Xenbase and may cause the site to display incorrectly.
We suggest using a current version of Chrome,
FireFox, or Safari.
Regulation of acetylcholine receptor transcript expression during development in Xenopus laevis.
Baldwin TJ
,
Yoshihara CM
,
Blackmer K
,
Kintner CR
,
Burden SJ
.
???displayArticle.abstract???
The level of transcripts encoding the skeletal muscle acetylcholine receptor (AChR) was determined during embryonic development in Xenopus laevis. cDNAs encoding the alpha, gamma, and delta subunits of the Xenopus AChR were isolated from Xenopus embryo cDNA libraries using Torpedo AChR cDNAs as probes. The Xenopus AChR cDNAs have greater than 60% amino acid sequence homology to their Torpedo homologues and hybridize to transcripts that are restricted to the somites of developing embryos. Northern blot analysis demonstrates that a 2.3-kb transcript hybridizes to the alpha subunit cDNA, a 2.4-kb transcript hybridizes to the gamma subunit cDNA, and that two transcripts, of 1.9 and 2.5 kb, hybridize to the delta subunit cDNA. RNase protection assays demonstrate that transcripts encoding alpha, gamma, and delta subunits are coordinately expressed at late gastrula and that the amount of each transcript increases in parallel with muscle-specific actin mRNA during the ensuing 12 h. After the onset of muscle activity the level of actin mRNA per somite remains relatively constant, whereas the level of alpha subunit and delta subunit transcripts decrease fourfold per somite and the level of gamma subunit transcript decreases greater than 50-fold per somite. The decrease in amount of AChR transcripts per somite, however, occurs when embryos are paralyzed with local anaesthetic during their development. These results demonstrate that AChR transcripts in Xenopus are initially expressed coordinately, but that gamma subunit transcript levels are regulated differently than alpha and delta at later stages. Moreover, these results demonstrate that AChR transcript levels in Xenopus myotomal muscle cells are not responsive to electrical activity and suggest that AChR transcript levels are influenced by other regulatory controls.
Figure 1. Restriction map, sequencing strategy, nucleotide sequence,
and deduced amino acid sequence of the alpha, gamma, and delta
subunits of the Xenopus laevis skeletal muscle AChR. (Le~) Restriction
map and sequencing strategy of the alpha, gamma, and
delta subunits. Numbers indicate the 5' terminal nucleotide generated
by cleavage. (Below and right) Nucleotide and deduced amino
acid sequence of the alpha, gamma, and delta subunits. Nucleotide
1 indicates the first nucleotide of the codon encoding the amino terminal
residue in the mature protein and nucleotides to the 5' side
of this amino terminal residue are indicated with negative numbers.
The number of the nucleotide residue at the end of each line is
provided. The predicted amino acid sequence is shown above the
nucleotide sequence. Amino acid residues are numbered beginning
with the amino terminal residue of the mature protein and the
preceeding amino acids of the signal sequence are indicated with
negative numbers. Since mRNA encoding each subunit is longer
than the corresponding cDNA, these sequences are incomplete.
Figure 2. Alpha subunit transcript is confined to the somites of
Xenopus embryos. (a) Bright-field optics of Giemsa-stained transverse
section of stage 26 Xenopus embryo illustrates the neural tube
(nt), notochord (n), somites (s), and epidermis (ep). (b) Dark-field
optics illustrates the position of the autoradiographic grains, which
are highly concentrated over the somites and not present over other
tissue at a level higher than background. Bar, 50 ~tm.
Figure 3. Northern blot analysis of
poly(A) + RNA from Xenopus embryos.
1 gg of poly(A) + RNA isolated
from stage 41 Xenopus embryos
was fractionated by eleetrophoresis
in a formaldehyde agarose (1%) gel,
transferred to Zetabind, and hybridized
to 32p-labeled AChR alpha (a),
gamma ('D or delta subunit (6) cDNA
probes (Materials and Methods).
This filter was washed at moderate
stringency (Materials and Methods).
The RNAs that hybridize to the alpha,
gamma, and delta probes migrate
at 2.3 (tt), 2.4 (~/), and 1.9/
2.5 kb (6), respectively. Washing at
higher stringency did not reduce hybridization
to AChR transcripts. The positions of RNA standards
(4.4, 2.4, and 1.4 kb) are indicated at right. The pattern of Northern
blots from earlier stages (stages 20 and 25) were identical to those
from stage 41 embryo RNA except that gamma subunit transcript
levels were comparable to those of alpha and delta at earlier stages.
The filter was exposed to x-ray film with an intensifying screen at
-70~ for 4 d.
Figure 4. AChR transcripts are expressed at late gastrula. RNA from 25 embryo equivalents was included in hybridizations with 32p-labeled AChR subunit probes, whereas RNA from 2.5 embryo equivalents was included in hybridizations with the 32p-labeled cardiac actin probe (AC). A single batch of RNA isolated from each stage was used in protection assays with each probe, except that a different batch of stage 18
RNA was used in the protection as~y with the delta subunit probe.
This second batch of stage 18 RNA contained less total RNA
per embryo and correspondingly less actin mRNA per embryo.
Quantitation of transcript levels is presented in Table I. The positions
of protected fragments are indicated with arrowheads; the positions
of the minor protected fragments in hybridizations with the
delta subunit probe are indicated with arrows. The standard curve
for delta subunit RNA is illustrated (std) and includes 0.5, 2.0, 5.0,
and 10 pg of synthetic delta RNA. Developmental stages are indicated
at the top of each lane; neither AChR nor actin mRNA was
detected in eggs (lane E). Gels were exposed to x-ray films with
an intensifying screen at -70~ for 70 h (actin) or 7 d (AChR).
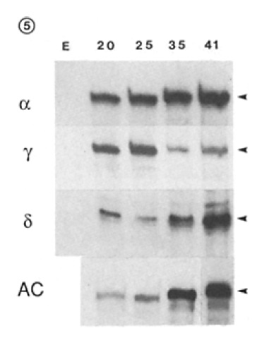
Figure 5. Gamma subunit transcript
levels are regulated differently
than alpha and delta subunit
transcript levels. RNA from 10
embryo equivalents was included
in hybridizations with 32p-labeled
AChR subunit probes, whereas
RNA from 1 embryo equivalent
was included in hybridizations
with the 32p-labeled cardiac actin
probe (AC). A single batch of
RNA isolated from each stage
was used in protection assays with
each probe, except that a different
batch of stage 25 RNA was used
in the protection assay with the
delta subunit probe. This second batch of stage 25 RNA contained
less total RNA per embryo and correspondingly less actin mRNA
per embryo. Quantitation of transcript levels is presented in Table
I. Developmental stages are indicated at the top of each lane; neither
AChR nor actin mRNA was detected in eggs (lane E). The positions
of protected fragments are indicated with arrowheads. Gels were
exposed to x-ray films with an intensifying screen at -70~ for 6.5
(actin) or 16 h (AChR).
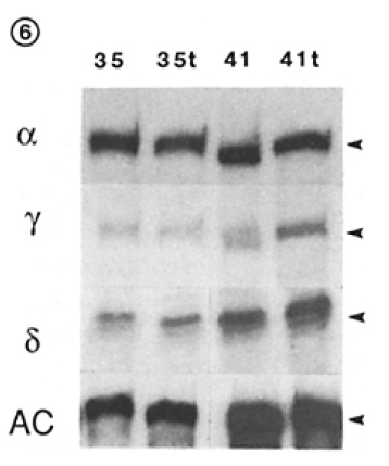
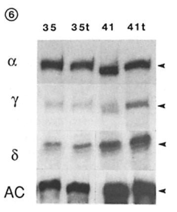
Figure 6. Embryos that remain
nonmotile throughout development
express normal levels of
AChR transcripts. 50 gg of embryo
RNA (10 embryo equivalents
for all samples) was included in
hybridizations with 32p-labeled
AChR probes, whereas 5 gg of
embryo RNA was included in
hybridizations with 32p-labeled
cardiac actin probe (AC). Developmental
stages are indicated
at the top of each lane; t indicates
RNA from embryos that were
paralyzed with tricaine. The positions of protected fragments are
indicated with arrowheads. Gels were exposed to x-ray films with
an intensifying screen at -70~ for 6.5 (actin) or 16 h (AChR).
Figure 7. Alpha subunit transcript
levels increase 100-fold in denervated
adult muscle. The triceps
femoris muscle of adult Xenopus
was denervated and alpha subunit
transcript levels in normal
and denervated muscle were measured
by RNase protection (Materials
and Methods). The amount
of alpha transcript in normal,
innervated muscle (INN) is low
and increases 100-fold in denervated
muscle (DEN), whereas the amount of total mRNA as determined
for Ef-1 alpha transcript in normal, innerva~xl (INN), and
denervated muscle (DEN) is indistinguishable. There is no protection
of either probe in hybridizations with tRNA. The positions of
protected fragments are indicated with arrowheads. The gels were
exposed to x-ray films with an intensifying screen at -70~ for 1 d.
Anderson,
Nerve-induced and spontaneous redistribution of acetylcholine receptors on cultured muscle cells.
1977, Pubmed,
Xenbase
Anderson,
Nerve-induced and spontaneous redistribution of acetylcholine receptors on cultured muscle cells.
1977,
Pubmed
,
Xenbase
Aviv,
Purification of biologically active globin messenger RNA by chromatography on oligothymidylic acid-cellulose.
1972,
Pubmed
Barkas,
Mapping the main immunogenic region and toxin-binding site of the nicotinic acetylcholine receptor.
1987,
Pubmed
Benton,
Screening lambdagt recombinant clones by hybridization to single plaques in situ.
1977,
Pubmed
Blackshaw,
Onset of acetylcholine sensitivity and endplate activity in developing myotome muscles of Xenopus.
1976,
Pubmed
,
Xenbase
Brehm,
Channel open time of acetylcholine receptors on Xenopus muscle cells in dissociated cell culture.
1982,
Pubmed
,
Xenbase
Brockes,
Synthesis of acetylcholine receptor by denervated rat diaphragm muscle.
1975,
Pubmed
Chirgwin,
Isolation of biologically active ribonucleic acid from sources enriched in ribonuclease.
1979,
Pubmed
Church,
Genomic sequencing.
1984,
Pubmed
Cohen,
In vivo development of cholinesterase at a neuromuscular junction in the absence of motor activity in Xenopus laevis.
1984,
Pubmed
,
Xenbase
Devreotes,
Turnover of acetylcholine receptors in skeletal muscle.
1976,
Pubmed
Devreotes,
Acetylcholine receptor turnover in membranes of developing muscle fibers.
1975,
Pubmed
Dworkin-Rastl,
Localization of specific mRNA sequences in Xenopus laevis embryos by in situ hybridization.
1986,
Pubmed
,
Xenbase
Fambrough,
Control of acetylcholine receptors in skeletal muscle.
1979,
Pubmed
Finer-Moore,
Amphipathic analysis and possible formation of the ion channel in an acetylcholine receptor.
1984,
Pubmed
Goldman,
Muscle denervation increases the levels of two mRNAs coding for the acetylcholine receptor alpha-subunit.
1985,
Pubmed
Gubler,
A simple and very efficient method for generating cDNA libraries.
1983,
Pubmed
Hall,
Electrical stimulation of denervated muscles reduces incorporation of methionine into the ACh receptor.
1977,
Pubmed
Hamilton,
The formation of somites in Xenopus.
1969,
Pubmed
,
Xenbase
Kidokoro,
Distribution and density of alpha-bungarotoxin binding sites on innervated and noninnervated Xenopus muscle cells in culture.
1982,
Pubmed
,
Xenbase
Kintner,
Expression of Xenopus N-CAM RNA in ectoderm is an early response to neural induction.
1987,
Pubmed
,
Xenbase
Klarsfeld,
Activity regulates the levels of acetylcholine receptor alpha-subunit mRNA in cultured chicken myotubes.
1985,
Pubmed
Krieg,
Functional messenger RNAs are produced by SP6 in vitro transcription of cloned cDNAs.
1984,
Pubmed
,
Xenbase
Kullberg,
Development of the myotomal neuromuscular junction in Xenopus laevis: an electrophysiological and fine-structural study.
1977,
Pubmed
,
Xenbase
Kullberg,
Gating kinetics of nonjunctional acetylcholine receptor channels in developing Xenopus muscle.
1985,
Pubmed
,
Xenbase
Kullberg,
Nonjunctional acetylcholine receptor channel open time decreases during development of Xenopus muscle.
1981,
Pubmed
,
Xenbase
Levitt,
Mouse pre-B cells synthesize and secrete mu heavy chains but not light chains.
1980,
Pubmed
Lomo,
Control of ACh sensitivity in rat muscle fibers.
1976,
Pubmed
MACKAY,
Observations on the terminal innervation of segmental muscle fibres in amphibia.
1960,
Pubmed
Melton,
Efficient in vitro synthesis of biologically active RNA and RNA hybridization probes from plasmids containing a bacteriophage SP6 promoter.
1984,
Pubmed
Merlie,
Denervation supersensitivity in skeletal muscle: analysis with a cloned cDNA probe.
1984,
Pubmed
Merlie,
Concentration of acetylcholine receptor mRNA in synaptic regions of adult muscle fibres.
,
Pubmed
Merlie,
The regulation of acetylcholine receptor expression in mammalian muscle.
1983,
Pubmed
Messing,
New M13 vectors for cloning.
1983,
Pubmed
Mishina,
Molecular distinction between fetal and adult forms of muscle acetylcholine receptor.
,
Pubmed
,
Xenbase
Mohun,
Cell type-specific activation of actin genes in the early amphibian embryo.
,
Pubmed
,
Xenbase
Newport,
A major developmental transition in early Xenopus embryos: I. characterization and timing of cellular changes at the midblastula stage.
1982,
Pubmed
,
Xenbase
Noda,
Structural homology of Torpedo californica acetylcholine receptor subunits.
1983,
Pubmed
Nudel,
Accumulation of alpha- and beta-globin messenger RNAs in mouse erythroleukemia cells.
1977,
Pubmed
Perry,
Organization and expression of immunoglobulin genes in fetal liver hybridomas.
1981,
Pubmed
Rebagliati,
Identification and cloning of localized maternal RNAs from Xenopus eggs.
1985,
Pubmed
,
Xenbase
Rigby,
Labeling deoxyribonucleic acid to high specific activity in vitro by nick translation with DNA polymerase I.
1977,
Pubmed
Sanger,
DNA sequencing with chain-terminating inhibitors.
1977,
Pubmed
Sargent,
Structure and transmembrane nature of the acetylcholine receptor in amphibian skeletal muscle as revealed by cross-reacting monoclonal antibodies.
1984,
Pubmed
,
Xenbase
Siden,
Synthesis of immunoglobulin mu chain gene products precedes synthesis of light chains during B-lymphocyte development.
1981,
Pubmed
Takai,
Cloning, sequencing and expression of cDNA for a novel subunit of acetylcholine receptor from calf muscle.
,
Pubmed
Thomas,
Hybridization of denatured RNA and small DNA fragments transferred to nitrocellulose.
1980,
Pubmed
Yu,
Mouse muscle nicotinic acetylcholine receptor gamma subunit: cDNA sequence and gene expression.
1986,
Pubmed