Click here to close
Hello! We notice that you are using Internet Explorer, which is not supported by Xenbase and may cause the site to display incorrectly.
We suggest using a current version of Chrome,
FireFox, or Safari.
???displayArticle.abstract???
We report the isolation of six different homeobox-containing genes in Xenopus laevis which are expressed during early embryogenesis. cDNA clones of all of them were partially sequenced including two from previously isolated Xenopus genomic loci and found to contain homeodomains which share a high degree of homology with the Antennapedia protein (50 to 59 out of 60 amino acids). We find a short region of homology (consensus Ile Tyr Pro Trp Met) in four of the cDNAs, which is also present in Antennapedia and that may correspond to a bend region preceding the homeodomain. Northern blots have been performed to show the transcriptional pattern through early frog embryogenesis. Three of the genes are expressed only during a very narrow period of embryogenesis, reinforcing the view that homeobox genes are developmentally regulated.
Figure 2: Sequence of the five Xenopus homeobox-containing gene.
A: Nucleotide sequences of all five classes of XlHbox transcripts of the
homeobox containing region. Position 1 indicates the start of the
homeobox and position 180 is the last nucleotide of the homeobox as
defined by comparison with Antp. The arrows indicate the position of
synthetic oligonucleotides used for sequencing the homeoboxes. Two
blocks of sequences identical in all five genes are highlighted.
B: Predicted translation products of nucleotide sequence in panel A.
Position 1 indicates the start of the homeo-domain and position 60 the
end. The translation stops are indicated by three stars. Amino acids
conserved in all five cDNAs are highlighted, and two long stretches of
homology are boxed.
The arrowheads in both panels indicate the predicted position of the
intron preceding the homeobox (see text).
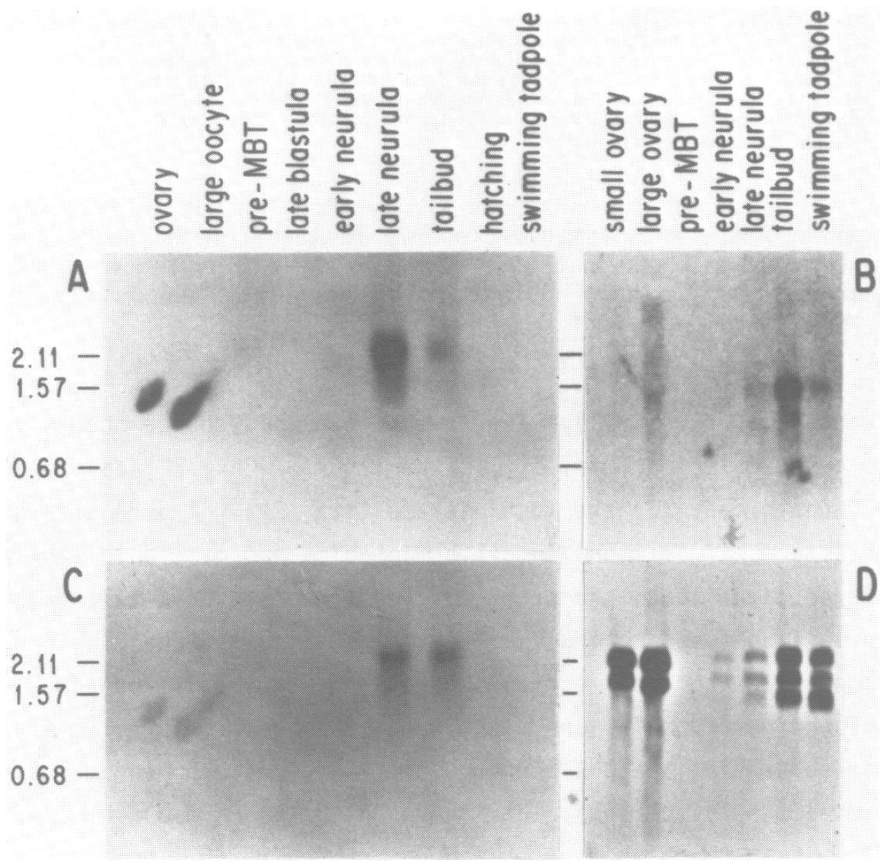
Figure 5: Northern blot analysis of XlHbox3 (panel A), 4 (B) and 5 (C) and
actin (D) gene expression during oogenesis and embryogenesis. For staging of
oocytes and embryos see Materials and Methods. Two ug of poly-(A)+-RNA was
loaded in each track. Hybridization was done with nicktranslated insert of
each gene at high stringency (see Material and Methods). Size standards are
indicated to the left of each panel. The actin probe was a 250 bp fragmTent of
a cytoskel etal actin (clone B9.118) .
Akam,
The molecular basis for metameric pattern in the Drosophila embryo.
1987, Pubmed
Akam,
The molecular basis for metameric pattern in the Drosophila embryo.
1987,
Pubmed
Awgulewitsch,
Spatial restriction in expression of a mouse homoeo box locus within the central nervous system.
,
Pubmed
Bishop,
Polynucleotide sequences in eukaryotic DNA and RNA that form ribonuclease-resistant complexes with polyuridylic acid.
1974,
Pubmed
Carrasco,
Cloning of an X. laevis gene expressed during early embryogenesis coding for a peptide region homologous to Drosophila homeotic genes.
1984,
Pubmed
,
Xenbase
Condie,
Posterior expression of a homeobox gene in early Xenopus embryos.
1987,
Pubmed
,
Xenbase
DeRobertis,
The Xenopus homeo boxes.
1985,
Pubmed
,
Xenbase
Desplan,
The Drosophila developmental gene, engrailed, encodes a sequence-specific DNA binding activity.
,
Pubmed
Dumont,
Oogenesis in Xenopus laevis (Daudin). I. Stages of oocyte development in laboratory maintained animals.
1972,
Pubmed
,
Xenbase
Feinberg,
A technique for radiolabeling DNA restriction endonuclease fragments to high specific activity.
1983,
Pubmed
Feramisco,
Co-existence of vinculin and a vinculin-like protein of higher molecular weight in smooth muscle.
1982,
Pubmed
Fermi,
Three-dimensional fourier synthesis of human deoxyhaemoglobin at 2-5 A resolution: refinement of the atomic model.
1975,
Pubmed
Fritz,
Small nuclear U-ribonucleoproteins in Xenopus laevis development. Uncoupled accumulation of the protein and RNA components.
1984,
Pubmed
,
Xenbase
Gehring,
Homeo boxes in the study of development.
1987,
Pubmed
Harvey,
Embryonic expression and nuclear localization of Xenopus homeobox (Xhox) gene products.
1986,
Pubmed
,
Xenbase
Hauser,
Expression of homologous homeo-box-containing genes in differentiated human teratocarcinoma cells and mouse embryos.
1985,
Pubmed
Joyner,
Expression during embryogenesis of a mouse gene with sequence homology to the Drosophila engrailed gene.
1985,
Pubmed
Kabsch,
On the use of sequence homologies to predict protein structure: identical pentapeptides can have completely different conformations.
1984,
Pubmed
Krieg,
Developmental regulation of a gastrula-specific gene injected into fertilized Xenopus eggs.
1985,
Pubmed
,
Xenbase
Krumlauf,
Developmental and spatial patterns of expression of the mouse homeobox gene, Hox 2.1.
1987,
Pubmed
Laughon,
Sequence of a Drosophila segmentation gene: protein structure homology with DNA-binding proteins.
,
Pubmed
Levine,
Spatial distribution of Antennapedia transcripts during Drosophila development.
1983,
Pubmed
Levine,
Human DNA sequences homologous to a protein coding region conserved between homeotic genes of Drosophila.
1984,
Pubmed
Mavilio,
Differential and stage-related expression in embryonic tissues of a new human homoeobox gene.
,
Pubmed
,
Xenbase
McGinnis,
A conserved DNA sequence in homoeotic genes of the Drosophila Antennapedia and bithorax complexes.
,
Pubmed
McGinnis,
A homologous protein-coding sequence in Drosophila homeotic genes and its conservation in other metazoans.
1984,
Pubmed
Meijlink,
A mouse homeobox containing gene on chromosome 11: sequence and tissue-specific expression.
1987,
Pubmed
Meinhardt,
Hierarchical inductions of cell states: a model for segmentation in Drosophila.
1986,
Pubmed
Messing,
A new pair of M13 vectors for selecting either DNA strand of double-digest restriction fragments.
1982,
Pubmed
Mlodzik,
Expression of the caudal gene in the germ line of Drosophila: formation of an RNA and protein gradient during early embryogenesis.
1987,
Pubmed
Mlodzik,
Isolation of caudal, a Drosophila homeo box-containing gene with maternal expression, whose transcripts form a concentration gradient at the pre-blastoderm stage.
1985,
Pubmed
Mohun,
Cell type-specific activation of actin genes in the early amphibian embryo.
,
Pubmed
,
Xenbase
Müller,
A homeo-box-containing gene expressed during oogenesis in Xenopus.
1984,
Pubmed
,
Xenbase
Odenwald,
Expression of a homeo domain protein in noncontact-inhibited cultured cells and postmitotic neurons.
1987,
Pubmed
Regulski,
Homeo box genes of the Antennapedia and bithorax complexes of Drosophila.
1985,
Pubmed
Schneuwly,
Structural organization and sequence of the homeotic gene Antennapedia of Drosophila melanogaster.
1986,
Pubmed
Simeone,
Two human homeobox genes, c1 and c8: structure analysis and expression in embryonic development.
1987,
Pubmed
Stroeher,
Multiple transcripts from the Antennapedia gene of Drosophila melanogaster.
1986,
Pubmed
Wilde,
Conserved sequence elements in the 5' region of the Ultrabithorax transcription unit.
1987,
Pubmed