Click here to close
Hello! We notice that you are using Internet Explorer, which is not supported by Xenbase and may cause the site to display incorrectly.
We suggest using a current version of Chrome,
FireFox, or Safari.
Patterns of N-CAM expression during myogenesis in Xenopus laevis.
Kay BK
,
Schwartz LM
,
Rutishauser U
,
Qiu TH
,
Peng HB
.
???displayArticle.abstract???
The neural cell adhesion molecule (N-CAM) is seen in the membrane of nerves and muscles from several vertebrate species. Using indirect immunofluorescence, we have examined the expression of this protein during embryonic and postembryonic myogenesis in the African clawed frog, Xenopus laevis. While good staining for N-CAM was seen in neuronal tissues at all stages examined, no staining of embryonic muscle was observed, including both mononucleated and polynucleated myoblasts. In contrast, limb muscles formed at metamorphosis showed strong expression of N-CAM. The developing limb muscles eventually lose their N-CAM, but will reexpress it dramatically when denervated. These observations suggest that myogenesis programs executed at different stages of development can display distinct patterns of N-CAM expression.
Fig. 1. During the formation of the tail, N-CAM is expressed solely on neural tissues in Xenopus embryos. A shows a
phase-contrast image of a longitudinal cross section of a stage-22 embryo. B is the corresponding immunofluorescence
image obtained with rabbit N-CAM antibodies and goat anti-rabbit Ig antibodies linked to FITC. The cell membranes
of the neural tube are labelled, whereas the mononucleated muscle cells arranged in somites are not. C shows an
N-CAM immunofluorescence staining of a stage-25 embryo. The level of background fluorescence is high in B and C
due to the autofluorescence of yolk. D shows N-CAM immunofluorescence staining of a whole-mount strip of a stage-42
tadpole tail. The pigmented cells of the neuroepithelium do not stain, nor do the myotomal muscles separating each set
of axons. N, row of nuclei. Bar, 120^m in A-C and 100Um in D.
Fig. 2. N-CAM expression is neural-specific in tadpole
heads. A is the fluorescent image of a stage-41 tadpole
stained with rhodamine-labelled phalloidin. In this ventral
view, the mylohyoid muscle (M) and ocular muscle (O)
groups stain strongly. B displays the N-CAM antibody
immunofluorescence staining of a comparably staged
tadpole whole-mount preparation. The ventral side of the
head is shown, with bright staining of the brain, and the
optic and olfactory nerves. Bar, 500um.
Fig. 3. N-CAM is expressed on the hindlimb muscles of tadpoles and on adult leg muscles after denervation. A shows a
cross section of a hindlimb of a stage-55 tadpole in phase contrast, and B shows the immunofluorescence staining of the
same section obtained with the monoclonal antibody 4D. Note the strong staining of the muscle fibres with N-CAM
antibodies. C is the phase-contrast image of a hindlimbmuscle of a comparably staged tadpole, and D is the staining
pattern obtained with polyclonal anti-frog N-CAM antibodies. E-F display the N-CAM immunofluorescence staining of
gastrocnemius muscles from the same adult frog with polyclonal anti-frog N-CAM antibodies; E is from the intact limb
and F is the contralateral leg 4 days after denervation. The bright spots in E are autofluorescing red blood cells.
Bar, 135um.
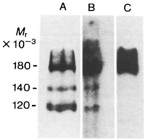
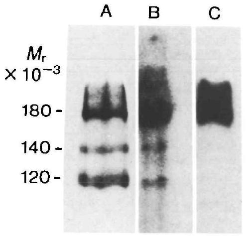
Fig. 4. Western blots of Xenopus embryonic tissues with
N-CAM antibodies. Various samples were homogenized
in extraction buffer, electrophoresed in a 7 % SDSpolyacrylamide
gel, blotted and reacted with the rabbit
anti-frog N-CAM antibodies. Lane A contains chick
embryonic brain (E15), B developing limbs of a stage-55
Xenopus tadpole, and C brain of a stage-55 tadpole. Sizes
of the major reactive polypeptide chains are Mr x 10-3.
Fig. 5. Lack of N-CAM expression
in cultured Xenopus myotomal
muscle cells. Tail muscle cells from
stage-22 embryos were cultured
and reacted in the living state with
N-CAM antibodies and FITCconjugated
secondary antibodies
(A), or examined by phasecontrast
microscopy (B). Cells
were also double stained with
N-CAM antibodies (C) and
R-BTX (D); the spontaneously
formed acetylcholine receptor
clusters (marked with arrowheads
in D) do not react with N-CAM
antibodies. Neurites and growth
cones (arrowhead) from neural
tube explants, on the other hand,
react quite well with N-CAM
antibodies (E). Muscle cells from
stage-50 tadpoles were also
examined for N-CAM expression
after dissociation from the tail
musculature. After dissociation,
these cells were immediately fixed
and processed for binding of
N-CAM antibodies (F) or R-BTX
(G). Note the lack of N-CAM at
the postsynaptic acetylcholine
receptor clusters, marked by
arrowheads in G, as well as along
the extrajunctional sarcolemma.
Bar, 30um.
Fig. 6. N-CAM expression on cultured muscle cells from developing limb musculature of Xenopus. Left column:
immunofluorescence staining for N-CAM; middle column: R-BTX staining to show the presence of acetylcholine
receptors: right column: phase-contrast image (C,I) or DAPI staining (F). A-C shows a mononucleated myoblast and
several fibroblasts (asterisks). D-F shows a developing myotube with four nuclei, a myoblast and a fibroblast
(arrowhead). G-I shows a myoblast stained with preimmune serum (G) or R-BTX (H), and the corresponding phasecontrast
image (I). Bar, 40um.