Click here to close
Hello! We notice that you are using Internet Explorer, which is not supported by Xenbase and may cause the site to display incorrectly.
We suggest using a current version of Chrome,
FireFox, or Safari.
Ontogeny and tissue distribution of leukocyte-common antigen bearing cells during early development of Xenopus laevis.
Ohinata H
,
Tochinai S
,
Katagiri C
.
???displayArticle.abstract???
To analyze the ontogenic emergence of leukocytes during early development, a mouse monoclonal antibody (IgG1), designated as XL-1, was produced against the peritoneal macrophages of adult Xenopus laevis. The XL-1 determinant was expressed on all types of leukocytes, including lymphocytes, granulocytes, thrombocytes and macrophages, but not on erythrocytes of either larvae or adults. Immunohistochemical observations of the hemopoietic organs revealed that the XL-1+ cells with granulocyte and/or macrophage morphology appeared at st.36-37 in the liver, at st.44-45 in the mesonephric and the thymus rudiments, and at st.47 in the spleen. The XL-1 determinant was expressed on the precursor cells of T lymphocytes in the thymus rudiments at st.46-47, on the pre-B cells in the liver rudiments at st.47, and on lymphocytes in the spleen at st.48-49. A few XL-1+ cells were present in the ventral blood island of the st.35/36 embryos, where differentiating erythrocytes had predominated since st.28. XL-1+ cells with a macrophage-like morphology were found in several locations of the mesenchyme in the st.32 embryos, before the establishment of vascularization at st.33/34 and far earlier than the emergence of lymphocytes.
Figs 1 and 2. Immunofluorescence (A) and phase-contrast (B) micrographs of methanol-fixed peripheral blood cells from an
adult (Fig. 1) and st.52 larva (Fig. 2), showing that all leukocytes but not erythrocytes (arrowheads) are reactive to XL-1
mAb. Fig. 1, buffy coat cells; Fig. 2, smear. Visualized by TRITC-conjugated anti-mouse Ig as a secondary antibody,
ne, neutrophil; e, eosinophil; b, basophil; 1, lymphocyte; t, thrombocyte. Bars, 25um.
Fig. 3. Western blot analyses of XL-1 reactive components
in lysates from adult splenocytes (a), thymocytes (b) and
erythrocytes (c), and serum (d). Arrowheads indicate bands
specific for each splenocytes and thymocytes. Mr; relative
molecular mass.
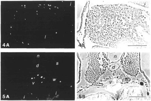
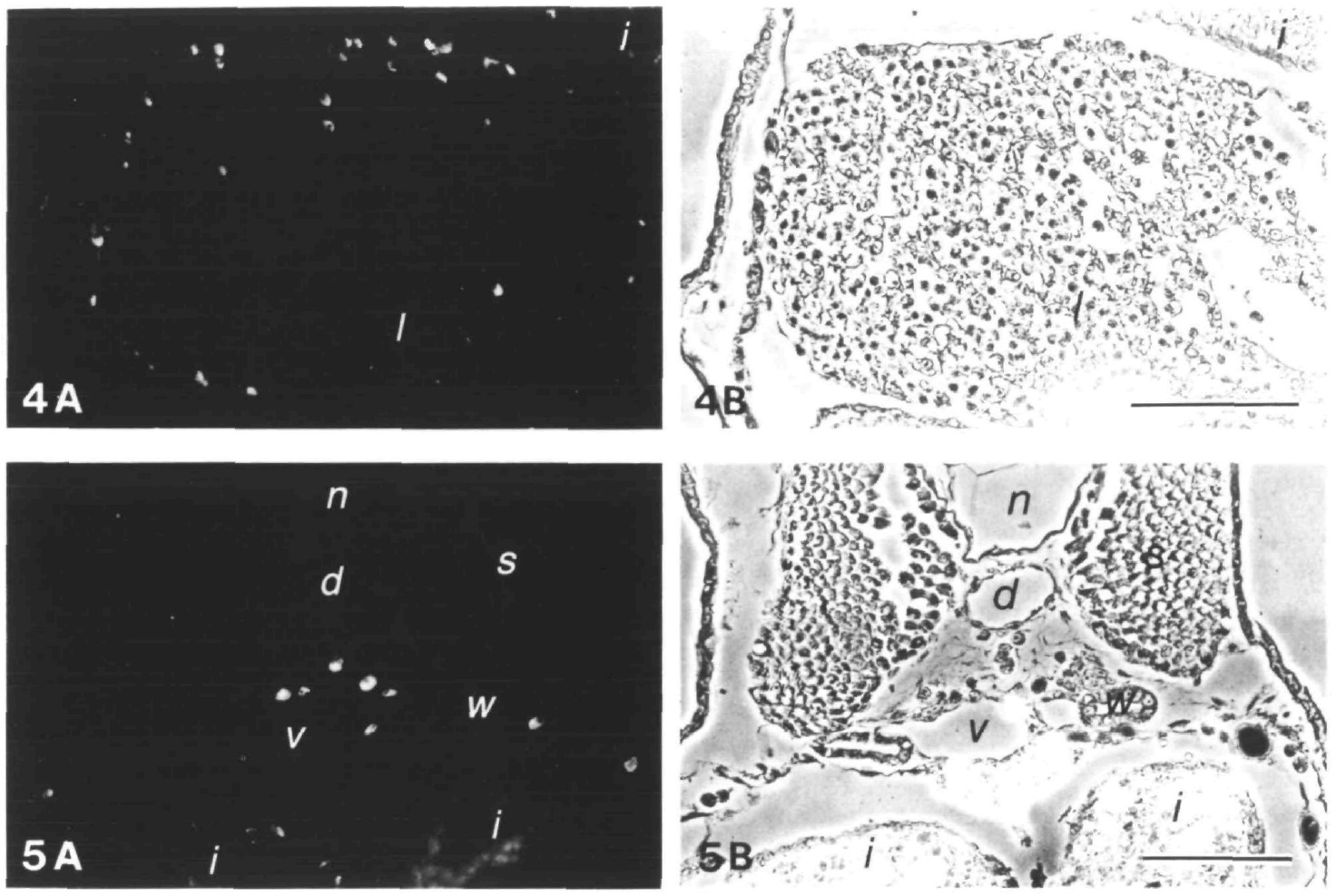
Figs 4 and 5. Immunofluorescence (A) and phase-contrast (B) micrographs of a transverse section through the liver (1) of
st.47 larva (Fig. 4), and the prospective mesonephric region of St.44-45 larva (Fig. 5), showing localization of XL-1+ cells in
the perihepatic areas (Fig. 4A) and the mesenchyme ventral to the dorsal aorta (d) (Fig. 5A). n, notochord; s, somite;
i, intestine; v, vena cava; w, Wolffian duct. Bars, 100um.
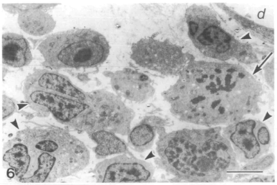
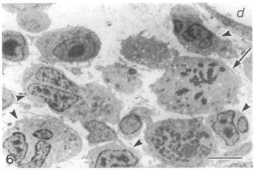
Fig. 6. Transmission electron micrograph of the mesenchymal area near the mesonephric primordium ventral to the dorsal
aorta (d) in st.47 larva, showing many leukocyte-series cells (arrowheads) with lobulated nuclei. Occasionally observed cells
undergoing mitosis (arrow) appear the same-series cells. Bar, 5um.
Fig. 7. Immunoelectron micrograph of the cell as shown in Fig. 6, demonstrating localization of XL-1 antigens by colloidal
gold particles both on the cell surface (arrowheads) and in the cytoplasm, nu, nucleus. Bar, 1um.
Figs 8-11. Immunofluorescence (Figs 8A, 9, 10A, 11) and phase-contrast (8B, 10B) micrographs of transverse sections of
the thymus (Figs 8, 9) and the spleen (Figs 10, 11) of st.47 (Fig. 8), st.49 (Fig. 10) and st.56 (Figs 9, 11) larvae, showing XL-
1+ macrophage-like dendritic cells (arrowheads) and lymphoid cells (arrows). Visualized by TRITC-conjugated anti-mouse
Ig. c, cortex; m, medulla; rp, red pulp; wp, white pulp; i, intestine. Bars, 40um.
Fig. 12. Immunofluorescence micrographs of the whole-mount preparations of st.35/36 embryos, showing distribution of
cells reactive to XL-1 (A,C,D) and anti-larval hemoglobin monoclonal antibody (B). Lateral views, anterior to the right.
Arrowheads in B indicate the ventral blood island region where at this stage the cells producing larval hemoglobin are
boundedly distributed. C and D, higher magnification views of XL-1+ cells in the areas shown in Fig. 12A (C, posterior box;
D, anterior box), ey, eye. Bars (A,B), 0-5mm; Bars (C,D), 40um.