|
Figure 1. Whole-mount in situ hybridization analysis of XPtf1a/p48 expression during Xenopus embryogenesis and in comparison to XlHbox8. (A) Dorsal view of a stage 20 embryo, anterior toward the left. XPtf1a/p48 transcripts (blue) are detected along two parallel longitudinal stripes representing the neural folds. (B) Double-staining in situ hybridization of tailbud-stage (stage 26) embryos using En2 (red) as a midbrainâhindbrain boundary marker (white arrowhead) and Krox20 (red) as a marker for rhombomeres 3 and 5 (black arrowheads). Neural expression of XPtf1a/p48 becomes restricted to the hindbrain, with the anterior end defined by the midbrainâhindbrain boundary and the posterior limit by rhombomere 5. XPtf1a/p48 transcripts are also becoming detectable in the developing retina. During later phases of development, retinal expression is confined to the proliferating precursor cells of the ciliary marginal zone and expression in the neural tube to dorsal elements (shown in E,F). (C,D) Lateral view of stage 28 and stage 35 embryos stained for XPtf1a/p48 expression. (EâG) Transverse sections (S1, S2, S3) of a stage 35 embryo at the levels indicated in D, dorsal to the top. (H) Lateral view. (I) Ventral view. (J,K) Lateral and ventral view of XlHbox8 expression. (duo) Duodenum; (dp) dorsal pancreatic bud; (st) stomach; (vp) ventral pancreatic buds.
|
|
Figure 2. A combination of XPtf1a/p48 and XlHbox8 induces ectopic pancreatic differentiation. (A) Whole-mount in situ hybridization analysis of a panel of markers reveals that ectopic expression of XPtf1a/p48 converts part of the presumptive stomach and duodenum into a pancreatic fate. (Panels 1â3) Lateral view. Ninety-three percent of the embryos examined showed effects as in panel 3 (n = 62). (Panels 4â6) Ventral view. Phenotype in panel 6, 87%, n = 24. (Panels 7â9) Dorsal view (head toward the left) after removal of somites, neural tube, and notochord. As shown in panel 9, none of the embryos examined exhibited altered insulin expression (n = 25). (Panels 10â12) Lateral view. Double-staining in situ hybridization with Foxa1 (blue) and XPDIp (red). (Panel 10) Black and white arrows indicate dorsal and ventral pancreas, respectively. (Panel 12) The white arrowhead indicates ectopic XPDIp and loss of Foxa1 expression (85%, n = 67). (B) Combined overexpression of XPtf1a/p48 and XlHbox8 leads to a reduction of intestinal marker gene expression and concomitant ectopic expression of exocrine pancreatic marker genes in the presumptive intestine. (Panels 1â3,7â12) Lateral view. Phenotype in panel 3, 82%, n = 45; phenotype in panel 12, 70%, n = 53. (Panels 4â6) Dorsal view (head toward the left) after removal of somites, neural tube, and notochord.
|
|
Figure 3. The Ptf1a/p48-mediated increase of ectopic exocrine and late endocrine cells requires uncommitted endoderm. Dexamethasone induction of injected embryos was performed at different time points in between stage 15 and stage 36, as indicated. The effects on pancreas development were evaluated by whole-mount in situ hybridization analysis of XPDIp expression at stage 41 for the exocrine pancreas, and double-staining immunohistochemical analysis of insulin and glucagon expression at stage 48 for the endocrine pancreas. For morphometric quantification, the pixel number of insulin-positive and glucagon-positive cells was measured separately in serial sections using Adobe. (A) The extent of ectopic XPDIp expression at stage 41 is dependent on the stage of induction of injected Ptf1a/p48GR. The bottom right part illustrates the temporal expression profile of endogenous XPtf1a/p48, insulin, and XPDIp. (B) Despite an increase in total pancreatic area, there is no significant difference in the ratio of endocrine to exocrine pancreatic cells in embryos overexpressing Ptf1a/p48 alone or in combination with XlHbox8. (Panel i) Ectopic expression of Ptf1a/p48GR alone or in combination with XlHbox8GR results in a roughly two- and threefold increase in total pancreatic area relative to uninjected control embryos, respectively. (Panel ii) No significant difference is observed for the ratio of endocrine to total pancreatic area in a comparison of different time points for dexamethasone treatment. Sectioned pancreatic tissue was immunostained for insulin and glucagon, nuclei were counterstained with DAPI. Boundaries of the pancreatic area were delineated on the basis of morphology and pixel quantification was performed using Adobe Photoshop. An entire series of sections was analyzed for eight different embryos in each experiment. The average total pixel number of a series of pancreatic sections from control embryos is referred to as 1.
|
|
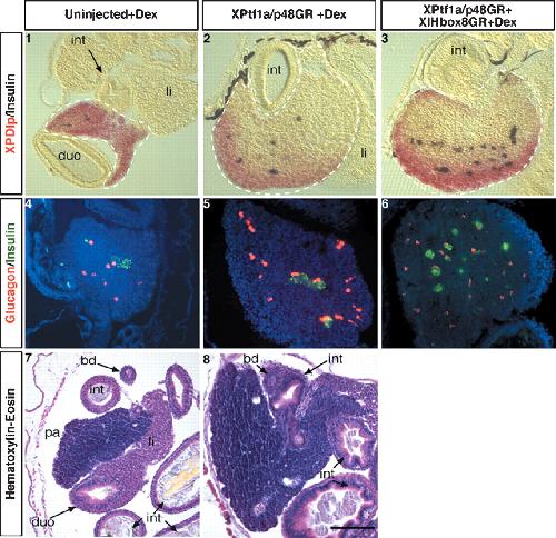
Figure 4. Giant pancreata containing both differentiated endocrine and exocrine cells at late tadpole stage are generated by ectopic expression of XPtf1a/p48GR alone or in combination with XlHbox8GR. (Panels 1â3) Vibratome sections of stage 48 embryos (microinjected as indicated and dexamethasone-treated at stage 27) after double-staining whole-mount in situ hybridization (insulin in blue, XPDIp in red). Due to incomplete probe penetration into the giant pancreas, the inner part remains refractory to the staining procedure; the boundaries of pancreatic tissue (broken line) were identified by microscopic analysis. Phenotype in panel 2, 60%, n = 15; in panel 3, 66%, n = 12. (Panels 4â6) Double-staining, immunohistochemical analysis for insulin (green) and glucagon (red) expression. In panel 5, 70%, n = 10; in panel 6, 62%, n = 8 (morphometric quantification, see Fig. 3). Bar, 200 μm. (Panels 7,8) Histological analysis (hematoxylin and eosin staining) of pancreas and neighboring tissues. In panel 8, 58%, n = 12. (bd) Bile duct; (duo) duodenum; (int) intestine; (li) liver; (pa) pancreas.
|
|
Figure 5. Early insulin expression is independent of XPtf1a/p48, while later pancreatic insulin and glucagon expression depends on XPtf1a/p48. (A) Knockdown of XPtf1a/p48 by antisense MO injection results in a loss of exocrine pancreatic gene expression, while early dorsal insulin expression remains unaffected. (Panels 1,3) Transverse vibratome sections (panel 1, 100%, n = 85; morphometric quantification of insulin expression, average pixel number in panel 1, 12,265 ± 5152; panel 3, 15,537 ± 2108). (Panels 2,4) Ventral view, head toward the top (panel 2, 77%, n = 27). (B) The second phase of endocrine pancreatic differentiation is blocked upon knockdown of XPtf1a/p48 by antisense MO injection. Immunohistochemical analysis of insulin and glucagon expression in uninjected control (panels 3,4) and in XPtf1a/p48 MO-injected embryos (panels 1,2) at stage 48 of development. Phenotype in panels 1 and 2, 60%, n = 15. Bar, 200 μm.
|
|
Fig. S1. Ectopic pancreatic gene expression remains confined to the domain of prospective stomach and duodenum upon ubiquitous over-expression of XPtf1a/p48GR.
(1) Lateral and (2) ventro-lateral view of XPDIp expression (blue), as revealed by whole-mount in situ hybridization with an embryo that was co-injected with XPtf1a/p48GR and β-galactosidase mRNA, treated with dexamethasone at stage 27 and stained with red-gal (red). The distribution of nuclear β-galactosidase staining indicates ubiquitous distribution of the injected mRNAs, including the anterior foregut and posterior endoderm. Induction of ectopic XPDIp remains restricted to the presumptive stomach and duodenum.
|
|
Fig. S2. Specificity of XPtf1a/p48 and XlHbox8 MOs is revealed in vitro and in vivo.
(A) XPtf1a/p48 MO specifically inhibits the translation of its target mRNA, as revealed by an in vitro transcription and translation assay (upper panel), as well as by mRNA and MO co-injection into whole embryos (lower panel). GFP expression in live embryos at stage 11 of embryonic development was analyzed by use of an Olympus (SZX12) fluorescence microscope. mPTF1a/p48GR is the murine construct used in the rescue experiment (see also Fig. S6) which is not a specific target for the XPtf1a/p48 MO.
(B) XlHbox8 MO specifically inhibits the translation of its target mRNA, as revealed by in vitro and in vivo assays, as above.
|
|
Fig. S3. The effects of XPtf1a/p48 MO can be rescued by murine Ptf1a/p48GR.
Without dexamethasone treatment, co-injection of murine p48GR along with a MO specific for Xenopus Ptf1a/p48 cannot rescue the MO mediated inhibition of XPDIp expression (2). In the same series of embryos, expression of XPDIp was restored in a pattern reminiscent of the results obtained upon ectopic expression of XPtf1a/p48GR upon dexamethasone treatment (4). Phenotype in panel 2: 81%, n = 22; panel 4: 81%, n = 48. No effects were observed in control MO injected (1) or uninjected embryos (3).
|
|
Fig. S5. Loss of pancreatic tissue in Ptf1a/p48 MO injected embryos does not result in an obvious increase of duodenum and intestine marker gene expression.
No obvious difference was observed in the expression of Cyl18 in a comparison of Ptf1a/p48 MO injected and uninjected control embryos (1 and 2). Ptf1a/p48 MO injected embryos, that display a loss of the pancreatic buds, reveal no significant change of Foxa1 expression, except for a slight anterior shift into presumptive stomach and duodenum (panel 4, 59%, n= 22).
|
|
Fig. S4. Exocrine pancreatic differentiation requires XlHbox8, while early endocrine differentiation does not.
(1-3) Lateral view, (4-6) dorsal view after removal of somites, neural tube and notochord. Injection of XlHbox8-MO results in the inhibition of XPDIp expression (2), while early insulin expression is not affected (5). Co-injection of both XlHbox8 and Ptf1a/p48 MOs results in the same situation, i.e. loss of XPDIp expression (3) and maintenance of early insulin expression (6). Phenotype in panel 2, 100%, n = 25; panel 3, 100%, n = 30; panel 5, 100%, n = 29; panel 6, 100%, n = 30. Morphometric quantification of insulin expression: average pixel number-panel 4, 16822 ± 1438; panel 5, 14065 ± 3774; panel 6, 14396 ± 3701.
|
|
ptf1a (pancreas associated transcription factor 1a) gene expression in Xenopus laevis embryo, assayed via in situ hybridization, NF stage 41, lateral view, anterior left, dorsal up.
Key: expression in dorsal and ventral pancreatic buds, on either side of stomach (st) and duodenum (duo).
|
|
ptf1a (pancreas associated transcription factor 1a) gene expression in Xenopus laevis embryo, assayed via in situ hybridization, NF stage 43, ventral view, anterior left.
|