Click here to close
Hello! We notice that you are using Internet Explorer, which is not supported by Xenbase and may cause the site to display incorrectly.
We suggest using a current version of Chrome,
FireFox, or Safari.
Characterization of myogenesis from adult satellite cells cultured in vitro.
Le Moigne A
,
Martelly I
,
Barlovatz-Meimon G
,
Franquinet R
,
Aamiri A
,
Frisdal E
,
Bassaglia Y
,
Moraczewski G
,
Gautron J
.
???displayArticle.abstract???
We describe several characteristics of in vitro myogenesis from adult skeletal muscle satellite cells from the rat and several amphibian species. The timing of cell proliferation and fusion into myotubes was determined, and in urodeles, myogenesis from satellite cells was clearly demonstrated for the first time. Growth factors are known to stimulate satellite cell proliferation. Acidic FGF mRNA was present in rat satellite cells during proliferation but it was not detected in myotubes. Fibronectin was synthesized in satellite cells during proliferation and expelled into the extracellular medium when the myotubes differentiated. We suggest that fibronectin plays a part in the formation of myotubes, as this process was inhibited by anti-fibronectin IgG. Adult satellite cells might differ from fetal myoblasts since they were observed to exhibit the opposite response to a phorbol ester (TPA) to that of the myoblasts. We therefore examined the possibility that the different levels of protein kinase C activity and different phorbol ester binding characteristics in the two cell types account for these opposite responses. Our results suggest that the difference is not connected with the phorbol ester receptor but might be caused by events subsequent to protein kinase C activation. Localized extracellular proteolytic activity might have a role in cell mobilization and/or fusion when satellite cells are activated. We showed that the content of plasminogen activators, chiefly urokinase, was larger in tissues from slow twitch muscles which regenerate more rapidly than fast muscles. The urokinase level rose sharply in cultures when cells fused into myotubes, and was twice as high in slow muscle cells as in fast ones. We also found that, in vitro, slow muscle satellite cells displayed greater myogenicity, but that phorbol ester inhibited their mitosis and myogenicity. We conclude that satellite cells acquire characteristics which differentiate them from myoblasts and correspond to the fast and slow muscles from which they originate.
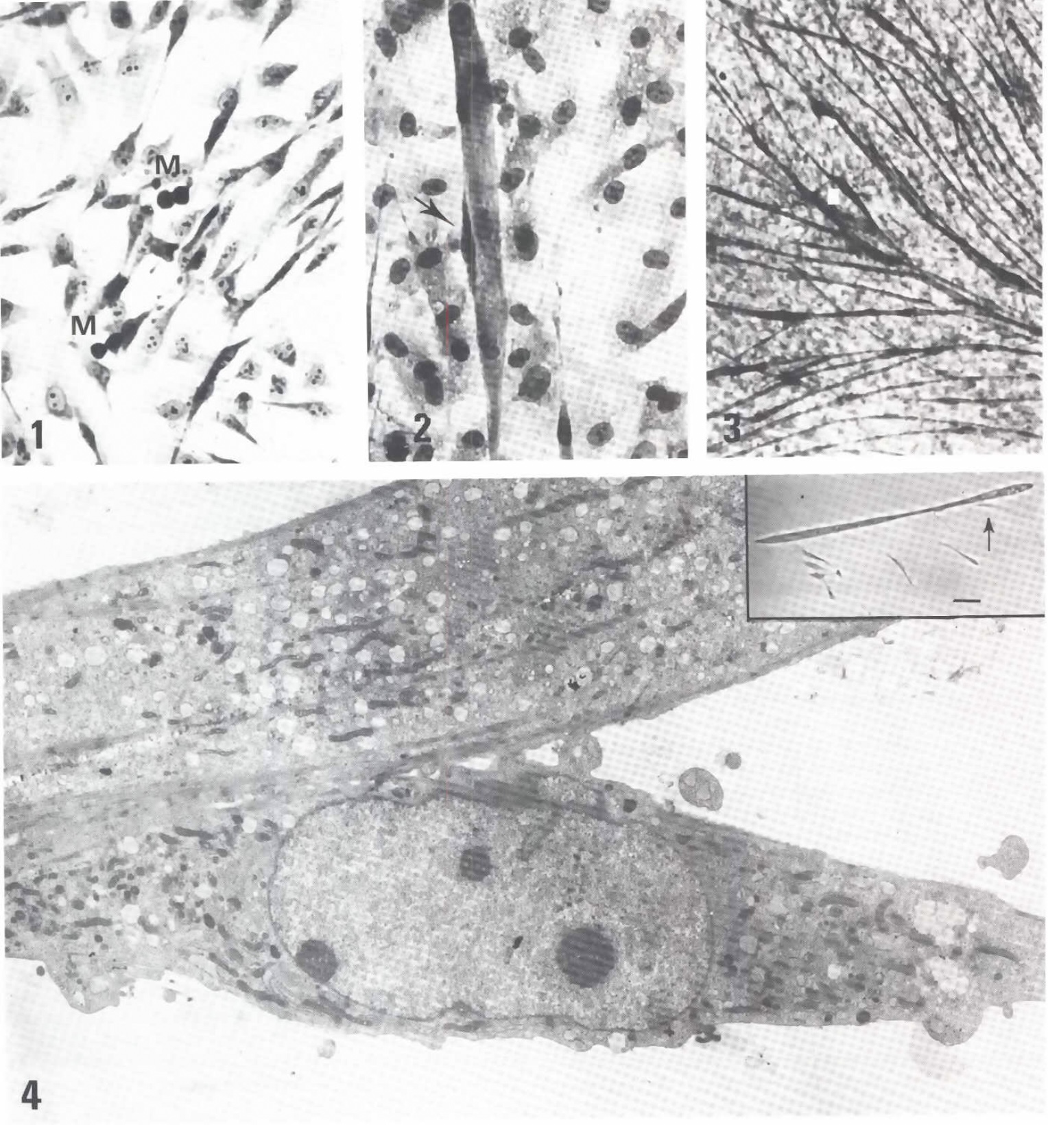
Figs. 1-.4. Histology of in vitro myogenesis. (1) 4-day rat myogenic cell culture before the beginning of cell fusion. Glemsa srainmg (x450i. M: Mltosis. (2) 6-day culture; early myotube with a cell in satellite-like position (arrow). Giemsa staining (x45OJ. (3) Low magnification view of a 14-day culture showing a network of myotubes. Giemsa staining (x 150). (4) Electron micrograph of fusion between the early myotube and rhe satellite cell mdlcated by an arrow in the Inset. Distinct remnants of rhe myorube and the satellite cell membranes are still visible in the contact and consecutive fusion area (x4400; Inset x100)
Fig. 5. Variations in DNA synthesis and in muscular creatine phospho-
kinase in rat satellite cell cultures. DNA synthesIs was measured after 6h incubation wlth.1H-Thymldlne. M-Crearme phosphokinase was measured by the level of creatine phosphate present in culture.
Fig. 6. Variations in the percentage of cells In GO. G 1, S. and G2 phases dUring 14 days of rat satellite cell cultures obtained from Image analysis
Fis. 7 to 12. Immunofluorescent labeling of fibronectin in Xenopus satellite cells cultures. Fixed cultures were incubated In sheep IgG directed against human fibronectin was revealed with fluorescent rabbit anti-sheep IgG ,(x450). (7) Flbronectin located at the membrane surface of isolated cells In an early culture, before cell fusIon. (8) Migrating satellite cell showing intense labeling at the extremities In contact with early motubes. (9) Flbronectm distributed in contact areas (0) between the membranes of several sate/lrrecells aligned before fusion. (10) DlscJburion of fluorescent parches of fibronectin on the membrane surface of an early myotube ~.). 11') Immunofluorescent labeling of an early myorube In which poslrlve spors are scattered along membranes On rhe left, rhe extracellular marnx IS labeled. (12) Extracellular nerwork of flbronecrin In a 16-day culrure. in which myorubes are no longer fluorescent.
Fig. 13. Chart showing the cell fusion rate at day 16 in Xenopus satellite cell cultures to which antlfibronectin IgG (AFN) or non-immune fgG were added at different times.
Fig. 14. Urokinase and t-PA contents of skeletal muscle extracts.
Extracts were obtained as described in Barlovatzet al. (19901. To measure urokinase content, the assay was performed in rhe presence of 400 nM plasminogen and 1.6 mM of rhe synthetic substrate 5-2251. Plasmin generation was detected by measuring p-nirroaniline release from the substrate. To measure t-PA content, fibrin-bound t-PA was determined in the presence of O.2,uM of plasminogen and O.6mM of the synthetic substrate CBS 3308. Values are expressed in specific activities (mOD/mini mg prot)o Both slow Soleus and fast EDLmuscles contained more UK than t-PA bur rhe amount was larger in Soleus, indicating greater myogenicity.
Fig.15. Intracellular urokinase content as a function of in vitro myo- genesis. UK content was determined as explained In Fig, 14. UK was present In cultures at a low level during the proliferating stage and then rose strikingly at day 8 when mitoses had diminished and cells had begun to fuse.
Fig.16. Effect of TPA treatment on the proliferation of satellite cells isolated from Soleus or EDL. after 5-day culture. A low concentration
(10 (power of 10) M) stimulates proliferation In Soleus satellite cells; higher concentraions have inhibitory effects. Under our condirions, proliferation of EDL cells remained unchanged.