Click here to close
Hello! We notice that you are using Internet Explorer, which is not supported by Xenbase and may cause the site to display incorrectly.
We suggest using a current version of Chrome,
FireFox, or Safari.
???displayArticle.abstract???
During vertebrate embryogenesis, the paraxial mesoderm becomes segmented in a rostro-caudal progression and gives rise to the somites. In this paper we report the isolation of a Xenopus orthologue of paraxis, a member of a family of basic helix-loop-helix proteins, which has been suggested to play a role in paraxial mesoderm development. Xenopus paraxis is initially expressed in the presomitic paraxial mesoderm and later in the dorsal portion of the developing somites. Finally, paraxis expression becomes restricted to the most dorso-lateral region of mature somites.
Fig. 3 (Right) . Whole mount in situ hybridization analysis of Xenopus paraxis mRNA expression. (A-D) Dorsal view. (E) Lateral view. All embryos are oriented with anterior to the left. (A) At stage 13, paraxis expression is in the presomitic mesoderm. (B) At stage 17, paraxis expression is reduced in the anterior region where somitogenesis begins. (C) At stage 19, paraxis becomes progressively more reduced in the anterior paraxial mesoderm. (D) At stage 24, paraxis transcripts are present at high levels only in the most caudal region where the somites are not yet compartmentalized. (E) At stage 28, paraxis expression is strong in the tip of the tail and in the dorsal half of somites from mid-trunk to hind-trunk.
tcf15 (transcription factor 15 (basic helix-loop-helix)) gene expression in Xenopus laevis embryo, assayed via in situ hybridization, NF stage 13, dorsal view, anteriorleft.
tcf15 (transcription factor 15 (basic helix-loop-helix)) gene expression in Xenopus laevis embryo, assayed via in situ hybridization, NF stage 17, dorsal view, anteriorleft.
tcf15 (transcription factor 15 (basic helix-loop-helix)) gene expression in Xenopus laevis embryo, assayed via in situ hybridization, NF stage 19, dorsal view, anteriorleft.
tcf15 (transcription factor 15 (basic helix-loop-helix)) gene expression in Xenopus laevis embryo, assayed via in situ hybridization, NF stage 24, dorsal view, anteriorleft.
tcf15 (transcription factor 15 (basic helix-loop-helix)) gene expression in Xenopus laevis embryo, assayed via in situ hybridization, NF stage 17, dorsal view, anteriorleft.
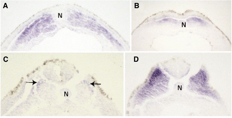
Fig. 4. Analysis of Xenopus paraxis expression in embryo sections. All sections are positioned with dorsal at the top and ventral at the bottom. (A) A stage 13 transverse section shows paraxis transcripts in the whole presomitic mesoderm, but not in the notochord. (B) A stage 17 transverse section through the anteriortrunk shows expression in the dorsal region of somitic mesoderm. (C) A stage 24 transverse section through the anteriortrunk shows weak expression in the dorso-lateral region of somites (arrows). (D) In contrast, a transverse section through the posteriortrunk of the same embryo as in (C) shows strong expression of paraxis in the entire undifferentiated somite. N, notochord.