Click here to close
Hello! We notice that you are using Internet Explorer, which is not supported by Xenbase and may cause the site to display incorrectly.
We suggest using a current version of Chrome,
FireFox, or Safari.
Characterization of a maternal type VI collagen in Xenopus embryos suggests a role for collagen in gastrulation.
Otte AP
,
Roy D
,
Siemerink M
,
Koster CH
,
Hochstenbach F
,
Timmermans A
,
Durston AJ
.
???displayArticle.abstract???
We characterized a novel extracellular matrix element that is present in the earliest developmental stages of Xenopus laevis, and is recognized by an mAb 3D7. Based on amino acid composition, breakdown patterns by bacterial collagenases, and the molecular weights of the components of the antigen (240, 200, and 140 kD), we found it very similar to mammalian collagen type VI. The antigen is evenly distributed in unfertilized eggs. Shortly after fertilization, it becomes localized intracellularly in the periphery of the cleaving embryo as well as in the extracellular spaces. During gastrulation, the antigen was localized in the cells lining the blastopore and in the extracellular space between the two cell layers, in the presumptive archenteron. When Fab elements of the 3D7 antibody were added to the culture medium, gastrulation was blocked, suggesting a role for the antigen in gastrulation movements.
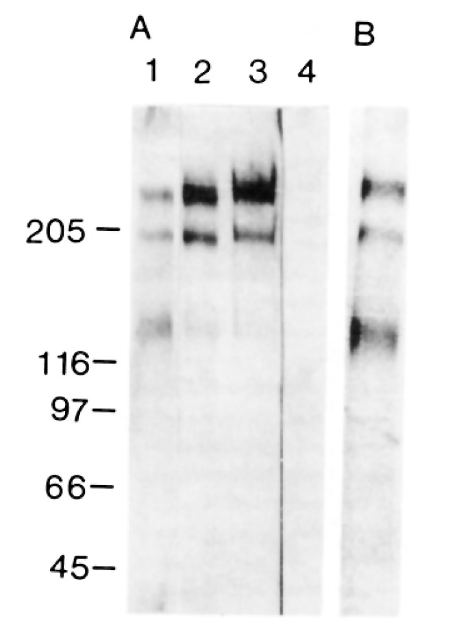
Figure 1. Analysis of 3D7 antigen using SDS-PAGE and Western
blotting or silver staining. (A) A blastula cell homogenate (10 #g)
(lane 1) was subjected to 10 min at 10,000-g centrifugation to remove
yolk platelets, and the supernatant was then resolved by SDSPAGE
(5-15% polyacrylamide gradient gel), transferred to nitrocellulose,
and immunostained using the 3D7 mAb (lanes 1-3). As
negative control the second peroxidase-labeled antibody only was
used (lane 4). Lane 2 shows immunoatfinity-purified antigen. Lane
3 shows concentrated culture medium containing secreted antigen.
Binding of the antibodies was visualized using a peroxidase-conjugated
second antibody. (B) SDS-PAGE of immunoaitinity-purified
3D7 antigen. Antigen was obtained from blastula cell homogenate
as in A. Proteins were visualized by silver staining of the gel. The
positions of the molecular weight markers are indicated to the left
of the panels.
Figure 2. Digestion of 3D7 antigen using collagenases. Blastula supernatant
(lane 1) or purified antigen (lane 3) were incubated with
75 U/ml bacterial collagenase type I (Sigma Chemical Co.) (lanes
2 and 4) for 4 or 12 h (lane 5) at RT before SDS-PAGE and Western
blotting. Blastula supernatant was also incubated with bacterial collagenase
type I for 12 h at room temperature in the presence of 1 M
DTT (lane 6). Further blastula supernatant was incubated with 0.5
mg/ml pepsin (Sigma Chemical Co.) at 4°C 12 h (lane 7). Binding
of the antibodies was visualized using a peroxidase-conjugated second
antibody. The results were obtained using different gels. The
positions of molecular weight markers are indicated to the left of
the panels.
Figure 3. Distribution of the antigen recognized by 3D7 in sections of early Xenopus laevis embryos. 8-#m sections of glutaraldehyde/
paraformaldehyde-fixed embryos embedded in paraffin were stained by indirect immunofluorescence using the 3D7 antibody and FITCconjugated
GAM IgG. (A) Unfertilized egg; (B) fertilized egg, 30 rain after fertilization; (C) stage 4 embryo; (D) stage 6 embryo; (E)
stage 7 blastula; (F) stage 8 blastula; (G) stage 10 1/2-11 gastrula; (H) stage 16 neurula; (I) blastopore region of stage 10 1/4 gastrula;
(J) detail of E, stage 7 blastula; (K) detail of D, stage 6 embryo; (L) detail of stage 8, mid-blastula embryo.
Figure 4. Disappearance of immunocytological staining after the
loss of cell-cell contacts in Ca 2+ and Mg 2÷ free medium. Stage 2
embryos were put in Ca 2+ and Mg2+-free MMR in which they disaggregate
to loosely connected ceils. When embryos reached stage
6 they were either fixed immediately (A) or after incubation in
Ca 2+ and Mg2÷-containing MMR for 45 min. (B). After fixation,
the embryos were paraffin embedded and prepared for immunocytochemistry
using the 3D7 antibody (C). Immunoblot of blastula
supernatant of embryos in A and B. The 140-, 200-, and 240 kD
components of the antigen from nontreated embryos are shown in
lane 1. Disaggregated embryos are shown in lane 2. Embryos were
reaggregated for 45 min (lane 3), or 2 h (lane 4) before analysis.
Figure 5. 3D7 antibody blocks gastrulation when present in the incubation
medium. The vitelline membranes were removed manually
from stage 7 blastulas and the embryos were cultured in MMR
containing monovalent or intact 3D7 antibodies (0.2 mg/ml) (B-D,
Fand G) or nonsense hybridoma antibodies (0.2 mg/ml) (A and E).
Photographs were taken during gastrula stages (A-C) or when the
control (E) embryos reached stage 26. 3D7-treated embryos either
exogastrulated (D) or were delayed in their development (F). Crosssections
of nontreated embryos (G) and 3D7-treated embryos (H)
were made when embryos had reached the stage shown in A and
B. The involuting mesoderm is indicated (M), as well as the dorsal
(DL) and ventral (VL) blastopore lip.
Figure 6. A cell surface-binding antibody which does not block
gastrulation. An antibody (2A9) that binds to gastrula cells (A and
B) was added to the culture medium at the same concentration (0.2
mg/ml) as was used for 3D7 (Fig. 6). 2A9 did not interfere with
gastrulation (C).
Boucaut,
Prevention of gastrulation but not neurulation by antibodies to fibronectin in amphibian embryos.
, Pubmed
Boucaut,
Prevention of gastrulation but not neurulation by antibodies to fibronectin in amphibian embryos.
,
Pubmed
Boucaut,
Biologically active synthetic peptides as probes of embryonic development: a competitive peptide inhibitor of fibronectin function inhibits gastrulation in amphibian embryos and neural crest cell migration in avian embryos.
1984,
Pubmed
Burgeson,
New collagens, new concepts.
1988,
Pubmed
Carter,
Transformation-dependent alterations is glycoproteins of extracellular matrix of human fibroblasts. Characterization of GP250 and the collagen-like GP140.
1982,
Pubmed
Carter,
The cooperative role of the transformation-sensitive glycoproteins, GP140 and fibronectin, in cell attachment and spreading.
1982,
Pubmed
Chu,
Amino acid sequence of the triple-helical domain of human collagen type VI.
1988,
Pubmed
Crawford,
Characterization of a type VI collagen-related Mr-140 000 protein from cutis-laxa fibroblasts in culture.
1985,
Pubmed
Darribère,
The 140-kDa fibronectin receptor complex is required for mesodermal cell adhesion during gastrulation in the amphibian Pleurodeles waltlii.
1988,
Pubmed
Darribère,
Synthesis and distribution of laminin-related polypeptides in early amphibian embryos.
1986,
Pubmed
de StGroth,
Production of monoclonal antibodies: strategy and tactics.
1980,
Pubmed
Duband,
Cell adhesion and migration in the early vertebrate embryo: location and possible role of the putative fibronectin receptor complex.
1986,
Pubmed
Engel,
Structure and macromolecular organization of type VI collagen.
1985,
Pubmed
Gerhart,
Region-specific cell activities in amphibian gastrulation.
1986,
Pubmed
,
Xenbase
Green,
The synthesis of collagen during the development of Xenopus laevis.
1968,
Pubmed
,
Xenbase
Heller-Harrison,
Pepsin-generated type VI collagen is a degradation product of GP140.
1984,
Pubmed
Hessle,
Type VI collagen. Studies on its localization, structure, and biosynthetic form with monoclonal antibodies.
1984,
Pubmed
Keller,
The cellular basis of amphibian gastrulation.
1986,
Pubmed
Laemmli,
Cleavage of structural proteins during the assembly of the head of bacteriophage T4.
1970,
Pubmed
Lee,
Temporal and spatial regulation of fibronectin in early Xenopus development.
1984,
Pubmed
,
Xenbase
Matthew,
Development and application of an efficient procedure for converting mouse IgM into small, active fragments.
1982,
Pubmed
Merril,
Ultrasensitive stain for proteins in polyacrylamide gels shows regional variation in cerebrospinal fluid proteins.
1981,
Pubmed
Nakatsuji,
Fibronectin visualized by scanning electron microscopy immunocytochemistry on the substratum for cell migration in Xenopus laevis gastrulae.
1985,
Pubmed
,
Xenbase
Outenreath,
Endogenous lectin secretion into the extracellular matrix of early embryos of Xenopus laevis.
1988,
Pubmed
,
Xenbase
Roberson,
Xenopus laevis lectin is localized at several sites in Xenopus oocytes, eggs, and embryos.
1983,
Pubmed
,
Xenbase
Roberson,
Lectin from embryos and oocytes of Xenopus laevis. Purification and properties.
1982,
Pubmed
,
Xenbase
Sage,
Preparation and characterization of procollagens and procollagen-collagen intermediates.
1982,
Pubmed
Shulman,
A better cell line for making hybridomas secreting specific antibodies.
1978,
Pubmed
Towbin,
Electrophoretic transfer of proteins from polyacrylamide gels to nitrocellulose sheets: procedure and some applications.
1979,
Pubmed
Trüeb,
Translatable mRNA for GP140 (a subunit of type VI collagen) is absent in SV40 transformed fibroblasts.
1985,
Pubmed
Trüeb,
Type VI collagen is composed of a 200 kd subunit and two 140 kd subunits.
1986,
Pubmed
Trüeb,
Characterization of the precursor form of type VI collagen.
1984,
Pubmed