Click here to close
Hello! We notice that you are using Internet Explorer, which is not supported by Xenbase and may cause the site to display incorrectly.
We suggest using a current version of Chrome,
FireFox, or Safari.
Genes Dev
1991 Jan 01;51:94-104. doi: 10.1101/gad.5.1.94.
Show Gene links
Show Anatomy links
A retinoic acid receptor expressed in the early development of Xenopus laevis.
Ellinger-Ziegelbauer H
,
Dreyer C
.
???displayArticle.abstract???
We have isolated cDNAs coding for a putative retinoic acid receptor (RAR) of the gamma-type from a Xenopus laevis neurula cDNA library. By transient cotransfection of COS cells with an expression vector and a reporter plasmid, this cDNA is shown to direct the synthesis of a retinoic acid-dependent transcription factor. In embryos of X. laevis, transcription of the corresponding gene is greatly enhanced during gastrulation and early neurulation. Two distinct areas with high abundance of RAR gamma mRNA are located at the anterior and at the posterior end of the neurula. The two maxima have emerged by the end of gastrulation and they become more pronounced during neurulation. At tailbud and early tadpole stages, the RAR transcripts are found mainly in the headmesenchyme and in the tailbud. The expression of this RAR is region-specific but not germ-layer-specific. The strong and stage-specific activation of zygotic transcription of this RAR gene, and the specific localization of the mRNA are consistent with the temporal and spatial pattern of retinoic acid sensitivity of X. laevis embryos. Therefore it is likely that the gene product mediates the effects of endogenous and of exogenous retinoic acid on early embryogenesis of Xenopus. The significance of these findings for the specification of the anteroposterior axis is discussed.
???displayArticle.pubmedLink???
1846602
???displayArticle.link???Genes Dev
Figure 1. cDNA and predicted amino acid sequences of xRAR-39. [A] Restriction map and schematic representation of the clone
xRAR-39 in pBluescript SK. The open box represents the predicted translation reading frame. The subdomain structure according to
Ragsdale et al. (1989) is indicated by uppercase letters and vertical bars. The first Sau3A site was created by addition of the linker
sequence and is not foimd in clones 12, 17, or 26. [B] The 2077-nucleotide £coRI cDNA insert of xRAR-39 is shown without the linker
sequences and is numbered above the sequence. The deduced amino acid sequence, represented by the single-letter code and numbered
at left, is shown below the sequence. The characteristically spaced cysteine residues of the DNA-binding domain are boxed. A
putative nuclear targeting signal (Dingwall and Laskey 1986) at amino acid 150 is underlined twice, and the putative dimer formation
domain (Glass et al. 1989) between amino acids 363 and 394 is underlined once. A signal for poly(A) addition at nucleotide 1944 is
shown by bold letters. The nucleotide sequence corresponding to the oligonucleotides used for screening is underlined.
Figure 2. Primary amino acid sequence
comparison of xRAR-39 and members of
the RAR subfamily, [a] Primary sequences
were subdivided in domains according to
Ragsdale et al. (1989) and aligned using the
computer program Microgenie (Beckmann).
Regions of similarity between
xRAR-39 and other RARs are presented
schematically as percent amino acid identity.
(nRAR a, nRAR 8) Newt RAR a and
RAR 8 (Ragsdale et al. 1989); (mRAR 7B)
mouse RAR 7B (Kastner et al. 1990). (i>) Sequence
alignment of mouse RAR 7B (only
domain A is shown), xRAR-39, and newt
RAR 8 (nRAR). In domain A, amino acids
identical in mouse RAR 7B and in xRAR-39
are shown in bold letters. Domains A, C,
and E are boxed.
Figure 3. RA induces pSVL-xRAR-39-dependent transcription
of a TREp-CAT reporter in COS-7 cells. The reporter
pTK28mult (Brent et al. 1989) was cotransfected into COS-7
cells with the expression plasmid pSVL-xRAR-39 (lanes 5-8\ or
the vector pSVL (lanes 3 and 4). After transfection, cells were
treated without (lanes 3 and 5), or with 1, 10, or 100 nM RA as
indicated at bottom. (Lane 1] Blank control; (lane 2) CAT assay
with 8 units of purified enzyme. Activation of the CAT reporter
gene was assayed by incubating cell extracts with [''*C]chloramphenicol.
Chloramphenicol and its acetylated products were
separated by thin-layer chromatography and detected by autoradiography.
Figure 4. Northern blot analysis of xRAR-39 mRNA in X. laevis embryos and tissues of adults. Full-length xRAR-39 antisense RNA
was hybridized to total RNA of embryos of the stages as indicated above each lane [a); total RNA [b], and poly(A)+ RNA of tissue
culture cells and of adult tissues [c], and total RNA of parts of dissected embryos {d, e). Embryos in a, d, and e were staged according to
Nieuwkoop and Faber (1967). (Stage 1) Fertilized egg; (stage 5) 16-cell stage; (stages 8 and 9) blastula; (stages 10-12) gastrula; (stages
15-20) neurula; (stages 24-28) tailbud; (stages 38 and 39) early tadpoles. The sources of RNA analyzed in b and c were Ag cells (A^),
kidney (K), testis (T), brain (B), defolhculated oocytes of stages I-III (Dumont 1972) (O) liver (L), skeletal muscle (M), and spleen (S). [d
and e) The anterior (A), middle (M), or posterior (P) thirds of embryos of stage 28 (lanes 1-3] or stage 39 (lanes 4-6) were dissected, (e)
The probe was a 5'-specific cDNA fragment that contained the first 157 bp upstream of the first Sphl site (Fig. la). Each lane contained
the amount of total RNA equivalent to 1.5 embryos [a, d, and e], or 10 |i,g of total RNA [b], or ~5 |xg of poly(A) +-selected RNA (c). The
positions of 28S and 18S rRNAs are indicated by arrowheads. Bottom panels show the result of subsequent hybridization of each filter
with a DNA probe specific for cytoplasmic p-actin.
Figure 5. In situ hybridization of xRAR-39 antisense
RNA to sections of X laevis late gastrula
(stage 12.5). [a] Sagittal section photographed with
bright-field illumination after staining with azure
B [left] and with epipolarization to show the hybridization
signals [liglit]. [b] The dorsal anterior
part of a parasagittal section was photographed
with polarized UV light and dimmed translucent
light, (c) Dorsal posterior part of a sagittal section
hybridized with the control sense xRAR-39 probe,
photographed with epipolarization. (A) anterior;
(AR) archenteron; (EN) endoderm; (DL) dorsal lip;
(NP) neural plate; (P) posterior; (VL) ventral lip;
(YP) yolk plug. Bars, 100 jxm.
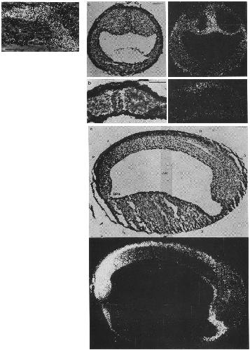
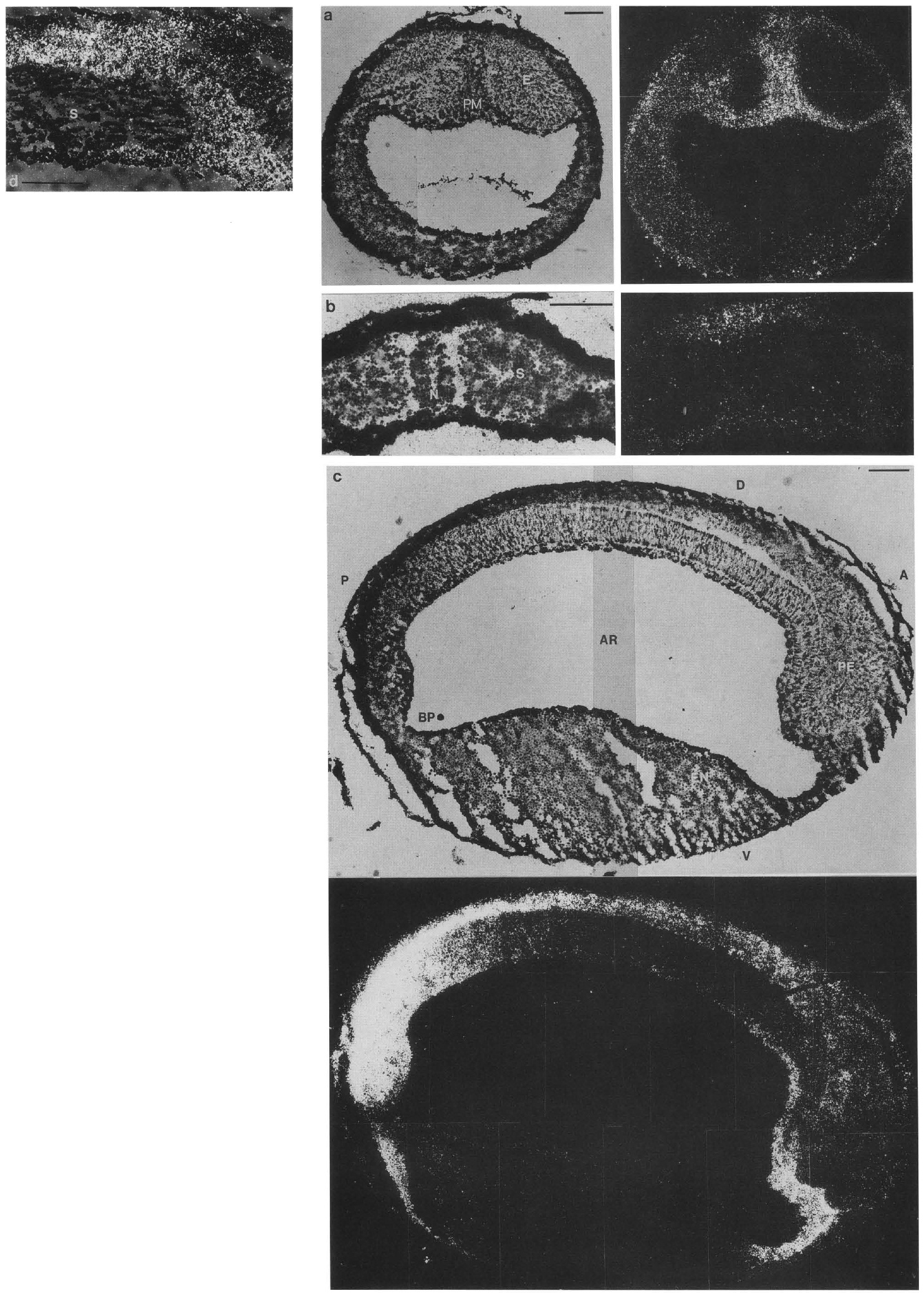
Figure 6. Localization of xRAR-39 transcripts
on sections of neurulae. [a] Anterior
transverse section of a neurula of stage 17 at
the level of the eye anlagen. (b) Dorsal part
of a transverse section of the trunk region of
the same embryo (stage 17). (c) Sagittal section
of a neurula of stage 20. [d] Detail of a
parasagittal section of the same embryo
(stage 20), showing the somites, [a and b,
left) c, top). Bright-field illumination, {a and
b, light) C; bottom) hybridization signals
shown by epipolarization. [d] Hybridization
signals and morphology shown simultaneously.
(A) anterior; (AR) archenteron? (BP)
blastoporus; (E) eye anlagen; (EN) endoderm;
(D) dorsal; (N) notochord; (P) posterior; (PE)
prosencephalic anlagen; (PM) prechordal
mesoderm; (S) somites; (V) ventral. Bars, 100
um.
Figure 7. XRAR-39 mRNA distribution in early
tadpoles (stage 31). Transverse sections at the
level of the eyes {a], the trunk {b], and the tip of
the tail (c) are shoM^n with bright-field illumination
[left] and v^ith epipolarization {right). The hybridization
signals on sense controls (not shown)
were in intensity comparable to those over the
brain and the eyes in a. (B) brain; (DT) digestive
tract; (E) eye. Bars, 100 |xm.