Click here to close
Hello! We notice that you are using Internet Explorer, which is not supported by Xenbase and may cause the site to display incorrectly.
We suggest using a current version of Chrome,
FireFox, or Safari.
Examining pattern formation in mouse, chicken and frog embryos with an En-specific antiserum.
Davis CA
,
Holmyard DP
,
Millen KJ
,
Joyner AL
.
???displayArticle.abstract???
We have raised an antiserum, designated alpha Enhb-1, to a portion of the mouse En-2 protein containing the homeodomain. The antiserum detects both the En-1 and En-2 proteins in mouse, chick and Xenopus embryos by Western blot analysis. Using whole-mount immunohistochemistry, combined in some cases with scanning electron microscopy, we have examined the distribution of the proteins in the early embryos of these species. The major features of expression were similar. The initial production of En protein occurred, just before or during the formation of the first somites, in a band of the anterior neural plate in the prospective mid/hindbrain region. Later in development En-1 protein accumulated in the ventralectoderm of the developing mouse and chick limb buds, indicating that a dorsal-ventral polarity is present as soon as any limb bud swelling is apparent and that, at least in the mouse, this polarity is established independently of the apical ectodermal ridge. In all three species, alpha Enhb-1 bound to a subset of ventro-lateral differentiating neurons in the spinal cord and hindbrain and their pattern of birth in the mouse reflected the division of the hindbrain into rhombomeres. En-1 protein also accumulated in a lateral stripe of dermatome in the mouse and chick, indicating a dorsal-ventral subdivision of this tissue. The results show that En expression is a good marker for pattern formation in a variety of tissues and will be useful in experimental studies designed to characterize further these processes.
Fig. 1. Distribution and sizes of the two En proteins in
mouse, chick and Xenopus embryonic tissues. The
indicated tissues were dissected out and a Western blot
analysis done using the aEnhb-1 antiserum (see Materials
and methods) (a) Mouse ES cell line; (b) mouse ES cell
line overexpressing an exogenous En-1 cDNA; (c) Mouse
ES cell line over-expressing an exogenous En-2 cDNA;
(d) adult mouse forebrain; (e) adult mouse cerebellum;
(f) 12.5d embryonic mouse forebrain; (g) 12.5d embryonic
mouse mid/hindbrain; (h) 12.5d embryonic mouse spinal
cord; (i) stage 19 embryonic chick brain; (j) stage 21
embryonic chick spinal cord; (k) stage 21 embryonic chick
limb buds; (1) stage 25-30 Xenopus mid/hindbrain. The
solid square indicates the position of a faint band.
Fig. 2. Localization of the En proteins in the early neuroepithelium of mouse, chick, and Xenopus embryos by wholemount
immunohistochemistry using aEnhb-1. (A,B) Dorsal views of 8.0d mouse embryos at the time of condensation of
(A) the first somites and (B) after the formation of 3 somite pairs, (pos) pre-otic sulcus. (C,D) Dorsal views of chick
embryos at (C) stage HH8 (3â4 somites) and (D) stage HHll (14 somites). Arrows indicate the junctions between the
prosencephalon and mesencephalon and the mesencephalon and metencephalon. rh4 marks the fourth rhombomere.
(E) Dorsal view of a stage 13 Xenopus embryo. Arrow marks the location of the En proteins within the neural plate.
(F) Lateral view of a stage 14 Xenopus embryo. Scale bars represent 0.3 mm.
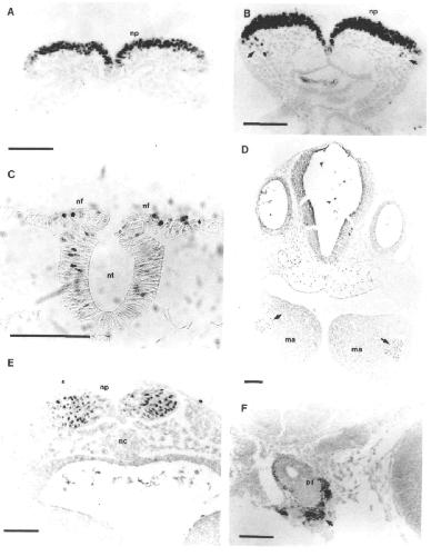
Fig. 3. Localization of the En proteins in sections of
mouse, chick and Xenopus embryos following whole-mount
immunohistochemistry using aEnhb-1. (A,B) Cross
sections through the anterior neural plate of 8.0d mouse
embryos at the level of the foregut pocket during the
formation of (A) 2-3 somites and (B) 4 somites. Arrows in
B indicate staining cells in the lateralmesenchyme.
(C) Cross-section through a stage HH8 (3-4 somites) chick
embryo at the level of the developing mesencephalon
showing En expression in the neural folds. (D) Frontal
section through the head of a 9.5d mouse embryo. Arrows
indicate the core of staining cells in the mandibular arches.
(E) Cross-section through the anterior neural plate of a
stage 20 Xenopus embryo showing En expression in the
neural plate. (F) Coronal section through the brain and
pituitary of a 15.5d mouse embryo, (np) neural plate; (nf)
neural folds; (nt) neural tube; (nc) notochord; (ma)
mandibular arch; (pt) pituitary. Scale bars represent
0.1mm.
Fig. 5. Distribution of En proteins in the bodies and hindbrains of mouse, chick and Xenopus embryos visualized by
whole-mount immunohistochemistry using aEnhb-1. (A) Lateral view of a 10.Od mouse embryo. The arrow indicates the
mesencephalon-metencephalon border. The otic vesicle staining is probably artifactual, since the staining is non-nuclear
and secondary antibody alone binds as well. (B) Magnification of the hindbrain region in A. The arrows indicate the rostral
limit of the stripe of En-1 protein in the hindbrain. (C) HH15 chick embryo. The arrows indicate the mesencephalonmetencephalon
and prosencephalon-mesencephalon border. (D) Magnification of the trunk region in C showing the
developing staining patterns in the somites and spinal cord. (E) Lateral view of a stage 31-32 Xenopus embryo. The large
arrow indicates the mesencephalon-metencephalon border. The small arrow indicates staining myotome nuclei. (F) Trunk
region of a stage 28 Xenopus embryo. The large arrow indicates the location where the rostral progression of the spinal
cord and hindbrain staining pauses. The small arrow indicates staining myotome nuclei. For all panels rostral is to the
right, (ov) otic vesicle; (lb) limb bud. Scale bars represent 0.5 mm.
Fig. 6. Diagram and sections detailing En expression in the
mouse and Xenopus. (A) Cross section through a 9.5d
mouse embryo at the level of the forelimb bud showing the
location of En-1 protein in the limb buds, spinal cord and
somites. The bars on the right side of the embryo indicate
the dorsal-ventral edges of a somite, (d) dorsal; (v)
ventral; (lb) limb bud; (sc) spinal cord; (sm) somite.
(B) Diagram illustrating the progression of En-1 expression
in the spinal cord and hindbrain of the mouse from the 18
somite stage (top), to 20 somite stage (middle), to 27
somite stage (bottom). Solid dots represent staining nuclei,
dashed lines indicate the rhombomere borders (numbered
in the top panel) and solid bars represent the borders of
the adjacent somites, (ov) otic vesicle; (sm) somites.
(C) Near mid-sagittal section of a stage 37 Xenopus
embryo showing En expression at the mesencephalonmetencephalon
and in the hindbrain and spinal cord.
Rostral is to the left. The arrow indicates the
mesencephalon-metencephalon border, (hb) hindbrain.
(D) Frontal section through a portion of the spinal cord
and somites of a 10.5d mouse embryo, (der) dermatome;
(myo) myotome; (scl) sclerotome; (sc) spinal cord.
(E) transverse section through the spinal cord just caudal
to the spinal cord/hindbrain junction of a 15.5d mouse
embryo (in this region the dorsal portion is wider than the
ventral horn), (d) dorsal; (v) ventral. (F) frontal section
through the forelimb bud of an 11.5 day mouse embryo
showing strong staining of the distal tip and weaker
staining of the ventral surface, (lb) limb bud; (d) dorsal,
(v) ventral. Scale bars represent 0.1mm.