Click here to close
Hello! We notice that you are using Internet Explorer, which is not supported by Xenbase and may cause the site to display incorrectly.
We suggest using a current version of Chrome,
FireFox, or Safari.
Expression of a novel cadherin (EP-cadherin) in unfertilized eggs and early Xenopus embryos.
Ginsberg D
,
DeSimone D
,
Geiger B
.
???displayArticle.abstract???
Two distinct cadherin cDNA clones of Xenopus laevis were isolated from a stage 17embryo cDNA library. Analysis of the complete deduced amino acid sequences indicated that one of these molecules is closely homologous to chicken and mouse N-cadherin, while the other displays comparable homology to both E- and P-cadherins and was thus denoted EP-cadherin. This molecule has an apparent relative molecular mass of 125 x 10(3) (compared to approx. 138 x 10(3) or approx. 140 x 10(3) of E-cadherin and N-cadherins, respectively). Northern and Western blot analyses indicated that N-cadherin is first expressed at the neurula stage while EP-cadherin is the only cadherin detected in unfertilized eggs and cleavage stage embryos. Immunolabeling of Xenopus eggs with antibodies prepared against a fusion protein, containing a segment of EP-cadherin, indicated that the protein is highly enriched at the periphery of the animal hemisphere. EP-cadherin was also found in A6 epithelial cells derived from Xenopus kidneys, and was apparently localized in the intercellular adherens junctions.
Fig. 1. Restriction maps of the various cDNAs encoding
Xenopus N-cadherin (Cl, C3, C6, C8) and EP-cadherin
(C2, C4, C5). The restriction sites marked include: EcoRI:
(Rl;) BaniHl: (B); HindlU: (H3); PstI (P). The boxes
under Cl and C4 represent the fragments that were used
as probes. A scheme outlining the various cadherin protein
domains (including presequences (P), ectodomains 1-5 and
the cytoplasmic (C) domain) is shown at the bottom.
Fig. 2. Nucleotide and deduced amino acid sequences of Xenopus N-cadherin (clone No. 1). The N-terminal amino acid of
the mature protein is encircled and the transmembrane domain underlined. Amino acid variations from the previously
published sequence of Xenopus N-cadherin (Detrick et al. 1990) are indicated below the sequence. Notice that the dash
under lysine (650) marks an in frame deletion.
Fig. 3. Nucleotide and deduced amino acid sequences of Xenopus EP-cadherin (clone No. 4). The N-terminal amino acid
of the mature protein is encircled and the transmembrane domain underlined.
Fig. 4. Comparison of the predicted amino acid sequences of Xenopus N-cadherin to chicken N-cadherin (Hatta et al.
1988) and of Xenopus EP-cadherin to both mouse E- and P-cadherins (Nagafuchi et al. 1987 and Nose et al. 1987,
respectively). Gaps were inserted such that all five molecules will be grossly aligned. The approximate borders of the
various cadherin domains (signal peptide (sig), presequences (pre), ectodomains 1-5 (EC1-EC5), the transmembrane
(TM) and cytoplasmic domain (cyt)), are marked.
Fig. 5. Northern blot analysis of RNA from early embryos
reacted with either an EP-cadherin (EP-cad) or a
N-cadherin (N-cad) probe. 25 ^g of total RNA from
unfertilized eggs, blastula at MBT, neurula and tail bud
embryos were run on an agarose-formaldehyde gel and
transferred onto a Hybond-N membrane. All samples
showed the same intensity following methylene blue
staining of the blot. The position of 28S and 18S ribosomal
RNAs is indicated.
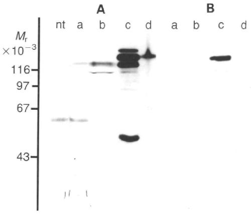
Fig. 6. Immunoblot analysis of protein extracts from nontransfected
CHO cells (nt), CHO cells transfected with EPcadherin
(a), eggs (b), A6 cells (c) and heart tissue (d)
reacted with either the pan-cadherin R-156 antibodies (A)
or anti-E-cadherin antibodies (B).
Fig. 9. Northern blot analysis of RNA from adult frog tissues reacted with either an EP-cadherin (EP-cad) or a N-cadherin
(N-cad) probe. 75 fig of total RNA from heart, lung, liver, skin, intestine, testis and eggs were run on an agaroseformaldehyde
gel and transferred onto a Hybond-N membrane. The methylene blue staining pattern of all samples was
comparable. The position of the 28S and 18S ribosomal RNAs is indicated.
Fig. 10. Immunoblot analysis of protein extracts from
heart, skin, liver, lung, testis and eggs reacted with the
pan-cadherin, R-156, antibodies.