|
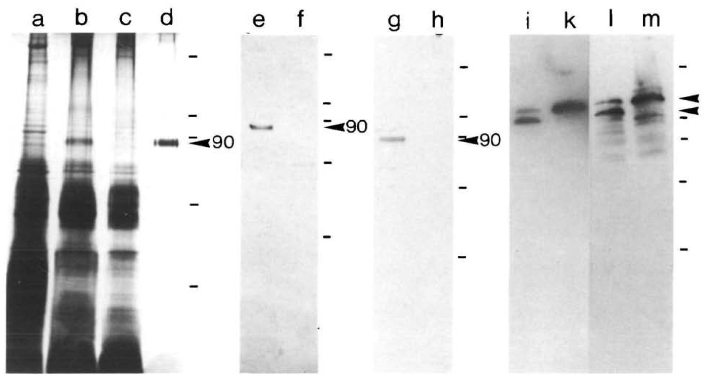
Fig. 1. Characterization of the antigens from A6 cells recognized by mAbs 6D5 and 10H3. (a-d) Isolation of a 90xl(fi MT
protein fraction from supernatants of A6 cells after trypsin treatment. Supernatants from trypsin-digested A6 cells were
used for lentil lectin affinity chromatography as described under Materials and methods. Lane a: supernatant of A6 cells
treated with trypsin in the absence of Ca (500^1 per lane). Lane b: supernatant from A6 cells treated with trypsin in the
presence of Ca (500^1 per lane). Lane c: wash through of the lentil lectin chromatography (500^1 per lane). Lane d:
eluate from the lentil lectin column (300 ^il per lane which corresponds 10% of the eluate). The arrowhead indicates the
90X103 Mr protein fraction, (e-h) Identification of the 90X103 MT protein fraction by mAbs 6D5 and 10H3 on
immunoblots. Supernatants from A6 cells treated with trypsin in the presence of Ca2+ (lanes e and g) or in the absence of
Ca2+ (lanes f and h) were immunoblotted with mAb 6D5 (lanes e and f) or mAb 10H3 (lanes g and h). (i-m)
Determination of a protein moiety as epitopes for mAbs 6D5 and 10H3. Cell lysates of untreated A6 cells (lanes k and m)
or tunicamycin-pretreated A6 cells (10/igmP1) were immunoblotted with mAb 6D5 (lanes i and k) or mAb 10H3 (lanes 1
and m). Approximately 100 ng of protein was loaded on each lane. Arrowheads indicate the two main protein bands
recognized by the two antibodies. Bars indicate relative molecular masses from top to bottom as follows: 200, 116, 97, 68,
43 (x10^3).
|
|
Fig. 2. Comparison of the 21 N-terminal amino acids from
a microsequence analysis of the 90X103 MT protein fraction
and the corresponding amino acid sequences of cadherins
in different species. Residues identical with those of the
90x10* MT protein fraction are enclosed in boxes. Numbers
on the right indicate % identity of the obtained 90X103 Mt
protein fraction with the listed cadherins. The N terminus
is marked by an arrowhead. X=not identified amino acid
residue; M, mouse; H, human; C, chicken; X, Xenopus;
cad, cadherin; p.f., protein fraction. Sequences from top to
bottom are reported by Nagafuchi et al. 1987 and Ringwald
et al. 1987; Wheelock et al. 1987; Gallin et al. 1987;
Miyatami et al. 1989; Nose et al. 1987; Hatta et al. 1988;
Shimoyama et al. 1989; Detrick et al. 1990.
|
|
Fig. 3. Antibody inhibition of the reaggregation of
dissociated A6 cells. Cells of an A6 monolayer culture
were dissociated in Ca2+-free buffer (A) and incubated for
2h in culture medium supplemented with either control
IgG P3 (B), purified mAb 10H3 (C) or mAb 6D5 (D) in a
concentration of 10/xgml1 each. Bar, 50um.
|
|
Fig. 4. Immunostainings of Xenopus tissues. Cryostat sections of the head region of a stage 47 tadpole (A-C), liver (D-F)
and heart (G-I) were immunostained with mAb 10H3 (A,D,G), mAb 6D5 (B,E,H) or inert control IgG (C,F,I). Arrows
and arrowheads inert control IgG (C,F,I). Arrows and arrowheads in H indicate the intercalated discs and the costameres
in heart tissue, respectively. Bars, 30um.
|
|
Fig. 5. Identification of two different cadherins in embryos
by mAbs 10H3 and 6D5. Protein extracts of embryos of
different stages were prepared as described in Materials
and methods. The equivalent of 5 embryos per lane was
used for electrophoresis and immunoblotting.
(A) Comparison of molecular masses of cadherins
recognized by mAbs 10H3 and 6D5 in protein extracts of
stage 20 embryos. A6 cell lysates (100/ig/lane, lanes a and
d) and the protein extract of stage 20 embryos (lanes b and
c) were immunoblotted with mAb 10H3 (lanes a and b) or
mAb 6D5 (lanes c and d). (B) and (C) Western blot
analysis of the antigens recognized by mAbs 10H3 (B) and
6D5 (C) during development. Stages from a-g: 1, 3, 8 10,
12, 14, 20. Numbers indicate relative molecular masses
xlO3.
|
|
Fig. 6.' Aggregation assays of blastomeres of the early embryo and inner cells of the animal cap of late blastulae. (A-C)
Fertilized eggs were demembranated and incubated in Ca2+-free buffer until the 8-cell stage was reached. The incubation
was continued in Ca2+-free buffer (A) or in Ca2+-containing buffer supplemented with 10/igmF1 of purified mAb 10H3
(B) or mAb 6D5 (C). Photographs were taken 4h post-fertilization. (D-F) Inner cells of the animal half of a stage 9
blastula were isolated and dissociated in Ca2+-free buffer containing lmin EDTA. Cells were further incubated either in
Ca2+-free buffer (D) or in Ca2+-containing buffer supplemented with purified mAb 10H3 (E) or mAb 6D5 (F) in a
concentration of lO^gml1 each. Photographs were taken after 5h of incubation. By this time control embryos had
reached stage 13. Bars, 500um.
|
|
Fig. 7. Distribution of E-cadherin in the embryo during early development. Embryos were immunostained with mAb 10H3
embedded in glycolmethacrylate and sectioned. A schematic drawing (A) indicates the cell layers seen in the sagittal section of
an embryo at stage 12.5 (B). The arrow in A indicates the original animal pole region. C represents a magnification of the
original animal pole region in B. (D) A schematic drawing indicates the cell layers seen in the transverse section of an embryo
stage 14 (E). (F) Transverse section of an embryo stage 20. np, neural plate; pe, presumptive epidermis; bl, blastocoel; ae,
archenteron, dbl, dorsal blastopore lip; vbl, ventral blastopore lip; be, bottle cells; no, notochord; pm, paraxial mesoderm; ar,
archenteron roof; nt, neural tube;. Bars represent in B and E 200/an, in C and F 50um.
|
|
Fig. 8. Localization of U-cadherin to the newly inserted
cell membranes in the first cleavage stage. Embryos in the
first cleavage stage were immunostained with mAb 6D5,
embedded in glycolmethacrylate and sectioned.
(A) Immunostaining. (B) Same section in phase contrast.
Arrows indicate the staining of newly formed membranes
in the first cleavage (A). Bar, 50um.
|
|
Fig. 9. Distribution of U-cadherin in the dorsal blastopore lip region. Pieces of embryos stage 10.5 containing the dorsal
blastopore lip region were stained with mAb 6D5 (A) or control IgG P3 (B), embedded in glycolmethacrylate and
sectioned. Arrowhead indicates apically constricted bottle cells. Arrows point in the direction of the animal pole, en,
endoderm; me, mesoderm; ec, ectoderm. Bar, 100um.
|
|
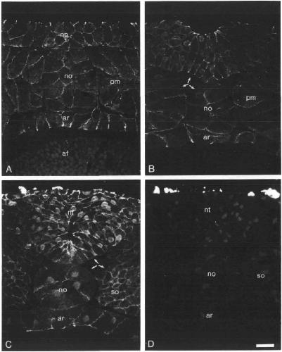
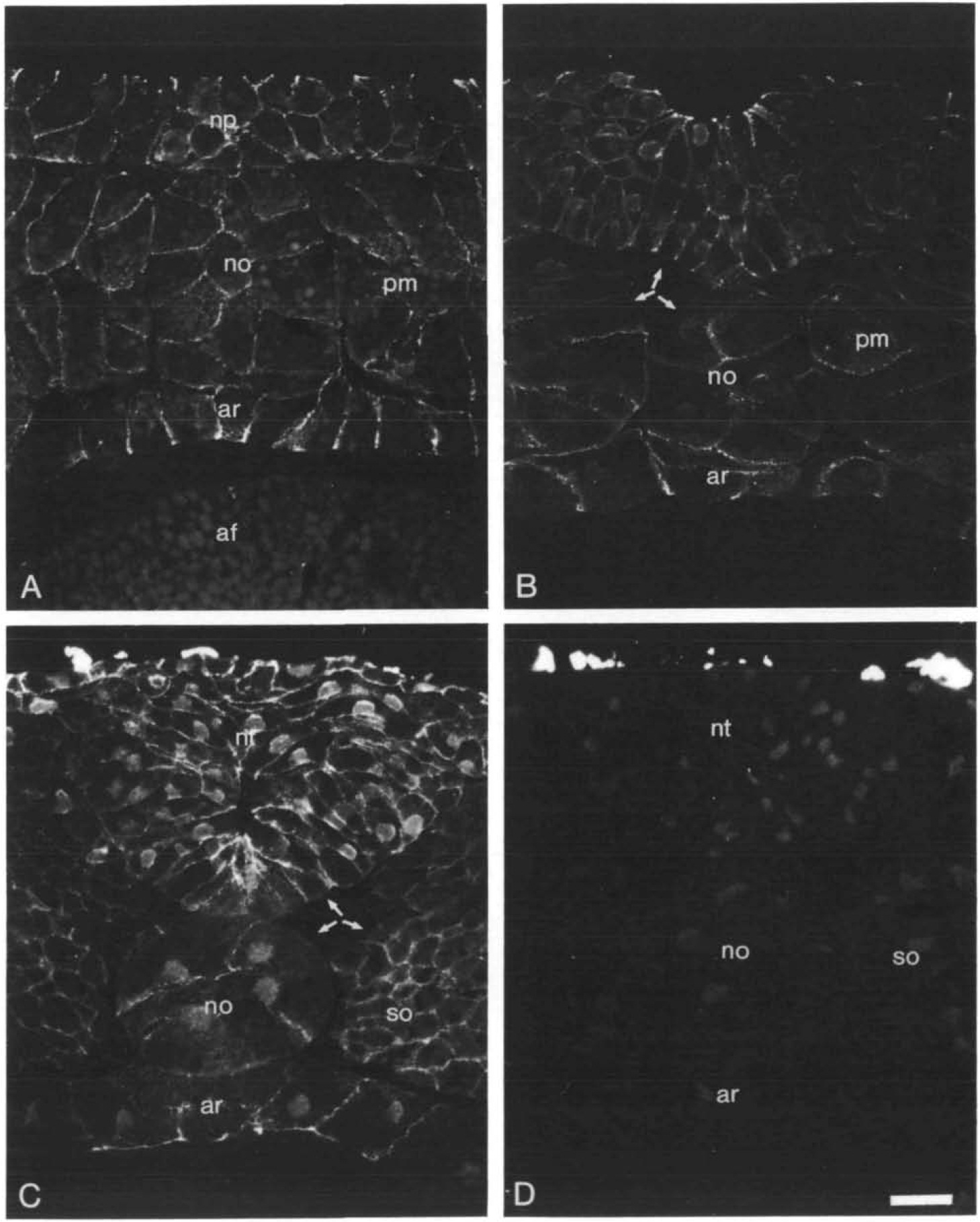
Fig. 10. Distribution of U-cadherin in neurula stages. Anterior halves of embryos stage 13 (A) and dorsal halves of
embryos stage 17 (B) and stage 21 (C and D) were stained with mAb 6D5 (A, B and C) or control IgG P3 (D). The
tissues were embedded in glycolmethacrylate and transverse sections were cut through the middle of the dorsal regions.
Arrows in B and C indicate cell membranes devoid of staining, np, neural plate; no, notochord; pm, paraxial mesoderm;
ar, archenteron roof; af, archenteron floor; so, somite; nt, neural tube. Bar, 30um.
|