XB-ART-24611
Biochem Biophys Res Commun
1991 Aug 15;1783:1233-9.
Show Gene links
Show Anatomy links
Deduced primary structure of a Xenopus proteasome subunit XC3 and expression of its mRNA during early development.
???displayArticle.abstract???
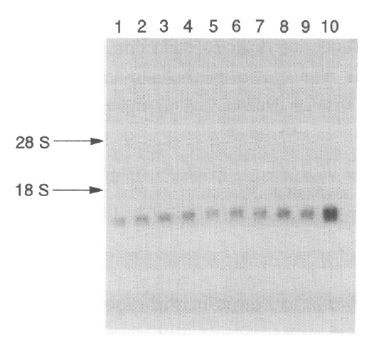
Proteasome is a non-lysosomal proteinase complex ubiquitously distributed in eukaryotic cells. We isolated here the cDNA clone for one of the proteasome subunits (XC3) from Xenopus ovary cDNA libraries using rat RC3 cDNA as a prove. The cDNA is 885 bp long and encodes 234 amino acids. The deduced amino acid sequence is highly homologous (95.3%) to those of rat RC3 and human HC3 subunits. The mRNA for XC3 is one of the maternal mRNAs and detected at all the embryonic stages investigated, but its level changes in a characteristic way especially at the gastrula stage. We suggest that the highly conserved XC3 subunit plays an essential role in proteasome function and also that during Xenopus embryogenesis mRNA for XC3 subunit is replaced from maternal to newly-synthesized one probably around the gastrula stage.
???displayArticle.pubmedLink??? 1872843
???displayArticle.link??? Biochem Biophys Res Commun
Species referenced: Xenopus
Genes referenced: psma2
???attribute.lit??? ???displayArticles.show???
