Click here to close
Hello! We notice that you are using Internet Explorer, which is not supported by Xenbase and may cause the site to display incorrectly.
We suggest using a current version of Chrome,
FireFox, or Safari.
???displayArticle.abstract???
Three laryngeal properties associated with the production of masculine song--laryngeal muscle tension, fiber twitch type, and fiber recruitment--are markedly sexually dimorphic in adult Xenopus laevis frogs. To elucidate the pattern of sexual differentiation, tension and fiber recruitment in male and female larynges and fiber twitch type in male larynges were examined throughout postmetamorphic development. Masculinization of male laryngeal properties begins early in postmetamorphic development and continues until adulthood. In contrast, tension and fiber recruitment in females do not change after the end of metamorphosis. Laryngeal muscle tension and fiber type are gradually and progressively masculinized; the temporal pattern of masculinization is very similar for these properties. Fiber recruitment, on the other hand, appears to masculinize in a stepwise manner. Masculinization of all three properties is highly correlated with larynx weight in males. We have used this relation to divide postmetamorphic development into seven stages associated with key events in sexual differentiation. This staging scheme provides an important experimental tool for studying the hormonal regulation of sexual differentiation, the subject of the accompanying paper.
FIG. 1. Laryngeal weight as a function of body weight for males and
females throughout postmetamorphic development. Although larynx
weight is highly correlated with body weight in both sexes, males
increase larynx weight more rapidly than females. Note that both
body weights and laryngeal weights are sexually dimorphic in adults.
FIG. 2. Tension records from developing male and female larynges.
Adult males typically produce 100% transient tension, while females
typically produce mostly maintained tension with small transients
superimposed. Tension (t) is sexually monomorphic at the end of metamorphosis
and during early postmetamorphic development. The percentage
of transient tension then increases in males but remains unchanged
in females. Calibration bar: 50 ms.
FIG. 3. The percentage of transient tension as a function of larynx
weight in males and females throughout postmetamorphic development.
The percentage of transient tension is sexually monomorphic
early in development and then increases rapidly in males but remains
unchanged in females.
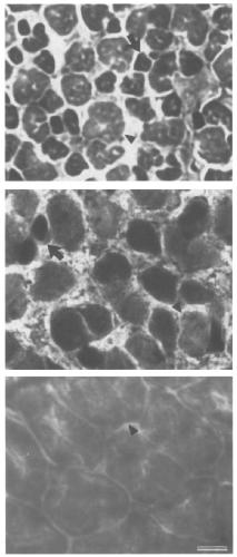
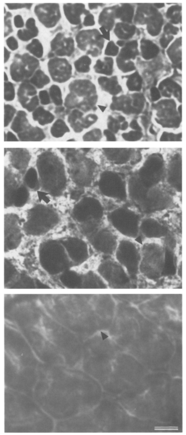
FIG. 4. Photomicrographs of sections reacted for ATPase activity in
male laryngeal muscle at three developmental stages. An example of a
small dark muscle fiber (slow twitch) is indicated (arrow) at early
developmental stages. A larger light muscle fiber (fast twitch) is also
indicated (arrowhead) at each stage. At the end of metamorphosis
(top, 9 mg larynx), male laryngeal muscle is composed of a heterogeneous
population of fibers; 51% are slow twitch. During masculinization
(middle, 102 mg larynx), male laryngeal muscle has 21% slow
twitch fibers. In adulthood (bottom, 517 mg larynx), male laryngeal
muscle is composed only of fast twitch fibers, no slow twitch fibers are
present. Calibration bar: 10 ~m.
FIG. 5. The percentage of slow twitch fibers as a function of larynx
weight in males throughout postmetamorphic development. The percentage
of slow twitch fibers begins to decline early in development
and decreases rapidly. The loss of slow twitch fibers closely parallels
the increase in the percentage of transient tension (Fig. 3).
FIG. 6. Electromyogram recordings from developing male and female
larynges. In adulthood (bottom panels), male EMGs increase in
amplitude throughout the stimulus train, while female EMGs have a
nearly constant amplitude. At the end of metamorphosis (top panels),
both sexes display a decrease in EMG amplitude in response to a stimulus
train (EMG potentiation <1.0). Both sexes then increase EMG
potentiation values somewhat (EMG potentiation ~1.0; middle panels).
Males then further increase EMG potentiation during development
while females do not. Calibration bar: 50 ms.
FIG. 7. EMG potentiation as a function of larynx weight in males
and females during postmetamorphic development. EMG potentiation
is low in both sexes early in development. During postmetamorphic
development, values increase in males and are not fully masculinized
until adulthood. Female values remain low throughout postmetamorphic
development.
FIG. 8. Average values for male percentage of slow twitch fibers,
percentage of transient tension, and EMG potentiation at each stage
in postmetamorphic development. Female values (mean of PM1
through PM6) are shown for comparison in percentage of transient
tension and EMG potentiation graphs; adult female values (from Sassoon
et al., 1987) are shown in percentage of slow twitch fibers graph.
Bars represent mean _+ SD. The number of animals included in each
bar is indicated above the bar. All properties show a marked increase
in masculinization between PM2 and PM3.
Guth,
Procedure for the histochemical demonstration of actomyosin ATPase.
1970, Pubmed
Guth,
Procedure for the histochemical demonstration of actomyosin ATPase.
1970,
Pubmed
Hannigan,
Androgen-induced alterations in vocalizations of female Xenopus laevis: modifiability and constraints.
1986,
Pubmed
,
Xenbase
Kelley,
Sexually dimorphic behaviors.
1988,
Pubmed
Marin,
Hormone-sensitive stages in the sexual differentiation of laryngeal muscle fiber number in Xenopus laevis.
1990,
Pubmed
,
Xenbase
Sassoon,
Androgen regulation of muscle fiber type in the sexually dimorphic larynx of Xenopus laevis.
1987,
Pubmed
,
Xenbase
Sassoon,
The sexually dimorphic larynx of Xenopus laevis: development and androgen regulation.
1986,
Pubmed
,
Xenbase
Tobias,
Temporal constraints on androgen directed laryngeal masculinization in Xenopus laevis.
1991,
Pubmed
,
Xenbase
Tobias,
Electrophysiology and dye-coupling are sexually dimorphic characteristics of individual laryngeal muscle fibers in Xenopus laevis.
1988,
Pubmed
,
Xenbase
Tobias,
Vocalizations by a sexually dimorphic isolated larynx: peripheral constraints on behavioral expression.
1987,
Pubmed
,
Xenbase
Wetzel,
Androgen and gonadotropin effects on male mate calls in South African clawed frogs, Xenopus laevis.
1983,
Pubmed
,
Xenbase