Click here to close
Hello! We notice that you are using Internet Explorer, which is not supported by Xenbase and may cause the site to display incorrectly.
We suggest using a current version of Chrome,
FireFox, or Safari.
???displayArticle.abstract???
POU domain genes have been shown to be important in tissue-specific gene regulation during development. We have cloned cDNA's encoding two unique Xenopus laevis POU-domain proteins, XLPOU 1 and XLPOU 2. Sequencing revealed that the POU domain of both of these genes have greater than 90% homology with that of the POU III class of proteins. XLPOU 1 gene expression begins at the neural plate stage, while XLPOU 2 gene expression is first detected at the neurula stage; both XLPOU 1 and XLPOU 2 transcripts continue to be expressed throughout development. In adults, XLPOU 1 expression is restricted to the skin and brain, while XLPOU 2 is observed in the kidney and brain. In dissected embryos, both XLPOU 1 and XLPOU 2 are expressed in the dorsoanterior portion of an early tailbud embryo. Consistent with this localization, uv treatment, a condition that "posteriorizes" embryos, greatly reduces the expression of XLPOU 1 and XLPOU 2. Whole-mount in situ hybridization demonstrates that at the neural fold stage, XLPOU 1 transcripts appear to be localized primarily in the anterior neural plate. In sections of embryos, in situ hybridization shows that XLPOU 1 transcripts are localized mostly in the anterior region of the nerve cord of neurula stage embryos. In tailbud stage embryos, the XLPOU 1 transcripts are found predominantly in the eye and brain, with weak expression along the length of the nerve cord. We believe that XLPOU 1 and XLPOU 2, because of their localized and early expression in embryos, may play an important role in the specification of neuronal phenotypes.
FIG.1. Nucleotide anddeduced amino acid sequence of XLPOUl.Positionsofthe bases areshowntotherightofthe nucleotidesequence.The
POU-specific domain and homeodomain are underlined. (*) Designates the first stop codon ending the ORF. Accession number to the EMBL
Data Library, X59055 XENOPUS LAEVIS XLPOUl.
FIG. 2. Nucleotide and deduced amino acid sequence of XLPOU 2. As in Fig. 1, the positions of the bases, POU-specific domain, homeodomain,
and end of the ORF are designated. Accession number to the EMBL Data Library, X59056 XENOPUS LAEVIS XLPOU2.
FIG. 3. A comparisoonf the POU domaina minoa cids equence of the XLPOU 1 and XLPOU 2 cDNA to other known POU domain-containing
genes. The deduced amino acid sequences of XLPOU 1 and XLPOU 2 are presented in the first two lines of the figure. Differences between
XLPOU 1 and XLPOU 2 are shown by an *. A comparison to the different classes (I-IV) of POU domain-containing genes are shown [POU I
class, Pit-l/GHF-I (Ingraham et a& 1988; Bodner et a& 1988); POU II class, Ott-1 (Sturm et & 1988; Smith and Old, 1990) and Ott-2 (Clerc et aL,
1988; Muller et &, 1988); POU IV class, Brn-3 (He et a& 1989) and uric-86 (Finney et o& 1988); and a new class, O&3/0&4 (Rosner et aL, 1990,
Scholer et al, 1990)]. Amino acids that are identical to either XLPOU 1 or XLPOU 2 are shaded.
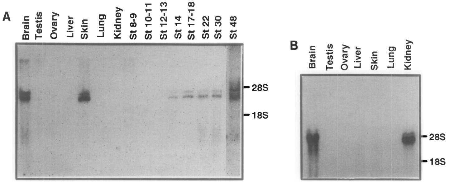
FIG. 4. Expression of XLPOU 1 in adult tissues and embryos (A) and expression of XLPOU 2 in adult tissues (B). Blots containing total RNA (5
pg/lane) from the indicated adult tissues and Xenopus embryos were hybridized to 9 nick-translated, gel-purified inserts of XLPOU 1 or
XLPOU 2. Filters were exposed for 7 days (XLPOU 1) or 14 days (XLPOU 2), at -70°C. All RNA samples were prepared in parallel and were
equally undegraded as judged from the ethidium bromide staining pattern.
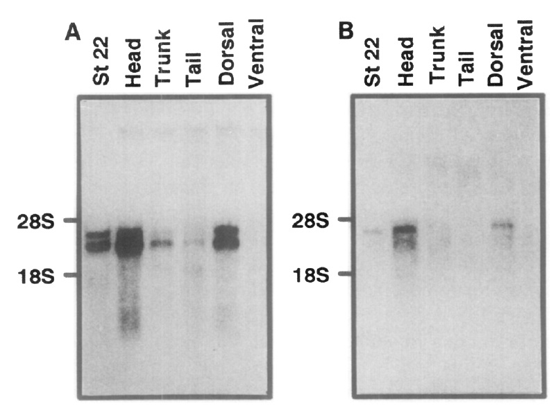
FIG. 5. Localization of XLPOU 1 (A) and XLPOU 2 (B) is dissected
stage 22 Xenopw embryos. Total RNA (5 ag/lane), prepared from intact
stage 22 embryos and embryos dissected into head, trunk, and tail
or dorsal and ventral regions, was analyzed by gel blot analysis as
described in the legend to Fig. 4. RNA samples were prepared in parallel
and were equally undegraded as judged from the ethidium bromide
staining pattern. Autoradiographs were exposed for 7 days (XLPOU
1) or 14 days (XLPOU 2), at -7OâC.
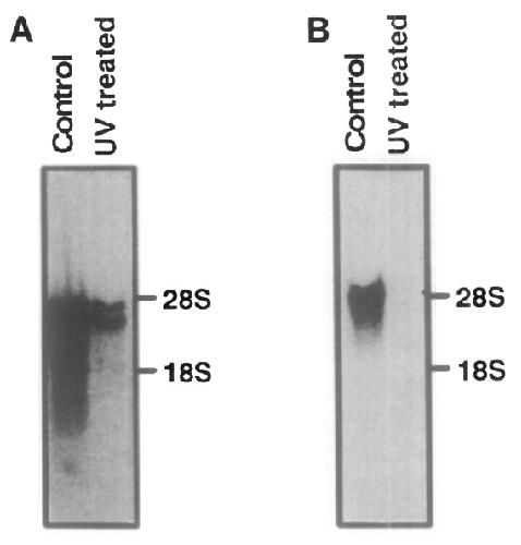
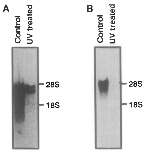
FIG. 6. The effect of uv treatment on the expression of XLPOU 1 (A)
and XLPOU 2 (B). Poly(A)+ mRNA (5 &lane) was prepared from
uv-treated embryos (IAD 5) or sibling control embryos at stages 22-
25. RNA was subjected to gel blot analysis ae described in the legend
to Fig. 4. Autoradiographs were exposed for ‘7 days (XLPOU 1) or 14
days (XLPOU 2), at -7O’C.
FIG. 7. Localization of XLPOU 1 by whole mount in situ hybridization.
Whole, fixed embryos were hybridized to either sense or antisense
digoxigenin-labeled riboprobes of XLPOU 1 OP at stage 15 (control
is below). The dark blue reaction product representing hybridization
can easily be distinguished from the dark brown pigment found in
wild-type embryos. Embryos hybridized to the sense probe (controls)
were lightly stained in comparison to embryos hybridized to the antisense
probe. The anterior (A) and posterior (P) ends of the embryo,
neural plate (np), and neural folds (nf) are indicated.