Click here to close
Hello! We notice that you are using Internet Explorer, which is not supported by Xenbase and may cause the site to display incorrectly.
We suggest using a current version of Chrome,
FireFox, or Safari.
A highly efficient, cell-free translation/translocation system prepared from Xenopus eggs.
Matthews G
,
Colman A
.
???displayArticle.abstract???
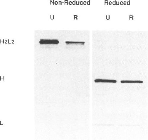
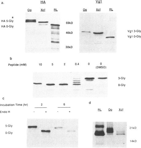
We describe the use of a Xenopus laevis egg extract for the in vitro translation and post translational modification of membrane and secretory proteins. This extract is capable of the translation and segregation into membranes of microgram per millilitre levels of protein from added mRNAs. Signal sequences of segregated proteins are efficiently cleaved and appropriate N-linked glycosylation patterns are produced. The extract also supports the quantitative assembly of murine immunoglobulin heavy and light chains into tetramers, and two events which take place beyond the endoplasmic reticulum, mannose 6 phosphorylation of murine cathepsin D and O-linked glycosylation of coronavirus E1 protein, also occur, but at reduced efficiency. The stability of the membranes allows protease protection studies and quantitative centrifugal fractionation of segregated and unsegregated proteins to be performed. Conditions for the use of stored extract have also been determined.
Almouzni,
Oligonucleotide site-directed mutagenesis in Xenopus egg extracts.
1988,
Pubmed
,
Xenbase
Armstrong,
Expression of coronavirus E1 and rotavirus VP10 membrane proteins from synthetic RNA.
1987,
Pubmed
,
Xenbase
Baranski,
Generation of a lysosomal enzyme targeting signal in the secretory protein pepsinogen.
1990,
Pubmed
,
Xenbase
Bass,
A developmentally regulated activity that unwinds RNA duplexes.
1987,
Pubmed
,
Xenbase
Blobel,
Transfer of proteins across membranes. II. Reconstitution of functional rough microsomes from heterologous components.
1975,
Pubmed
Blow,
Initiation of DNA replication in nuclei and purified DNA by a cell-free extract of Xenopus eggs.
1986,
Pubmed
,
Xenbase
Blow,
A role for the nuclear envelope in controlling DNA replication within the cell cycle.
1988,
Pubmed
,
Xenbase
Ceriotti,
Binding to membrane proteins within the endoplasmic reticulum cannot explain the retention of the glucose-regulated protein GRP78 in Xenopus oocytes.
1988,
Pubmed
,
Xenbase
Ceriotti,
Protein transport from endoplasmic reticulum to the Golgi complex can occur during meiotic metaphase in Xenopus oocytes.
1989,
Pubmed
,
Xenbase
Dale,
Developmental expression of the protein product of Vg1, a localized maternal mRNA in the frog Xenopus laevis.
1989,
Pubmed
,
Xenbase
Deshaies,
A subfamily of stress proteins facilitates translocation of secretory and mitochondrial precursor polypeptides.
1988,
Pubmed
Devchand,
An efficient cell-free translation system from Aspergillus nidulans and in vitro translocation of prepro-alpha-factor across Aspergillus microsomes.
1988,
Pubmed
Dobberstein,
Cell-free synthesis and membrane insertion of mouse H-2Dd histocompatibility antigen and beta 2-microglobulin.
1979,
Pubmed
Faust,
Expression of human cathepsin D in Xenopus oocytes: phosphorylation and intracellular targeting.
1987,
Pubmed
,
Xenbase
Hansen,
In vitro protein translocation across the yeast endoplasmic reticulum: ATP-dependent posttranslational translocation of the prepro-alpha-factor.
1986,
Pubmed
Hardy,
DNA ligase I from Xenopus laevis eggs.
1991,
Pubmed
,
Xenbase
Hutchison,
The control of DNA replication in a cell-free extract that recapitulates a basic cell cycle in vitro.
1988,
Pubmed
,
Xenbase
Kornfeld,
Assembly of asparagine-linked oligosaccharides.
1985,
Pubmed
Kornfeld,
The biogenesis of lysosomes.
1989,
Pubmed
Laskey,
Assembly of SV40 chromatin in a cell-free system from Xenopus eggs.
1977,
Pubmed
,
Xenbase
Lau,
Substrate recognition by oligosaccharyl transferase. Inhibition of co-translational glycosylation by acceptor peptides.
1983,
Pubmed
Leaf,
The secretory pathway is blocked between the trans-Golgi and the plasma membrane during meiotic maturation in Xenopus oocytes.
1990,
Pubmed
,
Xenbase
Legerski,
Repair of UV-induced lesions in Xenopus laevis oocytes.
1987,
Pubmed
,
Xenbase
Lohka,
Formation in vitro of sperm pronuclei and mitotic chromosomes induced by amphibian ooplasmic components.
1983,
Pubmed
,
Xenbase
Lohka,
Induction of nuclear envelope breakdown, chromosome condensation, and spindle formation in cell-free extracts.
1985,
Pubmed
,
Xenbase
Meyer,
Signal recognition particle (SRP) does not mediate a translational arrest of nascent secretory proteins in mammalian cell-free systems.
1985,
Pubmed
Murray,
Cyclin synthesis drives the early embryonic cell cycle.
1989,
Pubmed
,
Xenbase
Patrick,
Preparation and characterization of cell-free protein synthesis systems from oocytes and eggs of Xenopus laevis.
1989,
Pubmed
,
Xenbase
Prehn,
Protein translocation across wheat germ microsomal membranes requires an SRP-like component.
1987,
Pubmed
Rose,
Regulation of protein export from the endoplasmic reticulum.
1988,
Pubmed
Rothblatt,
Secretion in yeast: reconstitution of the translocation and glycosylation of alpha-factor and invertase in a homologous cell-free system.
1986,
Pubmed
Ryabova,
Preparative synthesis of globin in a continuous cell-free translation system from rabbit reticulocytes.
1989,
Pubmed
Shields,
Efficient cleavage and segregation of nascent presecretory proteins in a reticulocyte lysate supplemented with microsomal membranes.
1978,
Pubmed
Shuttleworth,
p40MO15, a cdc2-related protein kinase involved in negative regulation of meiotic maturation of Xenopus oocytes.
1990,
Pubmed
,
Xenbase
Taylor,
Quantitative changes in protein synthesis during oogenesis in Xenopus laevis.
1985,
Pubmed
,
Xenbase
Tooze,
Site of addition of N-acetyl-galactosamine to the E1 glycoprotein of mouse hepatitis virus-A59.
1988,
Pubmed
Valle,
Anti-ovalbumin monoclonal antibodies interact with their antigen in internal membranes of Xenopus oocytes.
1982,
Pubmed
,
Xenbase
Valle,
Synthesis and secretion of mouse immunoglobulin chains from Xenopus oocytes.
1981,
Pubmed
,
Xenbase
Varki,
The spectrum of anionic oligosaccharides released by endo-beta-N-acetylglucosaminidase H from glycoproteins. Structural studies and interactions with the phosphomannosyl receptor.
1983,
Pubmed
Walter,
Translocation of proteins across the endoplasmic reticulum. I. Signal recognition protein (SRP) binds to in-vitro-assembled polysomes synthesizing secretory protein.
1981,
Pubmed
Walter,
Mechanism of protein translocation across the endoplasmic reticulum membrane.
1986,
Pubmed
Walter,
Preparation of microsomal membranes for cotranslational protein translocation.
1983,
Pubmed
Walter,
Purification of a membrane-associated protein complex required for protein translocation across the endoplasmic reticulum.
1980,
Pubmed
Wasserman,
Protein synthesis during maturation promoting factor- and progesterone-induced maturation in Xenopus oocytes.
1982,
Pubmed
,
Xenbase
Wolin,
Signal recognition particle mediates a transient elongation arrest of preprolactin in reticulocyte lysate.
1989,
Pubmed