XB-ART-23791
Dev Biol
1992 May 01;1511:145-53. doi: 10.1016/0012-1606(92)90222-3.
Show Gene links
Show Anatomy links
Spatial, temporal, and hormonal regulation of epidermal keratin expression during development of the frog, Xenopus laevis.
???displayArticle.abstract???
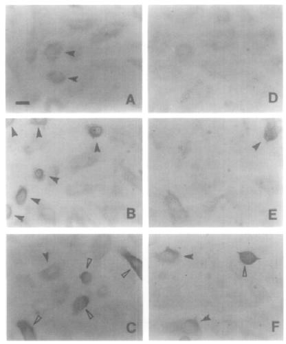
To study the mechanism of hormone-induced keratin expression in the epidermis during Xenopus metamorphosis, a monospecific antibody was raised against a unique carboxy-terminal peptide of the 63-kDa keratin. Immunohistological analysis demonstrated that the onset of 63-kDa keratin expression showed distinct regional and temporal differences. The expression started at stage 54 in the hindlimb epidermis, at stage 57 in the head, and over 1 month later at stage 63 in the tail. The amount of 63-kDa keratin was further regulated during epidermal stratification and differentiation. The 63-kDa keratin was expressed first in basal epidermal cells before stratification began. The outer layer of the larval epidermis (periderm) did not express the 63-kDa keratin. As the cells moved out of basal layer, they stained more intensely with the anti-keratin antibody indicating that 63-kDa keratin synthesis is up-regulated during differentiation. Similar results were obtained with cultures of purified epidermal cells grown in high calcium conditions. Since we have shown that thyroid hormone (T3) induces 63-kDa keratin gene expression and hydrocortisone (HC) modulates T3 action we examined the effects of T3 and HC at the single cell level with the anti-keratin antibody. Immunostaining demonstrated that T3 alone and T3 plus HC increased the number of 63-kDa keratin-positive cells as well as the amount of 63-kDa keratin per cell. Unexpectedly these hormones had the same effects on head and tail epidermal cells even though the latter cells degenerate during metamorphosis. The major difference between tail and head cells was that the percentage 63-kDa keratin-producing cells was much greater in the head than in the tail.
???displayArticle.pubmedLink??? 1374352
???displayArticle.link??? Dev Biol
???displayArticle.grants???
Species referenced: Xenopus laevis
Genes referenced: krt12.4 krt78.6 krt78.8 nrn1 slc4a3
???displayArticle.antibodies??? 63-kDa keratin Ab1
???attribute.lit??? ???displayArticles.show???
