XB-ART-23668
Dev Biol
1992 Jun 01;1512:506-15. doi: 10.1016/0012-1606(92)90189-n.
Show Gene links
Show Anatomy links
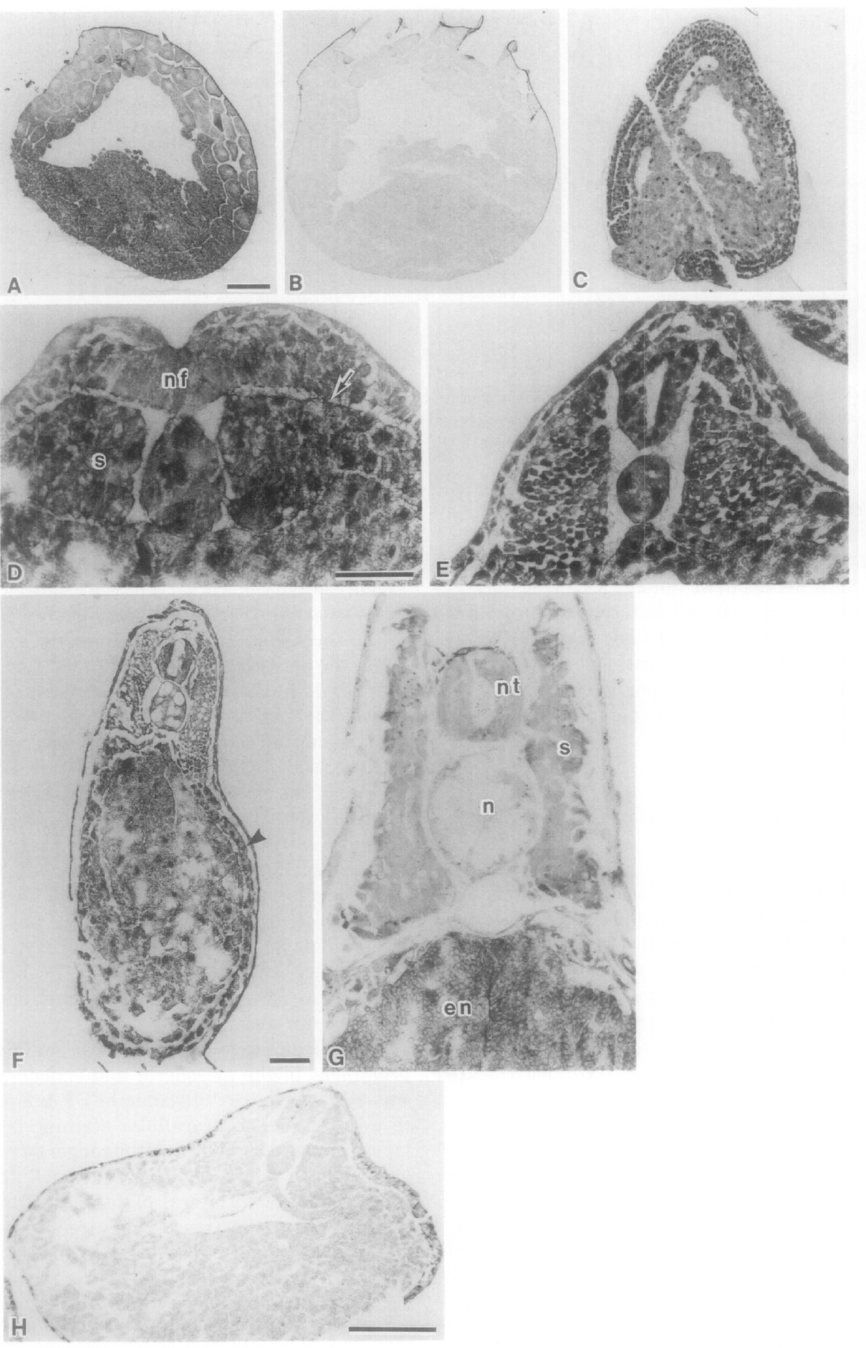
Xenopus blastulae show regional differences in competence for mesoderm induction: correlation with endogenous basic fibroblast growth factor levels.
???displayArticle.abstract???
Single cells from the animal cap and marginal zone (MZ) of mid-blastula stage embryos can undergo mesodermal or ectodermal differentiation as small clones under defined conditions in culture. Here we report that cells treated with Xenopus basic fibroblast growth factor (XbFGF), a mesoderm-inducing factor, usually differentiated into muscle. MZ cells, which normally give rise to most of the mesoderm, responded to lower concentrations of XbFGF than animal pole (AP) presumptive ectoderm cells. This difference in sensitivity correlated with immunocytochemical staining patterns that showed much greater levels of endogenous bFGF within MZ than AP cells in early embryos. At the mid-late blastula stage, nuclei of MZ cells were strongly immunoreactive. Nuclear staining persisted during gastrula and neurula stages, and extracellular bFGF also became apparent. Subsequently in somites, immunoreactivity of nuclei declined while that of the extracellular matrix was retained during tailbud stages. Nuclear localization of bFGF appeared to be temporally correlated with new transcription of muscle-specific genes, and extracellular bFGF was present during morphological differentiation. The results suggest that a cell's competence for mesoderm induction is related to its position in the embryo.
???displayArticle.pubmedLink??? 1601182
???displayArticle.link??? Dev Biol
Species referenced: Xenopus
Genes referenced: diras1 fgf2 fn1 kcnt1
???displayArticle.antibodies??? FGF2 Ab1 Fgf2 Ab2 Somite Ab1
???attribute.lit??? ???displayArticles.show???
