|
Fig. 1. Sequences and transfection. A: Nucleotide sequences of the
5' non-coding region of clones 8 and 9. Base homologies are shown by
dotted lines. The two arrows delimit the length of the shorter probe (130
pb) used in the second set of Southern blotting experiments. B: Two
Southern analysis are performed using genomic DNA and two probes
from clone 8 and from clone 9. I: The full-length 5' non-coding region
probe (400 pb) was used: genomic DNA (15 pg/lane) was digested with
EcoRl (a), Pstl (b), and Pvull (c); II: the 130 pb probe was used; genomic
DNA (15 pgllane) was digested with Hindll (d), Hindlll (e), Bam HI (f), and
Apal (9). C: Transfection of Xenopus N-cadherin in mouse L cells. a:
Non-transfected cells (NT) with fibroblastic morphology; b transfected
cells (T) showing epithelioid phenotype, D: Western blot analysis of Ncadherin
in tranfected L cells (T) and in control cells (NT) using an antibody
agalnst the carboxyterminal region of cadherins. A 11 0 kD band
was detected only in transfected cells.
|
|
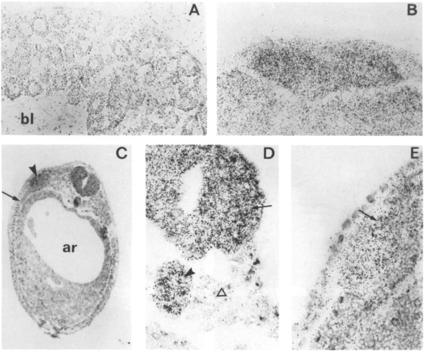
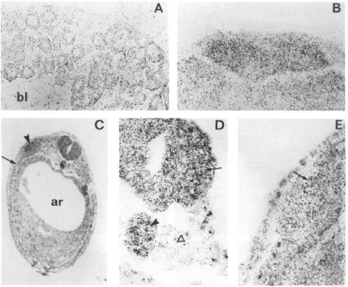
Fig. 2. Distribution of N-cadherin transcripts in early stages of developrnent.
A: Early gastrula (10 NF). 8: Caudal transverse section of a
stage 20 NF neurula. C: Transverse section through the anterior trunk
region of a late neurula (20-22 NF). The arrowhead points to the pronephric
condensation, the arrow to the lateral plate mesoderm. D,E: Details
from C. In D, the CNS (arrow) and the notochord (arrowhead) are
strongly positive, while the surroundings somites (triangle) are weakly
stained. In E, the pronephric anlagen (arrow) expresses N-cadherin transcripts.
The overlaying ectoderm and the endoderm are negative. ar,
archenteron; bl, blastocoele. A: 250 x : B,D,E: 300 x ; C: 65 x .
|
|
Fig. 3. N-cadherin expression in the CNS, placodes, and mesodermal
derivatives. A: Oblique section through the rhombencephalic region of
the head in Xenopus tailbud stage (26-27 NF). The rhombencephalon
(see also Fig. 5), the optic vesicle (see C), the lens placode (see C), the
otic vesicle (arrowhead), the notochord, and the hyoid segment (arrow)
show strong hybridization with the N-cadherin probe. 5: Transverse section
through the trunk of the same embryo. Note the intense N-cadherin
expression in the spinal chord (arrow) and in the notochord (arrowhead)
compared to the weak staining of the surrounding somites and epidermis.
C: Detail of A. The eye cup with invaginated retinal layer is homogeneously
labeled and the lens rudiment (arrow) is still part of the sensorial
layer of the ectoderm. Epidermis and neural crest cells (arrowhead) are
negative. D: Transverse section through the retina of a stage 42 NF
Xenopus tadpole. The three layers of neurona! cell bodies express Ncadherin
transcripts; very few grains are visible in the inner and outer
plexiform layers and in the outer segment of the photoreceptors. At the
periphery, where layers have not yet formed, expression of N-cadherin
RNAs is higher (arrow). Note the surrounding black pigmented retinal
epithelium (PE). E: Transverse section of the retina of a Xenopus late
tadpole (50 NF). Layers of cell bodies hybridize with N-cadherin probe. F:
The olfactory placode of a stage 42 Xenopus tadpole expresses high
levels of N-cadherin RNAs (arrowhead). In the connecting double-layered
epidermis, very few grains are present only in the sensorial layer
(arrows). G: Parasagittal section of a Xenopus tailbud (31/32 NF) showing
a weak labeling in the myotomes. Elongated mononucleated myoblasts
(arrow) lie parallel to the axis. H: Xenopus late tailbud (42 NF)
showing numerous grains in myoblasts and myotube forming cells
(arrow) and virtually no reaction in the epidermis (arrowhead). GCL: ganglion
cell layer; IPL: inner plexiform layer; INL: inner nuclear layer; OPL:
outer plexiform layer; ONL: outer nuclear layer; 0s: outer segment of the
photoreceptors; PE: pigment retinal epithelium. A,B,C: dark field optic;
D,E,F,G,H: bright field optic. A: 65 x ; B-D: 300 x ~ E: 260 x ; F-H: 600 x .
|
|
Fig. 4. Transverse section through the rhombencephalic region of a
Xenopus tailbud (26-27 NF). A: The rhombencephalon, the two otic
vesicles, the notochord, and the large placode associated with the ear
vesicle are positive with N-cadherin probe. 6: Detail of A. Both the otic
vesicle and the CNS express high levels of transcrlpts. In the ventromedial
region of the otic vesicle (arrowhead) (presumptive sensorial epithe-
!ium) and in nerve fiber roots (arrow) the expression of N-cadherin is
particularly strong. C: The large IX placode shows high levels of N-cadherin.
A: 65 x ; B,C: 300 x .
|
|
Fig. 5. Distribution of N-cadherin transcripts in the CNS of Xenopus
from tailbud to tadpole. A: Transverse section showing a very strong
hybridization in the roof of the rhombencephalon at tailbud stage 26-27
NF. Compare with the negative overlying ectoderm. 8: Control experiment
using sense riboprobe. C: High hybridization is observed in the
neural tube and in the notochord of 29-30 NF tailbud. At this stage, the
nuclei of the cells have migrated towards the periphery of the notochord
where clusters of grains are visible (arrowheads). The somites are
stained only very weakly. D: strong reaction in the spinal chord of a stage
42 tadpole. The white matter is faintly labeled (arrow). The large and
vacuolated notochord is only stained in limited areas. E: Rhombencephalon,
stage 42 NF. The white matter (arrow) is faintly stained while a
dense accumulation of grains is seen in the roof of the hindbrain (arrowhead).
F: Rhombencephalon, late tadpole (50 NF). A weak expression of
cadherin is observed in the gray matter of the brain. The white matter is
totally devoid of grains (arrows). G: Olfactory organ, stage 42 NF. High
levels of N-cadherin transcripts are seen with a non-uniformed distribution.
H: Olfactory organ, stage 50 NF. The gray matter IS still very rich in
N-cadherin RNAs. Bright field photomicrographs, 300 x .
|
|
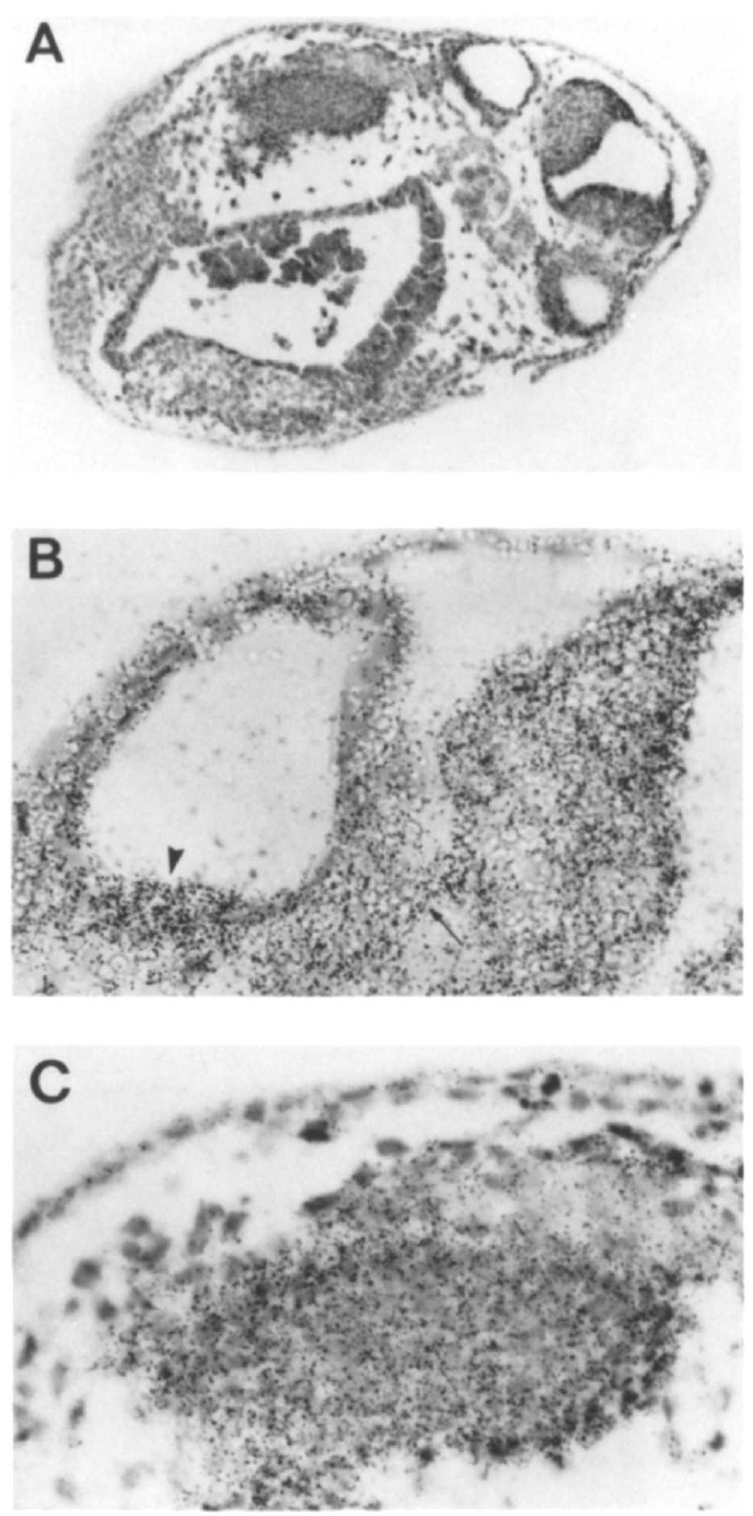
Fig. 6. N-cadherin transcripts in the heart. A: Transverse section of a
tailbud (29-30 NF) in which the endocardial tube (arrow) is clearly
stained. B: The endocardial tube expresses high levels of N-cadherin
transcripts. Note that the rnesocardium (arrow) is also expressing Ncadherin
RNAs but to a lesser extent. C: Tailbud (38 NF). Characteristic
S shape of the heart anlage. D,E: Tadpole (46-47 NF). The atrium and
the ventricle contain numerous red blood cells that do not express Ncadherin
transcripts (arrows) while cardiac muscle is strongly positive.
Star: pericardial cavity. Dark field photomicrographs. A,D: 65 x ; B,C,E,
300 x ,
|
|
Fig. 7. Other N-cadherin-positive mesodermal derivatives (Stage 26-
27 NF). A: Pronephric anlage located between negative ectodermal and
endodermal cells. B: Hyoid arch (arrow) and first branchial arch (arrowhead).
Bright field optic, 300 x .
|
|
Fig. 8. Brain and heart of Xenopus tailbud (31-32 NF) stained with probes to two N-cadherin genes. The
brain (A,C) and the heart (B,D) express high levels of both N-cadherin transcripts revealed with riboprobes
clone 8 (A,B) and clone 9 (C,D). Dark field optic, 300x.
|