Click here to close
Hello! We notice that you are using Internet Explorer, which is not supported by Xenbase and may cause the site to display incorrectly.
We suggest using a current version of Chrome,
FireFox, or Safari.
???displayArticle.abstract???
In Xenopus embryos, the extracellular matrix (ECM) protein tenascin (TN) is expressed dorsally in a very restricted pattern. We have studied the spatial and temporal expression of TN mRNA in tailbud-stage embryos by RNAase protection and in situ hybridization using a cDNA probe for Xenopus TN obtained by PCR amplification. We report that TN transcripts are principally expressed in cells dispersed around the neural tube and notochord as well as in myotome and sclerotome cells. No TN mRNA could be detected in lateral plate mesoderm, but expression was detectable beneath tail finepidermis. In a second series of experiments, we studied the expression of TN mRNA and protein in combinations between animal and vegetal stage-6 blastomeres and in stage-8 blastula animal caps treated with activin A or basic fibroblastic growth factor (b-FGF). Isolated animal captissue cultured alone differentiates into epidermis, which expresses neither TN protein nor TN mRNA. TN expression is, however, elicited in response to isolated dorsal vegetal blastomeres and in response to high concentrations of activin, both of which treatments lead to formation of muscle and/or notochord. Low concentrations of activin, and ventral vegetal blastomeres, treatments that induce mesoderm of ventral character, are poor inducers of TN. However, b-FGF, which also induces ventral mesoderm, elicits strong expression. These results indicate that TN regionalization is a complex process, dependent both on the pattern of differentiation of mesodermal tissues and on the agent with which they are induced. The data further show that "ventral mesoderm" induced by low concentrations of activin is distinct from that induced by b-FGF, and imply that activin induces ventral mesoderm of the trunk while b-FGF induces posteriormesoderm of the tailbud.
Fig. 1. Sequence comparison between
XTn-230 (X) and chick TN (C). (A)
Nucleotide sequence. Identical nucleotides
are underlined. Sequences corresponding
to the primers used for PCR amplification
are indicated in lower case. XTn-230
nucleotide sequence has 86% homology
with chick-TN cDNA sequence. (B)
Deduced amino acid sequence. Identical
amino acids are underlined. Amino acid
identity is 93%.
Fig. 2. Appearance of TN mRNA during embryogenesis. RNAase
protection analysis. For each embryonic stage, total RNA from 20
embryos is hybridized with the antisense RNA probes XTn-230
and EF-1a. A high background is present because low
concentrations of RNAase were used to obtain maximal detection
of TN transcripts. Hybridization with XTn-230 generates a 230
base protected fragment which is not present on control with
tRNA alone. EF-1a mRNA protects 94 bases of the antisense
probe. Lane1: negative control with tRNA alone. Lanes 2-9:
embryo RNA. Lane 2: mid-blastula stage (stage 8). Lane 3: late
gastrula stage (stage 12). Lanes 4-7: neurula stages 14 (lane 4), 15
(lane 5), 17 (lane 6) and 19 (lane 7). Lanes 8, 9: middle (stage 25)
and late (stage 28) tailbud stages. Lane 10: positive control
including total RNA from XTC cells (this sample was only
hybridized with XTn-230). TN transcripts begin to be present at
the early neurula stage-14 at a low level. They are strongly
revealed at tailbud stages. Detection of EF-1a mRNA shows that
comparable quantities of mRNA were included in each
experiment.
Fig. 3. Expression of TN transcripts in tailbud stage-29/30 embryos. Transverse sections. (A, B, D, E, F) Hybridizations with the
antisense probe. (C) Control hybridization with the sense probe. (A, B, C) Anterior truncal level; (A) heartprimordium region; (B, C)
level posterior to A. TN transcripts are principally detected in the somitic mesoderm. Transcription of TN mRNA also occurs at a lower
level in the pericardial mesoderm (arrowheads). No hybridization is observed in the sense control. (D, E, F) Posterior levels : high levels
of TN mRNA are expressed in somites and in cells dispersed around neural tube and notochord (arrowheads). TN transcripts are also
detected in the basal layer of the tailfin epidermis (arrows) and in cells close to the postanal gut (large arrowhead). No hybridization can
be seen in lateral plate mesoderm. Scale bar = 250 mm.
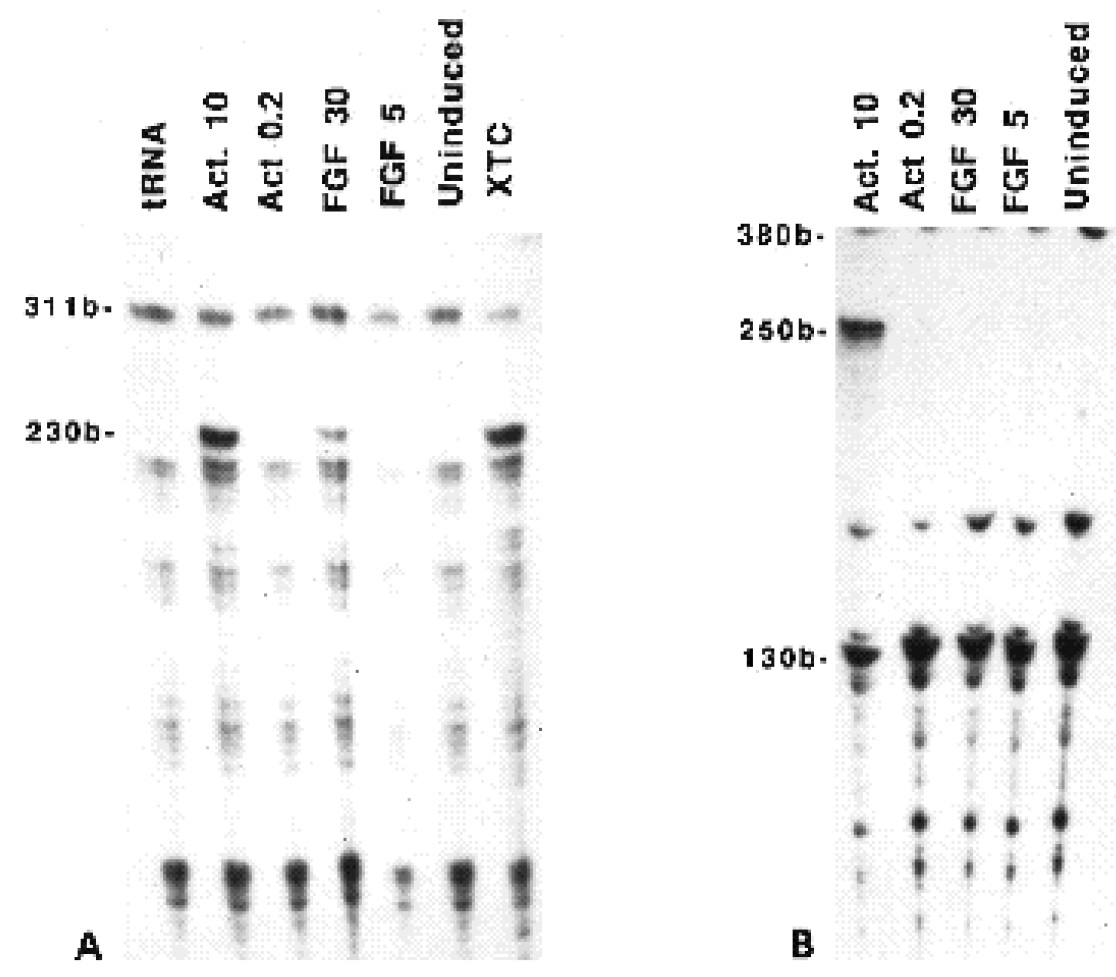
Fig. 4. Expression of TN transcripts
in response to mesodermal
induction by purified growth
factors. RNAase protection
analysis. In each case, total RNA
from 30 animal cap explants was
extracted. Five sixths were
hybridized with XTn-230 antisense
RNA probe and one sixth with the
cardiac actin antisense probe.
Cardiac actin mRNA protects a 250
base fragment of the probe while
cytoskeletal actin mRNA generates
a 130 base band. The former shows
the induction of muscle in explants.
(A) Expression of TN transcripts;
(B) expression of actin transcripts.
Lanes 1, 2: inductions with activin
A at 10 ng/ml (lane 1) or 0.2 ng/ml
(lane 2). Lanes 3, 4: inductions
with b-FGF at 30 ng/ml (lane 3) or
5 ng/ml (lane 4). Lane 5: control
uninduced animal caps. Although
the activation of the TN gene in
response to activin A is observed in
parallel to the induction of muscle,
TN transcripts are revealed in
explants induced by b-FGF where
cardiac actin mRNA is not
detected. The intensity of the 130
base bands specific for cytoskeletal
actin indicate that comparable
quantities of mRNA were present
for each experiment.
Fig. 5. Expression of TN in animal captissueECM after induction of dorsal mesoderm. (A) Combination of tier A blastomeres with the
dorsovegetal blastomere D1. Double immunostaining with anti-TN IgGs and 12/101. TN (green staining) and muscle (red staining)
patterns are superimposed. TN is revealed in ECM fibrils deposited in the vicinity of muscle cells reactive to 12/101. Reactivity to anti-
TN IgGs is also observed in the ECM (arrowhead) lining a vacuolated tissue which is probably notochord. (B) Control with tier A
blastomeres cultured alone. No reactivity for the anti-TN IgGs is observed. (C-F) Induction with activin A at 10 ng/ml. (C,D) Double
immunostaining with anti-TN IgGs (C) and MZ15 (D). TN is strongly revealed in the ECM of the explant. The detection of notochordtissue by MZ15 shows the induction of dorsal mesoderm. (E, F) Double immunostaining with anti-TN IgGs (E) and 12/101 (F). TN is
present in the ECM deposited at the periphery and in the septa of a muscle block revealed by 12/101. Mus, muscle; Nt, notochord. Scale
bar = 50 mm.
Fig. 6. Expression of TN in the ECM of explants where mesoderm of ventral character was induced. Double immunostainings with anti-
TN IgGs and 12/101. (A, C, E) Phase contrast pictures of the explants. Boxes indicate the areas shown in B, D, F respectively. (B, D, F)
Reactivity to anti-TN IgGs. 12/101 was negative in all cases (not shown). (A, B) Stage-6 blastomere combination A/D4. (C, D): Blastula
stage-8 animal cap explant treated with activin A at 0.2 ng/ml. (E, F) Stage-8 animal cap treated with b-FGF at 5 ng/ml. TN is strongly
revealed in the subepidermal ECM of the explant treated with b-FGF (arrowhead) but is absent in the two other explants. Epi, doublelayered
epidermis. Scale bars (A, C , E) = 100 mm, (B, D, F) = 100 mm.