|
Fig. 1. Comparison of Xenopus
and bovine IRBPs by western
blot analysis. Interphotoreceptor
matrix from Xenopus retina (lane
1) and bovine retina (lane 2)
were subjected to SDS-PAGE
and transferred to nitrocellulose
paper. Immunological
visualization of IRBP was
carried out by incubating the
transfer with rabbit anti-bovine
IRBP immunoglobulins followed
by peroxidase-conjugated goat
anti-rabbit IgG. Transfers that
had been treated with
preimmune serum displayed no
reaction (data not shown).
|
|
Fig. 2. Sequence analysis of Xenopus IRBP clone XenIRBP.B1.
The clone was isolated by low-stringency screening of a lZapII
stage 42 (swimming tadpole) cDNA library using a human IRBP
cDNA. Top: map of the clone (Bluescript KS-). Arrows
summarize the sequencing strategy. Filled bar corresponds to the
coding region and the open bar to the 3¢-untranslated UTR region.
Bottom: nucleotide sequence of the Xenopus IRBP cDNA and
deduced amino acid sequence. The nucleotide sequence of the
cDNA is 1.2 kb in size. A signal polyadenylation site (bold and
underlined) is located 25 bases upstream from the poly(A) tail.
Restriction endonucleases: E, EcoRI; B, BglII, P, PvuII. This
sequence is available under accession number X69469 XLIRBPA
in the European Molecular Biology Laboratory Nucleotide
Sequence Database.
|
|
Fig. 3. Alignment of the XenIRBP.B1 sequence
with the four repeats of human IRBP. In lines
showing human repeat sequences upper case
shows aligned non-identical amino acids, lower
case unaligned amino acids; (-) represents aligned
identical amino acids; (.) are gaps. Boxed regions
represent amino acids that are identical or
conservative substitutions in the Xenopus
sequence and all four domains of human IRBP.
Conservative substitutions are: I=L=V=M; K=R;
D=E (Dayhoff et al., 1983). Regions with the
invariant sequences OGYOROD, OGDOR and
OOGE, where O represents a hydrophobic
residue, are indicated (see text). Proline-rich
regions are underlined.
|
|
Fig. 4. Characterization of the mRNA for IRBP from adult
Xenopus neural retina. Ethidium bromide-stained agarose gel
showing molecular mass standards (lane S) and total RNA (14 μg)
isolated from adult male Xenopus neural retina. 20 μg of RNA,
run on the same gel but not stained was transferred directly to
Nytran paper. These identical blots were probed with either the
Xenopus IRBP cDNA (lanes B and C) or bovine opsin cDNA
(lanes D and E). The autoradiograms were exposed at -80°C with
an intensifying screen for approximately 4 h (lanes B and C) or
overnight (lanes C and E). The longer exposure brought out a lessabundant
6.0 kb IRBP mRNA transcript but failed to identify
additional rod opsin mRNAs. Arrowheads: 6.0 kb, 4.2 kb, 2.0 kb.
|
|
Fig. 5. Tissue distribution of the mRNA for IRBP. Northern blot
of Xenopus laevis neural retina (8 μg), brain (4.6 μg) and liver (8
μg) total RNA in lanes A, B and C, respectively. The blot was
probed with the 32P-labeled Xenopus IRBP cDNA under highstringency
conditions. The autoradiograms in the left and right
panels were exposed for 2.75 h and 85 h, respectively, at -80°C
with an intensifying screen. Arrowheads correspond to the major
mRNA IRBP band at 4.2 kb and minor band at 6.0 kb, which is
difficult to discern in the photograph. In the longer exposure of
the brain RNA (right panel, lane B), the mRNA for IRBP was
detected.
|
|
Fig. 6. Secretion of IRBP by the Xenopus neural retina but not
RPE/choroid. Adult Xenopus isolated neural retina and
RPE/choroid were incubated in the presence of [3H]fucose and the
membrane and cytosolic fractions, and incubation medium was
analyzed by SDS-PAGE and fluorography. Left: Coomassie bluestained
acrylamide gel. Right: Fluorogram of the same gel. Lanes:
s, molecular mass standards; 1, retina membranes; 2, retina
cytosol; 3, retina incubation medium; 4, RPE/choroid incubation
medium; 5, RPE/choroid cytosol; 6, RPE/choroid membranes.
Arrowhead is Mr 124´10-3.
|
|
Fig. 7. In vivo synthesis of fucosylated interphotoreceptor matrix
proteins. Interphotoreceptor matrix was isolated 24 h after
intraperitoneal injection of [3H]fucose. The matrix preparation
was subjected to SDS-PAGE and fluorography. The acrylamide
gel stained with Coomassie blue is shown in A (left lane,
molecular mass standards; right lane, crude matrix preparation)
and the fluorogram in B. Arrow corresponds to 124´10-3 Mr.
|
|
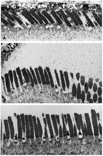
Fig. 8. Light microscopic autoradiographic analysis of in vivo incorporation of [3H]fucose by the Xenopus retina. (A) Intact retina
demonstrating grains within the neural retina, pigment epithelium and surrounding outer segments. (B) The neural retina was gently
teased from the pigment epithelium immediately before fixation. (C) After PBS wash grains surrounding outer segments have
disappeared.
|
|
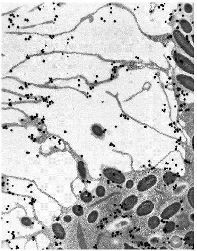
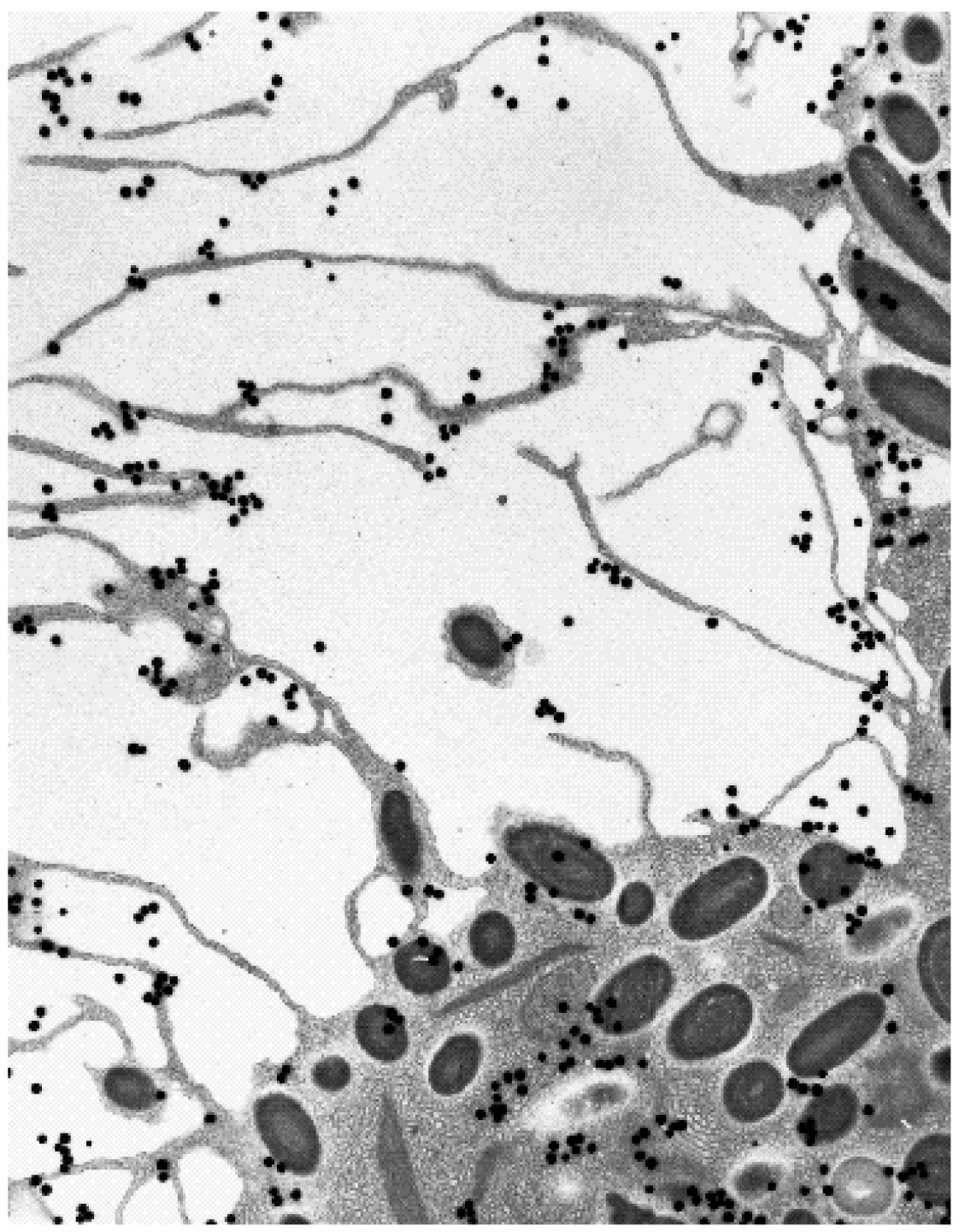
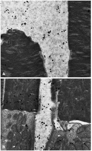
Fig. 9. Electron microscopic
autoradiographic analysis of in vivo
incorporation of [3H]fucose at the
level of the external limiting
membrane. Here radioactivity is
associated with the apical
termination of the villous processes,
cytoplasm of the Muller cells, and
inner segments.
|
|
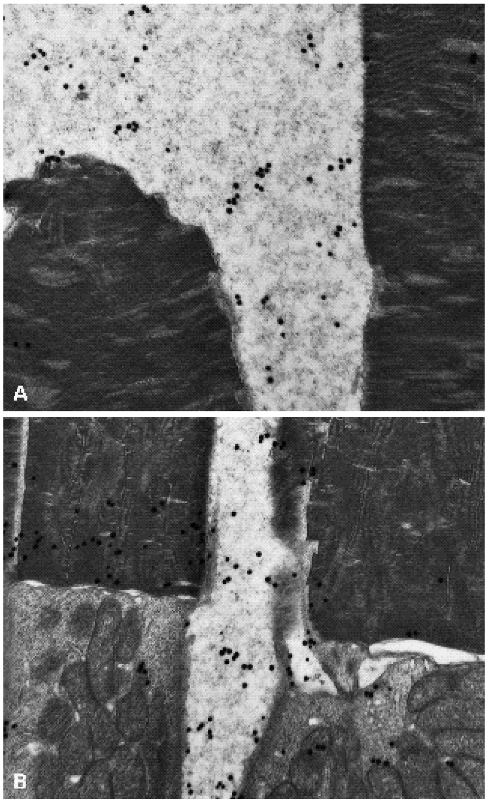
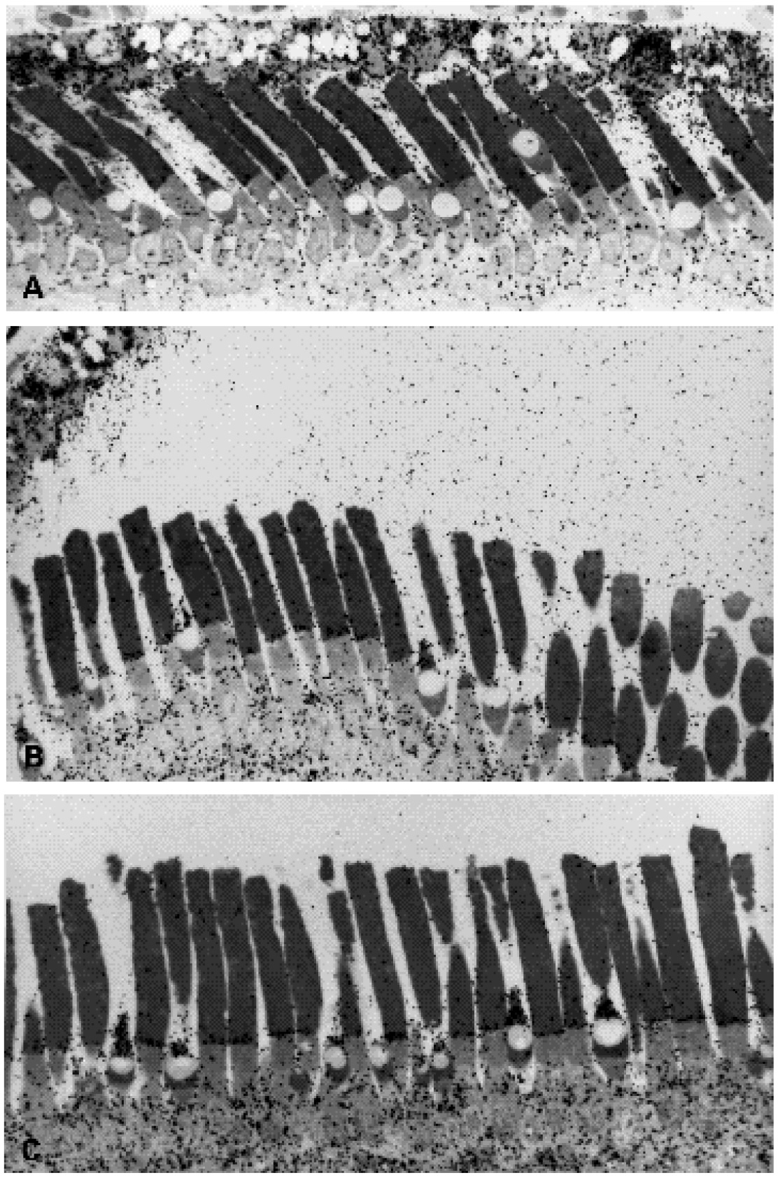
Fig. 10. Electron microscopic
autoradiographic analysis of in vivo
incorporation of [3H]fucose. (A) The
interphotoreceptor matrix is extensively
labelled. (B) Demonstration of grains within
the interphotoreceptor matrix and base of a
minor rod outer segment.
|
|
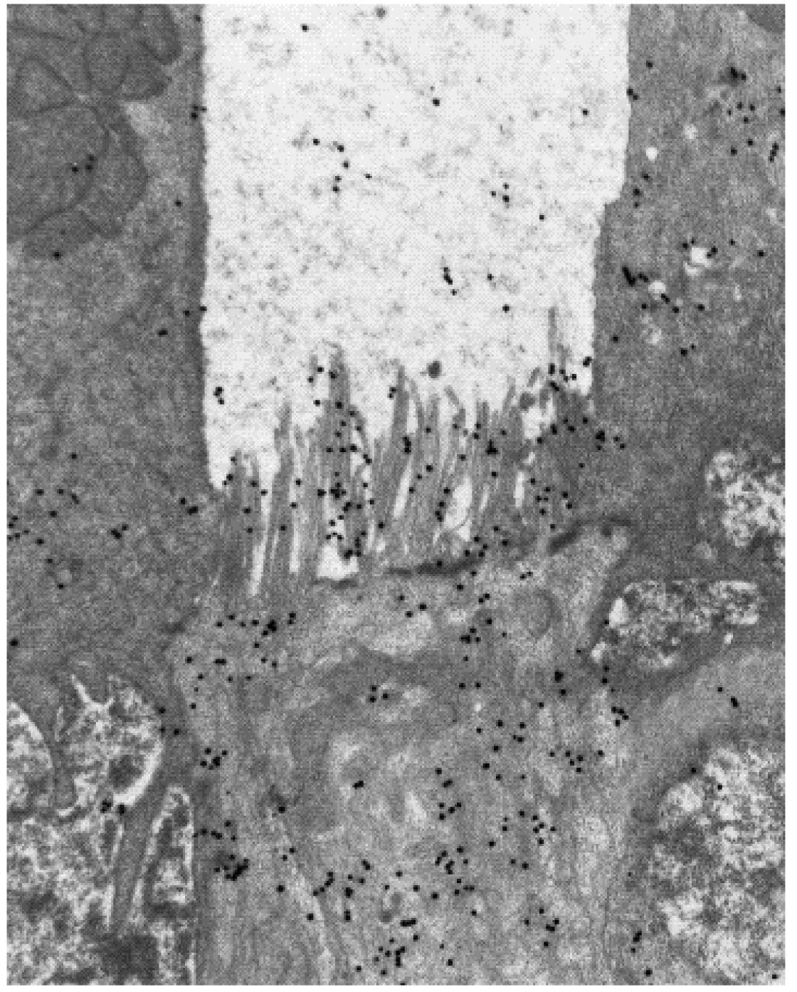
Fig. 11. Electron microscopic
autoradiographic analysis of in
vivo incorporation of [3H]fucose
in the pigment epithelium.
Following thorough washing of
the eye-cup, significant
radioactivity remained associated
with the pigment epithelium and
its apical processes.
|
|
Fig. 12. Northern blot analysis of the expression of IRBP and
opsin during development. (A) Lanes A and B received 14 μg
each of total RNA extracted from stage 43 heads and bodies
respectively. Left panel: ethidium bromide-stained gel showing
molecular mass standards and ribosomal RNA before blotting.
Center panel: autoradiogram of blot probed with Xenopus IRBP
cDNA. Right panel: same blot stripped and reprobed with bovine
opsin cDNA. Lane S corresponds to the molecular mass standards.
(B) Each lane received 23 μg of total RNA extracted from whole
embryos. The developmental stage of the embryo is indicated
above the lane. Top panel: the blot was probed with antisense
Xenopus IRBP probe and exposed for 24 h. Bottom panel:the blot
was then stripped and reprobed with a Xenopus opsin (Saha and
Grainger, 1993) antisense probe and exposed for 6 h.
|