|
Figure 1. The Presence of the IP,R-like Molecule in Xenopus Oocytes
Crude membrane proteins prepared from mouse cerebellum (lanes 1
and 3, 2 ug) and Xenopus oocytes (lane 2, 20 ug; lane 4, 100 ug)
were subjected to 5% SDS-PAGE and were detected on immunoblot
analysis with monoclonal antibodies 4Cll (lanes 1 and 2) and lOA
(lanes 3 and 4) against mouse lPJR (Maeda et al., 1969,199O). In each
lane corresponding to Xenopus oocytes, bands of a slightly smaller
molecular size than the mouse IP,R are detected with monoclonal
antibodies 4Cll and 1 OA6. An unidentified band of low molecular size
is detected with lOA6. The apparent molecular size (260 kd) of the
mouse lPIR on SDS-PAGE is shown at the left, and the closed triangle
indicates the position of a protein immunoreacted with anti-mouse lPJR
monoclonal antibodies in Xenopus oocytes. The numbers of the lanes
are indicated at the bottom of the blots. Abbreviations: m, mouse cerebellum;
x, Xenopus oocytes.
|
|
Figure 2. Restriction Map of XIP,R cDNA and
Hydrophilicity Plot of the Encoded Protein
(A) Restriction map, functional domains, and
schematic representation of XIP3R cDNA clones
chosen for sequencing. The open box represents
the protein coding region, and the solid
vertical lines indicate the transmembrane segments.
Nucleotide residues (shown at the top)
are numbered in the 5’to 3’direction from the
first residue of the 5’ untranslated leader sequence
of the cloned cDNA. The XIP,R consists
of three main domains: an N-terminal
lPrbinding domain, a modulatory domain containing
sites phosphorylated by CAMPdependent
PKA and putative ATP-binding
sites, and a putative Ca*+ channel domain near
the C-terminus. Representative restriction enzyme
cleavage sites are shown.
(8) Hydrophilicity plot of the protein-coding region
according to the method of Kyte and Doolittle
(1962). Arrows indicate six highly hydrophobic
segments forming the putative
membrane-spanning domains.
|
|
Figure 3. Alignment of the Deduced Amino Acid Sequence of XIPIR with Those of the Mouse and Drosophila melanogaster
The amino acid sequences of Xenopus (top lane), mouse (middle lane), and D. melanogaster (bottom lane) are shown. Amino acids identical with
XIPIR in those of mouse or Drosophila IP,Rs are indicated by double dots. Dashes indicate gaps (deletions or insertions) that are introduced for
maximal homology. Asterisks indicate amino acids identical with the RyR described previously (Takeshima et al., 1989). Sequence data for mouse
and Drosophila IPs are from Furuichi et al. (1989b) and Yoshikawa et al. (1992) respectively. The hydrophobic segments with predicted secondary
structure are marked by solid lines; the termini of each segment are tentatively assigned on the basis of the hydrophilicity profile and the amino
acid sequence. Positions corresponding to the consensus ATP-binding sites are marked with broken double underlines (amino residues 1775
1781 and 2018-2022 in mouse; amino residues 1720-1728, 1674-1679, and 1962-1967 in XIPIR; Wierenga and HOI, 1983). Triangles represent
possible phosphorylation sites for PKA (at serine residues 1588 and 1755 in mouse; at serine residues 1575 and 1702 in XIPIR; Huganir et al.,
1984). SI and SII are regions that can be deleted by alternative splicing from the mouse sequence (Sl, amino acid residues 318-332; Sll, residues
1692-1731 in mouse IPsR; Nakagawa et al., 199la). The present XIPIR corresponds to the spliced-out form of both SI and SII domains.
|
|
Figure 4. Functional Expression of IP,Binding Domain of XIPJR in
NG106-15 Cells
(A) lmmunoblot analysis of cytosol fractions of transfected NGlOS15
cells. Samples (10 ug) of the cytosol fractions from ppactXGKtransfected
or vector peact-N-transfected NGI 08-l 5 cells were loaded
onto 5% SDS-PAGE, immunoblotted with anti-mouse lPIR monoclonal
antibody 4Cll (Maeda et al., 1969) and detected with the enhanced
chemilluminescence detection system (Amersham). The molecular
mass of 200 kd is shown.
(B) Inhibition of specific [“H]lP, binding to the cytosol fractions of
transfected NG106-15 cells. Binding of PH]IP3 was measured at a
concentration of 20 nM. Dose-dependent inhibitions of pH]IP, binding
by IPs (closed circles), l(2,4,5)P3 (open circles), I(1 ,3,4,5)P4 (open diamonds),
I(1 ,4)P2 (open squares), and l(i)P, (open triangles) are shown.
Data for IPs, l(2,4,5)P3, and I(1 ,3,4,5)Pl are the averagesof three experiments.
|
|
Figure 5. Effects of Antisense Oligonucleotide Injection upon IPz-
Responsive Egg Activation
(A) Antisense blocks IP3-responsive egg activation (cortical contraction).
Antisense oligonucleotide complementaryto the30 ntsequences
of the 5’ flanking and translation start site (141-170, 5’~AACTAGACATCTTGTCTGACATTGCTGCAG-
3’) or the corresponding sense oligonucleotide
(5’-CTGCAGCAATGTCAGACAAGATGTCTAGTT-3’) was
microinjected into fully grown stage VI oocytes. Injected oocytes meiotically
matured with 5 uglml progesterone were assayed for IPJresponsive
cortical contraction. The percentage of eggs undergoing
cortical contraction upon IPa injection is shown. Control eggs that received
a microinjection of buffer 0.1 mM HEPES (pH 7.8) 10 nM EGTA
showed 4.7% (2 of 43) activation.
(B) lmmunoprecipitation analysisof crude membrane proteins in meiotically
mature eggs microinjected with oligonucleotides. Oocytes microinjected
with oligonucleotides were meiotically matured by progesterone
and simultaneously metabolically labeled for 16 hr with
[“Sjmethionine. Crude membrane proteins were prepared from aliquots
of three mature eggs. Proteins equivalent to one mature egg
were subjected to immunoprecipitation by using an anti-XIPIR poly
clonal antibody. The results of 12 eggs microinjected with sense or
antisenseoligonucleotide areshown. Lanesare as follows: uninjected;
corn. (minus), in the absence of competing antigen; corn. (plus), with
purified
TrpE-XIP3R fusion protein (0.4 mglml) as competing antigen;
sense or antisense, eggs injected with sense or antisense oligonucleotide
(lanes l-4). As the immunoprecipitation of a band (marked at the
left) was competed by the TrpE-XIP3R fusion protein, it was confirmed
to be the XIP$f.
(C) Protein synthesis profile of oligonucleotide-injected meiotically mature
eggs. Clear lysate proteins were prepared from aliquots of three
eggs, which were equally microinjected with oligonucleotides and labeled
with [“Sjmethionine as described above. The clear lysates of
uninjected and sense or antisense oligonucleotide-injected mature
eggs (0.16 mature eggs equivalent per lane) were electrophoresed in
5% SDS-polyacrylamide gel. Note that no apparent changes in the
general protein synthesis are observed by the injection of sense or
antisense oligonucleotide.
|
|
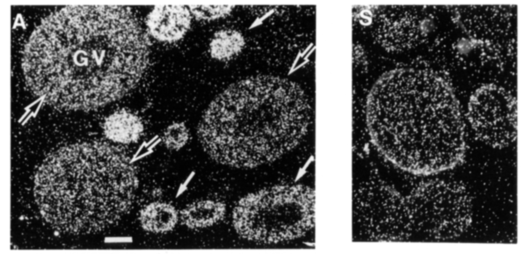
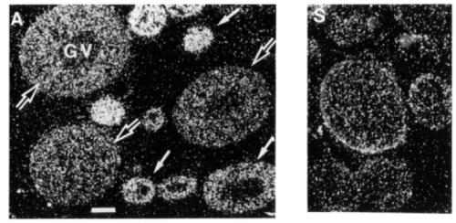
Figure 6. Detection of XlPJt mRNA in Xenopus Docytes by In Situ Hybridization
(A) Antisense-strand XIPIR probe. Strong signals are detected in stages I and II oocytes (closed arrows). The intensity of signals decreases in
stages Ill-IV (open arrows) and is weak in fully grown oocytes of stages V-VI (data not shown), possibly owing to a large increase in the volume
of the oocytes associated with growth.
(S) Control experiment with sense-strand XlP&l RNA probe does not show any autoradiographic signal above the background.
The nucleus or germinal vesicle (GV) is seen as a circle in the center of the oocytes. Scale bar, 200 urn.
|
|
Figure 7. lmmunofluorescent Localization of XIP$l in Fully Grown Stage VI Docytes
(A) Staining of a fully grown stage VI oocyte demonstrating enriched localization of XlP,R in the animal hemisphere and the perinuclear region
(closed arrow). Scale bar is 200 urn and applies to (A) and (B). In the immunofluorescent analyses presented in this figure and Figure 8 and 9,
specific antisera to XIP,R (anti-XIPIR) raised against the GST-XIPIR fusion protein were used.
(B) Preimmune serum staining of an adjacent section of (A) as a negative control.
(C) Enrichment of XIP3R in the animal hemisphere and the perinuclear region (closed arrow) of stage VI oocytes. Strong staining signals are
observed in yolk-free corridors of animal hemisphere. Staining signals in the cortical layer surrounding the pigment granules (seen as black grains)
are detected (open arrow). Scale bar is 20 urn and applies to (C) and (D).
(D) Signals observed in the vegetal hemisphere. Signals are observed from between the numerous large yolk granules. (C) and (D) are a higher
magnification of stage VI oocytes seen in (A). Note that the staining of XIPsR shows a characteristic ER-like reticular network.
Abbreviations: A, animal hemisphere; V, vegetal hemisphere; GV, germinal vesicle.
|
|
Figure 8. lmmunofluorescent Localization of
XIP,R in Meiotically Mature Eggs Induced by
Progesterone
Staining of a meiotically mature egg treated
with progesterone for 13 hr demonstrating enrichment
of XlP&t in the subcortical layer just
beneath the layer of the pigment granules
(closed arrow) and yolk-free patches in the animal
hemisphere (open arrow) with weak stainings
in the interior deep cytoplasm. Scale bar,
200 pm.
|
|
Figure 9. lmmunofluorescent Localization of XIPJR in Ovulated Unfertilized Eggs and Fertilized Eggs
(A) Stainings of an ovulated unfertilized egg demonstrating enrichment of XIP,R in the cortical region (arrows) and the animal hemisphere. Note
that the staining signals in the cortical region are sharp and have discrete boundaries.
(B) Stainings of a fertilized egg 10 min after fertilization demonstrating the relocalization of XlP#t in the cortical region. Note that the discrete
staining signals in the cortical region, which are observed in unfertilized egg, disappear and become rather continuous and uniform (arrows marked
CL). Scale bar is 209 urn and applies to (A) and (8).
(C) Higher magnification of an ovulated unfertilized egg. Staining near the plasma membrane seems to surround the cortical granules (arrow C).
Patches of strong staining in the cortical region (arrow P) are observed. The staining in the cytoplasm is observed as an ER-like reticular network.
(0) Higher magnification of a fertilized egg. The well-organized cortical localization of XIPsR in unfertilized eggs (arrows C and P in [Cl) is disrupted,
and the signals became fuzzy in the cortical layer (CL). Scale bar is 20 urn and applies to (C) and (D).
Abbreviations: A. animal hemisphere; V, vegetal hemisphere; PG. pigment granules.
|