|
Fig. 1. Cross-reaction of antibodies directed against mouse a-catenin and b-catenin with Xenopus catenins. (A) Extracts of five embryos
each of stage 10 (lanes 1, 3, 5 and 7) and stage 17 (lanes 2, 4, 6 and 8) were electrophoresed. Blots were developed with anti-U-cadherin
(lanes 1 and 2), anti-E-cadherin (lanes 3 and 4), anti-a-catenin (lanes 5 and 6) and anti-b-catenin (lanes 7 and 8). (B) Components
precipitated by anti-U-cadherin from extracts of 50 stage 10 embryos were analysed by immunoblotting using anti-U-cadherin (lane 1),
anti-a-catenin (lane 3) and anti-b-catenin (lane 5). (C) Components precipitated by anti-E-cadherin from extracts of 50 stage 17 embryos
were analysed by immunoblotting using anti-E-cadherin (lane 1), anti-a-catenin (lane 3) and anti-b-catenin (lane 5). For controls in B and
C (lanes 2, 4, and 6), mock precipitates using an inert IgG were used for electrophoresis. The strong signals in the lower part of B and C
result from IgGs which were released into the samples from the precipitation beads and which bind the second antibodies. The position
(bars) and size (Mr) of molecular weight markers are indicated.
|
|
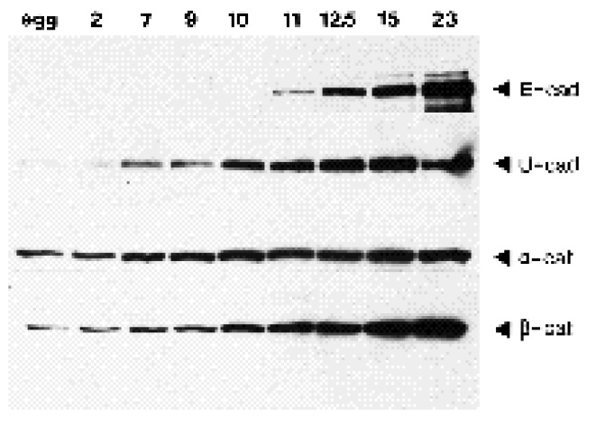
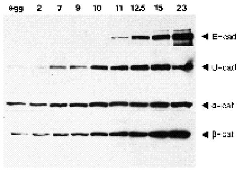
Fig. 2. Western blot analysis of a-catenin, b-catenin, E-cadherin
and U-cadherin during early embryogenesis. Extracts of embryos
of different stages (five embryos per lane) were analyzed by
immunoblotting with mAb 10H3 for E-cadherin, mAb 6D5 for Ucadherin,
a-M12K for a-catenin and a-P14L for b-catenin. The
developmental stages are indicated.
|
|
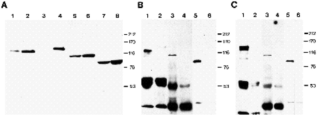
Fig. 3. Coprecipitation of a- and b-catenin with U-cadherin
and E-cadherin from extracts of embryos of different stages.
(A) Immunoprecipitates obtained with anti-U-cadherin from
extracts of 50 embryos at different developmental stages
were analysed by immunoblotting for U-cadherin, and a-
catenin and b-catenin as before (see Fig. 2).
(B) Immunoprecipitates obtained with anti-E-cadherin from
extracts of 50 embryos of different developmental stages
were analysed by immunoblotting for E-cadherin and a-
catenin and b-catenin as before (see Fig. 2). The
developmental stages are indicated. co, controls.
|
|
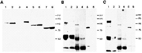
Fig. 4. Catenins in extracts depleted of U-cadherin by sequential
immunoprecipitation. Extracts of 50 stage 10 embryos were
subjected to two consecutive immunoprecipitations with anti-Ucadherin.
Aliquots of the original extract (A) and the supernatants
of the first and the second immunoprecipitation (Bs and Cs
respectively) and the corresponding precipitates (Bp and Cp) were
analyzed for U-cadherin, a-catenin and b-catenin by
immunoblotting as before (see Fig. 2). Ds and Dp are supernatant
and precipitate of the control samples in which inert P3-IgG was
applied for precipitation.
|
|
Fig. 5. Separation of a-catenin from U-cadherin and b-catenin
by sucrose gradient centrifugation. An extract of 20 stage 10
embryos was fractionated on a sucrose gradient (see Material
and Methods) and the fractions (fraction numbers from bottom
to top) were analyzed for U-cadherin, a-catenin and b-catenin
by immunoblotting as before (see Fig. 2). The arrowheads
indicate the peak distribution of protein standards of known S
values (from left to right: 11.4 S, 7.4 S, 4.6 S).
|
|
Fig. 6. Analysis of metabolically labelled proteins that
coprecipitate with U-cadherin and a-catenin. 30 fertilized eggs
were injected with [35S]methionine and cultured until stage 8 and
30 stage 11.5 gastrulae were injected with [35S]methionine into
the blastocoel and cultured until stage 13. Aliquots of extracts
were immunoprecipitated with anti-a-catenin and with anti-Ucadherin
respectively. Electrophoretic patterns of radioactive
proteins were visualized by fluorography. After fluorography, Ucadherin,
a-catenin and b-catenin were identified by staining the
blots with the corresponding antibodies. Their position is
indicated by arrowheads. The unidentified coprecipitating protein
atMr 88´103 might be g-catenin. In the control samples, an inert
IgG was applied in the precipitation. (A) Extracts of labelled stage
8 embryos. (B) Extracts of labelled stage 13 embryos. Lanes 1:
controls; lanes 2: precipitates obtained with anti-a-catenin; lanes
3: precipitates obtained with anti-U-cadherin.
|
|
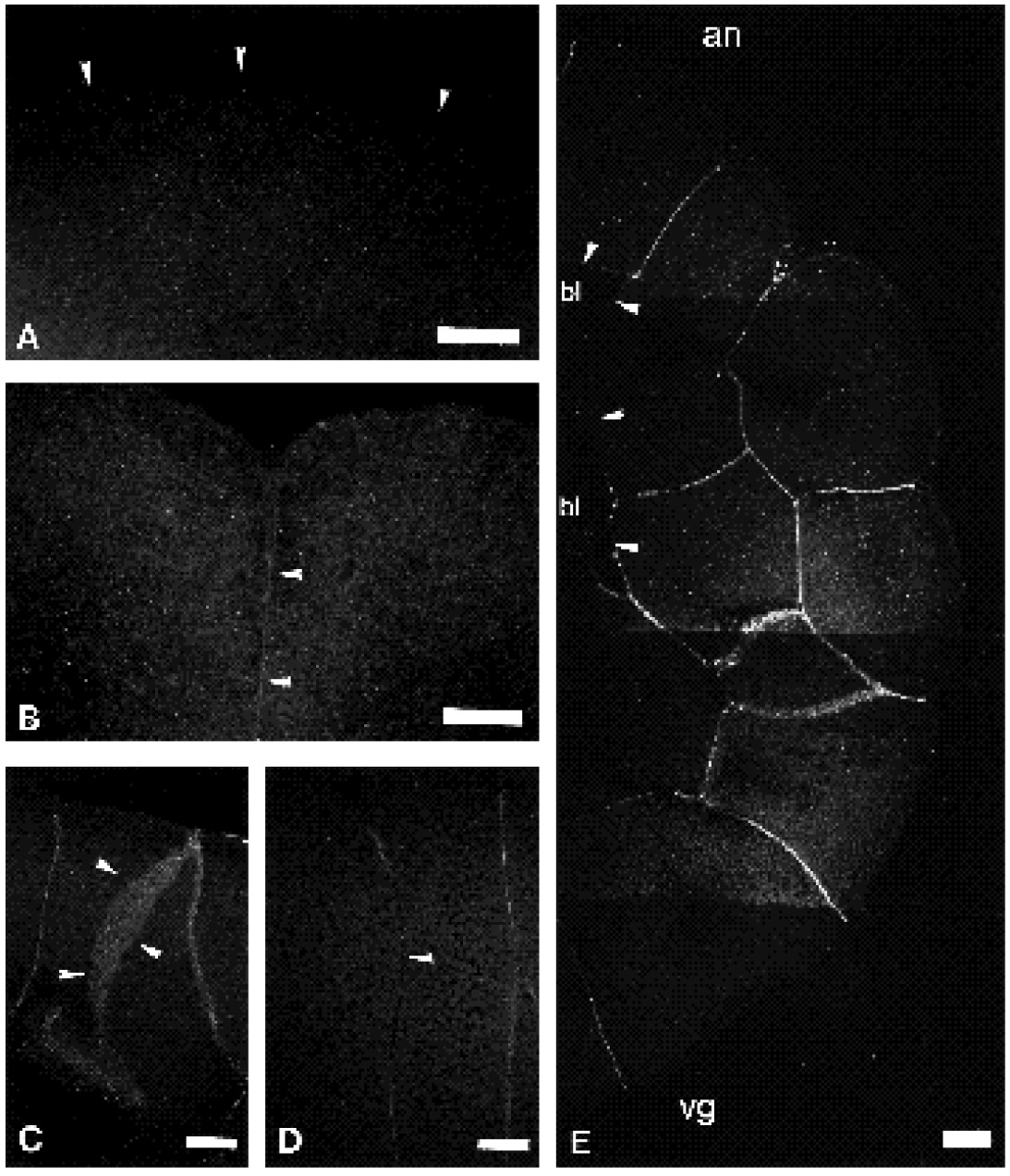
Fig. 7. Distribution of a-catenin in
early cleavage stage embryos.
Embryos were immunostained with
a-M12K antibody, embedded in
glycolmethacrylate and sectioned.
(A) Animal pole region of a
fertilized egg. Arrowheads indicate
the plasma membrane. (B) Animal
pole region of an eight cell stage.
The internal plasma membrane is
indicated by arrowheads.
(C) Blastomeres near the animal
pole of a stage 6 embryo. The
lateral membrane was sectioned
tangentially (arrowheads). (D) Cleft
(arrowheads) between vegetal
blastomeres of a stage 6 embryo.
(E) Transversal section of a stage 6
embryo. Arrowheads indicate the
cell membranes adjacent to the
blastocoel. No staining was
obtained in controls. an, animal
pole region; bl, blastocoel; vg,
vegetal pole region; Bars: 50 um.
|
|
Fig. 8. Distribution of a-catenin in
blastula and gastrula stages.
(A) Ventral portion of a sagittal
section through a stage 10 embryo.
(B) The marginal region of a stage 9
blastula. Apical concentrations of a-
catenin along the lateral membranes
of the outer ectodermal blastomeres
are indicated with arrowheads.
(C) Dorsal blastoporal lip region of
an early gastrula with apically
constricted bottle cells (arrowhead).
(D) Lateral blastopore lip region of a
stage 12.5 embryo. Arrowheads
indicate apical membranes of the
cells that form the archenteron roof
and floor. The unspecific staining of
the yolk platelets is due to
autofluorescence. an, animal region;
bl, blastocoel; dbl, dorsal blastopore
lip region; en, endoderm; ec,
ectoderm; me, mesoderm; vg,
vegetal pole region; yp, yolk plug.
Same histological procedure as in
Fig. 7. Bars: 50 um.
|
|
Fig. 9. Distribution of a-catenin in neurulae. (A) Transversal section of a stage 14 embryo. (B) Section through the lateral region of a
stage 14 embryo depicting the ectodermal, mesodermal and endodermal cell layers. (C) Ventral detail of a sagittal section through a late
neurula stage 19 embryo. Arrowheads point to the apical membranes of the endoderm. (D) Embryos at stage 17 and (E) at stage 19 were
cut through the central dorsal region transversally. Arrows indicate the regions where cell membranes are devoid of staining. ae,
archenteron; ar, archenteron roof; bo, bottle cells; ec, ectoderm; en, endoderm; me, mesoderm; no, notochord; pm, paraxial mesoderm; so,
somites. Same histological procedure as in Fig. 7. Bars: 50 um.
|
|
Fig. 10. Distribution of a-catenin in the stage 27 tailbud embryo. (A) Transversal section showing staining patterns in different organ anlagen, particulary in the neural tube, pronephros anlage (arrows) and lateral plate mesoderm (arrowheads). (B, C, F, G and H) Details of transversal sections; (D,E) details of parasagittal sections. (B) Somite, arrows indicate the inhomogenuous staining pattern around the somite cells. (C) Cement gland, arrows point at a lateral plasma membrane of a columnar cell. (D) Eye vesicle. (E) Notochord, plasma membranes bordering the basal lamina are indicated by arrows. (F) Neural crest cells are unstained. (G) Ear vesicle, junctional concentrations of a- catenin are indicated by arrows. (H) Ventral epidermis, cell membranes of the bilayered epidermis adjacent to the basal lamina exhibit only weak staining (arrows). en, endoderm; ep, epidermis; ev, ear vesicle; ey, eye vesicle; le, lens placode; nc, neural crest cells; no, notochord; nt, neural tube; pi, pigment layer; re, retinal layer; so, somites. Same histological procedure as in Fig. 7. Bars: 50 um.
|