Click here to close
Hello! We notice that you are using Internet Explorer, which is not supported by Xenbase and may cause the site to display incorrectly.
We suggest using a current version of Chrome,
FireFox, or Safari.
An androgen receptor mRNA isoform associated with hormone-induced cell proliferation.
Fischer L
,
Catz D
,
Kelley D
.
???displayArticle.abstract???
The larynx of male Xenopus laevis undergoes an androgen-driven developmental transformation that enables the adult to produce his complex mate attraction song. During the early postmetamorphic period, androgen directs proliferation and differentiation of laryngeal muscle and cartilage. To explore the cellular and molecular basis of androgen control, we have cloned an androgen receptor cDNA from juvenile larynx. Here we identify two androgen receptor mRNA isoforms, alpha and beta, differing within the A/B, or hypervariable, domain. Northern blot analyses reveal that the beta isoform is transiently expressed during early juvenile stages, whereas the alpha transcript is expressed throughout postmetamorphic life. Using in situ hybridization and [3H]thymidine autoradiography, we examined the expression of androgen receptor mRNA isoforms during androgen-evoked cell proliferation and differentiation. The alpha and beta transcripts are coexpressed in proliferating tissues of the juvenile larynx; in postmitotic differentiated tissues, only the alpha transcript is expressed. Because androgen receptor beta mRNA is specifically expressed during hormone-evoked cell proliferation, we propose that this developmentally regulated mRNA isoform is required for the masculine program of cell addition within the developing vocal organ.
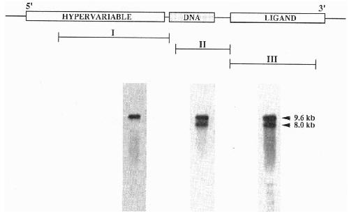
FIG. 1. Two AR mRNAs are present in developing larynx. (Upper) Schematic representation of the AR molecule. Positions ofcDNA probes
used in Northern analyses (Lower) are indicated. Probe I is a 1.1-kb cDNA fragment confined entirely to the 5' hypervariable or A/B domain
of the AR. Probes II and III are cDNA fragments from the DNA binding or ligand binding domains, respectively. Probe I hybridizes only to
the AR a mRNA, while probes II and III hybridize to both the alpha and beta transcripts.
FIG. 2. Southern analysis reveals at least two genes for the X.
laevis AR. Genomic DNA was digested with BamHI (lane B) or
HindIII (lane H) and hybridized to a 500-bp EcoRI/EcoRI fragment
from the 3' UTR. Band sizes are indicated in kb.
FIG.3. AR mRNAs are developmentally regulated. AR expression
in male laryngeal muscle and cartilage at PM2, -3, and -6 was
examined by Northern blot analysis.
FIG. 4. Androgen-evoked cell proliferation and expression ofAR
mRNA isoforms in developing larynx. (A) Cell proliferation in
developing larynx evoked by dihydrotestosterone and visualized by
[3H]thymidine autoradiography. Proliferation is prominent in the
elastic cartilage precursor zone (open arrow; this zone surrounds an
unlabeled blood vessel), the developing muscle (arrowhead), and
adjacent to the hyaline cartilageperichondrium (solid arrow). Hyaline
and thyrohyal cartilages are, for the most part, postmitotic in
PM2 males but proliferation can be induced with exogenous androgen.
(B) In situ hybridization, using a probe that recognizes both AR
a and 8 mRNAs, to a similar section through the larynx of a PM2
male. (C) In situ hybridization using a probe that recognizes only the
AR a mRNA; section adjacent to that shown in B. ep, Elastic
cartilage precursor zone; pc, perichondrium; m, muscle; hc, hyaline
cartilage; th, thyrohyal cartilage. Sections adjacent to those shown
in B and C hybridized with AR sense transcripts as a control for
nonspecific hybridization revealed only a low level of nonspecific
hybridization (data not shown). (Bar = 100 Iam.)
Beato,
Gene regulation by steroid hormones.
1989, Pubmed
Beato,
Gene regulation by steroid hormones.
1989,
Pubmed
Chang,
Molecular cloning of human and rat complementary DNA encoding androgen receptors.
1988,
Pubmed
Cox,
Detection of mrnas in sea urchin embryos by in situ hybridization using asymmetric RNA probes.
1984,
Pubmed
Faber,
Characterization of the human androgen receptor transcription unit.
1991,
Pubmed
Forrest,
Contrasting developmental and tissue-specific expression of alpha and beta thyroid hormone receptor genes.
1990,
Pubmed
Gorlick,
The ontogeny of androgen receptors in the CNS of Xenopus laevis frogs.
1986,
Pubmed
,
Xenbase
He,
Molecular cloning of androgen receptors from divergent species with a polymerase chain reaction technique: complete cDNA sequence of the mouse androgen receptor and isolation of androgen receptor cDNA probes from dog, guinea pig and clawed frog.
1990,
Pubmed
,
Xenbase
Hodin,
Identification of a thyroid hormone receptor that is pituitary-specific.
1989,
Pubmed
Kastner,
Murine isoforms of retinoic acid receptor gamma with specific patterns of expression.
1990,
Pubmed
Kelley,
Development and hormone regulation of androgen receptor levels in the sexually dimorphic larynx of Xenopus laevis.
1989,
Pubmed
,
Xenbase
Kintner,
Expression of Xenopus N-CAM RNA in ectoderm is an early response to neural induction.
1987,
Pubmed
,
Xenbase
Kliewer,
Retinoid X receptor interacts with nuclear receptors in retinoic acid, thyroid hormone and vitamin D3 signalling.
1992,
Pubmed
Koenig,
Inhibition of thyroid hormone action by a non-hormone binding c-erbA protein generated by alternative mRNA splicing.
1989,
Pubmed
Krotoski,
Developmental mutants isolated from wild-caught Xenopus laevis by gynogenesis and inbreeding.
1985,
Pubmed
,
Xenbase
Leroy,
Multiple isoforms of the mouse retinoic acid receptor alpha are generated by alternative splicing and differential induction by retinoic acid.
1991,
Pubmed
Lubahn,
Cloning of human androgen receptor complementary DNA and localization to the X chromosome.
1988,
Pubmed
Marcelli,
Definition of the human androgen receptor gene structure permits the identification of mutations that cause androgen resistance: premature termination of the receptor protein at amino acid residue 588 causes complete androgen resistance.
1990,
Pubmed
Marin,
Hormone-sensitive stages in the sexual differentiation of laryngeal muscle fiber number in Xenopus laevis.
1990,
Pubmed
,
Xenbase
McMaster,
Analysis of single- and double-stranded nucleic acids on polyacrylamide and agarose gels by using glyoxal and acridine orange.
1977,
Pubmed
Melton,
Efficient in vitro synthesis of biologically active RNA and RNA hybridization probes from plasmids containing a bacteriophage SP6 promoter.
1984,
Pubmed
Puissant,
An improvement of the single-step method of RNA isolation by acid guanidinium thiocyanate-phenol-chloroform extraction.
1990,
Pubmed
Sassoon,
Androgen-induced myogenesis and chondrogenesis in the larynx of Xenopus laevis.
1986,
Pubmed
,
Xenbase
Sassoon,
The sexually dimorphic larynx of Xenopus laevis: development and androgen regulation.
1986,
Pubmed
,
Xenbase
Tobias,
Development of functional sex differences in the larynx of Xenopus laevis.
1991,
Pubmed
,
Xenbase
Tobias,
Vocalizations by a sexually dimorphic isolated larynx: peripheral constraints on behavioral expression.
1987,
Pubmed
,
Xenbase
Tora,
The N-terminal region of the chicken progesterone receptor specifies target gene activation.
1988,
Pubmed
Wilson,
The hormonal control of sexual development.
1981,
Pubmed