|
Fig. 1. Comparison of the predicted amino acid sequences of
Xwnt-5A (Genbank accession number L19716), murine Wnt-5A
(Gavin et al., 1990), and Xwnt-1 (Noordermeer et al., 1989).
Identical residues are marked by asterisks, and gaps indicated by
dashes were introduced to yield the highest degree of identity.
|
|
Fig. 2. Localization of Xwnt-5A transcripts in tailbud embryos by
RNase protection. (A) Tailbud stage embryos were dissected into
head (H), mid-dorsal (MD), mid-ventral (MV) and tail (T) regions
as indicated by the solid lines. (B) RNA was isolated from the
dissected regions, and subjected to an Xwnt-5A-specific RNase
protection assay. The P lane contains undigested probe, and the
remaining lanes, labeled as in A display protected fragments of
the predicted size. (C) RNA employed in the RNase protection
assay in B was employed in an RNA blot analysis with an EF1a
probe to provide a reference for the relative levels of expression of
Xwnt-5A.
|
|
Fig. 3. Localization of Xwnt-5A
transcripts by whole-mount in
situ hybridization. Developing
embryos at (A) the late gastrula
(approximately stage 11 1/2); (B,
lateral view, C, dorsal view) late
neurula (stage 20); and (E)
tadpole (stage 34) were
hybridized with an antisense
Xwnt-5A probe. A dorsal view of
control neurula stage embryo
hybridized with a sense Xwnt-5A
probe is shown in D. Random
tadpole embryos were then
embedded and sectioned to
analyze further the expression of
Xwnt-5A in the head (F) and tail
(G). White arrows in B and C
denote anterior Xwnt-5A
hybridization signals. Black
arrows (E,F,G) denote specific
Xwnt-5A hybridization signals.
For reference, the eye is denoted
by a white arrowhead in E and F,
the cement gland is indicated by
a black arrowhead in F, and the
blastopore (bp), notochord (nc),
tail ectoderm (e), and skeletal
muscle (m) are noted.
|
|
Fig. 4. Phenotypes of embryos injected with Xwnt-5A
RNA. Control embryos (A,C,E), and embryos injected
with Xwnt-5A RNA into the upper marginal zone of
dorsal blastomeres (B,D,F) or ventral blastomeres (G) at
the four cell stage were cultured to neurula stage (A,B),
tailbud stage (C,D), or tadpole stages (E,F,G). Black
arrowheads denote the location of the cement gland, and
white arrowheads the position of the eye. The black
arrows in G indicate supernumerary tails.
|
|
Fig. 5. Whole-mount
immunocytochemistry of tailbud
and tadpole embryos injected
with Xwnt-5A RNA. Control
embryos (A,C) and embryos
injected with Xwnt-5A RNA in
the upper marginal zone of both
dorsal blastomeres at the 4-cell
stage (B,D) were stained with the
pan-neural mAb 2G9 (A,B), or
the skeletal muscle-specific mAb
12/101 (C,D). Arrows in A and B
denote the anterior limit of neural
staining in dorsally-injected
embryos. Arrows in D denote the
anterior widening between
somitic mesoderm in embryos
dorsally injected with Xwnt-5A
relative to controls (C).
|
|
Fig. 6. Histological analysis of
embryos injected with Xwnt-5A
RNA in the upper marginal
zone of both dorsal blastomeres
at the 4-cell stage. (A) Control
embryo (stage 18-19) sectioned
transversely through the trunk
region. (B) Xwnt-5A-injected
(high dose) embryo (stage 18-
19) sectioned transversely
through the trunk region
showing the morphology and
positional relationship between
the notochord, somites, and
neural plate. A pointer marks
the position of the dorsal
midline with respect to the
neural axis. (C) Horizontal
section of a control embryo
(stage 34-36). (D) Horizontal
section through a Xwnt-5Ainjected
(high dose) embryo
(stage 34-36). This embryo
shows a mild phenotype of
fused nasal placode, malformed
forebrain, and malformed
anterior notochord. A subtle
bifurcation can also be seen in
the notochord, indicated by the
dark septum down the middle of
the notochord. (E) In some
Xwnt-5A-injected embryos the
notochord clearly bifurcates, as
evident in this cross section
through the tail of an embryo at
stage 34-36. (F) In most Xwnt-
5A-injected embryos the
notochord does not duplicate as
in E, rather, it appears as an
enlarged bulb anteriorly. (G)
This embryo demonstrates that
the phenotype observed in B
persists at stage 34-36, in
horizontal section. (H) This
Xwnt-5A-injected embryo
demonstrates that occasionally
there is a position specific
disruption of axial development
in the tail. In this stage 34-36
embryo, sectioned horizontally,
three somite segments along
with the notochord and neural
tube in these segments are
seriously disrupted (downward
arrow). Axial tissue rostral (upward arrow) and caudal (downward arrowhead) to this disrupted area appear normal. (I) Horizontal section
through control embryo at stage 34-36 to denote interocular distance. (J) Horizontal section through Xwnt-5A-injected embryo at stage
34-36 to denote the reduction in interocular distance relative to the sibling control in I. Abbreviations: e, eye; en, endodermal cavity; cg,
cement gland; di, diencephalon; np, neural plate; nc, notochord; na, nasal placode; nt, neural tube; ot, otic vesicle; s, somite; tel,
telencephalon. The bar in A serves as a reference to the following scales: A and B, 28 mm; C-H, 88 mm; G, 105 mm; and I and J, 65 mm.
|
|
Fig. 7. Determination of blastomere sensitivity to overexpression
of Xwnt-5A. Mixed Xwnt-5A and beta-galactosidase RNAs were
injected into both dorsal blastomeres at the 4-cell stage (A, B), or
into two dorsal midline tier one (C), tier two (D), or tier three (E)
blastomeres at the 32-cell stage. Hatched embryos were processed
for whole-mount immunocytochemical localization of betagalactosidase
and photographed (C,D,E), or embedded and
sectioned through anterior (A) or trunk (B) regions. Arrows
denote examples of specific beta-galactosidase staining, and the
black arrowheads (C,D,E) denote the position of the cement
gland. Abbreviations: b, brain; e, eye; ec, ectoderm; fb, forebrain;
nc, notochord; nt, neural tube; pe, pharyngeal endoderm.
|
|
Fig. 8. Effects of overexpression
of Xwnt-5A on the endogenous
patterns of expression of
goosecoid, Xbra, and Xwnt-8.
Goosecoid is expressed
exclusively in the gastrula
organizer of control embryos (A),
as well as in embryos injected
with Xwnt-5A RNA in the
marginal zone of both dorsal (B)
or ventral (C) blastomeres at the
4-cell stage. Arrow in B denotes
slight bulging of the dorsal side.
The pattern of expression of
endogenous Xbra (D) is similarly
unaffected by dorsal (E) or
ventral (F) injection of Xwnt-5A
RNA. Xwnt-8 is expressed in
future ventral and lateral
mesoderm of control embryos,
and is excluded (between arrows)
from the gastrula organizer field
(G). UV irradiation of eggs
ventralizes the embryo, leading to
expression of Xwnt-8 throughout
the marginal zone (H), a pattern
that is unaffected by injection of
Xwnt-5A RNA into the marginal
zone (I).
|
|
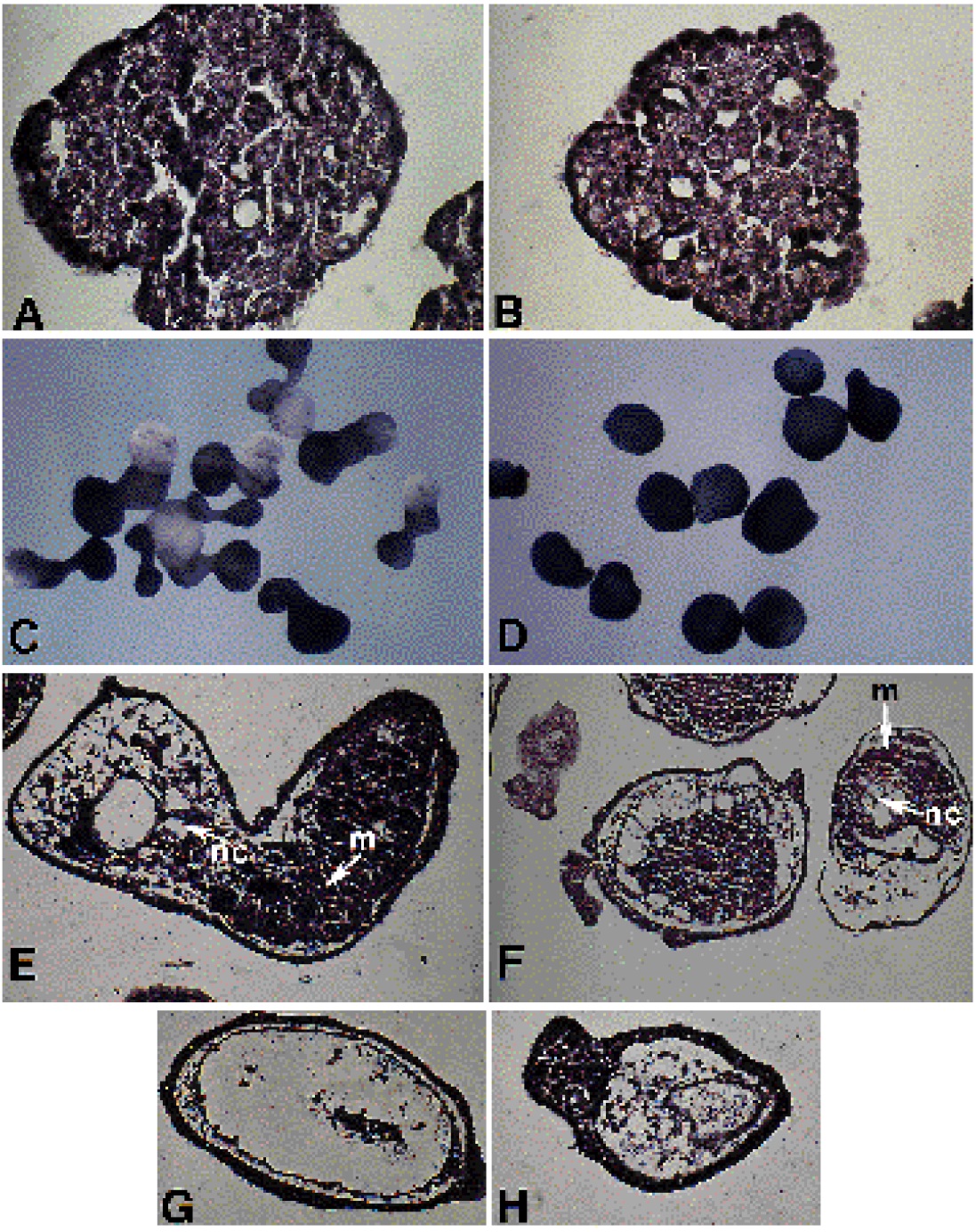
Fig. 9. Effects of overexpression
of Xwnt-5A on the differentiation
of isolated blastula caps.
Histological examination of
blastula caps from control
embryos (A) and embryos
injected with Xwnt-5A RNA in
the animal poles of both
blastomeres at the 2-cell stage
(B) reveals formation of atypical
epidermis. Treatment of control
explants with recombinant
activin A induces extensive
elongation of the explants (C),
whereas parallel treatment of
explants from Xwnt-5A-injected
embryos does not induce
elongation (D). Histological
examination of dorsal halves of
control blastula caps (E) reveals
skeletal muscle (m) and
notochord (nc) in the explants
treated with activin A, similar to
the mesodermal types in the
activin A-treated dorsal halves of
caps from Xwnt-5A-injected
embryos (F). Ventral halves of
blastula caps from control
embryos (G) and from Xwnt-5Ainjected
embryos (H) treated
with activin A display similar
ventral mesodermal types
(shown here), as well as skeletal
muscle (in explants not shown).
|