|
FIG. 1. Cloning of Xenopu.~ integrin {j subunit cDNAs by PCR amplification. The deduced atnino acid sequences of amplified Xeno-pus integrin
cDNAs ar<) aligned with their human homologs below a schematic representation of a typical {j snbunit. Arrowheads indicate regions amplified
(stippled box) u~ing degenerate oligodeoxynucleotide primers (B and BR). The locations of the signal sequence (hatched box), cy3teine·rich
regions (vertical lined boxes), and the transmembrane domain (black box) are indicated. Gaps in the {3, sequence correspond to regions not
represented in the amplified eDNA. GcnBank Accession Nnmbers for nneleotidc sequences are L13.S92 (fJ2), LJ.3591 (fJ8), and L13468 (116).
|
|
FIG. 2. A dendrogram of amino acid similarities between the Xeno·
pits and human integrin {:J subunits along the region amplified by PCR.
The results of BESTFIT and PILEUP comparisons (GCG version 7;
Devereux et al... 1984) were used to generate a dendrogram illustrating
the <lpproximale percentage s imilarities b€tween the predicted amino
acid sequences of the amplified Xe1W}rus integrin cDNAs and previously
published human {3 subunits. The distance along the X axis is
proportional to the degree of similarity between sequences. Sequence
data for human integrin fJ subunits: {J1 (Argraves et aL, 1987), {32 (Ki·
shimoto et at., 1987), [j, (Fitzgerald et al., 1987), (.J, (Hogervorst et al.,
1990), #5 (.McLean eta!, 1990), tJ. (Sheppard et aL,1990), {J7 (Erie et al,
1991), and [38 (Moyle et. aL, 1991 ).
|
|
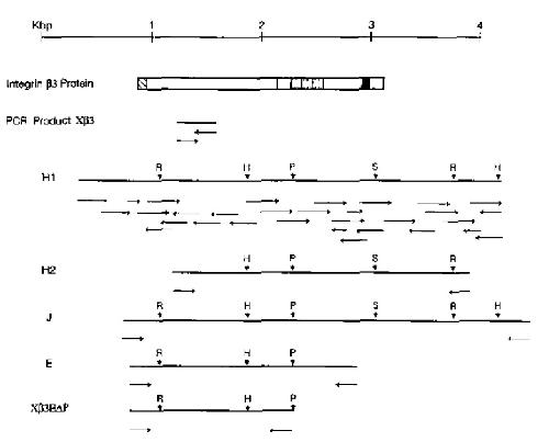
FIG. 3. Map of Xenopu.s integrin {J3 subunit: cDNAs. A s-chematic
diagram of the predicted. protein (s-ee Fig. 1) is aligned with cDNAs
obtained from the XTC cell line eDNA library. The positio11s of the
PCR ))roduet used for cloning and RNase protections (Xtl8) and the
probe used for N ortherns and in situ hybridizations (X,83- E.i.P) are
indicated. Arrows epreser.t. sequenced ngions. Rt!presentative Testriction
sites are also marked. Tbe sites are (H), Him:IIII, (P) Psti, (R)
EcoRI, and (S) Sal!.
|
|
Flo. 4. Comparison of Xemrpus and human integrin {38 subunit protein
sequences. The amino acid sequences of Xenorms and human integrin
{33 (Fitzgerald et ctL, 1987) are aligned for comparison. Identities
are indicated by dashes in the human sequence and gaps are marked
by dots. Cysteines are highlighted by shaded blocks. Arrows mark the
predicted (von Heijne, 1986) $ignal sequence cleavage sites. Arrowheads
denote potential sites of N·linked glycosylation. The transmembrane
domains are underlined. Aspartic acid 143 (Dl45 in Xenopus (33)
is marked by a star and lysine 151 in human {38 (K149 in Xenopus) is
marked by a solid box. The nuei()Otide sequence for Xenqms Ps has
been deposited with GenBank under Accession No. Ll3591.
|
|
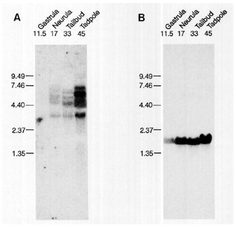
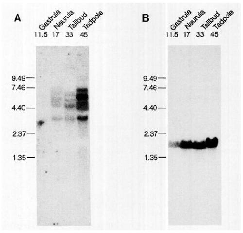
FlO. 5. Northern blot analysis reveals multiple integrin {33 transcripts.
Northern blot analysis was performed on 10 pg of poly(A)
selected RNA isolated from gastrula (stage 11.5), neurula (stage 17),
t ail bud (stage 33), and tadpole (stagâ¢J 45) stage embryos. In (A), the
blot was hybridized at high stringency to a eDNA probe derived from
t he coding region of Xenorms 11 â¢â¢ (B) The same blot as in (A) was
stripped and reprobcd with an EFl·a eDNA (Krieg et aJ, , 198!1).
|
|
FIG. 6. Developmental expression of Xenopus integrin f3 subunit
mRNAs. RNase protection analyses of intcgrins {31 , ,B2 , ,83 , and P~ were
performed using 10 embryo equivalents of total RNA per assay.
Arrows indicate the positions of the protected prol>cs. Control tRNA
samples containing no embryonic RNA are also included with each
ex11criment to identify unprotected but incompletely digested probe
fragments. The EFI ·<T probe was included in all protection assays as
an internal control. The EFl·<r panel shows a representative time
course. Undigested probes (P) arc larger than the protected fragment.s
due to the preSI!nce of vector sequence included in the transcripts.
Arrowheads mark the positions of fully protected probes. The lanes
are:(P) full-lenl.'th transcript prior to digestion; (t) lO !Lg tRNA control;
(1) egg; (8, \1) blastula; (10, 11, 12) gastrula; (13, 17, 25) neurula;
(35) tailbud: and (45} tadpole.
|
|
FIG. 7. Spatial patterns of integrin {J1 mRNA expression analyzed by whole mount i-n situ hybridization. Whole mount in situ hybrid izations
demonstrate that #1 n1RNA is expressed in a wide variety of embryonic tissues. (A) Vegetal view of a stage 11 gastrula; note increased levels of
expression along the blastopore (arrow). (B) Dorsal view of a stage 20 neurula, staining in the notochord, somites. and brain. (C) Side view of the
same embryo, staining in dorsal mesodermal and ect~ermal derivatives. (D) Side view of a stage 25 neurula with reduced levels of expre~:~sion in
the notochord. Arrows show areas of pronounced expression in the brain. (E) Detail of the head of the same embryo in (D); arrows indicate
staining in the branchial arches. (F) Stage 28 neurula with high levels of expression in the posterior notochord (arrows). (G) Stage 33/34 tailbud
embryo with decreased levels of expression in the notochord and myotomes but continued staining at the tipo( the tail (arrow). (H) Stage 37/38
tail bud embryo with abundant expression of {J1 mRNA in the region of the heart (arrow) and decreased signal in dorsal structures.
|
|
Fie. 8. Spatial pattet·ns of int.lgrin {33 mRNA expression analyzed by whole mount in situ hybridization. Whole n10unt in situ hybridizations
reveal a more restricted pattern of integrin 13, mRNA expression in comparison to that of /31 ⢠(A) Side view of a stage 17 neurula; note staining in
a line of cells in the neural groove at the anterior end (arrow). (B) Dorsal view of the same embryo in (A), staining in the neural groove (arrow)
and neural folds (arrowheads). (C) Dorsal view of a stage 18 neurula; {J3 mRNA expression in the neural groove (arrow) decreases beginning at
the posterior end of the embryo and proceeding anteriorly. Arrowheads indicate staining along the neural folds. (D) Side view of a stage 30
embryo that has begun to express /33 mRNA in a subset ofventral blood island cells (arrow). (E) Side view of a stage :32/33 tailbud embryo before
the onset of blood circulation; note the broadly distributed mass of stained ventral cells (arrows). (F} Stage 33/34 embryo after circulation has
begun. The /13-positive cells are now found scattered throughout the embryo. (G, H) Stage 35/36 and 37/38 embryos have an increased number of
cells expressing Ps associated with major blood vessels. (H) Note the line of stained cells along dorsal blood vessels (arrowheads) and in the
regi()n o£ the heart (arrow}.
|
|
itgb3 ( integrin, beta 3 (platelet glycoprotein IIIa, antigen CD61)) gene expression in Xenopus laevis embryo, assayed via in situ hybridization, NF stage 17, lateral view, anterior left, dorsal up.
|
|
itgb3 ( integrin, beta 3 (platelet glycoprotein IIIa, antigen CD61)) gene expression in Xenopus laevis embryo, assayed via in situ hybridization, NF stage 30, lateral view, anterior left, dorsal up.
|
|
itgb3 ( integrin, beta 3 (platelet glycoprotein IIIa, antigen CD61)) gene expression in Xenopus laevis embryo, assayed via in situ hybridization, NF stage 38, lateral view, anterior left, dorsal up.
|