Click here to close
Hello! We notice that you are using Internet Explorer, which is not supported by Xenbase and may cause the site to display incorrectly.
We suggest using a current version of Chrome,
FireFox, or Safari.
Cwnt-8C: a novel Wnt gene with a potential role in primitive streak formation and hindbrain organization.
Hume CR
,
Dodd J
.
???displayArticle.abstract???
To begin to examine the possibility that Wnt proteins act as cell signalling molecules during chick embryogenesis, PCR was used to identify Wnt genes expressed in Hensen's node. We have identified a novel member of the Wnt gene family, Cwnt-8C, which is expressed prior to gastrulation in the posterior marginal zone, the primitive streak and Hensen's node. Injection of Cwnt-8C mRNA into Xenopus embryos caused axis duplication and dorsalization of mesodermal tissues. During neurulation, Cwnt-8C is expressed transiently in a restricted domain of the prospective hindbrain neurectoderm that will give rise to rhombomere 4. This domain is defined prior to the formation of rhombomere boundaries and also precedes the up-regulation and restriction of expression of Hox B1 in the same region. Thus, Cwnt-8C is potentially involved in the regulation of axis formation and hindbrain patterning.
Fig. 1. Predicted amino acid
sequence of CWnt-8C and
comparison with Xwnt-8. Cysteine
residues conserved in known Wnt
genes are indicated in bold type.
Asterisks mark the positions at
which two cysteines found in other
Wnt genes are not conserved in
either CWnt-8C or Xwnt-8. Arrows
above the amino acid sequence
indicate the regions used for
making degenerate PCR primers.
Wnt-5¢ and Wnt-3¢ prime all known
Wnt genes, while W8-1 and W8-2
are predicted to be relatively
specific for genes related to Cwnt-
8C and Xwnt-8.
Fig. 2. Comparison of
Cwnt-8C with Xwnt-8 and
Xwnt-8B over the 115
amino acids of
overlapping sequence
available for Xwnt-8B.
Fig. 6. Xenopus embryos injected with Cwnt-8C RNA. Embryos were injected with 250 pg of either Cwnt-8C sense mRNA (A-C) or
control, inactive, Cwnt-8C-myc (D) RNA. Cwnt-8C sense mRNA was injected at the 8-cell stage into ventral (A) or dorsal (B) animal
blastomeres or at the 32-cell stage into a ventral marginal blastomere (tier c) (C). Embryos shown represent the most common phenotypes
observed at stage 38. Injections of sense mRNA into ventral blastomeres resulted in double axes including duplication of cement glands
(c in A and C) and eyes. Injection into a dorsal blastomere caused partial duplication without extra cement glands or eyes (B).
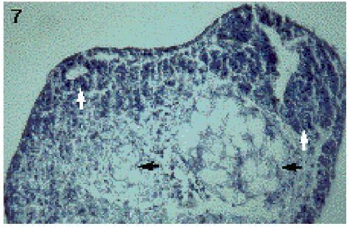
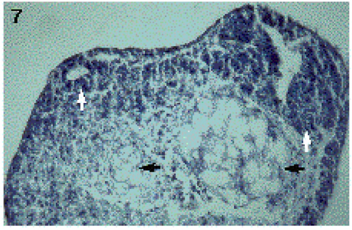
Fig. 7. Injection of Cwnt-8C mRNA causes duplication of the
notochord. 8 mm paraffin section through a stage 28 Xenopus embryo
injected with Cwnt-8C mRNA into a ventral animal blastomere at the
8-cell stage. The section passes through the region of the rostral spinal
cord/hindbrain and shows a duplicated notochord (black horizontal
arrows) and neural tube (white vertical arrows). Stained with Giemsa.
Magnification, ´200.