|
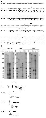
Fig. 1.5' Sequences and structure of HNF-3/3 cDNAs isolated from rat floor plate. (A) Comparison of the nucleotide and amino acid sequences
of the 5' regions of HNF-3fl floor plate and liver cDNAs.The sequences of the two full-length floor plate cDNAs, RP2 and RP5, and the liver
cDNA (Lai et al., 1991) are aligned to show the point of sequence divergence and variant open reading frames. Numbers refers to the published
liver sequence (Lai et al., 1991). Initiation and termination triplets are indicated in bold. ATG numbers refer to (C). The AGs adjacent to the
points of divergence (arrowheads), indicating splice acceptor sites are underlined. For RP2 and RP5, two possible initiator ATGs are indicated.
The 5' end of the RP2 cDNA is not included in this figure. The putative extension of the HNF-3fl open reading frame in RP2 includes a highly
charged region. (B) Determination of the structure of variant forms of HNF-3/3 expressed in the embryonic spinal cord and liver. The pattern of
protected fragments obtained in T2 RNase protection assays shows the presence of stable mRNAs in the embryonic nervous system (NT) and
Liver (LIV) with structures corresponding to the RP2 and RP5 cDNAs. See (C) for position of the protected fragments. The size of labelled
markers are shown at left. The original liver form of HNF-3/3 corresponds to band A (467 nt) using the HNF-3/3 probe, to band E (244 nt) using
the RP5 probe and to band H (210 nt) using the RP2 probe. The RP5 form of HNF-3/3 corresponds to band B (279 nt) using the HNF-3/3 probe,
to band D (285 nt) using the RP5 probe and to band H (210 nt) using the RP2 probe. The RP2 form of HNF-3/3 corresponds to band C (210 nt)
using the HNF-3fl probe, to band F (175 nt) using the RP5 probe and to band G (450 nt) using the RP2 probe. The intense band between bands
D and E is the result of a stretch of As and Ts in that part of the clone.(-) = free probe, Liv = adult liver, nt = El7 spinal cord, (CO) = tRNA
control.The size variation evident in the figure (e.g. the 210 bp fragment runs at 200 bases) can be explained by the fact that the protected
products run differently than the DNA markers. (C) Structure of the HNF-3fl gene, cDNA clones and position of T2 RNase-protected
fragments.The organization of the genomic structure follows the nomenclature for its expression in liver (Pani et al., 1992a) and includes two new
alternative exons (E4 and E5). There are five exons, El-E5 interrupted by two introns, I1 and 12. The HNF-3fl protein previously described in
the liver is encoded by E2 and E3. E2 is only 69 nucleotides long. The rest of the protein including the entire DNA-binding domain and the 3'
untranslated region are located in E3.The RP5 and RP2 cDNA variant sequences represent the two alternative E4 and E5 exons and match
sequences contained in the first and second liver introns, respectively. The identity of the protected fragments shown in (B) is depicted.
Transcriptional start sites for HNF-3/3 expression in neural tissue have not been determined.
|
|
Fig. 2. Midline expression of HNF-3a and -/3 in gastrula and neurula rat and mouse embryos. (A) Schematic diagrams of the early development
of rat embryos. The outline of major embryonic tissues is depicted at the early streak (E7.5), midgastrula (E8), neural plate (E9) and tailbud
(El0) stages. Hensen's node and midline cells of the notochord and floor plate are shown in bold. In E8-10 the head region is in the upper left
area. Arrows point to the regions shown in the different panels (B-G) or in Fig. 3A, D. e: epibtast; en: endoderm; fp: floor plate; n: notochord;
ps: primitive streak. (B-I) (See p. 97) (B-G) Expression of HNF-3/3 mRNA in early embryos. Rat (B-D) and mouse (E-G) embryos shown after
processing for whole mount in situ hybridization with an HNF-3/3 probe. Hybridization signal is shown in dark blue. (B) High magnification of
the tip of an early ( ~ E7.5) embryo showing expression in the endodermal and mesodermal area of the node. (C) Dorsal view of the neural plate
of an E9 embryo showing expression in midline cells. (D) High magnification of the midline region of the neural plate of the embryo in (C)
showing expression in the neural plate and underlying notochord. (E) Side view of a mouse early gastrula ( ~ E6.5) embryo showing expression in
Hensen's node, (F) Side view of a gastrulating mouse embryo ( ~ E7.5) showing expression in the receeding node and newly formed midline cells
that are primarily of endodemal origin (arrowhead). (G) Cross section of an embryo at a stage similar to that shown in (F) showing expression in
mesodermal and endodermal cells of the node. (H,I) Expression of HNF-3a protein in early embryos. Nomarski pictures of embryos labelled in
whole mount with HNF-3a antibodies after immunoperoxidase reaction. Nuclei are labelled. (H) High magnification view of the node of a neural
plate (Eg) rat embryo with expression in the node (arrowhead). (I) Overall view of the embryo in (H) showing general expression in the
embryonic endoderm. The head region is in the upper left area. The arrowhead points to the node. Scale bar: B = 50/zm; C,F = 150/zm; D = 30
/xm; E,G,H = 100/zm; I = 300 gm.
|
|
Fig. 3. Neural expression of HNF-3a and HNF-3/3 mRNAs in rat embryos. Expression of HNF-3/3 (A-C) and HNF-3a (D-F) mRNAs in the
neural tube after whole mount in situ hybridization shown in whole mount (A,D) or sections (B,C,E,F). (A,D) Side views of the trunk region of
El0-11 embryos. Arrowheads point to the ventral neural tube. See Figure 2A for orientation. (B,E) Cross sections through the trunk region of
embryos as those shown in (A,D). Note the high expression of HNF-3/3 at the ventral midline of the neural tube (B) and of HNF-3a in the gut
tube (E). (C,F) Cross sections through the spinal cord of an El3 embryo showing the specific expression of both transcription factors in the floor
plate (fp) region. Note the fiber tracts in the ventral funiculi and ventral floor plate formed by decussating axons. (G-J) Expression of HNF-3/3
mRNA in the floor plate. (G,H) Cross section through the spinal cord of an El2 embryo after in situ hybridization and counterstained with cresyl
violet shown in bright field (G) and dark field (H). (I) Dissected spinal cord and hindbrain of an El3 embryo after whole mount in situ
hybridization viewed with the plane of focus on the cut spinal cord cross section surface. (H) High magnification of the midline region of the
spinal cord of an El3 embryo shown in (I) reveals different levels of expression of HNF-3/3 mRNA in individual floor plate cells. Similar results
were observed with HNF-3a mRNA (not shown). Scale bar: A,D,G,H = 200/zm; B,E,C,F = 100/zm; I = 400/xm; J = 20/zm.
|
|
Fig. 4. (A) Nucleotide sequence of a Xenopus laevis HNF-3~ cDNA (X/~-I) isolated from a stage 11 library. The conceptual translation product
of the largest open reading frame is also shown from the ATG at nucleotide 395 to the TAG at position 1697. The 5' linker containing the Sail
site is included. The 3' linker containing the Not 1 site downstream of the poly A tail is not shown. A comparison of the 5' untranslated sequence
of the frog HNF-3/3 cDNA and the 39 nucleotide-long 5' untranslated sequence of the rat RP5 cDNA (Fig. 1B) is shown by underlining common
nucleotides in the frog and rat cDNAs. Variant bases are not underlined and those in the rat RP5 cDNA are shown at the corresponding
position on top of the frog nucleotides. This sequence has been submitted to Genbank under accession number L25637. (B) Comparison of the
amino acid sequences of rat and frog HNF-3fl, Pintallavis and rat HNF-3ct proteins. Sequences are aligned to show maximal identity. Dots refer
to artefactual spaces required to align the different sequences. Note the high degree of identity between the mammalian and amphibian HNF-3fl
genes at their amino termini, DNA-binding domain regions (positions 164-276, underlined) and the two other previously described conserved
domains towards the carboxy termini (positions 401-426 and 481-502). A characteristic feature of the HNF-3/3 sequences is the string of
histidines immediately adjacent to a conserved motif (positions 427-439). The rat HNF-3/3 and HNF-3a sequences are from Lai et al. (1991).
The Pintallavis sequence is from Ruiz i Altaba and Jessell (1992).
|
|
Fig. 5. Localization of HNF-3/3 mRNA in frog embryos. Xenopus embryos at the early gastrula stage (stage 10 (A)), late neurula/early tailbud
stage (stage ~ 24, (B)) and tadpole stage (stage 36, (C)) are shown after whole mount in situ hybridization with HNF-3/3 antisense RNA probes.
(A) View from the animal pole showing HNF-3/3 expression in the prospective endodermal region of the dorsal lip (Spemann's organizer). The
arrowhead depicts the dorsal lip. The animal cap cells of this embryo were removed to prevent background labelling accumulation in the
blastocoel. (B,C) Lateral views of the head region of early tailbud and tadpole stage showing HNF-3/3 expression in the pharyngeal endoderm
and ventral midbrain (B,C), hindbrain and spinal cord (C). Note the more dorsally located neural tube cells expressing this gene in the anterior
midbrain at tadpole stages (C). Anterior is to the left. Arrowheads indicate planes of section for E and F. (D) Lateral view of an exogastrula
embryo at stage ~ 30 showing HNF-3/3 expression only in the anterior endodermal region. No labelling was observed in the neural ectoderm.
The ectodermal portion of the exogastrula displays a typical cavity (top). (E,F) Cross sections of tadpole stage (stage 36) embryos after labelling
in whole mount as shown in (C). HNF-3/3 expression in the midbrain (E) occupies a wider region at the ventral midline of the neural tube than in
the hindbrain (F). Scale bars: (A) 120/zm; (B,C) = 100/zm; (D) = 200 tzm; (E,F) = 10/xm.
|
|
Fig. 6. Localization of HNF-3a and HNF-3fl proteins in the neural tube of E11 rat embryos. Expression of HNF-3a (A,D-I) and HNF-3fl (B,C)
at the ventral midline of the neural tube (nt) corresponding to the position of the floor plate (fp). (A) and (B) show single labelling. HNF-3a and
HNF-3fl are also expressed in the notochord (n) and gut (g) (A,B,G). Expression of HNF-3a protein in the gut tube forms a ventral-to-dorsal
gradient (not shown). (C,D) Comparison of the expression of HNF-3a and HNF-3fl with that of the floor plate-specific surface antigens FP3 and
FP4. (C) Double labelling showing the expression of HNF-3/3 (nuclear label) and FP3 (membrane label). Note the small population of HNF-3/3
expressing cells in the ventricular zone that does not express FP3 (arrow). (D) Double labelling showing the expression of HNF-3a and the onset
of FP4 expression in medial cells at the ventral midline of the neural tube and the notochord. (E,F) Expression of HNF-3a and FP3 in a neural
tube section counterstained with a DNA-binding dye to show the position of the nuclei and their profiles. (E) Double labelling showing the
position of all nuclei (blue) and those expressing HNF-3a (pink). Note the presence of HNF-3a protein in nuclei undergoing mitosis (arrows)
near the ventricle (v). (F) Double labelling of the same section showing the expression of HNF-3a and FP3 by the same set of ventral midline
cells that comprise the floor plate. (G-I) Single (G,I) and double (H) labelling of the same slightly oblique section showing the expression of
HNF-3a (G) and FP3 (I). HNF-3a is expressed both in the floor plate and in the notochord (G). FP3 expression is high in the floor plate and low
in the notochord at this stage. Scale bar for all panels = 50/~m.
|
|
Fig. 7. Localization of HNF-3a protein to the floor plate of rat embryos. (A) Overall view of a cross section of the spinal cord of an El3 rat
embryo after labelling with a fluorescent DNA-binding dye revealing the position of all nuclei. Note the weaker fluorescence of the nuclei of
postmitotic cells such as those in the ventral horns. (B) High magnification of the ventral midline region of the spinal cord of a section similar to
that in (A) showing the position of the floor plate nuclei, continuous with the ventricular zone layer. Note the nuclei-free region in the ventral
floor plate that corresponds to the fibers of commissural neurons. (C) Expression of HNF-3a protein in all floor plate nuclei (red) detected by
indirect immunofluorescence as seen in the same section shown in (B). (D) Double labelling showing expression of I-INF-3a in the floor plate
nuclei (red) and of TAG-1 (green) on the membranes of commisural axons crossing the midline in the ventral region of the floor plate. (E,F)
Double labelling showing expression of HNF-3a in the floor plate nuclei (red) and of FP4 (E) or FP3 (F) on floor plate cell membranes and fiber
tracts in the ventral floor plate (green). (G,H) High magnification view of the ventral region of a cross section of an El6 rat spinal cord showing
the position of all nuclei after labelling with a fluorescent DNA-binding dye (G) and the floor plate nuclei expressing HNF-3o~ (H). Note that at
this stage some floor plate cells are found away from the ventricular zone. (I) High magnification of a section of El3 rat liver showing expressing
of HNF-3a in hepatocyte nuclei. HNF-3/3 expression in neural tissue was restricted to the ventral neural tube up to El6. However, in addition to
its expression in endodermal organs, HNF-3/3 expression was detected at late stages (El6) in condensing cartilage (not shown). In contrast,
HNF-3a expression in El6 embryos was detected in the floor plate and in a small population of cells in the hypothalamus (not shown). Scale bar:
(A) 300/zm; (B-I) 30/xm; (J) 1 p~m; (K,L) 250/~m.
|
|
Fig. 8. Diagram summarizing the neural patterns of expression of
Pintallavis, HNF-3/3 and HNF-3a in rat and frog embryos. The
expression of HNF-3a and HNF-3/3 in rat embryos is compared to
that of Pintallavis, HNF-3]3 and HNF-3a in frog embryos (this
paper, Ruiz i Altaba and Jessell, 1992 and Bolce and Harland, 1993).
Expression of Pintallavis and mammalian HNF-3/3 is first detected
in the organizer region (dorsal lip/node) at the early gastrula stage.
As gastrulation proceeds, expression of these two transcription factors
is detected selectively in midline neural plate cells. Frog HNF-3/3
is expressed in the floor plate after neural tube closure. Pintallavis
expression is transient while that of HNF-3/3 in rats and frogs
persists at the ventral midline of the neural tube, in the floor plate
region. HNF-3a expression is first detected in the neural tube and
also persists in the floor plate. In posterior regions of the neural tube
of rat embryos, the onset of HNF-3/3 preceeds that of HNF-3a.
N/F: Niewkoop and Faber stage.
|