Click here to close
Hello! We notice that you are using Internet Explorer, which is not supported by Xenbase and may cause the site to display incorrectly.
We suggest using a current version of Chrome,
FireFox, or Safari.
Spatial and temporal transcription patterns of the forkhead related XFD-2/XFD-2' genes in Xenopus laevis embryos.
Lef J
,
Clement JH
,
Oschwald R
,
Köster M
,
Knöchel W
.
???displayArticle.abstract???
Two novel fork head related cDNA sequences, termed XFD-2 and XFD-2', have been isolated from a Xenopus laevis gastrula stage cDNA library. XFD-2 and XFD-2' proteins share 88% sequence identity; a comparison of their fork head domains yields 96% identity. Such close homology suggests that the two genes represent pseudo-allelic variants of a common ancestor and probably arose by the ancient tetraploidization event in this species. Both genes are activated at midblastula transition. Main transcriptional activity is found during blastula and gastrula stages of development; thereafter, there is a gradual decrease of transcripts until somite segregation stages. Whole mount in situ hybridisation of blastula stage embryos reveals that the genes are initially transcribed within the animal hemisphere. Subsequently, we observe their transcription in a circumferential mode along the marginal zone, i.e., within the forming mesoderm. During gastrulation, these cells enter the blastoporus at the ventral, lateral and dorsal sites. At the end of gastrula and during neural stages transcripts are localized within somitogenic mesoderm, notochord, lateral and ventral mesoderm, neural floor plate, spinal cords and in the developing brain.
???displayArticle.pubmedLink???
8199048
???displayArticle.link???Mech Dev
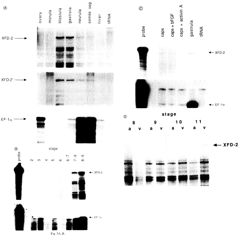
Fig. 3. RNase protection of XFD-2/XFD-2' transcripts in X. laevis embryogenesis. (A) Analysis of XFD-2/XFD-2' transcripts in ovary, different developmental stages (as indicated) and adult liver (tRNA for control). 50 �g of total RNA each were hybridised with 32p-labelled antisense RNAs of XFD-2 (428 bp BgllI/Aspl fragment) and of XFD-2' (283 bp EcoRI/Bglll fragment). The same RNAs were used for a control experiment using EF-la antisense transcripts (311 bp Pvull/Pstl fragment of pXEF7: P�ting et al., 1990). (B) Analysis of the onset of XFD-2 transcription. 50 �g total RNA isolated from early cleavage stages (stage classification according to Nieuwkoop and Faber, 1967) were hybridized with antisense RNAs of XFD-2 and EF-1α (same probes as in a.). (C) XFD-2 transcripts in isolated animal caps. Each 20 caps were dissected from blastula stage embryos and treated with l(I ng/ml chicken vegetalizing factor (activin A), with 200 ng/ml human recombinant bFGF or kept as untreated controls for 2 h. After additional 2 h of incubation in factor-free medium total RNA was isolated and subjected to RNase protection analysis with XFD-2 and EF-1α probes as decribed in (A). Gastrula stage RNA was used as additional control. (D) XFD-2 transcripts in animal and vegetal halves of blastula/gastrula stage embryos. Each 5 embryos of developmental stages 8 to 11 were dissected into animal and vegetal halves. RNAs were hybridized with XFD-2 antisense probe as in (A).
Fig. 4. Localization of XFD-2' transcripts in blastula/early gastrula stage embryos. Midblastula (A), late blastula (B) and early gastrula (C) stage embryos were analysed for the localization of XFD-2' transcripts by whole mount in situ hybridization Digoxygenin labelled antisense RNA derived from the 5'-located EcoRl/Bglll fragment of XFD-2' was used as hybridization probe. Photos were made from embryos kept in henzylbenzoate/benzylalcohol.
Fig. 5. Localization of XFD-2' transcripts in gastrula/early neurula stage embryos. (A) whole embryo: (B) equatorial section; (C) sagital section of large yolk plug stage (early to mid gastrula); (D) sagital section through early neurula. Photos were made from embryos kept in methanol, all: animal hemisphere: vH: vegetal hemisphere: vm: ventralmesoderm; dm: dorsal mesoderm; a: anterior: p: posterior.
Fig. 6. Localization of XFD-2' transcripts in neurula stage embryos. (A) Dorsal view: (13) lateral view: (C) central transverse section. Photos were made from embryos/sections kept in benzylbenzoate/benzylalcohol, n: notochord: s: somitogenic mesoderm; c: spinal cords: a: anterior: p: posterior.