Click here to close
Hello! We notice that you are using Internet Explorer, which is not supported by Xenbase and may cause the site to display incorrectly.
We suggest using a current version of Chrome,
FireFox, or Safari.
Generation of an antibody specific to Xenopus fertilized eggs by subtractive immunization.
Sakakibara K
,
Sato K
,
Iwasaki T
,
Kitamura K
,
Fukami Y
.
???displayArticle.abstract???
Here we report the generation and characterization of a monoclonal antibody, mAb 5H7-G1, which recognizes egg antigens in the animal cortex of fertilized, but not unfertilized, Xenopus eggs. The mAb 5H7-G1 was generated by subtractive immunization of mice: primary immunization with unfertilized egg extract followed by immunosuppression treatment with cyclophosphamide and repeated immunization with fertilized egg extract. In immunoblotting analysis, mAb 5H7-G1 recognizes multiple protein bands of fertilized (but not unfertilized or the ionophore-activated) Xenopus eggs. N-linked polysaccharide is most likely the target of mAb 5H7-G1 because immunoreactivity of mAb 5H7-G1 is effectively diminished when protein samples are treated with N-glycosidase F. Moreover, mAb 5H7-G1 recognizes some, but not all, tyrosine-phosphorylated proteins in eggs treated with H2O2, an artificial activator of the egg tyrosine kinase Src, suggesting that these proteins also contain N-linked sugars. When microinjected into fertilized Xenopus embryos, mAb 5H7-G1 causes a retardation or complete inhibition of first cell cleavage, suggesting that the mAb 5H7-G1-reactive antigens play an important role in this event. These results demonstrate that mAb 5H7-G1 is useful to analyze differential proteome display during fertilization and early development. More generally, subtractive immunization may work as a strategy to uncover cellular events that operate during different cellular conditions of interest.
Figure 1
Characterization of subtractive antibodies by ELISA. (A) Sera were prepared from four mice that had received four rounds of immunosubtraction with unfertilized egg extract and cyclophosphamide (CP) treatment (opened symbols) and from four others that had received the same scheme of immunization without CP treatment (filled symbols), and were assayed for reactivity with Triton X-100-solubilized Xenopus unfertilized egg extracts using ELISA at the indicated serial dilutions (1 : 500–1 : 500 000). (B) Sera were prepared from four mice that had received second immunization after CP treatment and its clearing, and subjected to ELISA at the indicated dilution points for either fertilized egg extracts (60 min post insemination) (filled symbols) or bovine serum albumin alone (opened symbols). (C-E) Purified IgG were obtained from three different hybridoma clones; 5H7-G1 (C), 7B4-E9 (D), and 8C8-B1 (E), and subjected to ELISA at the indicated IgG concentrations for unfertilized egg extracts (opened circles), fertilized egg extracts (closed circles), or bovine serum albumin alone (filled triangles). All data points are the means absorbance at 492 nm.
Figure 2
Spatial distribution of the mAb 5H7-G1 antigens in Xenopus egg before and after fertilization. Whole-mount immunocytochemistry was performed for (A) fertilized (60 min post insemination) and (B) unfertilized egg with mAb 5H7-G1 (1 µg/mL) as described in Experimental procedures. In each condition, a series of optical section (obtained with 50-µm intervals) from the bottom to the top of the dissected egg sample was visualized by fluorescent signal of FITC (b–g). Nomarski's images of the entire egg samples are shown in a. Bars are 250 µm. (C) Magnified images for a part of the animal hemisphere (a and b), the marginal zone (c and d), and the vegetal hemisphere (e and f) of fertilized egg specimens, as visualized by fluorescent signal of mAb 5H7-G1 and FITC (a, c, e) and Nomarski's interference (b, d, f). Bars are 62.5 µm.
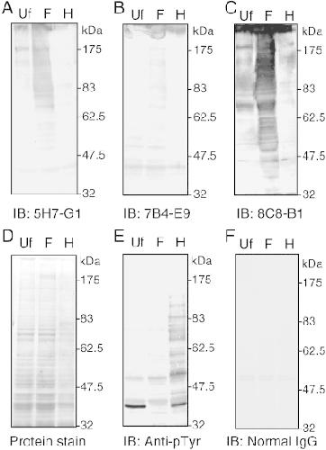
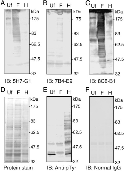
Figure 3
Fertilization-specific Xenopus egg proteome display as revealed by immunoblotting analysis with subtractive antibodies. Triton X-100-solubilized whole egg extracts (30 µg protein/lane) were prepared from unfertilized (Uf), fertilized (F, 60 min post insemination), or H2O2-treated eggs (H, 10 min at 10 mm) and separated by SDS-PAGE on 8% polyacrylamide gels. Proteins were analyzed by immunoblotting with (A) mAb 5H7-G1 (1 µg/mL) and (B) mAb 8C8-B1 (1 µg/mL) (C) mAb 7B4-E9 (1 µg/mL), (D) staining with Coomassie Brilliant Blue, (E) anti-phosphotyrosine antibody (PY99, 1 µg/mL), or (F) normal mouse IgG (10 µg/mL), as described in Experimental procedures. Prestained molecular size markers are maltose binding protein (MBP)-fusion β-galactosidase (175 kDa), MBP-fusion paramyosin (80 kDa), glutamic dehydrogenase (62 kDa), aldolase (47.5 kDa) and triosephosphate isomerase (32.5 kDa).
Figure 4
Time-dependent and fertilization-specific appearance of the mAb 5H7-G1 antigens. (A) Triton X-100-solubilized whole extracts (30 µg protein/lane) were prepared from Xenopus eggs at different times, either post insemination (0–90 min) or post A23187 treatment (20–60 min), and subjected to SDS-PAGE and immunoblotting with mAb 5H7-G1 (1 µg/mL). (B) Triton X-100-solubilized whole extracts from unfertilized (Uf), fertilized (F, 60 min post insemination), and A23187-treated eggs (A, 60 min at 0.5 µm) were analyzed by immunoblotting with mAb 5H7-G1 before (WCL, 30 µg protein/lane) or after immunoprecipitation with the same antibody (IP, 300 µg protein/lane). Arrowheads indicate the positions of IgG heavy and light chains used for immunoprecipitation.
Figure 5
Inhibition of immunoreactivity of mAb 5H7-G1 to fertilized egg antigens using N-glycosidase treatment. (A) Triton X-100-solubilized whole extracts from unfertilized (Uf) or fertilized (F, 60 min post insemination) eggs were treated in the absence or the presence of N-glycosidase or endoglycosidase H as described in Experimental procedures. Effect of heat-inactivated N-glycosidase, as indicated by +*, was also examined. Reaction products (30 µg protein/lane) were analyzed by immunoblotting with mAb 5H7-G1. (B) Triton X-100-solubilized whole cell lysates were prepared from unfertilized (Uf), fertilized (F, 60 min post insemination), or H2O2-treated eggs (H, 10 min at 10 mm), and immunoprecipitated (IP) with mAb 5H7-G1 (5 µg/mL) or anti-phosphotyrosine antibody (PY99, 10 µg/mL). The immunoprecipitates (300 µg protein/lane) as well as the whole cell lysates (WCL, 30 µg protein/lane) were separated by SDS-PAGE on 10% polyacrylamide gels and analyzed by immunoblotting with anti-phosphotyrosine antibody (PY99, 1 µg/mL). The position of a 42-kDa MAP kinase (MAPK) is indicated. Asterisks indicate the positions of protein bands that are immunoprecipitated with mAb 5H7-G1 and recognized by PY99 in H2O2-treated eggs.