Click here to close
Hello! We notice that you are using Internet Explorer, which is not supported by Xenbase and may cause the site to display incorrectly.
We suggest using a current version of Chrome,
FireFox, or Safari.
Dev Biol
1994 Mar 01;1621:123-33. doi: 10.1006/dbio.1994.1072.
Show Gene links
Show Anatomy links
Expression of magainin antimicrobial peptide genes in the developing granular glands of Xenopus skin and induction by thyroid hormone.
Reilly DS
,
Tomassini N
,
Zasloff M
.
???displayArticle.abstract???
The granular gland of amphibian skin is an epithelial derivative that first appears during metamorphosis. The granular glands of Xenopus laevis are an abundant source of magainins, a family of peptides with antimicrobial activity in vitro. We demonstrate the developmental expression and thyroid hormone induction of magainin and PGLa (peptide with aminoterminal glycine and carboxyterminal leucinamide), the two most abundant members of the magainin peptide family. Magainin and PGLa mRNA levels increase dramatically over the 2-day period between stage 58 and stage 60 and remain high during the remainder of metamorphosis. We used in situ hybridization to localize magainin and PGLa mRNAs to the developing granular gland. Magainin and PGLa peptides are also first detected during metamorphosis, as demonstrated by extraction of active peptides from stage 60 tadpoles and immunogold histochemical localization of magainin and PGLa to the granules of the skingranular gland. We demonstrate the premature induction of magainin and PGLa expression upon administration of exogenous thyroid hormone to stage 54 tadpoles. Further investigation of the developmental expression and induction of the magainin peptides will provide insight into their possible biological functions during Xenopus metamorphosis.
FIG. 1. Northern blot analysis of magainin and PGLa expression during development. Total RNA was isolated from whole Xe·nopus tadpoles
from each developmental stage shown and from adult skin. Ten micrograms of total RNA was loaded in each lane with the exception of the lane
containing 1 pg of total RNA from adult skin (SK). (A and B). The Northern blot was hybridized with the magainin eDNA clone which detects
the 1.2-kb magainin mRNA (top band) and the PGLa eDNA clone which detects the 0.5-kb PGLa mRNA (bottom band). The magainin mRNA
encodes the precursor to magainin I and magainin II. (A) A 5i"-hr exposure. Lanes containing RNA from stages 54-60 are indicated by brackets
at the top of the panel. (B) A significantly longer (8-day) exposure of the bracketed lanes, highlighting the dramatic increase in magainin and
PGLa message levels between stage 58 and stage 60. (C) The blot was rehybridized with a human actin eDNA clone to confirm the presence of
intact RNA in all lanes.
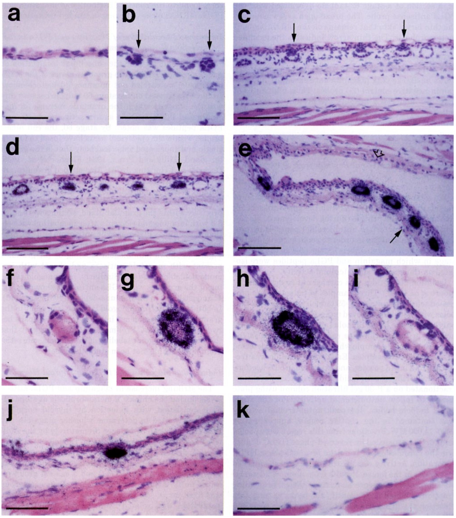
FIG. 2. Magainin and PGLa expression in the developing granular gland. Longitudinal sections of tadpoles were hybridized with 35S-Iabeled antisense riboprobes detecting magainin and PGLa mRNAs and with 35S-labeled sense probes as negative controls. Sections were counterstained with hematoxylin and eosin. Photographs are of skin of the mid-dorsal region of each tadpole unless noted otherwise. (a) Stage 56 (38
days) hybridized with PGLa antisense probe. No PGLa mRNA is detected in the thin Larval skin present at this stage. (b) Stage 58 (44 days)
PGLa antisense probe. Adult skin is beginning to form at the mid-dorsal region (3c) and on the skin of the hindlimbs (not shown). Arrows point
to nests of cells that will differentiate to form mature granular glands. No significant levels of magainin or PGLa mRNAs are detected by in situ
hybridization. (c, d) Stage 60 (46 days) serial sections hybridized with (c) PGLa-negative control and (d) antisense PGLa probes. The dramatic
increase in PGLa mRNA is detected at this stage. Arrows point to developing granular glands with strong positive signal for PGLa mRNA. (e)
Stage 62 section hybridized with PGLa antisense probe. Longitudinal sections show the developing hindlimb and the base of the regressing tail.
The sections are oriented with the tail to the upper right and developing hindlimb at the lower left of the field. Broad arrow points to the thin,
larval skin of the regressing tail. Thin arrow points to the granular glands in the skin of the hindlimb. There is an abrupt transition from larval
skin of the tail to the post metamorphic adult skin of the hindlimb. (f-i) Stage 66 (58 days). Serial sections hybridized with (f) PGLa control, (g)
PGLa antisense, (h) magainin antisense, and (i) magainin control probes. Magainin and PGLa are expressed at high levels in the same cell. Note
heavy distribution of grains at the periphery of the granular gland. (The granular glands of the adult froglet contain high levels of magainin
and PGLa mRN As). (j, k) Thyroid hormone induction of magainin expression in the granular gland of Xenopus skin. Longitudinal sections from
stage 54 tadpoles maintained for 7 days in the presence (j) or absence (k) of 5 nm T8 (see Materials and Methods). Both sections were hybridized
with the magainin antisense probe. Note development of adult skin (j) with high levels of magainin mRNA in the granular gland. In contrast, no
magainin mRNA is detected in the thin larval skin of the untreated, control tadpole (k). Bars: a, b, 50 pm; c-e, 100 I-'m; f- i, 50 p.rn; j, k. 65 J~ffi .
FIG. 3. Isolation of antimicrobial peptides from stage 60 tadpoles. Reversed-phase HPLC chromatogram of fractions from P-30 column.
Fractions 24-40 were pooled and Loaded onto a C18 column and eluted with a linear gradient of acetonitrile in aqueous triftuoracetic acid. Arrows
indicate fractions which were purified and sequenced. Solid line, absorbance; dashed line, percentage of acetonitrile.
FIG. 4. Immunogold labeling of the skin granular gland. (a) magainin antiserum (1:300 dilution), (b) magainin immune-depleted serum (1:300
dilution), (c) PGLa antiserum (1:300 dilution), and (d) immune-depleted antiserum. Magainin and PGLa immunoreactivity is localized to the
granules (a, c) and is not found in the cytoplasmic space between the granules. Thin arrow indicates gold particles (a). Broad arrow (a, b)
indicates granules of the granular gland. Bar, 1 iJm.
FIG. 5. Induction of magainin and PGLa by thyroid hormone. Stage
54 tadpoles \vere maintained for 7 days in the presence (T8) or absence
(C) of 5 nm T, (see Materials and Methods). Top: Northern blot of 10 pg
of total RNA from C and T, tadpoles hybridized with magainin eDNA
and PGLa eDNA probes. Both magainin (1.5 kb) and PGLa (0.5 kb)
mRNA levels increase after administration of T3 ⢠Bottom: the same
filter was hybridized with an actin eDNA to demonstrate equal
amounts of RNA in both Janes.