Click here to close
Hello! We notice that you are using Internet Explorer, which is not supported by Xenbase and may cause the site to display incorrectly.
We suggest using a current version of Chrome,
FireFox, or Safari.
???displayArticle.abstract???
We have isolated a cDNA of the DEAD protein family from a Xenopus ovary cDNA library. Northern hybridization revealed that the mRNA corresponding to the cDNA [XVLG1 (Xenopus vasa-like gene)] was specifically expressed in adult testis and ovary. The deduced amino acid sequence of XVLG1 was relatively homologous to that of Drosophila vasa. XVLG1 protein was found to be expressed exclusively in adult testis and ovary by immunoblotting with a monoclonal antibody against XVLG1 protein. Immunocytological study showed that XVLG1 protein was expressed in oogonia, oocytes, spermatogonia, spermatocytes, and also in primordial germ cells in stage 46 tadpoles. The monoclonal antibody used in this study specifically stains germ line cells and is useful both as a germ cell lineage marker and in biochemical studies of germ cells.
Fig. 6. Distribution of XVLG1 protein in germ cells of adult gonads. Sections of adult testis and ovary were reacted with anti-XVLG1
antibody, followed with alkaline phosphatase (AP)-labeled anti-mouse o antibody. Positive cells are stained purple. Magnifications are
indicated as bars under each figure. (A) A section of the seminiferous tubules of the testis. Spermatocytes (SC) are strongly stained and
spermatids (ST) are slightly stained, but spermatozoa (SP) are not stained at all. Some cells (arrows), in which the nucleus is stained, are
thought to be primary spermatogonia (SG). (B) A schematic drawing of A. (C) A section of the ovary. The cytoplasm of early stage oocytes is
strongly stained. The dark materials in the matured oocyte are melanin, not stained. (D) A section of the ovary. Stage VI oocyte was stained.
The nuclear envelope and its vicinity are stained weakly as dot-like structures.
Fig. 7. Distribution of XVLG1 protein in germ cells of embryonic gonads. Magnifications are indicated as bars under each figure. Top of each
figure is dorsal and bottom, ventral. (A) A transverse section of a stage 46 tadpole. The section was reacted with anti-XVLG1 antibody, followed
with AP-labeled second antibody. (B) A higher magnification of the rectangle in A. The cytoplasm of PGCs, located in the genital ridges (arrow)
having many yolk platelets inside, is stained. Most of the dark materia) is melanin, not stained. Wd, Wo)flian duct; In, intestine. (C-1) A
phase-contrast micrograph of a transverse section of a male, stage 54 tadpole. Only the gonadal region is shown. An arrow indicates a
spermatogonium in the gonad which is positive by fluorescent microscopy in C-2. (C-2) The same section as shown in C-1 which was reacted with
anti-XVLGI antibody, followed with FITC-labeled anti-mouse IgG antibody. Only a spermatogonium (arrow) is stained. Above all, the cyto
plasm, not the nucleus, is positive. (D-1) A phase-contrast micrograph of a transverse section of a female, stage 54 tadpole. Only the gonadal
region is shown. An arrow indicates an oogonium in the gonad which is positive in O-2. (D-2) The same section as shown in D-1 with anti-XVLGI
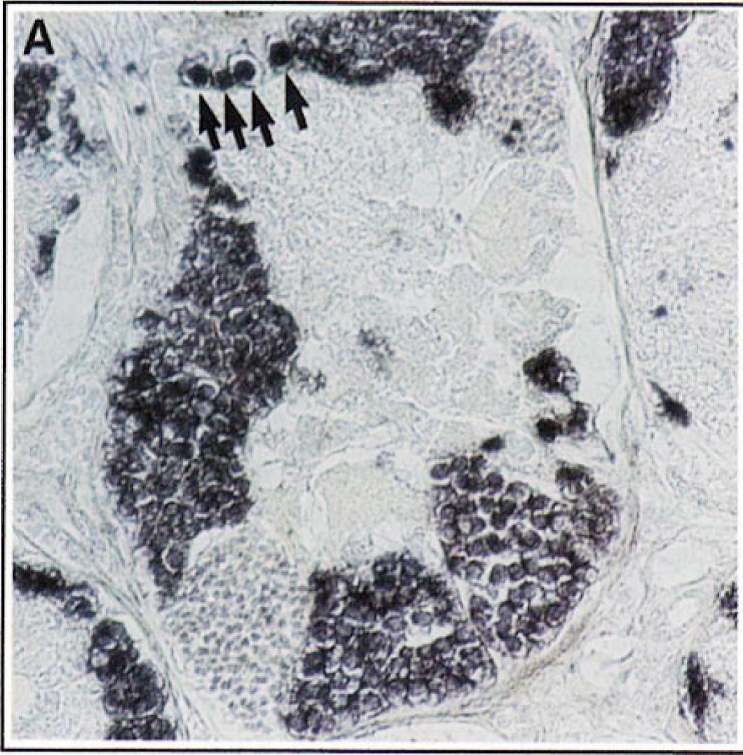
ddx4 (DEAD (Asp-Glu-Ala-Asp) box polypeptide 4) expression in sections of adult gonad detected by immunohistochemistry.
(A) A section of the seminiferous tubules of the testis. Spermatocytes (SC) are strongly stained and
spermatids (ST) are slightly stained, but spermatozoa (SP) are not stained at all. Some cells (arrows), in which the nucleus is stained, are
thought to be primary spermatogonia (SG).