Click here to close
Hello! We notice that you are using Internet Explorer, which is not supported by Xenbase and may cause the site to display incorrectly.
We suggest using a current version of Chrome,
FireFox, or Safari.
???displayArticle.abstract???
We have examined the role of two RSRF/MEF2 proteins in the onset of skeletal and cardiac muscle differentiation in early Xenopus embryos. In normal development, zygotic expression of SL1 (MEF2D) precedes that of SL2 (MEF2A) by several hours, but neither gene is expressed prior to the accumulation of MyoD and Myf5 transcripts in the somitic mesoderm. Ectopic expression of the myogenic factors in explants of presumptive ectoderm induces expression of both SL1 and SL2, whereas in reciprocal experiments, neither RSRF protein activates the endogenous myoD or Myf5 genes. We conclude that SL1 and SL2 lie downstream of these myogenic factors in the skeletal myogenic pathway. SL1 is distinguished from SL2 in being expressed in the presumptive heart region of the early tailbudembryo, prior to detection of any markers for cardiac muscle differentiation. Furthermore, ectopic SL1 induces the expression of an endogenous cardiac muscle-specific myosin light-chain (XMLC2) gene in cultured blastula animal pole explants, whereas SL2 has no comparable effect. These results demonstrate that in addition to a possible role in skeletal myogenesis, SL1 also acts in vivo as a regulator of cardiac muscle-specific transcription.
???displayArticle.pubmedLink???
7926733
???displayArticle.link???Genes Dev
Figure 1. Sequential expression of XmyoD and the RSRF genes
during early development. RNAs from successive stages of development
from blastula (stage 8) to mid-neurula (stage 15) were
analyzed by RNase protection assay for the presence of XmyoD
(A), SL1 (B), cardiac actin (C), and SL2 (D) transcripts. Total
RNA (101~g) was used for each assay. For each probe, the positions
of protected fragments (solid arrows) and undigested probe
(open triangles) are inidicated.
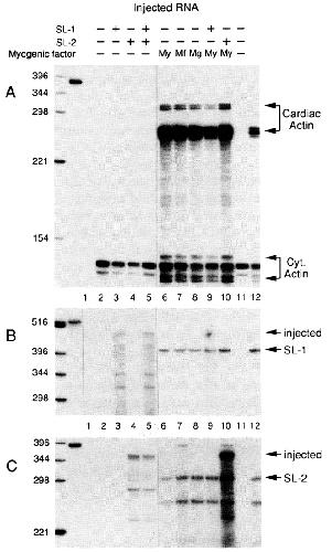
Figure 2. Ectopic expression of MyoD proteins activates RSRF
gene transcription in animal pole explants. Fertilized eggs were
injected with RSRF and myogenic factor RNAs, cultured until
blastula stage, and dissected to obtain animal pole explants.
These were cultured until mid-late neurula stage and analyzed
by RNase protection assay for the presence of cardiac actin (A),
SL1 (B), and SL2 (C) transcripts. (Lane 1) 10 ~g of tRNA (control);
(lanes 2,1 I) uninjected; (lanes 3-5) SLI, SL2, and an equimolar
combination of the two, respectively; (lanes 6-8)XE12 in
combination with XmyoD (My), Xmyf5 (Mj) and mouse myogenin
(Mg), respectively; (lanes 9,10) XE12/XmyoD with SL1
and SL2, respectively; (lane 12) total RNA from neurula (stage
18) embryos. The equivalent of five explants was analyzed in
each assay. Approximate size markers were provided by an endlabeled
HinfI digest of pBR322 and are shown adjacent to undigested
probe. Full-length protected fragments are indicated. The
cardiac actin probe cross-hybridizes with ubiquitous cytoskeletal
actin transcripts that give rise to a cluster of partial protection
products (indicated in A). In B and C, the presence of the
injected, synthetic RNA gives rise to a protected band that is
larger than that obtained from the endogenous RSRF mRNA. (A
background smear was also observed routinely with injected
samples). The SL2 probe detects a second endogenous mRNA
that is coexpressed with SL2 and produces a smaller protected
fragment.
Figure 3. SL1 expression in the prospective heart region of tailbud
embryos. RNA from anterior-dorsal (D) and anterior-ventral
(V) fragments of embryos was analyzed by RNase protection
assay for the presence of cardiac actin, XMLC2, SL-1, and SL-2
transcripts (A-D, respectively). The equivalent of five fragments
was used in each assay. Samples were also tested for the
presence of a myotomal muscle-specific marker (labeled
"XMHC") (Logan and Mohun 1993), detected using a probe for
XMHCa RNA (E). Explants were dissected from late neurula
(stage 18) to late tailbud (stage 28) embryos.
Figure 4. (A) Nucleotide sequence of a
Xenopus MLC2 cDNA. The nucleotide sequence
is derived from two, overlapping
cDNA isolates, hXMLC2-5 contained the
entire sequence shown except exon 5 (nucleotides
393-441). This was present in a
partial cDNA, hXMLC2-12, which lacks
the first 260 nucleotides of the sequence.
The predicted XMLC2 polypeptide sequence
is shown, as is a putative poly(A)
addition sequence (bold). (B) Comparison of XMLC2 and other vertebrate MLC2 proteins. The XMLC2 polypeptide sequence is aligned with the human atrial (Hailstones et al.
1992}, human ventricular (EMBL accession $221011, chick (Winter et al. 1985), and rat (Henderson et al. 1989)MLC2 sequences. These
are arranged in order of similarity to the frog sequence as determined by use of the UWGCG Pileup program. Only residues that differ
from the frog sequence have been shown, and gaps (dashes} have been introduced to permit optimal alignment.
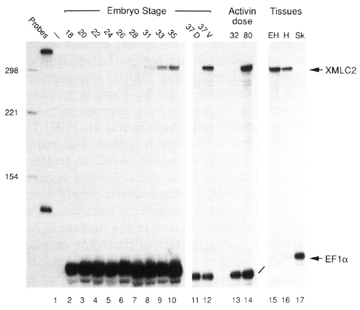
Figure 5. XMLC2 expression during development. Total RNA
from embryos, cultured explants, and tissues was tested for
XMLC2 mRNA by use of an RNase protection assay. (Lane 1)
tRNA control; (lanes 2-10) two embryos from neurula to tadpole
stages of development (stages 18-35, as indicated); (lanes
11,12) five anterior-dorsal (D) and anterior-ventral (V) regions
of swimming tadpoles (stage 37); (lanes 13,14) the equivalent of
five blastula animal pole explants treated with 32 or 80 U/ml of
activin A and cultured until stage 42; (lanes 15-17) two tadpole
(stage 42) heart tubes (EH), 0.5 txg of adult heart (H), and 10 ~g
of adult skeletal muscle (Sk). As an internal control, a probe for
EF1 a mRNA was included in each assay. An end-labeled HinfI
digest of pBR322 was used for approximate size markers.
Figure 6. XMLC2 is a marker for terminal differentiation of
cardiac muscle in Xenopus embryos. The distribution of
XMLC2 RNA was examined by use of albino embryos and
digoxigenin-labeled probes. Staining was detected first in stage
28/29 tadpoles in the presumptive heart region and was subsequently
confined to the developing heart tube. A stage 32 embryo
is shown before (a) and after (b) clearing. In later stages,
staining was detected in both atrial and venticular chambers of
the beating tadpoleheart. No staining was detected with a sense
control probe.
Figure 7. Ectopic expression of SL1 activates XMLC2 gene
transcription in animal pole explants. Cultured animal pole explants
from injected embryos were analyzed by RNase protection
at the neurula stage for expression of the heart-specific
XMLC2 gene. Levels of EFla mRNA were monitored in the
same assay. (P) Undigested probe; (lane 1) 10 ~g of tRNA; (lane
2) control explants (uninjected); (lanes 3-5) explants from embryos
injected with SL1 and SL2 RNA, individually or in combination
(as indicated); (lanes 6, 7) 5 ~tg of late neurula (stage 20)
and tadpole (stage 37) RNA, respectively. (Size markers as in
earlier figures).