Click here to close
Hello! We notice that you are using Internet Explorer, which is not supported by Xenbase and may cause the site to display incorrectly.
We suggest using a current version of Chrome,
FireFox, or Safari.
Dev Biol
1994 Sep 01;1651:86-94. doi: 10.1006/dbio.1994.1236.
Show Gene links
Show Anatomy links
Isoform transition of contractile proteins related to muscle remodeling with an axial gradient during metamorphosis in Xenopus laevis.
Nishikawa A
,
Hayashi H
.
???displayArticle.abstract???
For clarification of the mechanism of hormonally and spatially regulated larval-to-adult conversion of skeletal muscle, changes in the expression of muscle contractile proteins were examined during metamorphosis of Xenopus laevis. Analysis by electrophoresis revealed that isoforms of myosin heavy chain (MHC) switched from larval to adult type and adult-specific beta-tropomyosin (TM) appeared during metamorphosis in addition to preexisting alpha-TM. Distinct regional differences in isoform transition were apparent. Isoform changes started at stage 54 in the hindlimb and at stage 57 in the body. However, no change in the tail occurred. Immunohistochemical examination was performed to analyze isoform transition in dorsal body muscle. Before metamorphosis (stage 53), only a small number of muscle fibers at the dorsomedial part of dorsal muscle expressed "adult-type" muscle proteins. During metamorphosis the adult-type area gradually expanded from dorsal to ventral slides with an anteroposterior gradient with increase in adult-type (adult-type MHC and beta-TM-positive) muscle fibers. Thus, there is a gradient in isoform transition. In addition, adult-type fibers showed smaller diameter than larval-type fibers and DNA synthesis occurred in dorsal muscle with an anteroposterior gradient before the isoform transition, suggesting that new myogenesis of adult-type fibers proceeds with a gradient during metamorphosis. Also, degenerating fibers were observed only in the larval-type area. These results suggest that isoform transition is achieved by new proliferation of adult-type myoblasts and death of preexisting larval-type fibers, not by change in gene expression within the same cell.
FIG. 1. Protein profiles of larval and adult dorsal body muscle. Proteins
(50~) extracted from dorsal body muscle in stage 54 tadpoles
(A) or adult frogs (B) were subjected to IEF/SDS-PAGE (14%). The
gels were stained with CBB. Arrows in A and B show larva-specific
and adult-specific spots, respectively. Arrowheads show a-TM (bottom)
and P-TM (top). En, enolase; Ac, actin; CK, creatin kinase.
F IG. 2. Developmental changes in MHC isoform expression. Muscle
of different regions, body (A), tail (B), and hindlimb (C), was dissected
from tadpoles at various stages (lane 1, stage 55; lane 2, stage 58; lane
3, stage 61; lane 4, stage 63) and an adult frog (lane 5) and dissolved in
SDS-sample buffer. Extracted proteins (L l'g) were applied onto SDSPAGE
(4% ). For the hindlimb at stage 55 (lane 1 of C), t he sample was
loaded 10 times (10 l'g) to detect MHC si nce the amounts of musclespecific
proteins per lysate were about 10 times less than in other
cases. The gels were stained with CBR Arrowheads indicate positions
of the two MHC isoforms: a, adult-type MHC; b, larval-type MHC.
FIG. 3. (A) Developmental changes of a- and 13-TM expression. Muscle
in each region, body, tail, and hindlimb, was dissected from tad-
1J0les at stages 54-63 and an adult frog (Ad) and dissolved in lysis
buffer. Each extract (541'g) was applied onto IEF/SDS- PAGE (14% ).
The gels were stained with CBB. Only Tivl -containing areas are shown
in each panel. Arrowheads indicate positions of a-TM (bottom) and fJ·
TM (top). (B) Changes in ra tios ofTM i~oforms during metamorphosis.
The ratio (%)of P-TM to total TM content was calculated from densitometric
analysis of A and is shown on the ordinate. The abscissa
shows developmental stages; (0) body; (• ) hindlimb; (C.) tail.
Fm. 4. Expression patterns of a- and {l-TM along the anteroposterior
axis in larval axial muscle. Axial muscle fr·om stage63 (A) or stage
64 (B) tadpoles was cut perpendicular to the body axis into five (lanes
1-5 in A) or three parts (Janes 1-3 in B) anterioposteriorly. Each fragment
was dissolved in SDS-sample buffer. The samples (10 llg) were
applied onto SDS- PAGE (10%). The gels were stained with CBB. The
data of itnmunoblotting (Fig. 5) showed that the two bands indicated
by arrowheads corresponded to <r-TM (bottom) or P-TM (top).
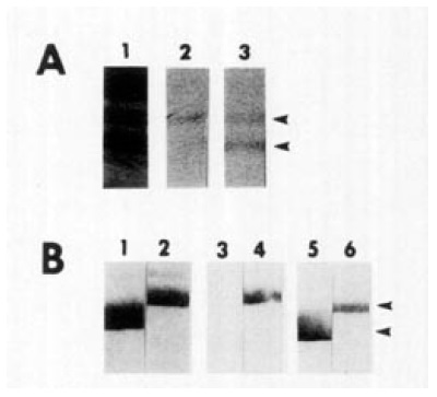
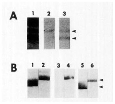
FIG. 5. Specificity of ant.i-TM (A) and anti-myosin antibodies (B).
(A) Extract from adult thigh muscle was electrophoresed (10%
PAGE) and transferred to membranes. The blots were stained with
CBB (lane 1) or immunostained with TM228 (lane 2) or TM311 (Jane
3). Arrowheads show positions of «-TM (bottom) and P-TM (top). (B)
Extracts from stage 52 larval tail muscle (lanes 1, 3, and 5) or adult
dorsal body muscle (lanes 2, 4, and 6) were electrophoresed (4%
PAGE) and transferred to membranes. The blots were stained with
CBB (lanes 1 and 2) or immunostained with anti-myol!in antibodies,
M¥32 (lanes 3 and 4), and MY414 (lanes 5 and 6). The arrowheads show
positions of adult-type MHC (top) and lar·val-type MHC (bottom}.
F IG. 6. Immunohistochemical analysis ofTM and MHC expression in body dorsal muscle before and after metamorphosis. Serial cross sections
of stage 52/53 tadpoles (A to C and F to H) and adult frogs (D and E) were reacted with TM311 (B and D), TM228 (C and E), MY414 (G), or MY32
(H). Sections in A and Fare negative cont rols (no primary antibody). SC, spinal cord. Arrows and arrowheads inC and H show area expressing
13-TM (C) or adult-type MHC (H). Bars inC and H represent 100 I'm.
FIG. 7.lmmunohistochemical patterns of ,1]-TM expression in dorsal body muscle in metamorphosing tadpoles. (A- D) Body cross soctions were
made at various pos itions on the anteroposterior axis from a tadpole at stage 63 and immunostained with TM228. Sections (A to D) are arranged
anterioposteriorly. SC, spinal cord. The bar in D shows 100 11m. The degenerated muscle fibers are enclosed with broken circles. Note that the
diameters of P-TM-positive fibers are smaller than those of P-TM-negative fibers and that the positive area size is larger in anterior sections. (E
and F) Sagittal sections of dorsal muscles at stage 59 (E) and stage 61 (F) were immunostained with TM228. The numbers (1-61 show the
arrangement of muscle segments from anterior to posterior in this order. Top, dorsal side. Bottom, ventral side. In an earlier stage (stage 59),
only two anteriormuscle segments (1 and 2) were positively stained. In a latter stage (stage 61), positive ar~~a expanded from segment l to
segment 6. The bar in F shows 200 pm.
F IG. 8. Size distribution of P-TM-positive and -negative muscle fi bers
in metamorphosing tadpoles. Dor5al musele fiber diameter in Figs.
7A-7D was measured. This parameter was classed into 15sizes, within
an interval of 10 11m in each case. P-TM-positive and -negative fibers
are indicated by filled or open columns, respectively. A-D correspond
to Figs. 7 A-7D.
Ftc. 9. Activity of DNA synthesis in dorsal muscle during .metamorphosis.
Tadpoles at various stages were incubated in tap water containing
[8H]thymidine for 18 hr at 25â¢C. Dorsal muscle was dissected
from each tadpole, cut into three parts (A, M, P), and lysed in lysis
butler. The DNA was extracted from the lysate and used for determining
DNA content and counting radioactivity. The mean value of spe·
cific activity of DNA synthesis (dpm/ 11g of DNA/ 18 hr) for several
tadpoles at the same stage was shown in the ordinate. The number in
parentheses shows the number of tadpoles used for each stage. Two
independent experiments, one of which is shown in this figure, were
performed and equivalent results were obtained.
FIG.lO. Hormonal regulation of synthesis of myosin heavy chains in
vivo. Tadpoles were incubated for 3 days in tap water cont aining no
hormone (control; Cont), 10-8 M T3 (T3 ), or 10-8 MT3 plus 5 X 10-1 M
hydrocortisoM (T~ + HC). Muscle of three different parts (body, tail,
and hindlimb) was dissected and labeled wi th 308-amino acids for 18
hr. Tissue was extracted and subjected to SDS-PAGE (4%). The same
amount of 3&s-labeled protein (2 X 10• dpm) was loaded to each lane.
Labeled protein$ were detected by autoradiography. The datu of immunoblotting
(Fig. 5) showed that the two bands indicated by arrowheads
corresponded to adult-type MHC (top) or larval-type MHC
(bottom).
FIG. 11. Graded eJ<pression of adult-type muscle protelns during
metamor phosis. Just before metamorphosis, some adult-type muscle
fib ers were present along the dorsomedial edge of dorsal muscle and
expressed P-TM and adult-type MHC. During metamorphosis, adul ttype
areas expanded from dorsomedial to ventrolateral sides with an
anteroposterior gr adient, and eventually all dorsal muscle became
adult-type. These events were due to cell replacement with secondary
myogenesis initiated from the dorsomedial edge of dorsal muscle and
degeneration of preexisting larval-type muscle fibers both in the body
and tail. The involvement of T3 and glucocorticoid is suggested.