Click here to close
Hello! We notice that you are using Internet Explorer, which is not supported by Xenbase and may cause the site to display incorrectly.
We suggest using a current version of Chrome,
FireFox, or Safari.
Identification and characterization of a novel mammalian Mg2+ transporter with channel-like properties.
Goytain A
,
Quamme GA
.
???displayArticle.abstract???
Intracellular magnesium is abundant, highly regulated and plays an important role in biochemical functions. Despite the extensive evidence for unique mammalian Mg2+ transporters, few proteins have been biochemically identified to date that fulfill this role. We have shown that epithelial magnesium conservation is controlled, in part, by differential gene expression leading to regulation of Mg2+ transport. We used this knowledge to identify a novel gene that is regulated by magnesium. Oligonucleotide microarray analysis was used to identify a novel human gene that encodes a protein involved with Mg2+-evoked transport. We have designated this magnesium transporter (MagT1) protein. MagT1 is a novel protein with no amino acid sequence identity to other known transporters. The corresponding cDNA comprises an open reading frame of 1005 base pairs encoding a protein of 335 amino acids. It possesses five putative transmembrane (TM) regions with a cleavage site, a N-glycosylation site, and a number of phosphorylation sites. Based on Northern analysis of mouse tissues, a 2.4 kilobase transcript is present in many tissues. When expressed in Xenopus laevis oocytes, MagT1 mediates saturable Mg2+ uptake with a Michaelis constant of 0.23 mM. Transport of Mg2+ by MagT1 is rheogenic, voltage-dependent, does not display any time-dependent inactivation. Transport is very specific to Mg2+ as other divalent cations did not evoke currents. Large external concentrations of some cations inhibited Mg2+ transport (Ni2+, Zn2+, Mn2+) in MagT1-expressing oocytes. Ca2+and Fe2+ were without effect. Real-time reverse transcription polymerase chain reaction and Western blot analysis using a specific antibody demonstrated that MagT1 mRNA and protein is increased by about 2.1-fold and 32%, respectively, in kidney epithelial cells cultured in low magnesium media relative to normal media and in kidney cortex of mice maintained on low magnesium diets compared to those animals consuming normal diets. Accordingly, it is apparent that an increase in mRNA levels is translated into higher protein expression. These studies suggest that MagT1 may provide a selective and regulated pathway for Mg2+ transport in epithelial cells.
Figure 1. Primary amino acid sequence of human hMagT1. Human MagT1 was aligned with human candidate tumor suppressor sequence, N33, and the human implantation associated protein, designated IAP. The six predicted transmembrane domains are overlined and numbered. The amino acid numbers corresponding to the MagT1 protein are shown on the left side.
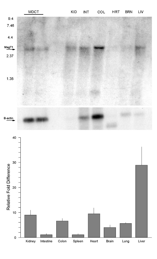
Figure 2. Tissue distribution of mMagT1 mRNA. A, Northern blot analysis of mMagT1 mRNA in MDCT cells or mouse tissues. Tissues were harvested and poly(A)+ RNA prepared by standard techniques. Each lane was loaded with 8 µg of poly(A)+ RNA. The same blot was stripped and hybridized with 32P-labeled β-actin as a control for loading. B, real-time reverse transcription PCR analysis of mMagT1 RNA in tissues harvested from mice maintained on normal magnesium diet. mMagT1 and murine β-actin RNA was measured with Real-Time RT PCR (AB7000TM, Applied Biosystems) using SYBR GreenTM fluorescence. Standard curves for MagT1 and β-actin were generated by serial dilution of each plasmid DNA. The expression level of the mMagT1 transcript was normalized to that of the mouse β-actin transcript measured in the same 1.0 μg RNA sample. Results are normalized to the small intestine and expressed as fold-difference. Mean mRNA levels of kidney, colon, heart, brain, lung, and liver tissues were significantly greater, p>0.01, than small intestine ans spleen.
Figure 3. Tissue distribution of mMagT1 protein. A. Western blots of membrane proteins from tissue extracts. Extracts were prepared from tissues as described under “Experimental Procedures”. MagT1 bands were probed with anti-MagT1antibody. Molecular sizes are expressed in kDa of pre-stained standards are shown on the left of each of the representative blots. B, summary of 38 kDa MagT1 protein in 15 μg total protein from various mice tissues. Data were obtained from 3 different mice and are indicated as the mean ± SEM. C, specificity of anti-MagT1 antibody. The fractions isolated from normal and magnesium-depleted MDCT cells were blotted with MagT1 antibody and MagT1 antibody preadsorbed with excess antigen peptide. The signal was reduced to background levels when preadsorbed antibody was used indicating that the antibody was specific to MagT1.
Figure 4. Mg2+-evoked currents in Xenopus oocytes expressing hMagT1 RNA transcripts. Current was continuously monitored in a single oocyte expressing hMagT1 clamped at -100 mV and superfused for the period indicated, first with modified Barth’s solution containing 0 mM magnesium then with 2.0 mM magnesium and finally returning to magnesium-free solution.
Figure 5. Mg2+-evoked currents in Xenopus oocytes expressing hMagT1. Current-voltage relationships obtained from linear voltage steps from -150 mV to +25 mV in the presence of Mg2+-free solutions or those containing the indicated concentrations of MgCl2. Oocytes were clamped at a holding potential of -15 mV and stepped from -150 mV to +25 mV in 25 mV increments for 2 s at each of the concentrations indicated. Shown are average I-V curves obtained from control H2O-injected (n = 13) or MagT1-expressing (n =/>7) oocytes. Note, the positive shift in reversal potential, indicated by arrows, with increments in magnesium concentration. Values are mean ± SEM of observations measured at the end of each voltage sweep for the respective Mg2+ concentration.
Figure 6. Association of Mg2+ currents with the expression of 38 kDa MagT1 protein in Xenopus oocytes injected with MagT1 cRNA. Oocytes were selected from one frog according to the expressed Mg2+ currents as shown. Results illustrated is representative of four oocyte preparations from different animals. The relative amplitude of Mg2+ currents was associated with the amount of MagT1 protein determined by Western blot analysis.
Figure 7. Summary of concentration-dependent Mg2+-evoked currents in MagT1-expressing oocytes using a holding potential of -125 mV. Mean ± SEM values are those given in Fig. 1A. Inset illustrates an Eadie-Hofstee plot of concentration-dependent Mg2+-evoked currents demonstrating a Michaelis constant of 0.23 mM.
Figure 8. Characterization of Mg2+-evoked currents in Xenopus oocytes expressing hMagT1. A, effect of pH on Mg2+-evoked currents. Currents were measured in standard solutions containing 2.0 mM MgCl2 at the pH values indicated. B, summary of mean currents with external pH at a holding potential of -125 mV. Mg2+ did not evoke currents in H2O-injected oocytes at any of the pH values tested.
Figure 9. Substrate specificity of MagT1 following application of test cations, 2.0 mM, in the absence of external Mg2+. For clarity, only Mg2+,Cu2+, Mn2+, and Sr2+ are represented in panel A. Oocytes were clamped at a holding potential of -15 mV and stepped from -150 mV to +25 mV in 25 mV increments for 2 s for each of the cations. Values are mean ± SEM of currents measured at the end of each voltage sweep for the respective divalent cation. B, summary of permeabilities of the tested divalent cations. Figure illustrates average permeability ratios (Erev for tested cation relative to Erev for Mg2+) given in Fig. 9A.
Figure 10. Inhibition of MagT1-mediated currents. A,inhibition of Mg2+-evoked currents with 0.2 mM test cation in the presence of external 2.0 mM Mg2+. For clarity, only Cu2+, Mn3+, and Zn2+ relative to Mg2+ are represented. Values are mean ± SEM of currents measured at the end of each voltage sweep for the respective cation. B, summary of inhibition by multivalent cations of Mg2+ currents based on the change in Erev represented in Fig. 10A. The inhibitor was added with MgCl2 and voltage-clamp was performed about 5 min later.
Figure 11. Effect of voltage-dependent channel antagonists on MagT1-mediated currents. A, the antagonists nifedipine (10 µM) and nitrendipine (10 µM), or the agonist, Bay K8644 (10 µM), were added prior to determining Mg2+-evoked currents. B, summary of mean currents (I µA) with the respective inhibitors at a holding potential (Vm) of -125 mV (n=7). The analogues were added 5 min prior to voltage-clamping.
Figure 12. MagT1 mRNA expression is responsive to magnesium. Where indicated MDCT cells were cultured in normal (1.0 mM) or low (<0.01 mM) magnesium media for 16 h. Kidney cortical tissue was harvested from mice on normal (0.05% by weight) or low magnesium (<0.01%) diets for 5 days. MagT1 and murine β-actin RNA was measured with Real-Time RT PCR (AB7000TM, Applied Biosystems) using SYBR GreenTM fluorescence. Data is from 10-12 PCRs performed on five separate cultures or animals in each group maintained on low and normal magnesium.
Figure 13. MagT1 protein expression is responsive to magnesium. Western blots of membrane proteins from cells and tissues as described under “Experimental Procedures”. MagT1 bands were probed with anti-MagT1antibody. Data are from four Western blots performed on five separate cultures or animals in each group maintained on low and normal magnesium.
Bui,
The bacterial magnesium transporter CorA can functionally substitute for its putative homologue Mrs2p in the yeast inner mitochondrial membrane.
1999, Pubmed
Bui,
The bacterial magnesium transporter CorA can functionally substitute for its putative homologue Mrs2p in the yeast inner mitochondrial membrane.
1999,
Pubmed
Cefaratti,
Differential localization and operation of distinct Mg(2+) transporters in apical and basolateral sides of rat liver plasma membrane.
2000,
Pubmed
Chubanov,
Disruption of TRPM6/TRPM7 complex formation by a mutation in the TRPM6 gene causes hypomagnesemia with secondary hypocalcemia.
2004,
Pubmed
,
Xenbase
Cole,
Inherited disorders of renal magnesium handling.
2000,
Pubmed
Dai,
Intracellular Mg2+ and magnesium depletion in isolated renal thick ascending limb cells.
1991,
Pubmed
Dai,
Magnesium transport in the renal distal convoluted tubule.
2001,
Pubmed
Eide,
The SLC39 family of metal ion transporters.
2004,
Pubmed
Flatman,
Magnesium transport across cell membranes.
1984,
Pubmed
Günther,
Mechanisms and regulation of Mg2+ efflux and Mg2+ influx.
1993,
Pubmed
Hockerman,
Molecular determinants of drug binding and action on L-type calcium channels.
1997,
Pubmed
Knauer,
The oligosaccharyltransferase complex from Saccharomyces cerevisiae. Isolation of the OST6 gene, its synthetic interaction with OST3, and analysis of the native complex.
1999,
Pubmed
Kolisek,
Mrs2p is an essential component of the major electrophoretic Mg2+ influx system in mitochondria.
2003,
Pubmed
Lee,
Expression and characterization of human transient receptor potential melastatin 3 (hTRPM3).
2003,
Pubmed
Moncrief,
Magnesium transport in prokaryotes.
1999,
Pubmed
Monteilh-Zoller,
TRPM7 provides an ion channel mechanism for cellular entry of trace metal ions.
2003,
Pubmed
Nadler,
LTRPC7 is a Mg.ATP-regulated divalent cation channel required for cell viability.
2001,
Pubmed
Pizzonia,
Immunomagnetic separation, primary culture, and characterization of cortical thick ascending limb plus distal convoluted tubule cells from mouse kidney.
1991,
Pubmed
Quamme,
Presence of a novel influx pathway for Mg2+ in MDCK cells.
1990,
Pubmed
Quamme,
Dynamics of intracellular free Mg2+ changes in a vascular smooth muscle cell line.
1993,
Pubmed
Quamme,
Cytosolic free magnesium in cardiac myocytes: identification of a Mg2+ influx pathway.
1990,
Pubmed
Quamme,
Renal magnesium handling: new insights in understanding old problems.
1997,
Pubmed
Quamme,
Chlorpromazine activates chloride currents in Xenopus oocytes.
1997,
Pubmed
,
Xenbase
Rasgado-Flores,
Plasmalemmal transport of magnesium in excitable cells.
2000,
Pubmed
Roy,
Recent advances in disorders of iron metabolism: mutations, mechanisms and modifiers.
2001,
Pubmed
Schlingmann,
Hypomagnesemia with secondary hypocalcemia is caused by mutations in TRPM6, a new member of the TRPM gene family.
2002,
Pubmed
Schweigel,
Mechanisms of Mg(2+) transport in cultured ruminal epithelial cells.
2000,
Pubmed
Smith,
Cloning and characterization of MgtE, a putative new class of Mg2+ transporter from Bacillus firmus OF4.
1995,
Pubmed
Tashiro,
Transport of magnesium by two isoforms of the Na+-Ca2+ exchanger expressed in CCL39 fibroblasts.
2000,
Pubmed
Touyz,
Angiotensin II type I receptor modulates intracellular free Mg2+ in renally derived cells via Na+-dependent Ca2+-independent mechanisms.
2001,
Pubmed
Voets,
TRPM6 forms the Mg2+ influx channel involved in intestinal and renal Mg2+ absorption.
2004,
Pubmed
Walder,
Mutation of TRPM6 causes familial hypomagnesemia with secondary hypocalcemia.
2002,
Pubmed
Zsurka,
The human mitochondrial Mrs2 protein functionally substitutes for its yeast homologue, a candidate magnesium transporter.
2001,
Pubmed