Click here to close
Hello! We notice that you are using Internet Explorer, which is not supported by Xenbase and may cause the site to display incorrectly.
We suggest using a current version of Chrome,
FireFox, or Safari.
???displayArticle.abstract???
Degradation of specific protein substrates by the anaphase-promoting complex/cyclosome (APC) is critical for mitotic exit. We have identified the protein Xenopus nuclear factor 7 (Xnf7) as a novel APC inhibitor able to regulate the timing of exit from mitosis. Immunodepletion of Xnf7 from Xenopus laevis egg extracts accelerated the degradation of APC substrates cyclin B1, cyclin B2, and securin upon release from cytostatic factor arrest, whereas excess Xnf7 inhibited APC activity. Interestingly, Xnf7 exhibited intrinsic ubiquitin ligase activity, and this activity was required for APC inhibition. Unlike other reported APC inhibitors, Xnf7 did not associate with Cdc20, but rather bound directly to core subunits of the APC. Furthermore, Xnf7 was required for spindle assembly checkpoint function in egg extracts. These data suggest that Xnf7 is an APC inhibitor able to link spindle status to the APC through direct association with APC core components.
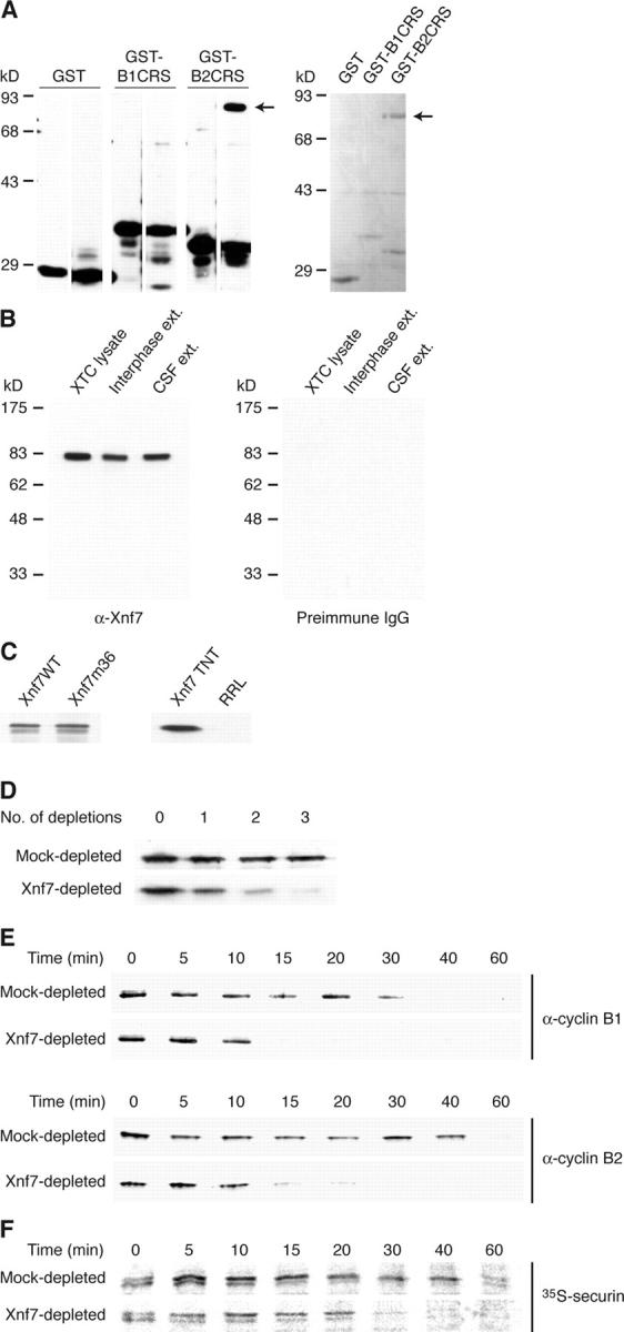
Figure 1. Immunodepletion of Xnf7 accelerates exit from CSF arrest. (A) Xnf7 interacts with the cyclin B2 CRS. Glutathione-Sepharose beads were coupled to GST, GST-cyclin B1 CRS, or GST-cyclin B2 CRS and incubated with egg extracts. (left) Beads were washed, and bound material was conjugated to biotin. Biotinylated material was resolved by SDS-PAGE, transferred to nitrocellulose, and probed with HRP-streptavidin. The left lane of each panel shows proteins present on the beads alone; the right lanes show proteins bound after incubation with extract. (right) Beads were washed and bound proteins were analyzed by SDS-PAGE and Coomassie blue staining. The arrows indicate the ∼80-kD band that was identified by mass spectrometry as Xnf7. (B) Characterization of Xnf7 antibodies. Xenopus XTC cell lysate and interphase and CSF-arrested egg extracts were resolved by SDS-PAGE and immunoblotted with affinity-purified Xnf7 antibodies (left) or purified preimmune IgG (right). (C) Xnf7 wild-type (Xnf7WT) and Xnf7 mutant 36 (Xnf7m36) expressed in Escherichia coli, rabbit reticulocyte lysate (RRL) programmed with Xnf7 (Xnf7 TNT), and unprogrammed RRL were resolved by SDS-PAGE and immunoblotted with affinity-purified Xnf7 antibodies. (D) Immunodepletion of Xnf7 from egg extracts. Purified anti-Xnf7 antibodies or purified preimmune IgG were coupled to protein A–Sepharose and incubated with extracts. Three consecutive depletions were performed and depleted extracts were resolved by SDS-PAGE and immunoblotted with anti-Xnf7 antibodies. (E) Immunodepletion of Xnf7 accelerates the degradation of cyclin B1 and cyclin B2 during exit from CSF arrest. CSF extracts were depleted and incubated at 23°C for 30 min. CaCl2 was added to extracts, and aliquots removed at the indicated times after CaCl2 addition were analyzed by SDS-PAGE and immunoblotting with anti–cyclin B1 or anti–cyclin B2 antibodies. (F) Immunodepletion of Xnf7 accelerates the degradation of securin during exit from CSF arrest. CSF extracts were depleted, supplemented with 35S-securin, and incubated at 23°C for 30 min. CaCl2 was added to extracts, and aliquots removed at the indicated times were analyzed by SDS-PAGE and autoradiography.
Figure 2. Xnf7 depletion accelerates exit from mitosis but does not cause spontaneous activation of the APC. (A–C) CSF-arrested Xenopus egg extracts were depleted, supplemented with demembranated sperm chromatin and CaCl2, and incubated at 23°C. (A and B) Aliquots removed at the indicated times after CaCl2 addition were analyzed by SDS-PAGE and immunoblotting with anti–cyclin B2 antibodies. (C) Aliquots of extract were removed at the indicated times and nuclear morphology was visualized by Hoechst 33258 staining and fluorescence microscopy. (D) CSF extracts were depleted, supplemented with demembranated sperm chromatin, and incubated at 23°C. Aliquots removed at the indicated times were analyzed as in A. (E) Interphase extracts were depleted, supplemented with 35S–cyclin B1, and incubated at 23°C. Aliquots removed at the indicated times were analyzed by SDS-PAGE and autoradiography.
Figure 3. Xnf7 modulates mitotic exit by altering ubiquitylation of APC substrates. (A) Xenopus egg extracts were depleted, supplemented with 35S-IAP, and treated with reaper and the broad-spectrum caspase inhibitor zVAD-fmk. Extracts were incubated at 23°C, and aliquots removed at the indicated times were analyzed by SDS-PAGE and autoradiography and quantitated by Phosphorimager. (B) Addition of anti-Xnf7 antibodies mimics immunodepletion of Xnf7. CSF extracts were treated with purified preimmune IgG, purified anti-Xnf7 antibodies, or purified anti-Xnf7 antibodies blocked with a COOH-terminal fragment of Xnf7 and incubated at 23°C for 15 min. After CaCl2 addition, aliquots were removed at the indicated times and analyzed by SDS-PAGE and immunoblotting with anti–cyclin B2 antibodies (left) or anti-Xnf7 antibodies (right). (C) Addition of recombinant Xnf7 to Xnf7-depleted extracts restores the normal timing of cyclin degradation. CSF extracts were depleted, treated with buffer or recombinant Xnf7, and incubated at 23°C for 30 min. CaCl2 was added to extracts, and aliquots removed at the indicated times after CaCl2 addition were analyzed as in B. (D) Addition of excess Xnf7 delays cyclin B degradation and mitotic exit. CSF extracts were treated with buffer or Xnf7WT and incubated at 23°C for 20 min. After CaCl2 addition, aliquots were removed at the indicated times and analyzed as in B. (E) Excess Xnf7 delays cyclin B ubiquitylation. Methyl-ubiquitin was added to the experiment described in D. Aliquots were removed at the indicated times, analyzed by SDS-PAGE and autoradiography, and quantitated by Phosphorimager.
Figure 4. Xnf7 is a ubiquitin ligase and its ligase activity is required for its effects on mitotic exit. (A) Xnf7 contains a RING finger consensus sequence. The eight amino acids in bold are the zinc-binding sites of the RING finger. Xnf7WT, Xnf7 mutant 3 (Xnf7m3) (C160A), and Xnf7 mutant 36 (Xnf7m36) (C160A and C168A) were produced in bacteria. (B) Xnf7 has ubiquitin ligase activity. Xnf7WT (lane 1), Xnf7m3 (lane 2), or Xnf7m36 (lane 3) were incubated with purified E1, UbcH5a, ubiquitin, and ATP. Lanes 4–7 contained Xnf7WT but lacked one component of the ubiquitylation reaction. Lane 4, −E1; lane 5, −UbcH5a; lane 6, −ATP; lane 7, −ubiquitin. Reactions were incubated at 37°C for 2 h and were analyzed by SDS-PAGE and immunoblotting with anti-ubiquitin or anti-Xnf7 antibodies. White line indicates that intervening lanes have been spliced out. (C) Xnf7 can function with several E2s but cannot function with UbcH10. (left) Xnf7WT was incubated as in B but with each reaction containing only the E2 indicated. The absence of E2 in the reaction is indicated (−). (right) E2-thioester assays demonstrate that E2s used are functional. The presence of the E2 alone (−) and the E2 following a 30-min thioester assay (+) are indicated. Similar results were obtained for all E2s used (unpublished data). (D) Xnf7's E3 ligase activity is required for its effects on mitotic exit. CSF extracts were treated with buffer, Xnf7WT, or Xnf7m36 and incubated at 23°C for 20 min. After CaCl2 addition, aliquots were removed at the indicated times and analyzed by SDS-PAGE and immunoblotting with anti–cyclin B2 antibodies. (E) Xnf7m36 blocks the function of endogenous Xnf7 protein. CSF extracts were treated with buffer or increasing amounts of Xnf7m36 and incubated at 23°C for 20 min. After CaCl2 addition, aliquots were removed and analyzed as in D. (F) Xnf7's ubiquitin ligase activity is required for its effect on APC substrate ubiquitylation. Methyl-ubiquitin was added to the experiment described in D. Aliquots were removed at the indicated times, analyzed by SDS-PAGE and autoradiography, and quantitated by Phosphorimager. White lines indicate that samples run on the same gel were reordered.
Figure 5. Xnf7 inhibits the APC. (A) RRL (lane 1) or Cdc20 (lanes 2–6) was incubated (30 min at 23°C) with buffer (lanes 1 and 2), 6 μM MBP (lane 3), 6 μM MBP-Emi1 (lane 4), 2 μM Xnf7WT (lane 5), or 2 μM Xnf7m36 (lane 6). APC was immunopurified from mitotic egg extracts with anti-Cdc27 beads and incubated with the RRL/Cdc20 mixtures (1 h at 23°C). APC beads were washed and assayed for cyclin ubiquitylation activity using a 35S-labeled in vitro transcribed-translated Xenopus cyclin B1 fragment (1–126 aa) as a substrate. Samples were run on a 4–15% Tris-HCl SDS-PAGE gel. Unconjugated cyclin B remaining was quantitated by Phosphorimager. (B) Similar to A, except that incubations included 5 μM Xnf7WT or Xnf7m36 and were performed under conditions permissive for Xnf7's ligase activity where noted (*). Note that more than doubling the concentration of Xnf7 (compared with that used in A) did not result in APC inhibition unless the assay was performed under ubiquitylating conditions. Samples were run on a 4–20% Tris-HCl SDS-PAGE gel. White line indicates that intervening lanes have been spliced out.
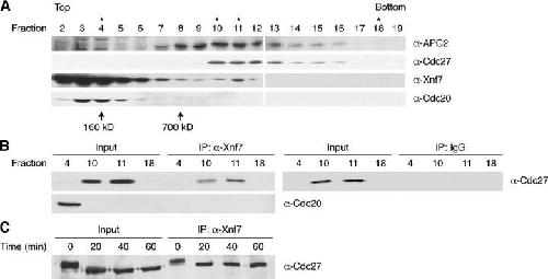
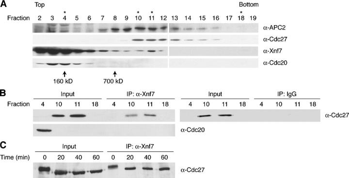
Figure 6. Xnf7 associates with the core APC. (A) Sucrose gradient cosedimentation of Xnf7 and APC subunits. CSF egg extract was fractionated on a 10–40% sucrose gradient. Fractions were collected and analyzed by SDS-PAGE and immunoblotting for the indicated proteins. Asterisks indicate the fractions used in the immunoprecipitations in B. (B) Xnf7 coimmunoprecipitates with Cdc27 from sucrose gradient fractions. Purified anti-Xnf7 antibodies or purified preimmune IgG were coupled to protein A–Sepharose and incubated with sucrose gradient fractions 4, 10, 11, and 18 (1 h at 4°C). Beads were washed and bound proteins were analyzed by SDS-PAGE and immunoblotting with the indicated antibodies. (C) Xnf7 coimmunoprecipitates with Cdc27 during CSF arrest and during exit from arrest. Purified anti-Xnf7 antibodies were coupled to protein A–Sepharose and incubated with aliquots of CSF extracts removed at the indicated times after CaCl2 addition (1 h at 4°C). Beads were washed and bound proteins were analyzed by SDS-PAGE and immunoblotting with anti-Cdc27 antibodies.
Figure 7. Xnf7 is required for the spindle assembly checkpoint in egg extracts. CSF extracts were preincubated with preimmune IgG or anti-Xnf7 antibodies for 15 min at 23°C. Demembranated sperm chromatin (9,000/μl) and nocodazole (10 μg/ml) were added for 30 min, followed by the addition of CaCl2. Aliquots removed at the indicated times after CaCl2 addition were analyzed by SDS-PAGE and immunoblotting with anti–cyclin B2 antibodies. White line indicates samples run on the same gel were rearranged. Aliquots were also removed and visualized by Hoechst 33258 staining. Photographs of nuclear morphology at 60 min are shown.
Acquaviva,
The anaphase promoting complex/cyclosome is recruited to centromeres by the spindle assembly checkpoint.
2004, Pubmed
Acquaviva,
The anaphase promoting complex/cyclosome is recruited to centromeres by the spindle assembly checkpoint.
2004,
Pubmed
Amon,
The spindle checkpoint.
1999,
Pubmed
Burton,
D box and KEN box motifs in budding yeast Hsl1p are required for APC-mediated degradation and direct binding to Cdc20p and Cdh1p.
2001,
Pubmed
Carroll,
The Doc1 subunit is a processivity factor for the anaphase-promoting complex.
2002,
Pubmed
Castro,
The anaphase-promoting complex: a key factor in the regulation of cell cycle.
2005,
Pubmed
den Elzen,
Cyclin A is destroyed in prometaphase and can delay chromosome alignment and anaphase.
2001,
Pubmed
El-Hodiri,
xnf7 functions in dorsal-ventral patterning of the Xenopus embryo.
1997,
Pubmed
,
Xenbase
El-Hodiri,
Mitogen-activated protein kinase and cyclin B/Cdc2 phosphorylate Xenopus nuclear factor 7 (xnf7) in extracts from mature oocytes. Implications for regulation of xnf7 subcellular localization.
1997,
Pubmed
,
Xenbase
Fang,
Direct binding of CDC20 protein family members activates the anaphase-promoting complex in mitosis and G1.
1998,
Pubmed
,
Xenbase
Fang,
Checkpoint protein BubR1 acts synergistically with Mad2 to inhibit anaphase-promoting complex.
2002,
Pubmed
Fang,
The checkpoint protein MAD2 and the mitotic regulator CDC20 form a ternary complex with the anaphase-promoting complex to control anaphase initiation.
1998,
Pubmed
,
Xenbase
Funabiki,
The Xenopus chromokinesin Xkid is essential for metaphase chromosome alignment and must be degraded to allow anaphase chromosome movement.
2000,
Pubmed
,
Xenbase
Geley,
Anaphase-promoting complex/cyclosome-dependent proteolysis of human cyclin A starts at the beginning of mitosis and is not subject to the spindle assembly checkpoint.
2001,
Pubmed
Golan,
The cyclin-ubiquitin ligase activity of cyclosome/APC is jointly activated by protein kinases Cdk1-cyclin B and Plk.
2002,
Pubmed
Hagting,
Translocation of cyclin B1 to the nucleus at prophase requires a phosphorylation-dependent nuclear import signal.
1999,
Pubmed
Harper,
The anaphase-promoting complex: it's not just for mitosis any more.
2002,
Pubmed
Hershko,
The ubiquitin system.
1998,
Pubmed
Hicke,
Protein regulation by monoubiquitin.
2001,
Pubmed
Hochegger,
New B-type cyclin synthesis is required between meiosis I and II during Xenopus oocyte maturation.
2001,
Pubmed
,
Xenbase
Holley,
Reaper eliminates IAP proteins through stimulated IAP degradation and generalized translational inhibition.
2002,
Pubmed
,
Xenbase
Hwang,
Budding yeast Cdc20: a target of the spindle checkpoint.
1998,
Pubmed
Irniger,
Genes involved in sister chromatid separation are needed for B-type cyclin proteolysis in budding yeast.
1995,
Pubmed
Jackman,
Human cyclins B1 and B2 are localized to strikingly different structures: B1 to microtubules, B2 primarily to the Golgi apparatus.
1995,
Pubmed
Juang,
APC-mediated proteolysis of Ase1 and the morphogenesis of the mitotic spindle.
1997,
Pubmed
King,
A 20S complex containing CDC27 and CDC16 catalyzes the mitosis-specific conjugation of ubiquitin to cyclin B.
1995,
Pubmed
,
Xenbase
Kotani,
PKA and MPF-activated polo-like kinase regulate anaphase-promoting complex activity and mitosis progression.
1998,
Pubmed
Kraft,
Mitotic regulation of the human anaphase-promoting complex by phosphorylation.
2003,
Pubmed
Kramer,
Mitotic regulation of the APC activator proteins CDC20 and CDH1.
2000,
Pubmed
,
Xenbase
Li,
The association of Xenopus nuclear factor 7 with subcellular structures is dependent upon phosphorylation and specific domains.
1994,
Pubmed
,
Xenbase
Lorca,
Fizzy is required for activation of the APC/cyclosome in Xenopus egg extracts.
1998,
Pubmed
,
Xenbase
Lorca,
Calmodulin-dependent protein kinase II mediates inactivation of MPF and CSF upon fertilization of Xenopus eggs.
1993,
Pubmed
,
Xenbase
Meyn,
The destruction box of the cyclin Clb2 binds the anaphase-promoting complex/cyclosome subunit Cdc23.
2002,
Pubmed
Minshull,
A MAP kinase-dependent spindle assembly checkpoint in Xenopus egg extracts.
1994,
Pubmed
,
Xenbase
Murray,
Cell cycle extracts.
1991,
Pubmed
Papin,
XCdh1 is involved in progesterone-induced oocyte maturation.
2004,
Pubmed
,
Xenbase
Passmore,
Doc1 mediates the activity of the anaphase-promoting complex by contributing to substrate recognition.
2003,
Pubmed
Peters,
The anaphase-promoting complex: proteolysis in mitosis and beyond.
2002,
Pubmed
Pfleger,
Substrate recognition by the Cdc20 and Cdh1 components of the anaphase-promoting complex.
2001,
Pubmed
,
Xenbase
Pines,
The differential localization of human cyclins A and B is due to a cytoplasmic retention signal in cyclin B.
1994,
Pubmed
Rappleye,
The anaphase-promoting complex and separin are required for embryonic anterior-posterior axis formation.
2002,
Pubmed
Reddy,
The cloning and characterization of a maternally expressed novel zinc finger nuclear phosphoprotein (xnf7) in Xenopus laevis.
1991,
Pubmed
,
Xenbase
Reimann,
Emi1 is a mitotic regulator that interacts with Cdc20 and inhibits the anaphase promoting complex.
2001,
Pubmed
,
Xenbase
Rudner,
Phosphorylation by Cdc28 activates the Cdc20-dependent activity of the anaphase-promoting complex.
2000,
Pubmed
Schmidt,
Xenopus polo-like kinase Plx1 regulates XErp1, a novel inhibitor of APC/C activity.
2005,
Pubmed
,
Xenbase
Schwab,
Yeast Hct1 recognizes the mitotic cyclin Clb2 and other substrates of the ubiquitin ligase APC.
2001,
Pubmed
Shah,
Waiting for anaphase: Mad2 and the spindle assembly checkpoint.
2000,
Pubmed
Shirayama,
The Polo-like kinase Cdc5p and the WD-repeat protein Cdc20p/fizzy are regulators and substrates of the anaphase promoting complex in Saccharomyces cerevisiae.
1998,
Pubmed
Sudakin,
The cyclosome, a large complex containing cyclin-selective ubiquitin ligase activity, targets cyclins for destruction at the end of mitosis.
1995,
Pubmed
Sudakin,
Checkpoint inhibition of the APC/C in HeLa cells is mediated by a complex of BUBR1, BUB3, CDC20, and MAD2.
2001,
Pubmed
Tang,
Mad2-Independent inhibition of APCCdc20 by the mitotic checkpoint protein BubR1.
2001,
Pubmed
,
Xenbase
Tunquist,
Under arrest: cytostatic factor (CSF)-mediated metaphase arrest in vertebrate eggs.
2003,
Pubmed
,
Xenbase
Vigneron,
Kinetochore localization of spindle checkpoint proteins: who controls whom?
2004,
Pubmed
,
Xenbase
Visintin,
CDC20 and CDH1: a family of substrate-specific activators of APC-dependent proteolysis.
1997,
Pubmed
Yamano,
Cell cycle-regulated recognition of the destruction box of cyclin B by the APC/C in Xenopus egg extracts.
2004,
Pubmed
,
Xenbase
Yang,
Control of cyclin B1 localization through regulated binding of the nuclear export factor CRM1.
1998,
Pubmed
,
Xenbase
Yang,
Ubiquitin protein ligase activity of IAPs and their degradation in proteasomes in response to apoptotic stimuli.
2000,
Pubmed
Yoshitome,
Overexpression of the cytoplasmic retention signal region of cyclin B2, but not of cyclin B1, inhibits bipolar spindle formation in Xenopus oocytes.
1998,
Pubmed
,
Xenbase
Yu,
Regulation of APC-Cdc20 by the spindle checkpoint.
2002,
Pubmed
Zachariae,
Whose end is destruction: cell division and the anaphase-promoting complex.
1999,
Pubmed
Zachariae,
Control of cyclin ubiquitination by CDK-regulated binding of Hct1 to the anaphase promoting complex.
1998,
Pubmed