Click here to close
Hello! We notice that you are using Internet Explorer, which is not supported by Xenbase and may cause the site to display incorrectly.
We suggest using a current version of Chrome,
FireFox, or Safari.
???displayArticle.abstract???
In Xenopus, localization of a rare class of mRNAs during oogenesis is believed to initiate pattern formation in the early embryo. We have determined the pattern of RNA localization for one of these RNAs, Xcat-2, which encodes a putative RNA-binding protein related to Drosophila nanos (Mosquera, L., Forristall, C., Zhou, Y. and King, M. L. (1993) Development 117, 377-386). Xcat-2 is exclusively localized to the mitochondrial cloud in stage I oocytes, moves with this body into the vegetal cortex during stage II and, later, partitions into islands consistent with it being a component of the germ plasm. As previously shown, Vg1 is not localized to the vegetal cortex until stage IV and distributes to all vegetal blastomeres during development. We found a direct correlation between the localized condition of these RNAs and their recovery in a detergent-insoluble fraction. We present evidence suggesting that differential RNA binding to a cytoskeletal component(s) in the vegetal cortex determines the pattern of inheritance for that RNA in the embryo.
Fig. 1. Xcat-2 and Vg1 become localized to the vegetal cortex at different stages of oogenesis.
Alternate sections of albino oocytes of stage I (A,B), II (C,D), III (H), and early IV (E,F,G) were
hybridized with either 35S-labeled Vg1 (A,C,E,G) or Xcat-2 (B,D,F,H) antisense RNA probes. Note
that Vg1 is distributed uniformly in stages I and II, whereas in the same oocytes, Xcat-2 is restricted to
the mitochondrial cloud. In early IV oocytes, Vg1 appears in a punctate pattern between the nucleus
and the vegetal cortex as well as being distributed broadly in the cortex (E,G, bar, 50 μm). In contrast,
Xcat-2 is found in large clumps aggregated at the vegetal pole (F,H, bar, 50 μm). In situ hybridizations
are shown in A-F in reverse image where silver grains appear white.
Fig. 2. Xcat-2 and Vg1 are isolated with the DIF during the translocation and anchoring steps of
vegetal localization. Northern blot analysis of oocyte stages I, II, III, IV and V/VI total DIF (*)
and SF (unlabeled) RNA probed sequentially with [32P] labeled Vg1, Xcat-2, and histone H3
DNAs. Lanes were loaded with equal amounts of poly(A)+RNA in the DIF and SF for each
stage, as indicated by the equal intensities of the histone H3 response. (The relative amount of
RNA between stages cannot be obtained from this figure, which is a composite of several blots.)
The percentage of each RNA in the DIF per oocyte was calculated and is shown below each
stage. The calculation is based on the ratio of DIF/SF at each stage (determined by
densitometry), the percentage of total RNA in the DIF (2% at all stages), and the relative
concentration of poly (A)+RNA in the DIF (see Table 1). Xcat-2 is concentrated in the DIF at
the earliest stages of oogenesis, while Vg1 becomes enriched in stages III-IV.
Fig. 3. There is a positive correlation between enrichment in the DIF
and vegetal localization in stage VI oocytes. Histogram summarizes
the results from northern blot analyses of DIF, SF and cortical RNA
isolated from stage VI oocytes. Blots were hybridized with a variety
of [32P]-cDNAs representing mRNAs uniformly distributed in the
oocyte (histone (H3), c-mos (mos), 56´103 Mr cytokeratin (Ck),
cytoplasmic actin (actin)), localized to the vegetal cortex (Vg1, Xcat-
2, Xcat-3) or localized to the animal hemisphere (An1, An2, An3).
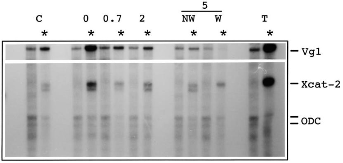
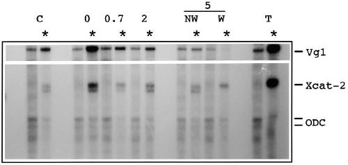
Fig. 4. Vg1 is released from the DIF at germinal vesicle breakdown (GVBD) while Xcat-2 is
retained. The concentration of Vg1 and Xcat-2 in DIF (*) and SF (unlabeled) RNA isolated from
stage VI oocytes at 0 hour (0), 0.7 hour (0.7), 2 hour (2) and 5 hour (5) post-progesterone
treatment was assessed by RNase protection assays. An ODC-2 probe was included as a control
for RNA loading. At 5 hours, when 50% of the oocytes had undergone GVBD, oocytes were
divided into those with white spots (W) and those without (NW). After progesterone treatment,
some oocytes were exposed to theophylline, an inhibitor of maturation (T). Controls (C) were not
treated with progesterone. Vg1, but not Xcat-2, is lost from the DIF sample at the time of GVBD
(compare NW and W lanes). (note: the significance of the shift from a double protected fragment
to a single protected fragment at GVBD for Xcat-2 in this assay is not known).
Fig. 5. Xcat-2 and Vg1 RNA are partitioned differently during
oogenesis and development. Whole-mount in situ hybridization
using digoxigenin-labeled Vg1 (A,C,E,G) or Xcat-2 (B,D,F,H) antisense
RNA and albino oocytes. (A) Oocyte stages I, II and III. Note
that Vg1 begins to localize in the stage III oocyte. (B) Stages I, II, III
and IV oocytes. Xcat-2 is localized to one pole from the earliest
stage. (C) Stage III and IV. The pattern for Vg1 is much broader.
(D) Stage VI oocytes. One oocyte has been cut to show that staining
is cortical. (E-F) Eggs. Vg1 (E) stains in a more diffuse pattern than
Xcat-2 (F). Egg on left in F is a control probed with the sense strand.
(G) 4-cell embryo. Embryo on the right shows Vg1âs diffuse staining
pattern in the vegetal hemisphere. Compare with the sense-strand
control embryo on the left. (H) 4-cell embryo. Xcat-2 has a different
distribution, staining in 80-100 discrete âislandsâ characteristic of the
germ plasm at this stage. Bars, 500 μm except in A; bar, 250 μm.