Click here to close
Hello! We notice that you are using Internet Explorer, which is not supported by Xenbase and may cause the site to display incorrectly.
We suggest using a current version of Chrome,
FireFox, or Safari.
XIdx, a dominant negative regulator of bHLH function in early Xenopus embryos.
Wilson R
,
Mohun T
.
???displayArticle.abstract???
We have identified a divergent member of the Xenopus Id family, XIdx, which disrupts binding of myogenic factor/E-protein complexes to DNA in vitro and inhibits transactivation of the E-box regulated cardiac actin gene by MyoD in embryonic tissue. XIdx transcripts accumulate from the early neurula stage in discrete domains of the anterior neural plate and subsequently identify regions of the developing nervous system, including the eye rudiments and the rhombencephalon. These results suggest that bHLH proteins and their Id protein regulators may participate in patterning of embryonic neural tissue. Phylogenetic analysis indicates that XIdx is the product of a novel Id gene and is distinct from XId2, which is expressed primarily in the developing pronephros.
???displayArticle.pubmedLink???
7734394
???displayArticle.link???Mech Dev
Fig. 3. Xldx inhibits formation of a myogenic complex in vitro. Panel A. Rabbit reticulocyte lysates programmed with synthetic XMyoD, XEI2 and XIdx RNA were tested in an electrophoretic mobility shift assay (EMSA) using the MCK right E box motif as a probe. The myogenic complex formed by XMyoD/XE12 was identified using the monoclonal antibody, DF72 (Ab) and comparing its effect with nonspecific tissue culture supernatant (PI). Panel B. Lysates programmed with XE12 in combination with either XMyoD, XMRF4 or XMyfl all form a myogenic complex with the MCK E-box probe (-). This is blocked by the inclusion of XIdx RNA in the translation reaction (+).
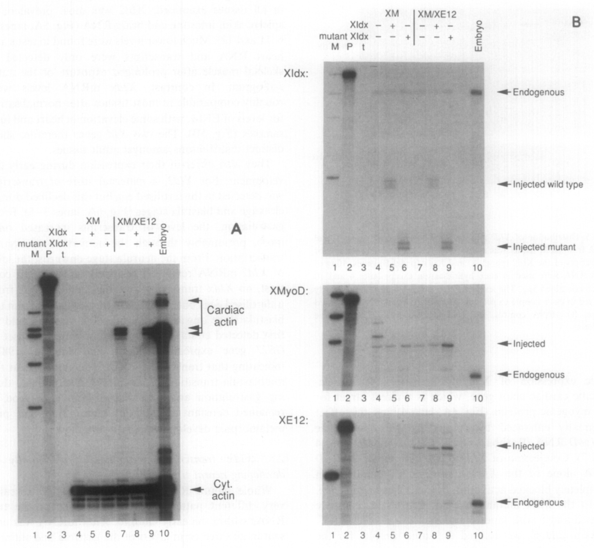
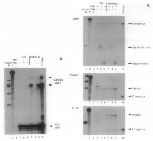
Fig. 4. Xidx blocks activation of the muscle-specific cardiac actin gene in vivo. Fertilised eggs were injected with synthetic XMyoD, XEl2, Xidx and Xldx(val-58) mutant RNAs as indicated. Animal pole explants were assayed at the neurula stage for muscle-specific cardiac actin transcripts (panel A). Due to cross hybridisation, this probe also provides an estimate of relative cytoskeletal actin transcript levels which are used as a loading control. The same samples were also analysed for the presence of both endogenous and injected Xidx, XMyoD and XE12 transcripts (panel B). (M): end labelled pBR322 Hinfl size markers; (P): probe: (t): tRNA control: lanes 4-6: XMyoD RNA injected alone. with XIdx or XIdx(val-58)mutant RNAs, respectively; lanes 7-9: as in lanes 4-6 with the inclusion of XE12 RNA; lane 10: stage-20-embryo total RNA.
Fig. 5. Distribution of XId2 and XIdx mRNA in adult tissues. Total RNA from adult tissues was analysed by RNAse protection assay for transcripts of the XId2 (panel A) and XIdx (panel B) genes. 10µg of total RNA were used in each hybridisation except lanes 4 and IO which contained 5µg. The level of EFlα mRNA was simultaneously assayed in each sample to provide a loading control. (P): undigested probe; (t): tRNA control; (M) end labelled pBR322 Hinfl size markers.
Fig. 7. Xldx mRNA accumulates in distinct regions of the neural tube in early embryos. Neurula and tailbud embryos were stained for XIdx RNA by whole mount in situ hybridisation, using a digogygenin-labelled probe. Panels A and B: Anterior and dorsal views of early neurula embryos showing high levels of Xldx transcripts within three discrete regions (arrows) of the anterior neuroepithelium. Panel C: A mid neurulaembryo (stage 15) showing additional accumulation of high levels of X1d.u transcripts around the edges of the neural plate (NP). Panels D: and E: Anterior and dorsal views of late neurula embryos (stage 18). In Panel D. the position of the closing neural grove is marked by an arrow. The most anterior domain of Xldx expression splits into two regions (compare C and D). Panels F and G: During fusion of the neural folds (stages 20 and 21, respectively), expression of Xldx becomes more pronounced along the length of the neural tube (NT), and the most anterior domain of expression within the brain forms the eye vesicles (E). Panels H-J: Dorsal, lateral and anterior views of a late tailbudembryo (stage 28). In addition to the staining within the nervous system, staining can be seen in the myotomes and headmesenchyme. In the dorsal view (panel H), staining can be seen along the length of the spinal chord and within the hindbrain. The position of the otic vesicle (0) and the eye vesicles (E) are marked. Between the eye vesicles, diffuse staining of the optic tectum (T) is evident. The lateral view (panel I) shows the strong staining within the dorsal and ventral parts of the myotomes (M). High levels of expression are also evident in the mesenchyme of all three skeletal arches. In Panel I, the staining in the base of the hyroid arch (H) and the gill arches (GA) is indicated. The anterior view (J) shows staining of the maxillary (Max) and mandibular (Man) processes of the first arch.