Click here to close
Hello! We notice that you are using Internet Explorer, which is not supported by Xenbase and may cause the site to display incorrectly.
We suggest using a current version of Chrome,
FireFox, or Safari.
Eur J Neurosci
1995 Feb 01;72:261-70. doi: 10.1111/j.1460-9568.1995.tb01062.x.
Show Gene links
Show Anatomy links
Accelerated structural maturation induced by synapsin I at developing neuromuscular synapses of Xenopus laevis.
Valtorta F
,
Iezzi N
,
Benfenati F
,
Lu B
,
Poo MM
,
Greengard P
.
???displayArticle.abstract???
The role of synapsin I, a synaptic vesicle-associated phosphoprotein, in the maturation of nerve-muscle synapses was investigated in nerve-muscle co-cultures prepared from Xenopus embryos loaded with the protein by the early blastomere injection method. The stage of maturation of the synapses was analysed by electron microscopy as well as by whole-cell patch-clamp recording. The acceleration in the functional maturation of neuromuscular synapses induced by synapsin I was accompanied by a profound rearrangement in the ultrastructure of the nerve terminal. Nerve terminals formed by synapsin I-loaded neurons were characterized by a higher number of small synaptic vesicles organized in clusters and predominantly localized close to the nerve terminal plasma membrane, a smaller number of large dense-core vesicles and no significant change in the number of coated vesicles. Precocious development of active zone-like structures as well as deposition of basal lamina into the synaptic cleft were also observed at these synapses. These results support a role for synapsin I in the architectural changes which occur during synaptogenesis and lead to the maturation of quantal neurotransmitter release mechanisms.
FIG. I. Phase-contrast (A and C) and fluorescence (B and D) micrographs of a Xenc>ppus nerve-muscle culture that contained both synapsin I (-) and (+)
neurons, 24 h after cell plating. The culture was prepared from a I-day-old embryo which had been injected with synapsin I plus rhodamineaextran in one
blastomere at the two-cell stage. The pipettes drawn in A and C indicate the myocytes in which spontaneous synaptic currents were recorded (shown in Fig.
2). The synapsin I (-) and (+) neuronal cell bodies innervating these myocytes are marked by arrows in B and D respectively.
FIG. 2. Spontaneous synaptic currents recorded from synapses made by a synapsin I (+) and a synapsin I (-) neuron. (Top) Membrane currents recorded from
two separate muscle cells innervated by either a synapsin I (+) neuron (right) or by a synapsin I (-) neuron (left) in the 1 day culture shown in Figure I .
Spontaneous synaptic currents of varying amplitudes were observed as downward deflections (clamping voltage = -60 mV, filtered at 150 Hz). (Bottom)
Representative spontaneous synaptic currents in oscilloscope traces at higher time resolution (filtered at 2.5 kHz). Note the increase in frequency and mean
amplitude of the spontaneous synaptic currents at the synapse made by the synapsin I (+) neuron. Scale bars are 0.5 nA, 40 s and 200 PA, 10 ms, for the slow
and fast traces respectively.
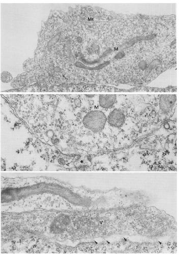
FIG. 3. Fine structure of four neuromuscular synapses formed by synapsin I (-) neurons with muscle cells. (a and b) The neurites contain many mitochondria
(M). Synaptic vesicles (V) are scarce in the neurite shown in (a), whereas they are more abundant in the neurite shown in (b), where they are present mainly
in areas of axoplasm distant from the site of contact. In (c) note the tight adherence between the two plasma membranes. In (d) the gap between the contacting
membranes is wider. Basal lamina-like material was not detectable. Mt, microtubules. Arrows indicate large dense-core vesicles. Magnification: a, X24 OOO;
b and c, X30 000; d, X40 000.
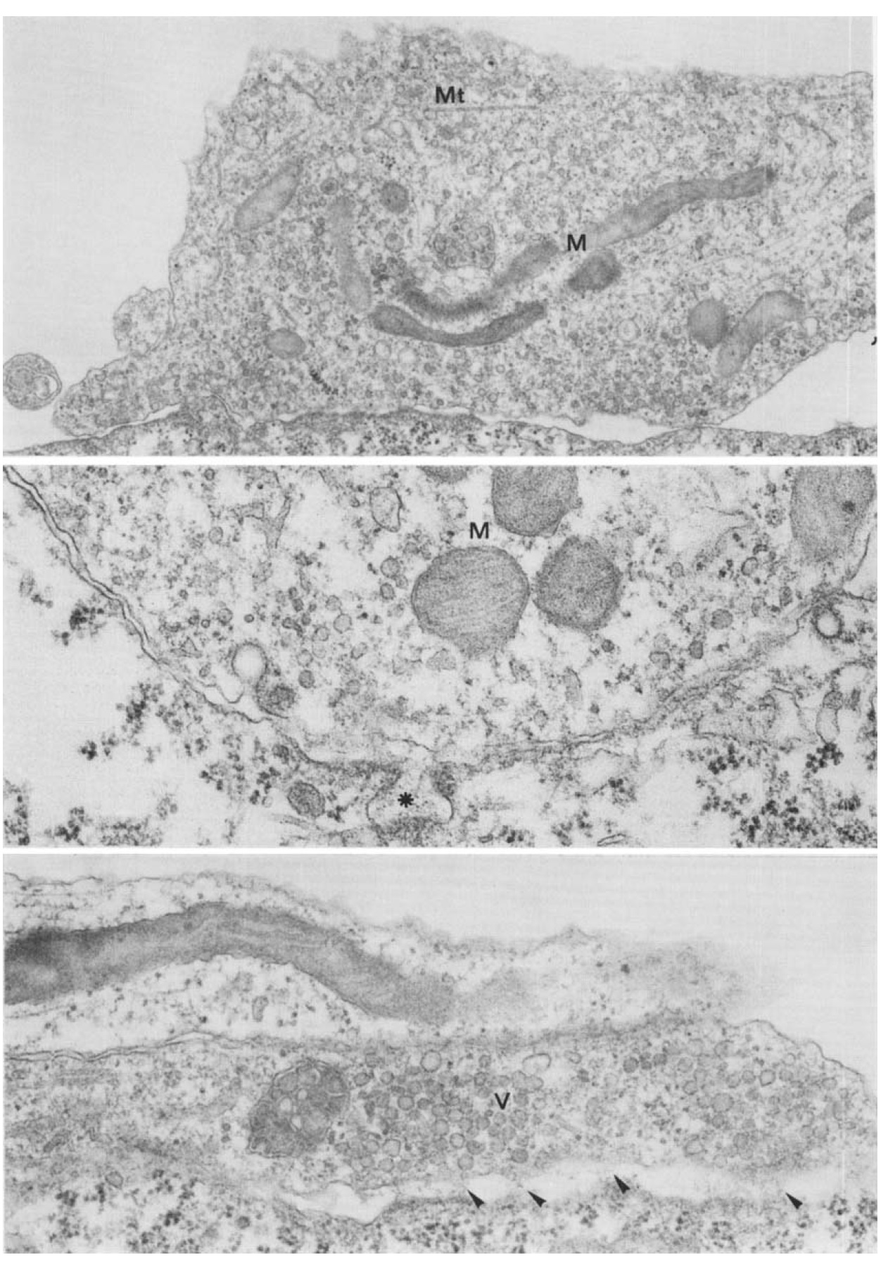
FIG. 4. Fine structure of three neuromuscular synapses formed by synapsin I (+) neurons with muscle cells. The neurites contain mitochondria (M) and synaptic
vesicles (V), as well as microtubules (Mt). (Top) The synaptic cleft is wide and thickenings of the postsynaptic membrane are present. In this particular nerve
terminal synaptic vesicles do not appear to be concentrated at contact sites (X24 000). (Middle) Infolding of the muscle membrane, with marked thickening of
the membrane on the edges of the infolding (asterisk) (X48 000). (Bottom) A neurite whose synaptic vesicles (V) appear to he clustered in two regions of the
axoplasm, which correspond to sites of basal lamina deposition (arrowheads). On both sides of the sites of basal lamina deposition thickenings of the pre- and
postsynaptic membranes are visible (X45 000).
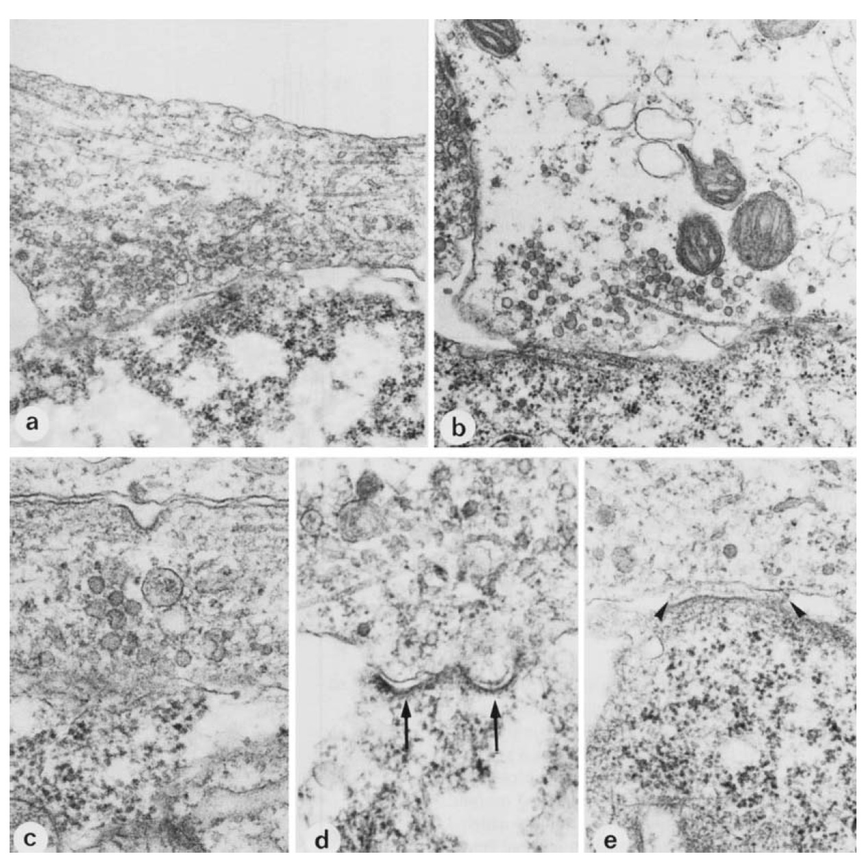
FIG. 5. Electron micrographs of five neuromuscular junctions formed by synapsin I (+) neurons with muscle cells. Note the clustering of synaptic vesicles close
to the presynaptic plasma membrane (in a, b and c), the marked thickening of the postsynaptic plasma membrane (arrows in d) and the presence of basal
lamina-like material in the cleft (arrowheads in e). Magnification: a and b, X28 OOO; c and d, X50 OOO; e, X40 OOO.
FIG. 6. Morphometric analysis of the distribution of small synaptic vesicles
in nerve terminals of synapsin I (-) and synapsin I (+) neurons. (Top)
Histogram of the frequency distribution of synaptic vesicles. The number of
synaptic vesicles located within classes of increasing distance from the
presynaptic membrane (class interval, 100 nm) was calculated for synapsin I
(-) neurons (filled bars) and for synapsin I (+) neurons (open bars) and is
shown on the y axis. The frequency distributions are statistically different, as
evaluated by the Kolmogorov-Smimov test (P < 0.01; synapsin I (-)terminals,
n = 45: synapsin I (+) terminals, n = 38). (Middle) Ratio between the
number of vesicles present within the various classes of distance from the
presynaptic membrane in synapsin I (+) terminals and those in synapsin I
(-) terminals. Synaptic vesicles were more abundant in the synapsin I (+)
terminals; the difference from synapsin I (-) terminals was particularly striking
for vesicles located within 400 nm of the plasma membrane. (Bottom)
Cumulative frequency distribution of synaptic vesicles in synapsin I (-)
terminals (filled circles) and synapsin I (+) terminals (open circles) as a
function of the distance from the presynaptic membrane. The left part of the
cumulative curve is much steeper in the synapsin I (+) terminals, reflecting
the marked accumulation of synaptic vesicles close to the presynaptic
membrane. The cumulative distribution data were interpolated by using a
polynomial regression in order to calculate the 25, 50 and 75 percentiles
(0.401,0.803 and 1.42 1 pm for the synapsin 1 (-) terminals: 0.189, 0.439 and
0.986 for the synapsin I (+) terminals).