Click here to close
Hello! We notice that you are using Internet Explorer, which is not supported by Xenbase and may cause the site to display incorrectly.
We suggest using a current version of Chrome,
FireFox, or Safari.
Stimulation of Xenopus oocyte maturation by inhibition of the G-protein alpha S subunit, a component of the plasma membrane and yolk platelet membranes.
Gallo CJ
,
Hand AR
,
Jones TL
,
Jaffe LA
.
???displayArticle.abstract???
Oocytes of Xenopus laevis undergo maturation when injected with an affinity-purified antibody against the COOH-terminal decapeptide of the alpha subunit of the G-protein Gs, an antibody that inhibits Gs activity. Germinal vesicle breakdown, chromosome condensation, and polar body formation occur, with a time course similar to that for oocytes treated with progesterone. The alpha S antibody-injected oocytes also acquire the ability to be activated by sperm. Coinjection of the catalytic subunit of cAMP-dependent protein kinase, or incubation with cycloheximide, inhibits maturation in response to injection of the alpha S antibody; these experiments show that the alpha S antibody acts at an early point in the pathway leading to oocyte maturation, before formation of maturation promoting factor, and like progesterone, its action requires protein synthesis. Immunogold electron microscopy shows that alpha S is present in the yolk platelet membranes as well as the plasma membrane. These results support the hypothesis that progesterone acts by inhibiting alpha S, and suggest that the target of progesterone could include yolk platelet membranes as well as the plasma membrane.
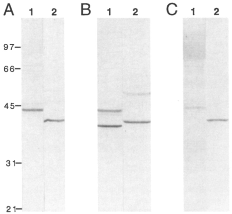
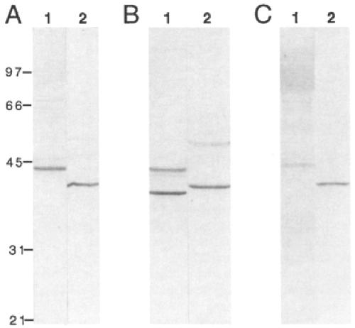
Figure 1. Immunoblots of oocyte cortices (A), membranes (B),
and yolk platelets (C) with antibodies against G-protein ~ subunits.
For each: (lane 1) RM antibody against as, (lane 2) EC antibody
against oti3. The amount of protein loaded per gel lane:
cortices, 50 p~g; membranes, 70 p~g; and yolk platelets, 100 Ixg.
Figure 2. White spot formation in oocytes injected with as antibody.
Oocytes were injected with 50 nl of i mg/ml antibody solution
(0.3 p.M cytoplasmic concentration). White spots formed at
11.5 h after injection; the photograph was taken at 2.5 h after
white spot formation. Bar, 1.0 ram.
Figure 3. Concentration dependence of as antibody stimulation
of GVBD. The x-axis indicates the antibody concentrations in the
cytoplasm. The y-axis indicates the % of oocytes undergoing
GVBD, as indicated by formation of a white spot at the animal
pole or by the absence of a germinal vesicle in TCA-fixed oocytes.
Oocytes were scored for GVBD at 24 h after injection. A,
RM antibody against as (n = 273 oocytes, 21 animals); A, RM antibody
against a s preincubated with an equal amount (wt/wt) of
the RM peptide (n = 10 oocytes, 1 animal). O, EC antibody
against oti3 (n = 38 oocytes, 4 animals); II, nonimmune IgG (n = 7
oocytes, 2 animals).
Figure 4. Time course of GVBD in oocytes injected with ct s antibody
(RM) or exposed to progesterone. Oocytes were injected
with 0.3 0,M RM antibody (&) (n = 15 oocytes), or exposed to 3
~M progesterone (O) (n = 20 oocytes). The time of GVBD was
counted as the time of appearance of the white spot at the animal
pole. These results are typical of seven similar experiments, using
RM antibody concentrations ranging from 0.3 to 2.0 txM.
Figure 5. DNA staining of live oocytes
that had been exposed to progesterone
(3 ixM) (A and A'), or injected with the
RM antibody against as (0.3 p~M) (B
and B'). In A and B, the microscope
was focused at the level of the second
metaphase chromosomes. In A' and B',
the microscope was focused at the level
of the tightly condensed chromatin in
the polar body (same oocytes as in A
and B). Bar, 50 p.m.
Figure 6. Immunogold labeling
of as in oocyte plasma
membrane and yolk platelet
membranes. (A) A section
showing labeling of the
plasma membrane and a
yolk platelet membrane by
the RM antibody against as.
(B) A section showing labeling
of a yolk platelet membrane
by the RM antibody
against eq. (C) A control section
showing the absence of
labeling by nonimmune IgG.
Bars, 100 nm.
Antonelli,
Human-Xenopus chimeras of Gs alpha reveal a new region important for its activation of adenylyl cyclase.
1994, Pubmed,
Xenbase
Antonelli,
Human-Xenopus chimeras of Gs alpha reveal a new region important for its activation of adenylyl cyclase.
1994,
Pubmed
,
Xenbase
Aridor,
Activation of exocytosis by the heterotrimeric G protein Gi3.
1993,
Pubmed
Baldwin,
Structure and function of receptors coupled to G proteins.
1994,
Pubmed
Bomsel,
Role of heterotrimeric G proteins in membrane traffic.
1992,
Pubmed
Bomsel,
Possible role of both the alpha and beta gamma subunits of the heterotrimeric G protein, Gs, in transcytosis of the polymeric immunoglobulin receptor.
1993,
Pubmed
Bronson,
Autoradiography of progesterone and model compound entry and distribution in Xenopus laevis oocytes.
1991,
Pubmed
,
Xenbase
Chen,
Suppression of Ras-induced transformation of NIH 3T3 cells by activated G alpha s.
1994,
Pubmed
Chiba,
The primary structure of the alpha subunit of a starfish guanosine-nucleotide-binding regulatory protein involved in 1-methyladenine-induced oocyte maturation.
1992,
Pubmed
Chiba,
Induction of starfish oocyte maturation by the beta gamma subunit of starfish G protein and possible existence of the subsequent effector in cytoplasm.
1993,
Pubmed
Cicirelli,
Cyclic AMP levels during the maturation of Xenopus oocytes.
1985,
Pubmed
,
Xenbase
Colombo,
Evidence of a role for heterotrimeric GTP-binding proteins in endosome fusion.
1992,
Pubmed
Colombo,
Gs regulation of endosome fusion suggests a role for signal transduction pathways in endocytosis.
1994,
Pubmed
Conklin,
Structural elements of G alpha subunits that interact with G beta gamma, receptors, and effectors.
1993,
Pubmed
Cork,
Microinjected GTP-gamma-S inhibits progesterone-induced maturation of Xenopus oocytes.
1990,
Pubmed
,
Xenbase
Daar,
Inhibition of mos-induced oocyte maturation by protein kinase A.
1993,
Pubmed
,
Xenbase
Danilchik,
Differentiation of the animal-vegetal axis in Xenopus laevis oocytes. I. Polarized intracellular translocation of platelets establishes the yolk gradient.
1987,
Pubmed
,
Xenbase
Dascal,
Further characterization of the slow muscarinic responses in Xenopus oocytes.
1987,
Pubmed
,
Xenbase
Duesbery,
Changes in protein association with intracellular membranes of Xenopus laevis oocytes during maturation and activation.
1993,
Pubmed
,
Xenbase
Elinson,
Isolated vegetal cortex from Xenopus oocytes selectively retains localized mRNAs.
1993,
Pubmed
,
Xenbase
Fagotto,
Yolk platelets in Xenopus oocytes maintain an acidic internal pH which may be essential for sodium accumulation.
1994,
Pubmed
,
Xenbase
Finidori-Lepicard,
Progesterone inhibits membrane-bound adenylate cyclase in Xenopus laevis oocytes.
1981,
Pubmed
,
Xenbase
Gard,
Organization, nucleation, and acetylation of microtubules in Xenopus laevis oocytes: a study by confocal immunofluorescence microscopy.
1991,
Pubmed
,
Xenbase
Gard,
Microtubule organization during maturation of Xenopus oocytes: assembly and rotation of the meiotic spindles.
1992,
Pubmed
,
Xenbase
Godeau,
Induction of maturation in Xenopus laevis oocytes by a steroid linked to a polymer.
1978,
Pubmed
,
Xenbase
Goodhardt,
Does the guanine nucleotide regulatory protein Ni mediate progesterone inhibition of Xenopus oocyte adenylate cyclase?
1984,
Pubmed
,
Xenbase
Hepler,
G proteins.
1992,
Pubmed
Hiramoto,
A method of microinjection.
1974,
Pubmed
Huchon,
The pure inhibitor of cAMP-dependent protein kinase initiates Xenopus laevis meiotic maturation. A 4-step scheme for meiotic maturation.
1981,
Pubmed
,
Xenbase
Ishikawa,
Primary action of steroid hormone at the surface of amphibian oocyte in the induction of germinal vesicle breakdown.
1977,
Pubmed
,
Xenbase
Jaffe,
Oocyte maturation in starfish is mediated by the beta gamma-subunit complex of a G-protein.
1993,
Pubmed
Jordana,
Studies on the mechanism of inhibition of amphibian oocyte adenylate cyclase by progesterone.
1984,
Pubmed
,
Xenbase
Kline,
Evidence for the involvement of a pertussis toxin-insensitive G-protein in egg activation of the frog, Xenopus laevis.
1991,
Pubmed
,
Xenbase
Kroll,
Activated alpha subunit of Go protein induces oocyte maturation.
1991,
Pubmed
,
Xenbase
Liu,
High-affinity binding of progesterone to the plasma membrane of Xenopus oocytes: characteristics of binding and hormonal and developmental control.
1993,
Pubmed
,
Xenbase
Maller,
Progesterone-stimulated meiotic cell division in Xenopus oocytes. Induction by regulatory subunit and inhibition by catalytic subunit of adenosine 3':5'-monophosphate-dependent protein kinase.
1977,
Pubmed
,
Xenbase
Maller,
Early effect of progesterone on levels of cyclic adenosine 3':5'-monophosphate in Xenopus oocytes.
1979,
Pubmed
,
Xenbase
Mallya,
Proteolysis of the major yolk glycoproteins is regulated by acidification of the yolk platelets in sea urchin embryos.
1992,
Pubmed
Masui,
Oocyte maturation.
1979,
Pubmed
Masui,
Towards understanding the control of the division cycle in animal cells.
1992,
Pubmed
Meinkoth,
Inhibition of thyrotropin-induced DNA synthesis in thyroid follicular cells by microinjection of an antibody to the stimulatory G protein of adenylate cyclase, Gs.
1992,
Pubmed
Milano,
Enhanced myocardial function in transgenic mice overexpressing the beta 2-adrenergic receptor.
1994,
Pubmed
Miledi,
Effects of defolliculation on membrane current responses of Xenopus oocytes.
1989,
Pubmed
,
Xenbase
Mulner,
Pertussis toxin facilitates the progesterone-induced maturation of Xenopus oocyte. Possible role of protein phosphorylation.
1985,
Pubmed
,
Xenbase
Nair,
Gs alpha mediates epidermal growth factor-elicited stimulation of rat cardiac adenylate cyclase.
1990,
Pubmed
Negishi,
Opposite coupling of prostaglandin E receptor EP3C with Gs and G(o). Stimulation of Gs and inhibition of G(o).
1993,
Pubmed
Noel,
The 2.2 A crystal structure of transducin-alpha complexed with GTP gamma S.
1993,
Pubmed
Olate,
Molecular cloning and sequence determination of four different cDNA species coding for alpha-subunits of G proteins from Xenopus laevis oocytes.
1990,
Pubmed
,
Xenbase
Olate,
Oocyte adenylyl cyclase contains Ni, yet the guanine nucleotide-dependent inhibition by progesterone is not sensitive to pertussis toxin.
1984,
Pubmed
,
Xenbase
Oñate,
Xenopus laevis oocyte G alpha subunits mRNAs. Detection and quantitation during oogenesis and early embryogenesis by competitive reverse PCR.
1992,
Pubmed
,
Xenbase
Pellaz,
Evidence for a pertussis toxin-sensitive G protein involved in the control of meiotic reinitiation of Xenopus laevis oocytes.
1989,
Pubmed
,
Xenbase
Pimplikar,
Regulation of apical transport in epithelial cells by a Gs class of heterotrimeric G protein.
1993,
Pubmed
Roychowdhury,
Tubulin-G protein association stabilizes GTP binding and activates GTPase: cytoskeletal participation in neuronal signal transduction.
1994,
Pubmed
Roychowdhury,
G protein binding and G protein activation by nucleotide transfer involve distinct domains on tubulin: regulation of signal transduction by cytoskeletal elements.
1993,
Pubmed
Sadler,
Inhibition of Xenopus oocyte adenylate cyclase by progesterone and 2',5'-dideoxyadenosine is associated with slowing of guanine nucleotide exchange.
1983,
Pubmed
,
Xenbase
Sadler,
Inhibition of Xenopus oocyte adenylate cyclase by progesterone: a novel mechanism of action.
1985,
Pubmed
,
Xenbase
Sadler,
Progesterone inhibition of Xenopus oocyte adenylate cyclase is not mediated via the Bordetella pertussis toxin substrate.
1984,
Pubmed
,
Xenbase
Sadler,
Progesterone inhibits adenylate cyclase in Xenopus oocytes. Action on the guanine nucleotide regulatory protein.
1981,
Pubmed
,
Xenbase
Salomon,
A highly sensitive adenylate cyclase assay.
1974,
Pubmed
Shilling,
Pertussis toxin inhibits 1-methyladenine-induced maturation in starfish oocytes.
1989,
Pubmed
Simonds,
Gi2 mediates alpha 2-adrenergic inhibition of adenylyl cyclase in platelet membranes: in situ identification with G alpha C-terminal antibodies.
1989,
Pubmed
Simonds,
Receptor and effector interactions of Gs. Functional studies with antibodies to the alpha s carboxyl-terminal decapeptide.
1989,
Pubmed
Tadenuma,
Purification and characterization of a GTP-binding protein serving as pertussis toxin substrate in starfish oocytes.
1991,
Pubmed
Tadenuma,
Properties of 1-methyladenine receptors in starfish oocyte membranes: involvement of pertussis toxin-sensitive GTP-binding protein in the receptor-mediated signal transduction.
1992,
Pubmed
Thambi,
Immunological and molecular characterization of Go alpha-like proteins in the Drosophila central nervous system.
1989,
Pubmed
Tilley,
The jelly layers and cortex of the unfertilized Xenopus laevis egg: carbohydrate, phospholipid and protein analysis.
1988,
Pubmed
,
Xenbase
Tso,
Microinjected progesterone reinitiates meiotic maturation of Xenopus laevis oocytes.
1982,
Pubmed
,
Xenbase
Wasserman,
Effects of cyclohexamide on a cytoplasmic factor initiating meiotic naturation in Xenopus oocytes.
1975,
Pubmed
,
Xenbase
Wilson,
Endoplasmic reticulum-through-Golgi transport assay based on O-glycosylation of native glycophorin in permeabilized erythroleukemia cells: role for Gi3.
1993,
Pubmed
Yoshikuni,
Characterization of 1-methyladenine binding in starfish oocyte cortices.
1988,
Pubmed